JavaScript is disabled in your browser. Please enable JavaScript to view this website.
AB307416

Anti-Cystatin SN/CST1 antibody [EPR25933-111]

  • KO Validated
  • 20ul selling size
  • RabMAb
  • Recombinant
  • What is this?

Be the first to review this product! Submit a review

|

(1 Publication)

Rabbit Recombinant Monoclonal Cystatin SN/CST1 antibody. Suitable for WB, IP and reacts with Human, Transfected cell line - Human samples. Cited in 1 publication.

View Alternative Names

Cystatin-SN, Cystain-SA-I, Cystatin-1, Salivary cystatin-SA-1, CST1

4 Images
Immunoprecipitation - Anti-Cystatin SN/CST1 antibody [EPR25933-111] (AB307416)
  • IP

Supplier Data

Immunoprecipitation - Anti-Cystatin SN/CST1 antibody [EPR25933-111] (AB307416)

Cystatin SN/CST1 was immunoprecipitated from 0.35 mg SW480 whole cell lysate with ab307416 at 1/30 dilution (2ug in 0.35mg lysates). Western blot was performed on the immunoprecipitate using ab307416 at 1/1000 dilution. VeriBlot for IP secondary antibody(HRP)(ab131366) was used at 1/5000 dilution. Lane 1 : SW480 (human colorectal adenocarcinoma epithelial cell) whole cell lysate Lane 2 : ab307416 IP in SW480 whole cell lysate Lane 3 : Rabbit monoclonal IgG (ab172730) instead of ab307416 in SW480 whole cell lysate Blocking and dilution buffer and concentration : 5% NFDM/TBST. Exposure time : 15 seconds

All lanes:

Immunoprecipitation - Anti-Cystatin SN/CST1 antibody [EPR25933-111] (ab307416) at 1/30 dilution

Secondary

All lanes:

Immunoprecipitation - VeriBlot for IP Detection Reagent (HRP) (<a href='/en-us/products/reagents/veriblot-for-ip-detection-reagent-hrp-ab131366'>ab131366</a>) at 1/5000 dilution

false

Exposure time: 15s

Western blot - Anti-Cystatin SN/CST1 antibody [EPR25933-111] (AB307416)
  • WB

Lab

Western blot - Anti-Cystatin SN/CST1 antibody [EPR25933-111] (AB307416)

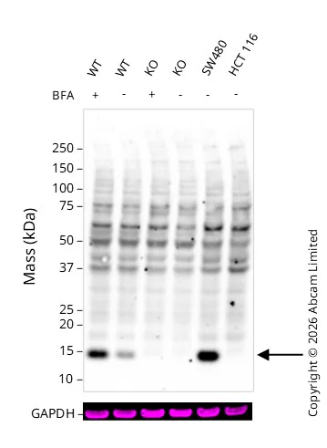
Western blot : Rabbit Monoclonal[EPR25933-111] to Cystatin SN/CST1 ab307416 staining at 1/1000 dilution; Mouse anti GAPDH ab8245 loading control staining at 1/20000 dilution, shown in magenta. A band was observed at 14 kDa. To generate this image, samples were run on an SDS-PAGE gel then transferred onto a nitrocellulose membrane. Membranes were blocked in 3pc Milk in TBS-0.1 % Tween 20 (TBS-T) before incubation with primary antibodies overnight at 4 C. Blots were washed four times in TBS-T, incubated with secondary antibodies for 1 h at room temperature, washed again four times then imaged. Secondary antibodies used were Goat anti-Rabbit HRP (H+L) and Goat anti-Mouse 680RD at 1/20,000 dilution. This blot was developed using a high-sensitivity ECL substrate, allowing for the detection of proteins in the mid-femtogram range.

