JavaScript is disabled in your browser. Please enable JavaScript to view this website.
AB69801

Anti-Cytochrome b5 antibody

3

(1 Review)

|

(13 Publications)

Rabbit Polyclonal Cytochrome b5 antibody. Suitable for IHC-P, WB, ICC/IF and reacts with Human, Mouse samples. Cited in 13 publications. Immunogen corresponding to Synthetic Peptide within Human CYB5A.

View Alternative Names

CYB5, CYB5A, Cytochrome b5, Microsomal cytochrome b5 type A, MCB5

4 Images
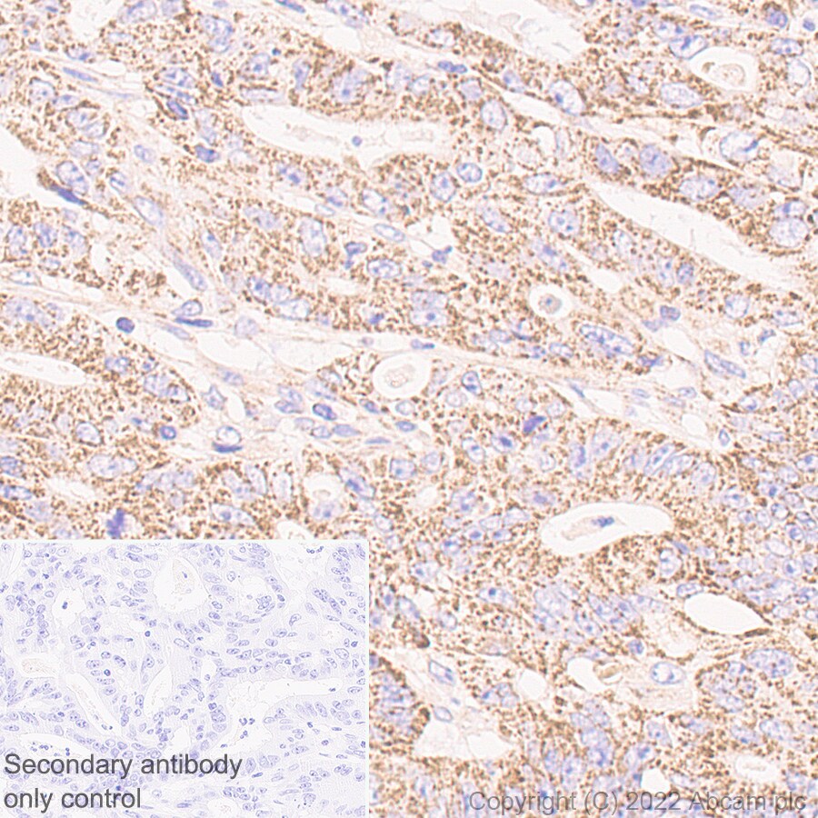
Immunohistochemistry (Formalin/PFA-fixed paraffin-embedded sections) - Anti-Cytochrome b5 antibody (AB69801)
  • IHC-P

Unknown

Immunohistochemistry (Formalin/PFA-fixed paraffin-embedded sections) - Anti-Cytochrome b5 antibody (AB69801)

IHC image of ab69801 staining in human normal liver formalin fixed paraffin embedded tissue section, performed on a Leica BondTM system using the standard protocol F. The section was pre-treated using heat mediated antigen retrieval with sodium citrate buffer (pH6, epitope retrieval solution 1) for 20 mins. The section was then incubated with ab69801, 1µg/ml, for 15 mins at room temperature and detected using an HRP conjugated compact polymer system. DAB was used as the chromogen. The section was then counterstained with haematoxylin and mounted with DPX.

For other IHC staining systems (automated and non-automated) customers should optimize variable parameters such as antigen retrieval conditions, primary antibody concentration and antibody incubation times.

