JavaScript is disabled in your browser. Please enable JavaScript to view this website.
AB323266

Anti-Cystathionase/CTH antibody [EPR29620-93]

  • BOND RX™ Validated
  • Recombinant
  • 20ul selling size
  • RabMAb
  • What is this?

Be the first to review this product! Submit a review

|

(0 Publication)

Rabbit Recombinant Monoclonal Cystathionase/CTH antibody. Suitable for IHC-P, WB and reacts with Mouse, Rat samples.

View Alternative Names

Cystathionine gamma-lyase, CGL, CSE, Cysteine desulfhydrase, Cysteine-protein sulfhydrase, Gamma-cystathionase, Homocysteine desulfhydrase

8 Images
Immunohistochemistry (Formalin/PFA-fixed paraffin-embedded sections) - Anti-Cystathionase/CTH antibody [EPR29620-93] (AB323266)
  • IHC-P

Supplier Data

Immunohistochemistry (Formalin/PFA-fixed paraffin-embedded sections) - Anti-Cystathionase/CTH antibody [EPR29620-93] (AB323266)

Immunohistochemical analysis of paraffin-embedded Mouse cardiac muscle tissue labeling Cystathionase/CTH with ab323266 at 1/5000 (0.1 ug/ml) dilution, followed by a ready to use LeicaDS9800 (Bond™ Polymer Refine Detection).

Negative control : no staining on mouse cardiac muscle (PMID : 15038791). The section was incubated with ab323266 for 30 mins at room temperature.
The immunostaining was performed on a Leica Biosystems BOND® RX instrument

Counterstained with Hematoxylin.

Secondary antibody only control : Secondary antibody is a ready to use LeicaDS9800 (Bond™ Polymer Refine Detection).

Heat mediated antigen retrieval was performed with Citrate buffer (pH 6.0, Epitope Retrieval Solution 1) for 10 mins

Immunohistochemistry (Formalin/PFA-fixed paraffin-embedded sections) - Anti-Cystathionase/CTH antibody [EPR29620-93] (AB323266)
  • IHC-P

Supplier Data

Immunohistochemistry (Formalin/PFA-fixed paraffin-embedded sections) - Anti-Cystathionase/CTH antibody [EPR29620-93] (AB323266)

Immunohistochemical analysis of paraffin-embedded Rat cardiac muscle tissue labeling Cystathionase/CTH with ab323266 at 1/5000 (0.1 ug/ml) dilution, followed by a ready to use LeicaDS9800 (Bond™ Polymer Refine Detection).

Negative control : no staining on rat cardiac muscle (PMID : 15038791). The section was incubated with ab323266 for 30 mins at room temperature.
The immunostaining was performed on a Leica Biosystems BOND® RX instrument

Counterstained with Hematoxylin.

Secondary antibody only control : Secondary antibody is a ready to use LeicaDS9800 (Bond™ Polymer Refine Detection).

Heat mediated antigen retrieval was performed with Citrate buffer (pH 6.0, Epitope Retrieval Solution 1) for 10 mins

Immunohistochemistry (Formalin/PFA-fixed paraffin-embedded sections) - Anti-Cystathionase/CTH antibody [EPR29620-93] (AB323266)
  • IHC-P

Supplier Data

Immunohistochemistry (Formalin/PFA-fixed paraffin-embedded sections) - Anti-Cystathionase/CTH antibody [EPR29620-93] (AB323266)

Immunohistochemical analysis of paraffin-embedded Rat liver tissue labeling Cystathionase/CTH with ab323266 at 1/5000 (0.1 ug/ml) dilution, followed by a ready to use LeicaDS9800 (Bond™ Polymer Refine Detection).

Positive staining on rat liver (PMID : 15038791). The section was incubated with ab323266 for 30 mins at room temperature.
The immunostaining was performed on a Leica Biosystems BOND® RX instrument

Counterstained with Hematoxylin.

Secondary antibody only control : Secondary antibody is a ready to use LeicaDS9800 (Bond™ Polymer Refine Detection).