All lanes:

Western blot - Anti-Cystatin SN/CST1 antibody [EPR25933-111] (ab307416) at 1/1000 dilution

Lane 1:

Wild-type A549 BFA (5g/mL,6h) at 20 µg

Lane 2:

Wild-type A549 BFA (0 g/mL,6h) at 20 µg

Lane 3:

CST1 knockout A549 BFA (5 g/mL, 6 h) at 20 µg

Lane 4:

CST1 knockout A549 BFA (0 g/mL, 6 h) at 20 µg

Lane 5:

SW480 at 20 µg

Lane 6:

HCT 116 at 20 µg

Secondary

All lanes:

Goat anti-Rabbit HRP (H+L) & Goat anti-Mouse 680RD at 1/20000 dilution

Predicted band size: 14 kDa

Observed band size: 14 kDa

true

Exposure time: 5s

Western blot - Anti-Cystatin SN/CST1 antibody [EPR25933-111] (AB307416)
  • WB

Supplier Data

Western blot - Anti-Cystatin SN/CST1 antibody [EPR25933-111] (AB307416)

Blocking and diluting buffer and concentration : 5% NFDM/TBST Low expression : HCT116 (PMID : 24357805, PMID : 28300829, PMID : 19513549), 293T (PMID : 24357805). In Western blot, anti-GAPDH antibody (ab181602) loading control staining at 1/200000 dilution. Anti- Bovine Serum Albumin antibody (ab192603) loading control staining at 1/1000 dilution. Exposure time : 48 aeconds

All lanes:

Western blot - Anti-Cystatin SN/CST1 antibody [EPR25933-111] (ab307416) at 1/1000 dilution

Lane 1:

MDA-MB-231 (human breast adenocarcinoma epithelial cell) cytoplasmic fraction at 20 µg

Lane 2:

SW480 (human colorectal adenocarcinoma epithelial cell), whole cell lysate at 20 µg

Lane 3:

HCT116 (human colorectal carcinoma epithelial cell) whole cell lysate at 20 µg

Lane 4:

293T (human embryonic kidney epithelial cell) whole cell lysate at 20 µg

Lane 5:

MDA-MB-231 culture supernatant at 10 µL

Lane 6:

SW480 culture supernatant at 10 µL

Lane 7:

HCT116 culture supernatant at 10 µL

Lane 8:

293T culture supernatant at 10 µL

Secondary

All lanes:

Western blot - Goat Anti-Rabbit IgG H&L (HRP) (<a href='/en-us/products/secondary-antibodies/goat-rabbit-igg-h-l-hrp-ab97051'>ab97051</a>) at 1/20000 dilution

Observed band size: 16 kDa

false

Exposure time: 48s

Western blot - Anti-Cystatin SN/CST1 antibody [EPR25933-111] (AB307416)
  • WB

Supplier Data

Western blot - Anti-Cystatin SN/CST1 antibody [EPR25933-111] (AB307416)

Blocking and diluting buffer and concentration : 5% NFDM/TBST This antibody does not cross-react with human CST2 and CST4. In Western blot, anti-His antibody (ab213204) staining at 1/5000 dilution. Anti-GAPDH antibody (ab181602) loading control staining at 1/200000 dilution. Exposure time : 15 seconds

All lanes:

Western blot - Anti-Cystatin SN/CST1 antibody [EPR25933-111] (ab307416) at 1/1000 dilution

Lane 1:

293T cells transfected with a human CST1 expression vector containi a myc-his tag whole cell lysate at 20 µg

Lane 2:

293T cells transfected with a human CST2 expression vector containi a myc-his tag whole cell lysate at 20 µg

Lane 3:

293T cells transfected with a human CST4 expression vector containi a myc-his tag whole cell lysate at 20 µg

Secondary

All lanes:

Western blot - Goat Anti-Rabbit IgG H&L (HRP) (<a href='/en-us/products/secondary-antibodies/goat-rabbit-igg-h-l-hrp-ab97051'>ab97051</a>) at 1/100000 dilution

Observed band size: 16 kDa

false

Exposure time: 15s

  • Carrier free

    Anti-Cystatin SN/CST1 antibody [EPR25933-111] - BSA and Azide free

Key facts

Host species

Rabbit

Clonality

Monoclonal

Clone number

EPR25933-111

Isotype

IgG

Carrier free

No

Reacts with

Human

Applications

IP, WB

applications

Immunogen

The exact immunogen used to generate this antibody is proprietary information.