Immunocytochemistry/ Immunofluorescence - Anti-Cytochrome b5 antibody (AB69801)
  • ICC/IF

Unknown

Immunocytochemistry/ Immunofluorescence - Anti-Cytochrome b5 antibody (AB69801)

Left : NIH/3T3 cells stained with ab69801 at 1/500 dilution; Right : the antibody was pre-incubated with the immunizing peptide.

Western blot - Anti-Cytochrome b5 antibody (AB69801)
  • WB

Unknown

Western blot - Anti-Cytochrome b5 antibody (AB69801)

All lanes:

Western blot - Anti-Cytochrome b5 antibody (ab69801) at 1/500 dilution

Lane 1:

extracts from A549 cells at 15 µg

Lane 2:

extracts from A549 cells at 15 µg with immunizing peptide

Predicted band size: 15 kDa

Observed band size: 15 kDa

false

Western blot - Anti-Cytochrome b5 antibody (AB69801)
  • WB

CiteAb

Western blot - Anti-Cytochrome b5 antibody (AB69801)

Cytochrome b5 western blot using anti-Cytochrome b5 antibody ab69801. Publication image and figure legend from Khan, R., Zahid, S., et al., 2013, Clin Proteomics, PubMed 23724895.

ab69801 was used in this publication in western blot. This may not be the same as the application(s) guaranteed by Abcam. For a full list of applications guaranteed by Abcam for ab69801 please see the product overview.

Immunoblot analysis confirms changes in protein expression of CYB5A. (A) : representative western blot analysis of CYB5A in HCC, fibrotic liver and HepG2 cell line. For this, 100μg of nuclear membrane samples were loaded onto a 12% SDS-PAGE. Expression level was analyzed using the primary antibody CYB5A (1 : 1000 dilution) and horse raddish peroxidase (HRP) - conjugated secondary antibody (1 : 5000 dilution). β-actin and GAPDH were used as a loading control. (B) : representative graphical expression of validated proteins by western blot. Digital images were taken by gel documentation system (Bio-Rad). Quantification and intensity measurement of protein bands were analyzed by Quantity One gel analysis software (Bio-Rad). Statistical significance (p- value > 0.05) was calculated using SPSS statistics version 17.

false

Key facts

Host species

Rabbit

Clonality

Polyclonal

Isotype

IgG

Carrier free

No

Reacts with

Mouse, Human

Applications

IHC-P, WB, ICC/IF

applications

Immunogen

Synthetic Peptide within Human CYB5A. The exact immunogen used to generate this antibody is proprietary information.

P00167

Reactivity data

{ "title": "Reactivity Data", "filters": { "stats": ["", "Species", "Dilution Info", "Notes"], "tabs": { "all-applications": {"fullname" : "All Applications", "shortname": "All Applications"}, "IHCP" : {"fullname" : "Immunohistochemistry (Formalin/PFA-fixed paraffin-embedded sections)", "shortname":"IHC-P"}, "WB" : {"fullname" : "Western blot", "shortname":"WB"}, "ICCIF" : {"fullname" : "Immunocytochemistry/ Immunofluorescence", "shortname":"ICC/IF"} }, "product-promise": { "all": "all", "testedAndGuaranteed": "tested", "guaranteed": "expected", "predicted": "predicted", "notRecommended": "not-recommended" } }, "values": { "Human": { "IHCP-species-checked": "testedAndGuaranteed", "IHCP-species-dilution-info": "1 µg/mL", "IHCP-species-notes": "<p></p> Perform heat-mediated antigen retrieval with citrate buffer pH 6 before commencing with IHC staining protocol.", "WB-species-checked": "testedAndGuaranteed", "WB-species-dilution-info": "1/500 - 1/1000", "WB-species-notes": "<p></p>", "ICCIF-species-checked": "guaranteed", "ICCIF-species-dilution-info": "", "ICCIF-species-notes": "" }, "Mouse": { "IHCP-species-checked": "guaranteed", "IHCP-species-dilution-info": "", "IHCP-species-notes": "", "WB-species-checked": "guaranteed", "WB-species-dilution-info": "", "WB-species-notes": "", "ICCIF-species-checked": "testedAndGuaranteed", "ICCIF-species-dilution-info": "1/500 - 1/1000", "ICCIF-species-notes": "<p></p>" } } }