Heat mediated antigen retrieval was performed with Citrate buffer (pH 6.0, Epitope Retrieval Solution 1) for 10 mins

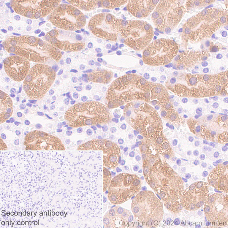
Immunohistochemistry (Formalin/PFA-fixed paraffin-embedded sections) - Anti-Cystathionase/CTH antibody [EPR29620-93] (AB323266)
  • IHC-P

Supplier Data

Immunohistochemistry (Formalin/PFA-fixed paraffin-embedded sections) - Anti-Cystathionase/CTH antibody [EPR29620-93] (AB323266)

Immunohistochemical analysis of paraffin-embedded Mouse kidney tissue labeling Cystathionase/CTH with ab323266 at 1/5000 (0.1 ug/ml) dilution, followed by a ready to use LeicaDS9800 (Bond™ Polymer Refine Detection).

Positive staining on mouse kidney (PMID : 15038791). The section was incubated with ab323266 for 30 mins at room temperature.
The immunostaining was performed on a Leica Biosystems BOND® RX instrument

Counterstained with Hematoxylin.

Secondary antibody only control : Secondary antibody is a ready to use LeicaDS9800 (Bond™ Polymer Refine Detection).

Heat mediated antigen retrieval was performed with Citrate buffer (pH 6.0, Epitope Retrieval Solution 1) for 10 mins

Immunohistochemistry (Formalin/PFA-fixed paraffin-embedded sections) - Anti-Cystathionase/CTH antibody [EPR29620-93] (AB323266)
  • IHC-P

Supplier Data

Immunohistochemistry (Formalin/PFA-fixed paraffin-embedded sections) - Anti-Cystathionase/CTH antibody [EPR29620-93] (AB323266)

Immunohistochemical analysis of paraffin-embedded Mouse liver cancer tissue labeling Cystathionase/CTH with ab323266 at 1/5000 (0.1 ug/ml) dilution, followed by a ready to use LeicaDS9800 (Bond™ Polymer Refine Detection).

Positive staining on mouse liver cancer. The section was incubated with ab323266 for 30 mins at room temperature.
The immunostaining was performed on a Leica Biosystems BOND® RX instrument

Counterstained with Hematoxylin.

Secondary antibody only control : Secondary antibody is a ready to use LeicaDS9800 (Bond™ Polymer Refine Detection).

Heat mediated antigen retrieval was performed with Citrate buffer (pH 6.0, Epitope Retrieval Solution 1) for 10 mins

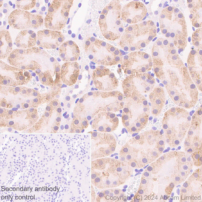
Immunohistochemistry (Formalin/PFA-fixed paraffin-embedded sections) - Anti-Cystathionase/CTH antibody [EPR29620-93] (AB323266)
  • IHC-P

Supplier Data

Immunohistochemistry (Formalin/PFA-fixed paraffin-embedded sections) - Anti-Cystathionase/CTH antibody [EPR29620-93] (AB323266)

Immunohistochemical analysis of paraffin-embedded Rat kidney tissue labeling Cystathionase/CTH with ab323266 at 1/5000 (0.1 ug/ml) dilution, followed by a ready to use LeicaDS9800 (Bond™ Polymer Refine Detection).

Positive staining on rat kidney (PMID : 15038791). The section was incubated with ab323266 for 30 mins at room temperature.
The immunostaining was performed on a Leica Biosystems BOND® RX instrument

Counterstained with Hematoxylin.

Secondary antibody only control : Secondary antibody is a ready to use LeicaDS9800 (Bond™ Polymer Refine Detection).

Heat mediated antigen retrieval was performed with Citrate buffer (pH 6.0, Epitope Retrieval Solution 1) for 10 mins

Western blot - Anti-Cystathionase/CTH antibody [EPR29620-93] (AB323266)
  • WB

Supplier Data

Western blot - Anti-Cystathionase/CTH antibody [EPR29620-93] (AB323266)

Blocking and diluting buffer and concentration : 5% NFDM/TBST.

