JavaScript is disabled in your browser. Please enable JavaScript to view this website.
AB92449

Anti-Cystatin-B antibody [EPR3931]

Be the first to review this product! Submit a review

|

(3 Publications)

Rabbit Recombinant Monoclonal Cystatin-B antibody. Suitable for IHC-P, WB and reacts with Human samples. Cited in 3 publications.

View Alternative Names

CST6, STFB, CSTB, Cystatin-B, CPI-B, Liver thiol proteinase inhibitor, Stefin-B

4 Images
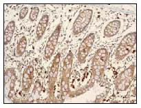
Immunohistochemistry (Formalin/PFA-fixed paraffin-embedded sections) - Anti-Cystatin-B antibody [EPR3931] (AB92449)
  • IHC-P

Unknown

Immunohistochemistry (Formalin/PFA-fixed paraffin-embedded sections) - Anti-Cystatin-B antibody [EPR3931] (AB92449)

ab92449 at 1/100 dilution staining Cystatin-B in paraffin-embedded Human colon tissue.

Heat mediated antigen retrieval was performed before commencing with IHC staining protocol.

Immunohistochemistry (Formalin/PFA-fixed paraffin-embedded sections) - Anti-Cystatin-B antibody [EPR3931] (AB92449)
  • IHC-P

Unknown

Immunohistochemistry (Formalin/PFA-fixed paraffin-embedded sections) - Anti-Cystatin-B antibody [EPR3931] (AB92449)

ab92449 at 1/100 dilution staining Cystatin-B in paraffin-embedded Human kidney tissue.

Heat mediated antigen retrieval was performed before commencing with IHC staining protocol.

Western blot - Anti-Cystatin-B antibody [EPR3931] (AB92449)
  • WB

Unknown

Western blot - Anti-Cystatin-B antibody [EPR3931] (AB92449)

All lanes:

Western blot - Anti-Cystatin-B antibody [EPR3931] (ab92449) at 1/1000 dilution

Lane 1:

U-87 MG (Human glioblastoma-astrocytoma epithelial cell line) cell lysate at 10 µg

Lane 2:

JAR cell lysate at 10 µg

Lane 3:

Human bladder tissue lysate at 10 µg

Secondary

All lanes:

HRP labelled goat anti-rabbit at 1/2000 dilution

Predicted band size: 11 kDa

false

Western blot - Anti-Cystatin-B antibody [EPR3931] (AB92449)
  • WB

Lab

Western blot - Anti-Cystatin-B antibody [EPR3931] (AB92449)

Lanes 1-4 : Merged signal (red and green). Green - ab92449 observed at 15 kDa. Red - loading control ab8245 observed at 36 kDa.

ab92449 Anti-Cystatin-B antibody [EPR3931] was shown to specifically react with Cystatin-B in wild-type HEK293T cells. Loss of signal was observed when knockout cell line ab266321 (knockout cell lysate ab257905) was used. Wild-type and Cystatin-B knockout samples were subjected to SDS-PAGE. ab92449 and Anti-GAPDH antibody [6C5] - Loading Control (ab8245) were incubated overnight at 4°C at 1 in 1000 dilution and 1 in 20000 dilution respectively. Blots were developed with Goat anti-Rabbit IgG H&L (IRDye® 800CW) preadsorbed (ab216773) and Goat anti-Mouse IgG H&L (IRDye® 680RD) preadsorbed (ab216776) secondary antibodies at 1 in 20000 dilution for 1 hour at room temperature before imaging.

