JavaScript is disabled in your browser. Please enable JavaScript to view this website.
AB247438

Anti-Cytochrome C antibody [EP1326-80-5] - BSA and Azide free

  • BOND RX™ Validated
  • RabMAb
  • Advanced Validation
  • Recombinant
  • What is this?

Be the first to review this product! Submit a review

|

(1 Publication)

Rabbit Recombinant Monoclonal Cytochrome C antibody. Carrier free. Suitable for mIHC, IHC-P, WB and reacts with Human, Mouse, African green monkey samples. Cited in 1 publication.

View Alternative Names

CYC, CYCS, Cytochrome c

4 Images
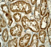
Immunohistochemistry (Formalin/PFA-fixed paraffin-embedded sections) - Anti-Cytochrome C antibody [EP1326-80-5] - BSA and Azide free (AB247438)
  • IHC-P

Unknown

Immunohistochemistry (Formalin/PFA-fixed paraffin-embedded sections) - Anti-Cytochrome C antibody [EP1326-80-5] - BSA and Azide free (AB247438)

This data was developed using ab76107, the same antibody clone in a different buffer formulation.

ab76107 at 1/100 dilution staining Cytochrome C in human kidney by Immunohistochemistry using paraffin-embedded tissue.

Perform heat mediated antigen retrieval before commencing with IHC staining protocol.

Multiplex immunohistochemistry - Anti-Cytochrome C antibody [EP1326-80-5] - BSA and Azide free (AB247438)
  • mIHC

Lab

Multiplex immunohistochemistry - Anti-Cytochrome C antibody [EP1326-80-5] - BSA and Azide free (AB247438)

Fluorescence multiplex immunohistochemical analysis of the Human parathyroid gland (Formalin/PFA-fixed paraffin-embedded sections). Panel A : merged staining of anti-CaSR (ab259846, magenta; Opal™690), anti-Cytochrome C (ab247438, green; Opal™520) and anti-FABP4 (ab92501, red; Opal™570) on human parathyroid gland. Panel B : anti-CaSR stained on parathyroid chief cells. Panel C : anti-Cytochrome C stained on parathyroid oxyphil cells. Panel D : anti-FABP4 stained on adipocytes. Opal Polymer HRP Ms + Rb was used as a secondary antibody. The section was incubated in three rounds of staining : in the order of ab259846 at 1/5000 dilution (0.103 μg/ml), ab247438 at 1/5000 dilution (0.195 μg/ml), and ab92501 at 1/10000 dilution (0.047 μg/ml) for 30 mins at room temperature. Each round was followed by a separate fluorescent tyramide signal amplification system. The immunostaining was performed on a Leica Biosystems BOND® RX instrument with an Opal™ 4-color kit. Image acquisition was performed with Leica SP8 confocal microscope. Heat mediated antigen retrieval with Tris-EDTA buffer (pH 9.0, epitope retrieval solution2) for 20 mins. DAPI (blue) was used as a nuclear counter stain.

Multiplex immunohistochemistry - Anti-Cytochrome C antibody [EP1326-80-5] - BSA and Azide free (AB247438)
  • mIHC

Lab

Multiplex immunohistochemistry - Anti-Cytochrome C antibody [EP1326-80-5] - BSA and Azide free (AB247438)

Fluorescence multiplex immunohistochemical analysis of the human parathyroid gland (Formalin/PFA-fixed paraffin-embedded sections). Panel A : merged staining of anti-Parathyroid Hormone (ab236229, magenta; Opal™690), anti-Cytochrome C (ab247438, green; Opal™520) and anti-FABP4 (ab92501, red; Opal™570) on human parathyroid gland. Panel B : anti-Cytochrome C stained on parathyroid oxyphil cells. Panel C : anti-Parathyroid Hormone stained on parathyroid chief cells. Panel D : anti-FABP4 stained on adipocytes. Opal Polymer HRP Ms + Rb was used as a secondary antibody. The section was incubated in three rounds of staining : in the order of ab236229 at 1/200 dilution (5.065 μg/ml) for 10 mins, then ab247438 at 1/5000 dilution (0.195 μg/ml) and ab92501 at 1/10000 dilution (0.047 μg/ml) for 30 mins at room temperature. Each round was followed by a separate fluorescent tyramide signal amplification system. The immunostaining was performed on a Leica Biosystems BOND® RX instrument with an Opal™ 4-color kit. Image acquisition was performed with Leica SP8 confocal microscope. Heat mediated antigen retrieval was performed with Citrate buffer (pH 6.0, Epitope Retrieval Solution 1) for 20 mins. DAPI (blue) was used as a nuclear counter stain.

Western blot - Anti-Cytochrome C antibody [EP1326-80-5] - BSA and Azide free (AB247438)
  • WB

Unknown

Western blot - Anti-Cytochrome C antibody [EP1326-80-5] - BSA and Azide free (AB247438)

This data was developed using ab76107, the same antibody clone in a different buffer formulation.

