JavaScript is disabled in your browser. Please enable JavaScript to view this website.
AB152152

Anti-Cystatin F antibody

Be the first to review this product! Submit a review

|

(1 Publication)

Rabbit Polyclonal Cystatin F antibody. Suitable for WB, IHC-P and reacts with Human samples. Cited in 1 publication. Immunogen corresponding to Recombinant Fragment Protein within Human Cystatin-F.

View Alternative Names

Cystatin-F, Cystatin-7, Cystatin-like metastasis-associated protein, Leukocystatin, CMAP, CST7

2 Images
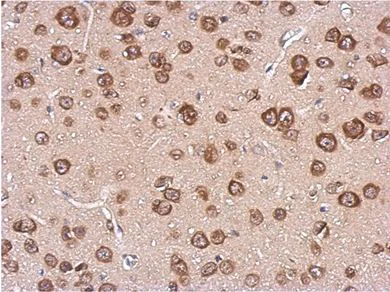
Immunohistochemistry (Formalin/PFA-fixed paraffin-embedded sections) - Anti-Cystatin F antibody (AB152152)
  • IHC-P

Unknown

Immunohistochemistry (Formalin/PFA-fixed paraffin-embedded sections) - Anti-Cystatin F antibody (AB152152)

Immunohistochemical analysis of paraffin embedded CL1-5 xenograft tissue, labeling Cystatin F using ab152152 at 1/500 dilution.

Western blot - Anti-Cystatin F antibody (AB152152)
  • WB

Supplier Data

Western blot - Anti-Cystatin F antibody (AB152152)

Samples were separated by 15% SDS-PAGE. Corresponding RNA expression data for the same cell lines are based on Human Protein Atlas program.

All lanes:

Western blot - Anti-Cystatin F antibody (ab152152) at 1/500 dilution

Lane 1:

K562 whole cell extracts at 30 µg

Lane 2:

THP-1 whole cell extracts at 30 µg

Lane 3:

HL-60 whole cell extracts at 30 µg

Secondary

All lanes:

HRP-conjugated anti-rabbit IgG antibody

Predicted band size: 16 kDa

false

Key facts

Host species

Rabbit

Clonality

Polyclonal

Isotype

IgG

Carrier free

No

Reacts with

Human

Applications

IHC-P, WB

applications

Immunogen

Recombinant Fragment Protein within Human Cystatin-F. The exact immunogen used to generate this antibody is proprietary information.

O76096

Reactivity data

{ "title": "Reactivity Data", "filters": { "stats": ["", "Species", "Dilution Info", "Notes"], "tabs": { "all-applications": {"fullname" : "All Applications", "shortname": "All Applications"}, "WB" : {"fullname" : "Western blot", "shortname":"WB"}, "IHCP" : {"fullname" : "Immunohistochemistry (Formalin/PFA-fixed paraffin-embedded sections)", "shortname":"IHC-P"} }, "product-promise": { "all": "all", "testedAndGuaranteed": "tested", "guaranteed": "expected", "predicted": "predicted", "notRecommended": "not-recommended" } }, "values": { "Human": { "WB-species-checked": "testedAndGuaranteed", "WB-species-dilution-info": "1/500 - 1/3000", "WB-species-notes": "<p></p>", "IHCP-species-checked": "testedAndGuaranteed", "IHCP-species-dilution-info": "1/100 - 1/1000", "IHCP-species-notes": "<p></p>" } } }

Properties and storage information

Form
Liquid
Purification technique
Affinity purification Immunogen
Storage buffer
pH: 7 Preservative: 0.025% Proclin 300 Constituents: PBS, 20% Glycerol (glycerin, glycerine)
Shipped at conditions
Blue Ice
Appropriate short-term storage conditions
+4°C
Appropriate long-term storage conditions
-20°C
Aliquoting information
Upon delivery aliquot
Storage information
Avoid freeze / thaw cycle

Product protocols

For this product, it's our understanding that no specific protocols are required. You can visit:

Target data

Inhibits papain and cathepsin L but with affinities lower than other cystatins. May play a role in immune regulation through inhibition of a unique target in the hematopoietic system.
See full target information Cystatin-F

Publications (1)

Recent publications for all applications. Explore the full list and refine your search

Environmental toxicology 37:1458-1471 PubMed35225430

2022

circ_0089153 exacerbates breast cancer cells proliferation and metastasis via sponging miR-2467-3p/E2F6.

Applications

Unspecified application

Species

Unspecified reactive species

Shu-Lan Gao,Ying Fan,Xiao-Dan Liu,Wei Liu,Man Zhao
View all publications

Product promise

We are committed to supporting your work with high-quality reagents, and we're here for you every step of the way. In the unlikely event that one of our products does not perform as expected, you're protected by our Product Promise.
For full details, please see our Terms & Conditions

Please note: All products are 'FOR RESEARCH USE ONLY. NOT FOR USE IN DIAGNOSTIC OR THERAPEUTIC PROCEDURES'.

For licensing inquiries, please contact partnerships@abcam.com