All lanes:

Western blot - Anti-Cystatin-B antibody [EPR3931] (ab92449) at 1/1000 dilution

Lane 1:

Wild-type HEK293T cell lysate at 20 µg

Lane 2:

CSTB knockout HEK293T cell lysate at 20 µg

Lane 2:

Western blot - Human CSTB (Cystatin-B) knockout HEK-293T cell line (<a href='/en-us/products/cell-lines/human-cstb-cystatin-b-knockout-hek-293t-cell-line-ab266321'>ab266321</a>)

Lane 3:

U87-MG cell lysate at 20 µg

Lane 4:

JAR cell lysate at 20 µg

Secondary

All lanes:

Western blot - Goat anti-Rabbit IgG H&L (IRDye® 800CW) preadsorbed (<a href='/en-us/products/secondary-antibodies/goat-rabbit-igg-h-l-irdye-800cw-preadsorbed-ab216773'>ab216773</a>) at 1/10000 dilution

Predicted band size: 11 kDa

Observed band size: 15 kDa

false

  • Carrier free

    Anti-Cystatin-B antibody [EPR3931] - BSA and Azide free

Key facts

Host species

Rabbit

Clonality

Monoclonal

Clone number

EPR3931

Isotype

IgG

Carrier free

No

Reacts with

Human

Applications

WB, IHC-P

applications

Immunogen

The exact immunogen used to generate this antibody is proprietary information.

Reactivity data

{ "title": "Reactivity Data", "filters": { "stats": ["", "Species", "Dilution Info", "Notes"], "tabs": { "all-applications": {"fullname" : "All Applications", "shortname": "All Applications"}, "IHCP" : {"fullname" : "Immunohistochemistry (Formalin/PFA-fixed paraffin-embedded sections)", "shortname":"IHC-P"}, "ICCIF" : {"fullname" : "Immunocytochemistry/ Immunofluorescence", "shortname":"ICC/IF"}, "IP" : {"fullname" : "Immunoprecipitation", "shortname":"IP"}, "WB" : {"fullname" : "Western blot", "shortname":"WB"} }, "product-promise": { "all": "all", "testedAndGuaranteed": "tested", "guaranteed": "expected", "predicted": "predicted", "notRecommended": "not-recommended" } }, "values": { "Human": { "IHCP-species-checked": "testedAndGuaranteed", "IHCP-species-dilution-info": "1/100 - 1/250", "IHCP-species-notes": "<p></p>", "ICCIF-species-checked": "notRecommended", "ICCIF-species-dilution-info": "", "ICCIF-species-notes": "<p></p>", "IP-species-checked": "notRecommended", "IP-species-dilution-info": "", "IP-species-notes": "<p></p>", "WB-species-checked": "testedAndGuaranteed", "WB-species-dilution-info": "1/1000 - 1/10000", "WB-species-notes": "<p></p>" }, "Rat": { "IHCP-species-checked": "predicted", "IHCP-species-dilution-info": "", "IHCP-species-notes": "", "ICCIF-species-checked": "notRecommended", "ICCIF-species-dilution-info": "", "ICCIF-species-notes": "", "IP-species-checked": "notRecommended", "IP-species-dilution-info": "", "IP-species-notes": "", "WB-species-checked": "predicted", "WB-species-dilution-info": "", "WB-species-notes": "" } } }

Product details

Species reactivity
Mouse: We have preliminary internal testing data to indicate this antibody may not react with this species.
Please contact us for more information.

Patented technology
Our RabMAb® technology is a patented hybridoma-based technology for making rabbit monoclonal antibodies. For details on our patents, please refer to RabMAb® patents.

What are the advantages of a recombinant monoclonal antibody?
This product is a recombinant monoclonal antibody, which offers several advantages including:

  • - High batch-to-batch consistency and reproducibility
  • - Improved sensitivity and specificity
  • - Long-term security of supply
  • - Animal-free batch production

For more information, read more on recombinant antibodies.

Properties and storage information

Form
Liquid
Purity
Tissue culture supernatant
Storage buffer
pH: 7.2 - 7.4 Preservative: 0.05% Sodium azide Constituents: 50% Tissue culture supernatant, 40% Glycerol (glycerin, glycerine), 9.85% Tris glycine, 0.1% BSA
Shipped at conditions
Blue Ice
Appropriate short-term storage conditions
+4°C
Appropriate long-term storage conditions
-20°C
Storage information
Stable for 12 months at -20°C

Supplementary information

This supplementary information is collated from multiple sources and compiled automatically.

