JavaScript is disabled in your browser. Please enable JavaScript to view this website.
AB236646

Anti-Cystatin-B antibody

Be the first to review this product! Submit a review

|

(3 Publications)

Rabbit Polyclonal Cystatin-B antibody. Suitable for IP, WB, IHC-P, ICC/IF and reacts with Human samples. Cited in 3 publications. Immunogen corresponding to Recombinant Full Length Protein corresponding to Human CSTB.

View Alternative Names

CST6, STFB, CSTB, Cystatin-B, CPI-B, Liver thiol proteinase inhibitor, Stefin-B

6 Images
Immunocytochemistry/ Immunofluorescence - Anti-Cystatin-B antibody (AB236646)
  • ICC/IF

Supplier Data

Immunocytochemistry/ Immunofluorescence - Anti-Cystatin-B antibody (AB236646)

4% formaldehyde-fixed, 0.2% Triton X-100 permeabilized HepG2 (human liver hepatocellular carcinoma cell line) cells stained for Cystatin-B (green) using ab236646 at 1/133 dilution in ICC/IF, followed by Alexa Fluor 488® conjugated Goat Anti-Rabbit IgG (H+L). Counter-stained with DAPI.

Immunohistochemistry (Formalin/PFA-fixed paraffin-embedded sections) - Anti-Cystatin-B antibody (AB236646)
  • IHC-P

Supplier Data

Immunohistochemistry (Formalin/PFA-fixed paraffin-embedded sections) - Anti-Cystatin-B antibody (AB236646)

Paraffin-embedded human colon cancer tissue stained for Cystatin-B using ab236646 at 1/100 dilution in immunohistochemical analysis.

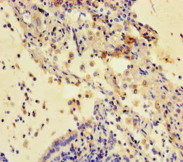
Immunohistochemistry (Formalin/PFA-fixed paraffin-embedded sections) - Anti-Cystatin-B antibody (AB236646)
  • IHC-P

Supplier Data

Immunohistochemistry (Formalin/PFA-fixed paraffin-embedded sections) - Anti-Cystatin-B antibody (AB236646)

Paraffin-embedded human lung cancer tissue stained for Cystatin-B using ab236646 at 1/100 dilution in immunohistochemical analysis.

Immunoprecipitation - Anti-Cystatin-B antibody (AB236646)
  • IP

Supplier Data

Immunoprecipitation - Anti-Cystatin-B antibody (AB236646)

Cystatin-B was immunoprecipitated from 500 μg HepG2 (human liver hepatocellular carcinoma cell line) whole cell lysate with ab236646 at 1/200 dilution.

Lane 1 : Rabbit control IgG IP in HepG2 whole cell lysate.

Lane 2 : ab236646 IP in HepG2 whole cell lysate.

Lane 3 : HepG2 whole cell lysate 20 μg (Input).

For western blotting, an HRP-conjugated Protein G antibody was used as the secondary antibody at 1/2000 dilution.

All lanes:

Immunoprecipitation - Anti-Cystatin-B antibody (ab236646)

Predicted band size: 11 kDa

false

Western blot - Anti-Cystatin-B antibody (AB236646)
  • WB

Supplier Data

Western blot - Anti-Cystatin-B antibody (AB236646)

All lanes:

Western blot - Anti-Cystatin-B antibody (ab236646) at 1/1000 dilution

Lane 1:

EC109 whole cell lysate

Lane 2:

HEK-293T (human epithelial cell line from embryonic kidney transformed with large T antigen) whole cell lysate

Secondary

All lanes:

Goat polyclonal to Rabbit IgG at 1/50000 dilution

Predicted band size: 11 kDa

false

Western blot - Anti-Cystatin-B antibody (AB236646)
  • WB

Supplier Data

Western blot - Anti-Cystatin-B antibody (AB236646)

All lanes:

Western blot - Anti-Cystatin-B antibody (ab236646) at 1/1000 dilution

Lane 1:

HepG2 (human liver hepatocellular carcinoma cell line) whole cell lysate

Lane 2:

MCF7 (human breast adenocarcinoma cell line) whole cell lysate

Lane 3:

A549 (human lung carcinoma cell line) whole cell lysate

Lane 4:

U-87 MG (human glioblastoma-astrocytoma epithelial cell line) whole cell lysate

Lane 5:

HEK-293T (human epithelial cell line from embryonic kidney transformed with large T antigen) whole cell lysate

Secondary

All lanes:

Goat polyclonal to rabbit IgG at 1/50000 dilution

Predicted band size: 11 kDa

false

Key facts

Host species

Rabbit

Clonality

Polyclonal

Isotype

IgG

Carrier free

No

Reacts with

Human

Applications

WB, IP, ICC/IF, IHC-P

applications

Immunogen

Recombinant Full Length Protein corresponding to Human CSTB.

