JavaScript is disabled in your browser. Please enable JavaScript to view this website.
AB151769

Anti-Cystathionase/CTH antibody

0

(1 Review)

|

(34 Publications)

Rabbit Polyclonal Cystathionase/CTH antibody. Suitable for WB, IHC-P and reacts with Mouse, Human, Rat samples. Cited in 34 publications. Immunogen corresponding to Recombinant Fragment Protein within Human Cystathionine gamma-lyase aa 150 to C-terminus.

View Alternative Names

Cystathionine gamma-lyase, CGL, CSE, Cysteine desulfhydrase, Cysteine-protein sulfhydrase, Gamma-cystathionase, Homocysteine desulfhydrase, CTH

5 Images
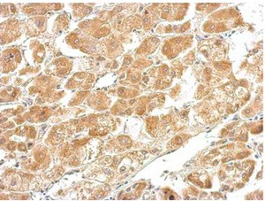
Immunohistochemistry (Formalin/PFA-fixed paraffin-embedded sections) - Anti-Cystathionase/CTH antibody (AB151769)
  • IHC-P

Supplier Data

Immunohistochemistry (Formalin/PFA-fixed paraffin-embedded sections) - Anti-Cystathionase/CTH antibody (AB151769)

Immunohistochemical analysis of paraffin embedded human hepatoma tissue labeling Cystathionase/CTH with ab151769 antibody at 1/500.

Western blot - Anti-Cystathionase/CTH antibody (AB151769)
  • WB

Supplier Data

Western blot - Anti-Cystathionase/CTH antibody (AB151769)

Samples were separated by 10% SDS-PAGE.

All lanes:

Western blot - Anti-Cystathionase/CTH antibody (ab151769) at 1/1000 dilution

Lane 1:

293T whole cell lysates at 30 µg

Lane 2:

A431 whole cell lysates at 30 µg

Lane 3:

HeLa whole cell lysates at 30 µg

Lane 4:

HepG2 whole cell lysates at 30 µg

Secondary

All lanes:

HRP conjugated anti rabbit IgG antibody

Predicted band size: 45 kDa

false

Western blot - Anti-Cystathionase/CTH antibody (AB151769)
  • WB

Lab

Western blot - Anti-Cystathionase/CTH antibody (AB151769)

Western blot : Anti-CTH antibody (ab151769) staining at 1/1000 dilution, shown in green; Mouse anti-CANX [CANX/1543] (ab238078) loading control staining at 1/20000 dilution, shown in magenta. In Western blot, ab151769 was shown to bind specifically to CTH. A band was observed at 42 kDa in wild-type A549 cell lysates with no signal observed at this size in CTH knockout cell line. To generate this image, wild-type and CTH knockout A549 cell lysates were analysed. First, samples were run on an SDS-PAGE gel then transferred onto a nitrocellulose membrane. Membranes were blocked in 3 % milk in TBS-0.1 % Tween® 20 (TBS-T) before incubation with primary antibodies overnight at 4 °C. Blots were washed four times in TBS-T, incubated with secondary antibodies for 1 h at room temperature, washed again four times then imaged. Secondary antibodies used were Goat anti-Rabbit IgG H&L 800CW and Goat anti-Mouse IgG H&L 680RD at 1/20000 dilution.

All lanes:

Western blot - Anti-Cystathionase/CTH antibody (ab151769) at 1/1000 dilution

Lane 1:

Wild-type A549 cell lysate at 20 µg

Lane 2:

CTH knockout A549 cell lysate at 20 µg

Lane 3:

K562 cell lysate at 20 µg

Lane 4:

HeLa cell lysate at 20 µg

Secondary

All lanes:

Goat anti-Rabbit IgG H&L 800CW and Goat anti-Mouse IgG H&L 680RD at 1/20000 dilution

Predicted band size: 45 kDa

Observed band size: 42 kDa

false

Western blot - Anti-Cystathionase/CTH antibody (AB151769)
  • WB

Supplier Data

Western blot - Anti-Cystathionase/CTH antibody (AB151769)

Samples were separated by 10% SDS-PAGE.

All lanes:

Western blot - Anti-Cystathionase/CTH antibody (ab151769) at 1/1000 dilution

Lane 1:

Mouse liver tissue lysates at 50 µg

Lane 2:

Mouse cervix tissue lysates at 50 µg

Secondary

All lanes:

HRP conjugated anti rabbit IgG antibody

Predicted band size: 45 kDa

false

Western blot - Anti-Cystathionase/CTH antibody (AB151769)
  • WB

Supplier Data

Western blot - Anti-Cystathionase/CTH antibody (AB151769)

Samples were separated by 10% SDS-PAGE.