Reactivity data

{ "title": "Reactivity Data", "filters": { "stats": ["", "Species", "Dilution Info", "Notes"], "tabs": { "all-applications": {"fullname" : "All Applications", "shortname": "All Applications"}, "WB" : {"fullname" : "Western blot", "shortname":"WB"}, "ICCIF" : {"fullname" : "Immunocytochemistry/ Immunofluorescence", "shortname":"ICC/IF"}, "IHCP" : {"fullname" : "Immunohistochemistry (Formalin/PFA-fixed paraffin-embedded sections)", "shortname":"IHC-P"}, "FlowCyt" : {"fullname" : "Flow Cytometry", "shortname":"Flow Cyt"}, "IP" : {"fullname" : "Immunoprecipitation", "shortname":"IP"} }, "product-promise": { "all": "all", "testedAndGuaranteed": "tested", "guaranteed": "expected", "predicted": "predicted", "notRecommended": "not-recommended" } }, "values": { "Human": { "WB-species-checked": "testedAndGuaranteed", "WB-species-dilution-info": "1/1000", "WB-species-notes": "<p></p>", "ICCIF-species-checked": "notRecommended", "ICCIF-species-dilution-info": "", "ICCIF-species-notes": "<p></p>", "IHCP-species-checked": "notRecommended", "IHCP-species-dilution-info": "", "IHCP-species-notes": "<p></p>", "FlowCyt-species-checked": "notRecommended", "FlowCyt-species-dilution-info": "", "FlowCyt-species-notes": "<p></p>", "IP-species-checked": "testedAndGuaranteed", "IP-species-dilution-info": "1/30", "IP-species-notes": "<p></p>" }, "Mouse": { "WB-species-checked": "notRecommended", "WB-species-dilution-info": "1/1000", "WB-species-notes": "<p></p>", "ICCIF-species-checked": "notRecommended", "ICCIF-species-dilution-info": "", "ICCIF-species-notes": "", "IHCP-species-checked": "notRecommended", "IHCP-species-dilution-info": "", "IHCP-species-notes": "<p></p>", "FlowCyt-species-checked": "notRecommended", "FlowCyt-species-dilution-info": "", "FlowCyt-species-notes": "", "IP-species-checked": "notRecommended", "IP-species-dilution-info": "1/30", "IP-species-notes": "<p></p>" }, "Rat": { "WB-species-checked": "notRecommended", "WB-species-dilution-info": "1/1000", "WB-species-notes": "<p></p>", "ICCIF-species-checked": "notRecommended", "ICCIF-species-dilution-info": "", "ICCIF-species-notes": "", "IHCP-species-checked": "notRecommended", "IHCP-species-dilution-info": "", "IHCP-species-notes": "<p></p>", "FlowCyt-species-checked": "notRecommended", "FlowCyt-species-dilution-info": "", "FlowCyt-species-notes": "", "IP-species-checked": "notRecommended", "IP-species-dilution-info": "1/30", "IP-species-notes": "<p></p>" }, "Transfected cell line - Human": { "WB-species-checked": "testedAndGuaranteed", "WB-species-dilution-info": "1/1000", "WB-species-notes": "<p></p>", "ICCIF-species-checked": "notRecommended", "ICCIF-species-dilution-info": "", "ICCIF-species-notes": "", "IHCP-species-checked": "notRecommended", "IHCP-species-dilution-info": "", "IHCP-species-notes": "", "FlowCyt-species-checked": "notRecommended", "FlowCyt-species-dilution-info": "", "FlowCyt-species-notes": "", "IP-species-checked": "notRecommended", "IP-species-dilution-info": "", "IP-species-notes": "" } } }

Product details

Patented technology
Our RabMAb® technology is a patented hybridoma-based technology for making rabbit monoclonal antibodies. For details on our patents, please refer to RabMAb® patents.

