JavaScript is disabled in your browser. Please enable JavaScript to view this website.
AB248523

Anti-Cystatin C antibody [EPR4502] - BSA and Azide free

Be the first to review this product! Submit a review

|

(1 Publication)

Rabbit Recombinant Monoclonal Cystatin C antibody. Carrier free. Suitable for IHC-P, WB and reacts with Human samples. Cited in 1 publication.

View Alternative Names

Cystatin-C, Cystatin-3, Gamma-trace, Neuroendocrine basic polypeptide, Post-gamma-globulin, CST3

2 Images
Immunohistochemistry (Formalin/PFA-fixed paraffin-embedded sections) - Anti-Cystatin C antibody [EPR4502] - BSA and Azide free (AB248523)
  • IHC-P

Unknown

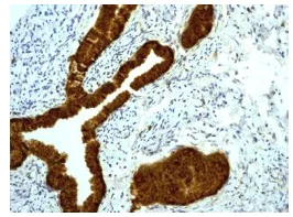
Immunohistochemistry (Formalin/PFA-fixed paraffin-embedded sections) - Anti-Cystatin C antibody [EPR4502] - BSA and Azide free (AB248523)

This data was developed using ab133495, the same antibody clone in a different buffer formulation.

Immunohistochemical analysis of Cystatin C in paraffin embedded Human ovarian tissue, using ab133495 at a dilution of 1/100.

Perform heat mediated antigen retrieval with citrate buffer pH 6 before commencing with IHC staining protocol.

Western blot - Anti-Cystatin C antibody [EPR4502] - BSA and Azide free (AB248523)
  • WB

Unknown

Western blot - Anti-Cystatin C antibody [EPR4502] - BSA and Azide free (AB248523)

This data was developed using ab133495, the same antibody clone in a different buffer formulation.

All lanes:

Western blot - Anti-Cystatin C antibody [EPR4502] (<a href='/en-us/products/primary-antibodies/cystatin-c-antibody-epr4502-ab133495'>ab133495</a>) at 1/1000 dilution

Lane 1:

Human testis lysate at 10 µg

Lane 2:

Human brain lysate at 10 µg

Lane 3:

PC3 lysate at 10 µg

Lane 4:

HepG2 lysate at 10 µg

Secondary

All lanes:

HRP labelled goat anti-rabbit at 1/2000 dilution

Predicted band size: 15 kDa

Observed band size: 13 kDa

false

Key facts

Host species

Rabbit

Clonality

Monoclonal

Clone number

EPR4502

Isotype

IgG

Carrier free

Yes

Reacts with

Human

Applications

IHC-P, WB

applications

Immunogen

The exact immunogen used to generate this antibody is proprietary information.

Reactivity data

{ "title": "Reactivity Data", "filters": { "stats": ["", "Species", "Dilution Info", "Notes"], "tabs": { "all-applications": {"fullname" : "All Applications", "shortname": "All Applications"}, "IHCP" : {"fullname" : "Immunohistochemistry (Formalin/PFA-fixed paraffin-embedded sections)", "shortname":"IHC-P"}, "FlowCyt" : {"fullname" : "Flow Cytometry", "shortname":"Flow Cyt"}, "WB" : {"fullname" : "Western blot", "shortname":"WB"} }, "product-promise": { "all": "all", "testedAndGuaranteed": "tested", "guaranteed": "expected", "predicted": "predicted", "notRecommended": "not-recommended" } }, "values": { "Human": { "IHCP-species-checked": "testedAndGuaranteed", "IHCP-species-dilution-info": "", "IHCP-species-notes": "<p></p>", "FlowCyt-species-checked": "notRecommended", "FlowCyt-species-dilution-info": "", "FlowCyt-species-notes": "<p></p>", "WB-species-checked": "testedAndGuaranteed", "WB-species-dilution-info": "", "WB-species-notes": "<p></p>" } } }

Product details

ab248523 is the carrier-free version of ab133495.

Species reactivity
Mouse, Rat: We have preliminary internal testing data to indicate this antibody may not react with these species.
Please contact us for more information.

Patented technology
Our RabMAb® technology is a patented hybridoma-based technology for making rabbit monoclonal antibodies. For details on our patents, please refer to RabMAb® patents.

What are the advantages of a recombinant monoclonal antibody?
This product is a recombinant monoclonal antibody, which offers several advantages including:

  • - High batch-to-batch consistency and reproducibility
  • - Improved sensitivity and specificity
  • - Long-term security of supply
  • - Animal-free batch production

For more information, read more on recombinant antibodies.

Conjugation ready
Our carrier-free antibodies are typically supplied in a PBS-only formulation, purified and free of BSA, sodium azide and glycerol. This conjugation-ready format is designed for use with fluorochromes, metal isotopes, oligonucleotides, and enzymes, which makes them ideal for antibody labelling, functional and cell-based assays, flow-based assays (e.g. mass cytometry) and Multiplex Imaging applications.

Use our conjugation kits for antibody conjugates that are ready-to-use in as little as 20 minutes with 1 minute hands-on-time and 100% antibody recovery: available for fluorescent dyes, HRP, biotin and gold.

Compatibility
This product is compatible with the Maxpar® Antibody Labeling Kit from Fluidigm, without the need for antibody preparation. Maxpar® is a trademark of Fluidigm Canada Inc.

Properties and storage information

Form
Liquid
Purification technique
Affinity purification Protein A
Storage buffer
pH: 7.2 - 7.4 Constituents: PBS
Shipped at conditions
Blue Ice
Appropriate short-term storage conditions
+4°C
Appropriate long-term storage conditions
+4°C
Storage information
Do Not Freeze

Product protocols

For this product, it's our understanding that no specific protocols are required. You can visit:

Target data

As an inhibitor of cysteine proteinases, this protein is thought to serve an important physiological role as a local regulator of this enzyme activity.
See full target information CST3

Publications (1)

Recent publications for all applications. Explore the full list and refine your search

Psychiatry investigation 22:699-713 PubMed40566894

2025

Transcriptional Landscape and Biomarker Discovery for Endoplasmic Reticulum Stress in Alzheimer's Disease: An Ex Vivo Study Using Patients-Derived Dermal Fibroblasts.

Applications

Unspecified application

Species

Unspecified reactive species

Yeojin Kim,You Jin Nam,Sunwoo Yoon,Young Joon Cho,Ho Min Song,Seongmin Kim,Donghyuk Shin,Jin Young Noh,Sun Min Lee,So Young Moon,Eun-Joo Kim,Soo Hyun Cho,Byeong C Kim,Seong Hye Choi,Sang Won Seo,Jin Wook Choi,Young-Sil An,Bumhee Park,Young Joon Park,Hee Young Kang,Hyun Goo Woo,Yong Hyuk Cho,Sunhwa Hong,Sang Joon Son,Sang-Rae Lee,Chang Hyung Hong,Hyun Woong Roh
View all publications

Product promise

We are committed to supporting your work with high-quality reagents, and we're here for you every step of the way. In the unlikely event that one of our products does not perform as expected, you're protected by our Product Promise.
For full details, please see our Terms & Conditions

Please note: All products are 'FOR RESEARCH USE ONLY. NOT FOR USE IN DIAGNOSTIC OR THERAPEUTIC PROCEDURES'.

For licensing inquiries, please contact partnerships@abcam.com