All lanes:

Western blot - Anti-Cystathionase/CTH antibody (ab151769) at 1/3000 dilution

All lanes:

Rat liver tissue lysates at 50 µg

Secondary

All lanes:

HRP conjugated anti rabbit IgG antibody

Predicted band size: 45 kDa

false

Key facts

Host species

Rabbit

Clonality

Polyclonal

Isotype

IgG

Carrier free

No

Reacts with

Mouse, Human, Rat

Applications

WB, IHC-P

applications

Immunogen

Recombinant Fragment Protein within Human Cystathionine gamma-lyase aa 150 to C-terminus. The exact immunogen used to generate this antibody is proprietary information.

P32929

Reactivity data

{ "title": "Reactivity Data", "filters": { "stats": ["", "Species", "Dilution Info", "Notes"], "tabs": { "all-applications": {"fullname" : "All Applications", "shortname": "All Applications"}, "WB" : {"fullname" : "Western blot", "shortname":"WB"}, "IHCP" : {"fullname" : "Immunohistochemistry (Formalin/PFA-fixed paraffin-embedded sections)", "shortname":"IHC-P"} }, "product-promise": { "all": "all", "testedAndGuaranteed": "tested", "guaranteed": "expected", "predicted": "predicted", "notRecommended": "not-recommended" } }, "values": { "Human": { "WB-species-checked": "testedAndGuaranteed", "WB-species-dilution-info": "1/500 - 1/3000", "WB-species-notes": "<p></p>", "IHCP-species-checked": "testedAndGuaranteed", "IHCP-species-dilution-info": "1/100 - 1/1000", "IHCP-species-notes": "<p></p>" }, "Mouse": { "WB-species-checked": "testedAndGuaranteed", "WB-species-dilution-info": "1/500 - 1/3000", "WB-species-notes": "<p></p>", "IHCP-species-checked": "guaranteed", "IHCP-species-dilution-info": "", "IHCP-species-notes": "" }, "Rat": { "WB-species-checked": "testedAndGuaranteed", "WB-species-dilution-info": "1/500 - 1/3000", "WB-species-notes": "<p></p>", "IHCP-species-checked": "guaranteed", "IHCP-species-dilution-info": "", "IHCP-species-notes": "" } } }

Properties and storage information

Form
Liquid
Purification technique
Affinity purification Immunogen
Storage buffer
pH: 7 Preservative: 0.025% Proclin 300 Constituents: PBS, 20% Glycerol (glycerin, glycerine)
Shipped at conditions
Blue Ice
Appropriate short-term storage conditions
+4°C
Appropriate long-term storage conditions
-20°C
Aliquoting information
Upon delivery aliquot
Storage information
Avoid freeze / thaw cycle

Product protocols

For this product, it's our understanding that no specific protocols are required. You can visit:

Target data

Catalyzes the last step in the trans-sulfuration pathway from L-methionine to L-cysteine in a pyridoxal-5'-phosphate (PLP)-dependent manner, which consists on cleaving the L,L-cystathionine molecule into L-cysteine, ammonia and 2-oxobutanoate (PubMed : 10212249, PubMed : 18476726, PubMed : 19261609, PubMed : 19961860). Part of the L-cysteine derived from the trans-sulfuration pathway is utilized for biosynthesis of the ubiquitous antioxidant glutathione (PubMed : 18476726). Besides its role in the conversion of L-cystathionine into L-cysteine, it utilizes L-cysteine and L-homocysteine as substrates (at much lower rates than L,L-cystathionine) to produce the endogenous gaseous signaling molecule hydrogen sulfide (H2S) (PubMed : 10212249, PubMed : 19019829, PubMed : 19261609, PubMed : 19961860). In vitro, it converts two L-cysteine molecules into lanthionine and H2S, also two L-homocysteine molecules to homolanthionine and H2S, which can be particularly relevant under conditions of severe hyperhomocysteinemia (which is a risk factor for cardiovascular disease, diabetes, and Alzheimer's disease) (PubMed : 19261609). Lanthionine and homolanthionine are structural homologs of L,L-cystathionine that differ by the absence or presence of an extra methylene group, respectively (PubMed : 19261609). Acts as a cysteine-protein sulfhydrase by mediating sulfhydration of target proteins : sulfhydration consists of converting -SH groups into -SSH on specific cysteine residues of target proteins such as GAPDH, PTPN1 and NF-kappa-B subunit RELA, thereby regulating their function (PubMed : 22169477). By generating the gasotransmitter H2S, it participates in a number of physiological processes such as vasodilation, bone protection, and inflammation (Probable) (PubMed : 29254196). Plays an essential role in myogenesis by contributing to the biogenesis of H2S in skeletal muscle tissue (By similarity). Can also accept homoserine as substrate (By similarity). Catalyzes the elimination of selenocystathionine (which can be derived from the diet) to yield selenocysteine, ammonia and 2-oxobutanoate (By similarity).
See full target information Cystathionine gamma-lyase

Publications (34)

Recent publications for all applications. Explore the full list and refine your search

Scientific reports 15:26631 PubMed40695937

2025

Hepatocyte FoxO1 depletion exacerbates hepatic inflammation in MASH by targeting cystathionine γ-lyase.