All lanes:

Western blot - Anti-Cytochrome C antibody [EP1326-80-5] (<a href='/en-us/products/primary-antibodies/cytochrome-c-antibody-ep1326-80-5-ab76107'>ab76107</a>) at 1/200 dilution

Lane 1:

HeLa cell lysate at 10 µg

Lane 2:

COS cell lysate at 10 µg

Lane 3:

L929 cell lysate at 10 µg

Secondary

Lanes 1 - 2:

Goat anti-rabbit HRP at 1/2000 dilution

Lane 3:

goat anti-rabbit HRP at 1/2000 dilution

Predicted band size: 11 kDa

Observed band size: 15 kDa

false

Key facts

Host species

Rabbit

Clonality

Monoclonal

Clone number

EP1326-80-5

Isotype

IgG

Carrier free

Yes

Reacts with

Mouse, Human, African green monkey

Applications

mIHC, WB, IHC-P

applications

Immunogen

The exact immunogen used to generate this antibody is proprietary information.

Reactivity data

{ "title": "Reactivity Data", "filters": { "stats": ["", "Species", "Dilution Info", "Notes"], "tabs": { "all-applications": {"fullname" : "All Applications", "shortname": "All Applications"}, "mIHC" : {"fullname" : "Multiplex immunohistochemistry", "shortname":"mIHC"}, "IHCP" : {"fullname" : "Immunohistochemistry (Formalin/PFA-fixed paraffin-embedded sections)", "shortname":"IHC-P"}, "FlowCyt" : {"fullname" : "Flow Cytometry", "shortname":"Flow Cyt"}, "WB" : {"fullname" : "Western blot", "shortname":"WB"} }, "product-promise": { "all": "all", "testedAndGuaranteed": "tested", "guaranteed": "expected", "predicted": "predicted", "notRecommended": "not-recommended" } }, "values": { "Human": { "mIHC-species-checked": "testedAndGuaranteed", "mIHC-species-dilution-info": "1/5000", "mIHC-species-notes": "<p></p>", "IHCP-species-checked": "testedAndGuaranteed", "IHCP-species-dilution-info": "", "IHCP-species-notes": "<p></p>", "FlowCyt-species-checked": "notRecommended", "FlowCyt-species-dilution-info": "", "FlowCyt-species-notes": "<p></p>", "WB-species-checked": "testedAndGuaranteed", "WB-species-dilution-info": "", "WB-species-notes": "<p></p>" }, "Mouse": { "mIHC-species-checked": "guaranteed", "mIHC-species-dilution-info": "", "mIHC-species-notes": "", "IHCP-species-checked": "guaranteed", "IHCP-species-dilution-info": "", "IHCP-species-notes": "", "FlowCyt-species-checked": "notRecommended", "FlowCyt-species-dilution-info": "", "FlowCyt-species-notes": "<p></p>", "WB-species-checked": "testedAndGuaranteed", "WB-species-dilution-info": "", "WB-species-notes": "<p></p>" }, "Rat": { "mIHC-species-checked": "predicted", "mIHC-species-dilution-info": "", "mIHC-species-notes": "", "IHCP-species-checked": "predicted", "IHCP-species-dilution-info": "", "IHCP-species-notes": "", "FlowCyt-species-checked": "notRecommended", "FlowCyt-species-dilution-info": "", "FlowCyt-species-notes": "", "WB-species-checked": "predicted", "WB-species-dilution-info": "", "WB-species-notes": "" }, "African green monkey": { "mIHC-species-checked": "guaranteed", "mIHC-species-dilution-info": "", "mIHC-species-notes": "", "IHCP-species-checked": "guaranteed", "IHCP-species-dilution-info": "", "IHCP-species-notes": "", "FlowCyt-species-checked": "notRecommended", "FlowCyt-species-dilution-info": "", "FlowCyt-species-notes": "<p></p>", "WB-species-checked": "testedAndGuaranteed", "WB-species-dilution-info": "", "WB-species-notes": "<p></p>" } } }

Product details

ab247438 is the carrier-free version of ab76107.

Patented technology
Our RabMAb® technology is a patented hybridoma-based technology for making rabbit monoclonal antibodies. For details on our patents, please refer to RabMAb® patents.

What are the advantages of a recombinant monoclonal antibody?
This product is a recombinant monoclonal antibody, which offers several advantages including:

  • - High batch-to-batch consistency and reproducibility
  • - Improved sensitivity and specificity
  • - Long-term security of supply
  • - Animal-free batch production

For more information, read more on recombinant antibodies.