Low expression : EL4.

The identity of the higher MW band at approximately 130 kDa (in lane 3) is unknown.

In Western blot, Anti-GAPDH antibody [EPR16891] - Loading Control (ab181602) staining at 1/200000 dilution.

All lanes:

Western blot - Anti-Cystathionase/CTH antibody [EPR29620-93] (ab323266) at 1/1000 dilution

Lane 1:

F9 (mouse embryonal carcinoma epithelial cell) whole cell lysate at 20 µg

Lane 2:

A20 (mouse reticum sarcoma B lymphocyte) whole cell lysate at 20 µg

Lane 3:

EL4 (mouse lymphoma T lymphocyte) whole cell lysate at 20 µg

Lane 4:

McA-RH7777 (rat liver epithelial cell) whole cell lysate at 20 µg

Secondary

All lanes:

Western blot - Goat Anti-Rabbit IgG H&L (HRP) (<a href='/en-us/products/secondary-antibodies/goat-rabbit-igg-h-l-hrp-ab97051'>ab97051</a>) at 1/20000 dilution

Observed band size: 45 kDa,36 kDa

false

Exposure time: 59s

Western blot - Anti-Cystathionase/CTH antibody [EPR29620-93] (AB323266)
  • WB

Supplier Data

Western blot - Anti-Cystathionase/CTH antibody [EPR29620-93] (AB323266)

Blocking and diluting buffer and concentration : 5% NFDM/TBST.

Low expression : heart, skeletal muscle, lung (PMID : 15038791; PMID : 24761004)

The identity of the higher MW band at approximately 60 kDa and lower MW band at approximately 30 kDa (in lane 4) is unknown.

In Western blot, Anti-GAPDH antibody [EPR16891] - Loading Control (ab181602) staining at 1/200000 dilution.

Exposure time : Lanes 1-6 : 37 seconds; Lanes 7-10 : 6 seconds

All lanes:

Western blot - Anti-Cystathionase/CTH antibody [EPR29620-93] (ab323266) at 1/1000 dilution

Lane 1:

Mouse kidney tissue lysate at 20 µg

Lane 2:

Mouse pancreas tissue lysate at 20 µg

Lane 3:

Mouse liver tissue lysate at 20 µg

Lane 4:

Mouse heart tissue lysate at 20 µg

Lane 5:

Mouse skeletal muscle tissue lysate at 20 µg

Lane 6:

Mouse lung tissue lysate at 20 µg

Lane 7:

Rat liver tissue lysate at 20 µg

Lane 8:

Rat kidney tissue lysate at 20 µg

Lane 9:

Rat heart tissue lysate at 20 µg

Lane 10:

Rat skeletal muscle tissue lysate at 20 µg

Secondary

All lanes:

Western blot - Goat Anti-Rabbit IgG H&L (HRP) (<a href='/en-us/products/secondary-antibodies/goat-rabbit-igg-h-l-hrp-ab97051'>ab97051</a>) at 1/20000 dilution

Observed band size: 45 kDa,36 kDa

false

Key facts

Host species

Rabbit

Clonality

Monoclonal

Clone number

EPR29620-93

Isotype

IgG

Carrier free

No

Reacts with

Mouse, Rat

Applications

WB, IHC-P

applications

Immunogen

The exact immunogen used to generate this antibody is proprietary information.

Reactivity data

{ "title": "Reactivity Data", "filters": { "stats": ["", "Species", "Dilution Info", "Notes"], "tabs": { "all-applications": {"fullname" : "All Applications", "shortname": "All Applications"}, "IHCP" : {"fullname" : "Immunohistochemistry (Formalin/PFA-fixed paraffin-embedded sections)", "shortname":"IHC-P"}, "WB" : {"fullname" : "Western blot", "shortname":"WB"} }, "product-promise": { "all": "all", "testedAndGuaranteed": "tested", "guaranteed": "expected", "predicted": "predicted", "notRecommended": "not-recommended" } }, "values": { "Mouse": { "IHCP-species-checked": "testedAndGuaranteed", "IHCP-species-dilution-info": "1/5000", "IHCP-species-notes": "<p></p> Perform heat-mediated antigen retrieval with citrate buffer pH 6 before commencing with IHC staining protocol.", "WB-species-checked": "testedAndGuaranteed", "WB-species-dilution-info": "1/1000", "WB-species-notes": "<p></p>" }, "Rat": { "IHCP-species-checked": "testedAndGuaranteed", "IHCP-species-dilution-info": "1/5000", "IHCP-species-notes": "<p></p> Perform heat-mediated antigen retrieval with citrate buffer pH 6 before commencing with IHC staining protocol.", "WB-species-checked": "testedAndGuaranteed", "WB-species-dilution-info": "1/1000", "WB-species-notes": "<p></p>" } } }