Applications

Unspecified application

Species

Unspecified reactive species

Hui-Ting Chen,Chen Huang,Jia-Wei Chen,Si-Qi Yang,Jie-Min Cheng,Yong-Qiang Li,Han-Qing Chen,Yong-Jian Zhou

International journal of women's health 17:1533-1545 PubMed40453043

2025

Hydrogen Sulfide Expression May Affect Ovarian Cancer Progression and Drug Resistance.

Applications

Unspecified application

Species

Unspecified reactive species

Qiong Zhu,Yi Liu,Juan Zhou,Miduo Tan,Yaxin Xue,Yin Tao

PLoS pathogens 21:e1013164 PubMed40388397

2025

Hydrogen sulfide (H2S) coordinates redox balance, carbon metabolism, and mitochondrial bioenergetics to suppress SARS-CoV-2 infection.

Applications

Unspecified application

Species

Unspecified reactive species

Ragini Agrawal,Virender Kumar Pal,Suhas K S,Gopika Jayan Menon,Inder Raj Singh,Nitish Malhotra,Naren C S,Kailash Ganesh,Raju S Rajmani,Aswin Sai Narain Seshasayee,Nagasuma Chandra,Manjunath B Joshi,Amit Singh

The Journal of clinical investigation 135: PubMed39808494

2025

Impaired hydrogen sulfide biosynthesis underlies eccentric contraction-induced force loss in dystrophin-deficient skeletal muscle.

Applications

Unspecified application

Species

Unspecified reactive species

W Michael Southern,Erynn E Johnson,Elizabeth K Fasbender,Katherine S Fallon,Courtney L Cavazos,Dawn A Lowe,George G Rodney,James M Ervasti

Journal of biomedical science 31:55 PubMed38802791

2024

USP9X-mediated REV1 deubiquitination promotes lung cancer radioresistance via the action of REV1 as a Rad18 molecular scaffold for cystathionine γ-lyase.

Applications

Unspecified application

Species

Unspecified reactive species

Yunshang Chen,Xue Feng,Zilong Wu,Yongqiang Yang,Xinrui Rao,Rui Meng,Sheng Zhang,Xiaorong Dong,Shuangbing Xu,Gang Wu,Xiaohua Jie

Biomolecules 13: PubMed38002330

2023

Proteome Profiling of the Dystrophic Mice Diaphragm.

Applications

Unspecified application

Species

Unspecified reactive species

Olga Mucha,Małgorzata Myszka,Paulina Podkalicka,Bianka Świderska,Agata Malinowska,Józef Dulak,Agnieszka Łoboda

Archives of toxicology 97:2371-2383 PubMed37482551

2023

Chronic exposure to inorganic arsenic and fluoride induces redox imbalance, inhibits the transsulfuration pathway, and alters glutamate receptor expression in the brain, resulting in memory impairment in adult male mouse offspring.

Applications

Unspecified application

Species

Unspecified reactive species

Wendy L González-Alfonso,Petrosyan Pavel,Hernández-Mercado Karina,Luz M Del Razo,Luz C Sanchez-Peña,Angélica Zepeda,María E Gonsebatt

Aging 15:5266-5278 PubMed37354210

2023

Hepatic hydrogen sulfide levels are reduced in mouse model of Hutchinson-Gilford progeria syndrome.

Applications

Unspecified application

Species

Unspecified reactive species

Stephen E Wilkie,Diana E Marcu,Roderick N Carter,Nicholas M Morton,Susana Gonzalo,Colin Selman

Molecules (Basel, Switzerland) 28: PubMed37375325

2023

Attenuation of Sepsis-Induced Acute Kidney Injury by Exogenous HS via Inhibition of Ferroptosis.

Applications

Unspecified application

Species

Unspecified reactive species

Li Zhang,Jin Rao,Xuwen Liu,Xuefu Wang,Changnan Wang,Shangxi Fu,Jian Xiao

Chemical research in toxicology 36:900-915 PubMed37184393

2023

Cystine/Glutamate Xc Antiporter Induction Compensates for Transsulfuration Pathway Repression by 2,3,7,8-Tetrachlorodibenzo--dioxin (TCDD) to Ensure Cysteine for Hepatic Glutathione Biosynthesis.

Applications

Unspecified application

Species

Unspecified reactive species

Karina Orlowska,Russ R Fling,Rance Nault,Anthony L Schilmiller,Timothy R Zacharewski
View all publications

Product promise

We are committed to supporting your work with high-quality reagents, and we're here for you every step of the way. In the unlikely event that one of our products does not perform as expected, you're protected by our Product Promise.
For full details, please see our Terms & Conditions

Please note: All products are 'FOR RESEARCH USE ONLY. NOT FOR USE IN DIAGNOSTIC OR THERAPEUTIC PROCEDURES'.

For licensing inquiries, please contact partnerships@abcam.com