Properties and storage information

Form
Liquid
Purification technique
Affinity purification Immunogen
Storage buffer
pH: 7.4 Preservative: 0.02% Sodium azide Constituents: PBS, 50% Glycerol (glycerin, glycerine), 0.87% Sodium chloride
Shipped at conditions
Blue Ice
Appropriate short-term storage conditions
+4°C
Appropriate long-term storage conditions
-20°C
Aliquoting information
Upon delivery aliquot
Storage information
Avoid freeze / thaw cycle

Supplementary information

This supplementary information is collated from multiple sources and compiled automatically.

Cytochrome b5 also known as CYB5A is a small hemoprotein with a molecular mass of approximately 16.7 kDa. It plays a role as electron carrier for various oxidative reactions involving oxygenases and reductases. This protein exists in two soluble forms: a microsomal form found in the endoplasmic reticulum and a mitochondrial form located in the outer mitochondrial membrane. Cytochrome b5 is expressed in many tissues including liver kidney and skin where it assists in metabolic processes.
Biological function summary

The functions of Cytochrome b5 include participation in fatty acid desaturation and elongation as well as cholesterol and steroid synthesis. It interacts with various enzyme systems including the cytochrome P450 enzyme complex acting as an electron donor in these biosynthetic pathways. Cytochrome b5 contributes to the regulation of these processes ensuring proper lipid composition in cellular membranes.

Pathways

Cytochrome b5 contributes to the electron transport chain and xenobiotic metabolism pathways. In the electron transport chain it collaborates with Cytochrome P450 to facilitate monooxygenase reactions essential for metabolizing drugs and detoxification processes. Additionally Cytochrome b5 affects fatty acid metabolism by introducing double bonds into fatty acid chains interacting with stearoyl-CoA desaturase.

Cytochrome b5 plays a role in hereditary methemoglobinemia and some cases of androgen insensitivity syndrome. Mutations affecting Cytochrome b5 can disrupt electron transfer leading to elevated levels of methemoglobin and compromised oxygen delivery. In androgen insensitivity syndrome defects in the electron transfer process with other proteins like Cytochrome P450 can affect steroid metabolism and hormonal balance.

Product protocols

For this product, it's our understanding that no specific protocols are required. You can visit:

Target data

Cytochrome b5 is a membrane-bound hemoprotein functioning as an electron carrier for several membrane-bound oxygenases.
See full target information CYB5A

Publications (13)

Recent publications for all applications. Explore the full list and refine your search

Zoological research 45:617-632 PubMed38766745

2024

Human-like adrenal features in Chinese tree shrews revealed by multi-omics analysis of adrenal cell populations and steroid synthesis.

Applications

Unspecified application

Species

Unspecified reactive species

Jing-Hang Jiang,Yi-Fu Wang,Jie Zheng,Yi-Ming Lei,Zhong-Yuan Chen,Yi Guo,Ya-Jie Guo,Bing-Qian Guo,Yu-Fang Lv,Hong-Hong Wang,Juan-Juan Xie,Yi-Xuan Liu,Ting-Wei Jin,Bi-Qi Li,Xiao-Shu Zhu,Yong-Hua Jiang,Zeng-Nan Mo

Communications biology 5:778 PubMed35995965

2022

Label-free chemical imaging of cytochrome P450 activity by Raman microscopy.