P04080

Reactivity data

{ "title": "Reactivity Data", "filters": { "stats": ["", "Species", "Dilution Info", "Notes"], "tabs": { "all-applications": {"fullname" : "All Applications", "shortname": "All Applications"}, "IP" : {"fullname" : "Immunoprecipitation", "shortname":"IP"}, "WB" : {"fullname" : "Western blot", "shortname":"WB"}, "IHCP" : {"fullname" : "Immunohistochemistry (Formalin/PFA-fixed paraffin-embedded sections)", "shortname":"IHC-P"}, "ICCIF" : {"fullname" : "Immunocytochemistry/ Immunofluorescence", "shortname":"ICC/IF"} }, "product-promise": { "all": "all", "testedAndGuaranteed": "tested", "guaranteed": "expected", "predicted": "predicted", "notRecommended": "not-recommended" } }, "values": { "Human": { "IP-species-checked": "testedAndGuaranteed", "IP-species-dilution-info": "1/200 - 1/2000", "IP-species-notes": "<p></p>", "WB-species-checked": "testedAndGuaranteed", "WB-species-dilution-info": "1/1000 - 1/5000", "WB-species-notes": "<p></p>", "IHCP-species-checked": "testedAndGuaranteed", "IHCP-species-dilution-info": "1/20 - 1/200", "IHCP-species-notes": "<p></p>", "ICCIF-species-checked": "testedAndGuaranteed", "ICCIF-species-dilution-info": "1/50 - 1/200", "ICCIF-species-notes": "<p></p>" }, "Chimpanzee": { "IP-species-checked": "predicted", "IP-species-dilution-info": "", "IP-species-notes": "", "WB-species-checked": "predicted", "WB-species-dilution-info": "", "WB-species-notes": "", "IHCP-species-checked": "predicted", "IHCP-species-dilution-info": "", "IHCP-species-notes": "", "ICCIF-species-checked": "predicted", "ICCIF-species-dilution-info": "", "ICCIF-species-notes": "" }, "Gorilla": { "IP-species-checked": "predicted", "IP-species-dilution-info": "", "IP-species-notes": "", "WB-species-checked": "predicted", "WB-species-dilution-info": "", "WB-species-notes": "", "IHCP-species-checked": "predicted", "IHCP-species-dilution-info": "", "IHCP-species-notes": "", "ICCIF-species-checked": "predicted", "ICCIF-species-dilution-info": "", "ICCIF-species-notes": "" } } }

Properties and storage information

Form
Liquid
Purification technique
Affinity purification Protein G
Purification notes
Purity >95%.
Storage buffer
pH: 7.4 Preservative: 0.03% Proclin 300 Constituents: PBS, 50% Glycerol (glycerin, glycerine)
Shipped at conditions
Blue Ice
Appropriate short-term storage duration
1-2 weeks
Appropriate short-term storage conditions
+4°C
Appropriate long-term storage conditions
-20°C
Aliquoting information
Upon delivery aliquot
Storage information
Avoid freeze / thaw cycle

Supplementary information

This supplementary information is collated from multiple sources and compiled automatically.

Cystatin-B also known as STEFIN-B is a protease inhibitor with a molecular mass of approximately 11 kilodaltons. It belongs to the family of cystatins which are expressed widely in human tissues with notable presence in the brain liver and kidneys. Cystatin-B acts by inhibiting cysteine proteases preventing them from degrading proteins indiscriminately. The inhibition is important for maintaining cellular protein balance and integrity.
Biological function summary

Cysteine protease inhibition by Cystatin-B protects cells from uncontrolled proteolysis which can lead to tissue damage. This protein plays an important role in the regulation of various cellular processes including apoptosis phagocytosis and the response to oxidative stress. It does not form part of a larger complex but interacts directly with its target proteases to exert its inhibitory effects.

Pathways

Cystatin-B influences proteolytic pathways by modulating the activity of cysteine proteases such as cathepsins. By inhibiting these enzymes Cystatin-B participates in the regulation of the lysosomal degradation pathway and apoptotic pathways which are important for cellular turnover and programmed cell death. Cathepsins particularly cathepsin B and L are related proteins that are significantly modulated through their interaction with Cystatin-B.

Mutations or dysregulation of Cystatin-B are associated with progressive myoclonus epilepsy and certain neurodegenerative diseases. The lack of functional Cystatin-B leads to excessive activity of proteases like cathepsin B resulting in increased proteolysis and neuronal damage. In some cases this can also connect to disorders involving oxidative stress exacerbating the detrimental cycle of cellular injury.

Product protocols

For this product, it's our understanding that no specific protocols are required. You can visit:

Target data

This is an intracellular thiol proteinase inhibitor. Tightly binding reversible inhibitor of cathepsins L, H and B.
See full target information CSTB

Publications (3)

Recent publications for all applications. Explore the full list and refine your search

PloS one 20:e0316822 PubMed39841661

2025

Reduction of Cystatin B results in increased cathepsin B activity in disomic but not Trisomy 21 human cellular and mouse models.

Applications

Unspecified application

Species

Unspecified reactive species

Yixing Wu,Karen Cleverley,Frances K Wiseman

Acta neuropathologica communications 11:132 PubMed37580797

2023

Cathepsin B abundance, activity and microglial localisation in Alzheimer's disease-Down syndrome and early onset Alzheimer's disease; the role of elevated cystatin B.

Applications

Unspecified application

Species

Unspecified reactive species

Yixing Wu,Paige Mumford,Suzanna Noy,Karen Cleverley,Alicja Mrzyglod,Dinghao Luo,Floris van Dalen,Martijn Verdoes,Elizabeth M C Fisher,Frances K Wiseman

Respiratory research 20:194 PubMed31443651

2019

Inhibition of lung cancer cells and Ras/Raf/MEK/ERK signal transduction by ectonucleoside triphosphate phosphohydrolase-7 (ENTPD7).

Applications

Unspecified application

Species

Unspecified reactive species

Zhongwei Wen,Rongfang Jiang,Ying Huang,Zhineng Wen,Dong Rui,Xiaoxiao Liao,Zhougui Ling
View all publications

Product promise

We are committed to supporting your work with high-quality reagents, and we're here for you every step of the way. In the unlikely event that one of our products does not perform as expected, you're protected by our Product Promise.
For full details, please see our Terms & Conditions

Please note: All products are 'FOR RESEARCH USE ONLY. NOT FOR USE IN DIAGNOSTIC OR THERAPEUTIC PROCEDURES'.

For licensing inquiries, please contact partnerships@abcam.com