What are the advantages of a recombinant monoclonal antibody?
This product is a recombinant monoclonal antibody, which offers several advantages including:

  • - High batch-to-batch consistency and reproducibility
  • - Improved sensitivity and specificity
  • - Long-term security of supply
  • - Animal-free batch production

For more information, read more on recombinant antibodies.

Properties and storage information

Form
Liquid
Purification technique
Affinity purification Protein A
Storage buffer
pH: 7.2 - 7.4 Preservative: 0.01% Sodium azide Constituents: PBS, 40% Glycerol (glycerin, glycerine), 0.05% BSA
Shipped at conditions
Blue Ice
Appropriate short-term storage duration
1-2 weeks
Appropriate short-term storage conditions
+4°C
Appropriate long-term storage conditions
-20°C
Aliquoting information
Upon delivery aliquot
Storage information
Avoid freeze / thaw cycle

Supplementary information

This supplementary information is collated from multiple sources and compiled automatically.

Cystatin SN also known as CST1 is a cysteine protease inhibitor that belongs to the family of cystatins. This protein has a mass of approximately 16 kDa and is expressed primarily in human saliva as well as other tissues like the nasal mucosa and skin. Its main role involves binding to and inhibiting cathepsins and other cysteine protease enzymes preventing the breakdown of cellular and extracellular proteins. Such inhibition protects tissues from damage and helps maintain normal protein turnover.
Biological function summary

CST1 inhibits proteolytic enzymes that are involved in degrading proteins within cells and tissues. This protein is not part of a larger complex but instead exerts its function through one-on-one interactions with target proteases. Through its inhibitory actions CST1 plays a protective role in various bodily fluids and epithelial surfaces contributing to the body's barrier and immune defense mechanisms against pathogens and tissue damage.

Pathways

CST1 is engaged in the regulation of protease activity which impacts the broader proteolytic pathways that are important to cellular homeostasis. This regulation is linked to the lysosomal cathepsin family and pathways such as the protein metabolism pathway. Related proteins within these pathways include cathepsin L and cathepsin B which are also cysteine proteases that rely on precise regulation by cystatin family proteins like CST1 to prevent excessive protein degradation.

CST1 has associations with conditions like chronic rhinosinusitis and certain cancers. Chronic rhinosinusitis involves excessive inflammation and tissue damage a process where CST1's inhibition of proteases like cathepsin B is important. In cancer abnormal CST1 expression levels have been noted in gastric and colorectal cancers suggesting a connection with tumor growth and metastasis. In these contexts altered expression or function of CST1 may interact with other proteins such as cathepsin L influencing disease progression.

Product protocols

For this product, it's our understanding that no specific protocols are required. You can visit:

Target data

Human saliva appears to contain several cysteine proteinase inhibitors that are immunologically related to cystatin S but that differ in their specificity due to amino acid sequence differences. Cystatin SN, with a pI of 7.5, is a much better inhibitor of papain and dipeptidyl peptidase I than is cystatin S, although both inhibit ficin equally well.
See full target information CST1

Publications (1)

Recent publications for all applications. Explore the full list and refine your search

Scientific reports 14:4985 PubMed38424293

2024

Cysteine protease inhibitor 1 promotes metastasis by mediating an oxidative phosphorylation/MEK/ERK axis in esophageal squamous carcinoma cancer.

Applications

Unspecified application

Species

Unspecified reactive species

Liangming Zhang,Xiongfeng Chen,Jianwei Wang,Meihong Chen,Juan Chen,Wanzhen Zhuang,Yu Xia,Zhixin Huang,Yue Zheng,Yi Huang
View all publications

Product promise

We are committed to supporting your work with high-quality reagents, and we're here for you every step of the way. In the unlikely event that one of our products does not perform as expected, you're protected by our Product Promise.
For full details, please see our Terms & Conditions

Please note: All products are 'FOR RESEARCH USE ONLY. NOT FOR USE IN DIAGNOSTIC OR THERAPEUTIC PROCEDURES'.

For licensing inquiries, please contact partnerships@abcam.com