Conjugation ready
Our carrier-free antibodies are typically supplied in a PBS-only formulation, purified and free of BSA, sodium azide and glycerol. This conjugation-ready format is designed for use with fluorochromes, metal isotopes, oligonucleotides, and enzymes, which makes them ideal for antibody labelling, functional and cell-based assays, flow-based assays (e.g. mass cytometry) and Multiplex Imaging applications.

Use our conjugation kits for antibody conjugates that are ready-to-use in as little as 20 minutes with 1 minute hands-on-time and 100% antibody recovery: available for fluorescent dyes, HRP, biotin and gold.

Compatibility
This product is compatible with the Maxpar® Antibody Labeling Kit from Fluidigm, without the need for antibody preparation. Maxpar® is a trademark of Fluidigm Canada Inc.

Properties and storage information

Form
Liquid
Purification technique
Affinity purification Protein A
Storage buffer
pH: 7.2 - 7.4 Constituents: PBS
Shipped at conditions
Blue Ice
Appropriate short-term storage conditions
+4°C
Appropriate long-term storage conditions
+4°C
Storage information
Do Not Freeze

Supplementary information

This supplementary information is collated from multiple sources and compiled automatically.

Cytochrome C also referred to as "cytochrome c" or "Cyt C" is a small protein with a molecular weight of approximately 12 kDa. It is a component of the electron transport chain playing an essential mechanical role in cellular respiration. Cytochrome C is expressed in the mitochondria of eukaryotic cells where it functions as a heme protein. The mass of this protein allows efficient electron transfer between Complex III (cytochrome bc1 complex) and Complex IV (cytochrome c oxidase) contributing to ATP synthesis.
Biological function summary

Cytochrome c contributes to the process of oxidative phosphorylation within mitochondria. It is not only an important electron carrier but it also plays a significant role in apoptosis. In the event of cellular stress cytochrome c releases into the cytosol and forms part of the apoptosome complex. This apoptosome activation leads to the caspase cascade driving programmed cell death. Therefore cytochrome C serves as both a mediator of energy production and a regulator of apoptosis.

Pathways

Cytochrome c is integral to the mitochondrial electron transport chain and apoptotic pathways. It interacts with proteins in these pathways such as cytochrome c oxidase in oxidative phosphorylation and Apaf-1 during apoptosis. The electron transport chain's function is dependent on the efficient transfer of electrons facilitated by cytochrome c ensuring ATP production in cellular respiration.

Cytochrome c links to conditions like cancer and neurodegenerative diseases. In cancer its role in the apoptotic pathway often emerges as cancer cells can develop mechanisms to evade apoptosis impacting cytochrome c release. For neurodegenerative diseases disruptions in mitochondrial function and cytochrome c's release can facilitate cell death implicating its role in conditions like Parkinson's disease. The interaction of cytochrome c with proteins such as p53 in response to cellular stress further highlights its involvement in disease pathogenesis.

Product protocols

For this product, it's our understanding that no specific protocols are required. You can visit:

Target data

Electron carrier protein. The oxidized form of the cytochrome c heme group can accept an electron from the heme group of the cytochrome c1 subunit of cytochrome reductase. Cytochrome c then transfers this electron to the cytochrome oxidase complex, the final protein carrier in the mitochondrial electron-transport chain.. Plays a role in apoptosis. Suppression of the anti-apoptotic members or activation of the pro-apoptotic members of the Bcl-2 family leads to altered mitochondrial membrane permeability resulting in release of cytochrome c into the cytosol. Binding of cytochrome c to Apaf-1 triggers the activation of caspase-9, which then accelerates apoptosis by activating other caspases.
See full target information CYCS

Publications (1)

Recent publications for all applications. Explore the full list and refine your search

Nature genetics 57:1142-1154 PubMed40229600

2025

Longitudinal single-cell multiomic atlas of high-risk neuroblastoma reveals chemotherapy-induced tumor microenvironment rewiring.

Applications

Unspecified application

Species

Unspecified reactive species

Wenbao Yu,Rumeysa Biyik-Sit,Yasin Uzun,Chia-Hui Chen,Anusha Thadi,Jonathan H Sussman,Minxing Pang,Chi-Yun Wu,Liron D Grossmann,Peng Gao,David W Wu,Aliza Yousey,Mei Zhang,Christina S Turn,Zhan Zhang,Shovik Bandyopadhyay,Jeffrey Huang,Tasleema Patel,Changya Chen,Daniel Martinez,Lea F Surrey,Michael D Hogarty,Kathrin Bernt,Nancy R Zhang,John M Maris,Kai Tan
View all publications

Product promise

We are committed to supporting your work with high-quality reagents, and we're here for you every step of the way. In the unlikely event that one of our products does not perform as expected, you're protected by our Product Promise.
For full details, please see our Terms & Conditions

Please note: All products are 'FOR RESEARCH USE ONLY. NOT FOR USE IN DIAGNOSTIC OR THERAPEUTIC PROCEDURES'.

For licensing inquiries, please contact partnerships@abcam.com