Cystatin-B also known as STEFIN-B is a protease inhibitor with a molecular mass of approximately 11 kilodaltons. It belongs to the family of cystatins which are expressed widely in human tissues with notable presence in the brain liver and kidneys. Cystatin-B acts by inhibiting cysteine proteases preventing them from degrading proteins indiscriminately. The inhibition is important for maintaining cellular protein balance and integrity.
Biological function summary

Cysteine protease inhibition by Cystatin-B protects cells from uncontrolled proteolysis which can lead to tissue damage. This protein plays an important role in the regulation of various cellular processes including apoptosis phagocytosis and the response to oxidative stress. It does not form part of a larger complex but interacts directly with its target proteases to exert its inhibitory effects.

Pathways

Cystatin-B influences proteolytic pathways by modulating the activity of cysteine proteases such as cathepsins. By inhibiting these enzymes Cystatin-B participates in the regulation of the lysosomal degradation pathway and apoptotic pathways which are important for cellular turnover and programmed cell death. Cathepsins particularly cathepsin B and L are related proteins that are significantly modulated through their interaction with Cystatin-B.

Mutations or dysregulation of Cystatin-B are associated with progressive myoclonus epilepsy and certain neurodegenerative diseases. The lack of functional Cystatin-B leads to excessive activity of proteases like cathepsin B resulting in increased proteolysis and neuronal damage. In some cases this can also connect to disorders involving oxidative stress exacerbating the detrimental cycle of cellular injury.

Product protocols

For this product, it's our understanding that no specific protocols are required. You can visit:

Target data

This is an intracellular thiol proteinase inhibitor. Tightly binding reversible inhibitor of cathepsins L, H and B.
See full target information CSTB

Publications (3)

Recent publications for all applications. Explore the full list and refine your search

JCI insight 10: PubMed40996830

2025

Focal DEPDC5 loss without disruption to cerebral cortical neuron migration recapitulates DEPDC5-related focal epilepsy.

Applications

Unspecified application

Species

Unspecified reactive species

Karenna J Groff,Yini Liang,Christopher Morici,Jinita B Modasia,Leena Mehendale,Nishtha Gupta,Angelica D'Amore,Yongho Choe,Mustafa Q Hameed,Alexander Rotenberg,Mustafa Sahin,Christopher J Yuskaitis

Current oncology (Toronto, Ont.) 32: PubMed39996856

2025

Cystatin B Promotes the Proliferation, Migration, and Invasion of Intrahepatic Cholangiocarcinoma.

Applications

Unspecified application

Species

Unspecified reactive species

Dai Zhang,Bao-Ye Sun,Jing-Fang Wu,Zhu-Tao Wang,Su-Su Zheng,Guo-Qiang Sun,Xu-Kang Gao,Jian Zhou,Jia Fan,Bo Hu,Shuang-Jian Qiu,Bo-Heng Zhang

Biological chemistry 405:351-365 PubMed38410910

2024

Cathepsin X deficiency alters the processing and localisation of cathepsin L and impairs cleavage of a nuclear cathepsin L substrate.

Applications

Unspecified application

Species

Unspecified reactive species

Bangyan Xu,Bethany M Anderson,Simon J Mountford,Philip E Thompson,Justine D Mintern,Laura E Edgington-Mitchell
View all publications

Product promise

We are committed to supporting your work with high-quality reagents, and we're here for you every step of the way. In the unlikely event that one of our products does not perform as expected, you're protected by our Product Promise.
For full details, please see our Terms & Conditions

Please note: All products are 'FOR RESEARCH USE ONLY. NOT FOR USE IN DIAGNOSTIC OR THERAPEUTIC PROCEDURES'.

For licensing inquiries, please contact partnerships@abcam.com