Applications

Unspecified application

Species

Unspecified reactive species

Menglu Li,Yasunori Nawa,Seiichi Ishida,Yasunari Kanda,Satoshi Fujita,Katsumasa Fujita

OncoTargets and therapy 14:1007-1020 PubMed33603407

2021

Tandem Mass Tag-Based Proteomic Analysis of Potential Biomarkers for Hepatocellular Carcinoma Differentiation.

Applications

Unspecified application

Species

Unspecified reactive species

Wei Wang,Qiang Li,Ge Huang,Bing-Yao Lin,Dongzi Lin,Yan Ma,Zhao Zhang,Tao Chen,Jie Zhou

Scientific reports 10:14193 PubMed32843676

2020

Heterologous expression of high-activity cytochrome P450 in mammalian cells.

Applications

Unspecified application

Species

Unspecified reactive species

Masaki Kumondai,Eiji Hishinuma,Evelyn Marie Gutiérrez Rico,Akio Ito,Yuya Nakanishi,Daisuke Saigusa,Noriyasu Hirasawa,Masahiro Hiratsuka

Toxicology and applied pharmacology 366:64-74 PubMed30685480

2019

Application of hepatic cytochrome b/P450 reductase null (HBRN) mice to study the role of cytochrome b in the cytochrome P450-mediated bioactivation of the anticancer drug ellipticine.

Applications

Unspecified application

Species

Unspecified reactive species

Lindsay Reed,Radek Indra,Iveta Mrizova,Michaela Moserova,Heinz H Schmeiser,C Roland Wolf,Colin J Henderson,Marie Stiborova,David H Phillips,Volker M Arlt

Archives of toxicology 92:1625-1638 PubMed29368147

2018

Cytochrome b impacts on cytochrome P450-mediated metabolism of benzo[a]pyrene and its DNA adduct formation: studies in hepatic cytochrome b /P450 reductase null (HBRN) mice.

Applications

ELISA

Species

Mouse

Lindsay Reed,Iveta Mrizova,Frantisek Barta,Radek Indra,Michaela Moserova,Klaus Kopka,Heinz H Schmeiser,C Roland Wolf,Colin J Henderson,Marie Stiborova,David H Phillips,Volker M Arlt

Arthritis research & therapy 17:56 PubMed25890314

2015

CYB5A polymorphism increases androgens and reduces risk of rheumatoid arthritis in women.

Applications

IHC-P

Species

Human

Klaus Stark,Rainer H Straub,Jozef Rovenský,Stanislava Blažičková,Gabriele Eiselt,Martin Schmidt

Clinical proteomics 10:6 PubMed23724895

2013

Protein expression profiling of nuclear membrane protein reveals potential biomarker of human hepatocellular carcinoma.

Applications

Unspecified application

Species

Unspecified reactive species

Rizma Khan,Saadia Zahid,Yu-Jui Yvonne Wan,Jameson Forster,A-Bashar Abdul Karim,Atta M Nawabi,Abid Azhar,M Ataur Rahman,Nikhat Ahmed

PloS one 8:e59682 PubMed23527250

2013

AMP activated protein kinase is indispensable for myocardial adaptation to caloric restriction in mice.

Applications

WB

Species

Mouse

Kai Chen,Satoru Kobayashi,Xianmin Xu,Benoit Viollet,Qiangrong Liang

PloS one 7:e40184 PubMed22792238

2012

Cytochrome b5 and cytokeratin 17 are biomarkers in bronchoalveolar fluid signifying onset of acute lung injury.

Applications

IHC-P

Species

Mouse

Antoine Ménoret,Sanjeev Kumar,Anthony T Vella
View all publications

Product promise

We are committed to supporting your work with high-quality reagents, and we're here for you every step of the way. In the unlikely event that one of our products does not perform as expected, you're protected by our Product Promise.
For full details, please see our Terms & Conditions

Please note: All products are 'FOR RESEARCH USE ONLY. NOT FOR USE IN DIAGNOSTIC OR THERAPEUTIC PROCEDURES'.

For licensing inquiries, please contact partnerships@abcam.com