Product details

Patented technology
Our RabMAb® technology is a patented hybridoma-based technology for making rabbit monoclonal antibodies. For details on our patents, please refer to RabMAb® patents.

What are the advantages of a recombinant monoclonal antibody?
This product is a recombinant monoclonal antibody, which offers several advantages including:

  • - High batch-to-batch consistency and reproducibility
  • - Improved sensitivity and specificity
  • - Long-term security of supply
  • - Animal-free batch production

For more information, read more on recombinant antibodies.

Properties and storage information

Form
Liquid
Purification technique
Affinity purification Protein A
Storage buffer
pH: 7.2 - 7.4 Preservative: 0.01% Sodium azide Constituents: PBS, 40% Glycerol (glycerin, glycerine), 0.05% BSA
Shipped at conditions
Blue Ice
Appropriate short-term storage duration
1-2 weeks
Appropriate short-term storage conditions
+4°C
Appropriate long-term storage conditions
-20°C
Aliquoting information
Upon delivery aliquot
Storage information
Avoid freeze / thaw cycle

Product protocols

For this product, it's our understanding that no specific protocols are required. You can visit:

Target data

Catalyzes the last step in the trans-sulfuration pathway from L-methionine to L-cysteine in a pyridoxal-5'-phosphate (PLP)-dependent manner, which consists on cleaving the L,L-cystathionine molecule into L-cysteine, ammonia and 2-oxobutanoate. Part of the L-cysteine derived from the trans-sulfuration pathway is utilized for biosynthesis of the ubiquitous antioxidant glutathione. Besides its role in the conversion of L-cystathionine into L-cysteine, it utilizes L-cysteine and L-homocysteine as substrates (at much lower rates than L,L-cystathionine) to produce hydrogen sulfide (H2S). In vitro, it converts two L-cysteine molecules into lanthionine and H2S, and two L-homocysteine molecules to homolanthionine and H2S, which can be particularly relevant under conditions of severe hyperhomocysteinemia. Lanthionine and homolanthionine are structural homologs of L,L-cystathionine that differ by the absence or presence of an extra methylene group, respectively (By similarity). Acts as a cysteine-protein sulfhydrase by mediating sulfhydration of target proteins : sulfhydration consists of converting -SH groups into -SSH on specific cysteine residues of target proteins such as GAPDH, PTPN1 and NF-kappa-B subunit RELA, thereby regulating their function (PubMed : 19903941, PubMed : 22244329). By generating the gasotransmitter H2S, it participates in a number of physiological processes such as vasodilation, bone protection, and inflammation (By similarity) (PubMed : 18948540). Plays an essential role in myogenesis by contributing to the biogenesis of H2S in skeletal muscle tissue (PubMed : 33826201). Can also accept homoserine as substrate (By similarity). Catalyzes the elimination of selenocystathionine (which can be derived from the diet) to yield selenocysteine, ammonia and 2-oxobutanoate (By similarity).
See full target information Cth

Additional targets

Cth

Product promise

We are committed to supporting your work with high-quality reagents, and we're here for you every step of the way. In the unlikely event that one of our products does not perform as expected, you're protected by our Product Promise.
For full details, please see our Terms & Conditions

Please note: All products are 'FOR RESEARCH USE ONLY. NOT FOR USE IN DIAGNOSTIC OR THERAPEUTIC PROCEDURES'.

For licensing inquiries, please contact partnerships@abcam.com