JavaScript is disabled in your browser. Please enable JavaScript to view this website.
AB243916

Anti-Cytochrome C Oxidase subunit VIc/COX6C antibody [EPR9938] - BSA and Azide free

Be the first to review this product! Submit a review

|

(0 Publication)

Rabbit Recombinant Monoclonal Cytochrome C Oxidase subunit VIc/COX6C antibody. Carrier free. Suitable for WB, IHC-P and reacts with Mouse, Rat, Human samples.

View Alternative Names

Cytochrome c oxidase subunit 6C, Cytochrome c oxidase polypeptide VIc, COX6C

9 Images
Immunohistochemistry (Formalin/PFA-fixed paraffin-embedded sections) - Anti-Cytochrome C Oxidase subunit VIc/COX6C antibody [EPR9938] - BSA and Azide free (AB243916)
  • IHC-P

Unknown

Immunohistochemistry (Formalin/PFA-fixed paraffin-embedded sections) - Anti-Cytochrome C Oxidase subunit VIc/COX6C antibody [EPR9938] - BSA and Azide free (AB243916)

Immunohistochemical analysis of paraffin embedded human skeletal muscle tissue using ab150422 showing positive staining.

This data was developed using the same antibody clone in a different buffer formulation containing PBS, BSA, glycerol, and sodium azide (ab150422)

Immunohistochemistry (Formalin/PFA-fixed paraffin-embedded sections) - Anti-Cytochrome C Oxidase subunit VIc/COX6C antibody [EPR9938] - BSA and Azide free (AB243916)
  • IHC-P

Unknown

Immunohistochemistry (Formalin/PFA-fixed paraffin-embedded sections) - Anti-Cytochrome C Oxidase subunit VIc/COX6C antibody [EPR9938] - BSA and Azide free (AB243916)

Immunohistochemical analysis of paraffin embedded human colon tissue using ab150422 showing positive staining.

This data was developed using the same antibody clone in a different buffer formulation containing PBS, BSA, glycerol, and sodium azide (ab150422)

Immunohistochemistry (Formalin/PFA-fixed paraffin-embedded sections) - Anti-Cytochrome C Oxidase subunit VIc/COX6C antibody [EPR9938] - BSA and Azide free (AB243916)
  • IHC-P

Unknown

Immunohistochemistry (Formalin/PFA-fixed paraffin-embedded sections) - Anti-Cytochrome C Oxidase subunit VIc/COX6C antibody [EPR9938] - BSA and Azide free (AB243916)

Immunohistochemical analysis of paraffin-embedded human stomach tissue labeling Cytochrome C Oxidase subunit VIc/COX6C with ab150422 at 1/50 dilution.

This data was developed using the same antibody clone in a different buffer formulation containing PBS, BSA, glycerol, and sodium azide (ab150422)

Immunohistochemistry (Formalin/PFA-fixed paraffin-embedded sections) - Anti-Cytochrome C Oxidase subunit VIc/COX6C antibody [EPR9938] - BSA and Azide free (AB243916)
  • IHC-P

Unknown

Immunohistochemistry (Formalin/PFA-fixed paraffin-embedded sections) - Anti-Cytochrome C Oxidase subunit VIc/COX6C antibody [EPR9938] - BSA and Azide free (AB243916)

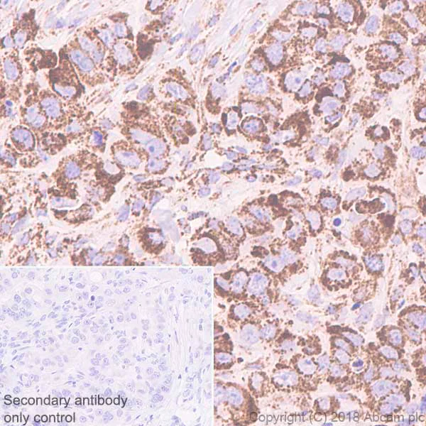
Immunohistochemistry (Formalin/PFA-fixed paraffin-embedded sections) analysis of Human breast carcinoma tissue sections labeling Cytochrome C Oxidase subunit VIc/COX6C with purified ab150422 at 1 : 500 dilution (0.45 μg/ml). Heat mediated antigen retrieval was performed using ab93684 (Tris/EDTA buffer, pH 9.0). ImmunoHistoProbe one step HRP Polymer (ready to use)was used as the secondary antibody. Negative control : PBS instead of the primary antibody. Hematoxylin was used as a counterstain.

Immunohistochemistry (Formalin/PFA-fixed paraffin-embedded sections) - Anti-Cytochrome C Oxidase subunit VIc/COX6C antibody [EPR9938] - BSA and Azide free (AB243916)
  • IHC-P

Unknown

Immunohistochemistry (Formalin/PFA-fixed paraffin-embedded sections) - Anti-Cytochrome C Oxidase subunit VIc/COX6C antibody [EPR9938] - BSA and Azide free (AB243916)

Immunohistochemical analysis of paraffin-embedded human kidney tissue labeling Cytochrome C Oxidase subunit VIc/COX6C with ab150422 at 1/50 dilution.

This data was developed using the same antibody clone in a different buffer formulation containing PBS, BSA, glycerol, and sodium azide (ab150422)

Immunohistochemistry (Formalin/PFA-fixed paraffin-embedded sections) - Anti-Cytochrome C Oxidase subunit VIc/COX6C antibody [EPR9938] - BSA and Azide free (AB243916)
  • IHC-P

Unknown

Immunohistochemistry (Formalin/PFA-fixed paraffin-embedded sections) - Anti-Cytochrome C Oxidase subunit VIc/COX6C antibody [EPR9938] - BSA and Azide free (AB243916)

Immunohistochemical analysis of paraffin embedded human liver tissue using ab150422 showing positive staining.

This data was developed using the same antibody clone in a different buffer formulation containing PBS, BSA, glycerol, and sodium azide (ab150422)

Immunohistochemistry (Formalin/PFA-fixed paraffin-embedded sections) - Anti-Cytochrome C Oxidase subunit VIc/COX6C antibody [EPR9938] - BSA and Azide free (AB243916)
  • IHC-P

Unknown

Immunohistochemistry (Formalin/PFA-fixed paraffin-embedded sections) - Anti-Cytochrome C Oxidase subunit VIc/COX6C antibody [EPR9938] - BSA and Azide free (AB243916)

Immunohistochemistry (Formalin/PFA-fixed paraffin-embedded sections) analysis of Mouse cardiac muscle tissue sections labeling Cytochrome C Oxidase subunit VIc/COX6C with purified ab150422 at 1 : 500 dilution (0.45 μg/ml). Heat mediated antigen retrieval was performed using ab93684 (Tris/EDTA buffer, pH 9.0). ImmunoHistoProbe one step HRP Polymer (ready to use)was used as the secondary antibody. Negative control : PBS instead of the primary antibody. Hematoxylin was used as a counterstain.

Immunohistochemistry (Formalin/PFA-fixed paraffin-embedded sections) - Anti-Cytochrome C Oxidase subunit VIc/COX6C antibody [EPR9938] - BSA and Azide free (AB243916)
  • IHC-P

Unknown

Immunohistochemistry (Formalin/PFA-fixed paraffin-embedded sections) - Anti-Cytochrome C Oxidase subunit VIc/COX6C antibody [EPR9938] - BSA and Azide free (AB243916)

Immunohistochemical analysis of paraffin embedded human colonic adenocarcinoma tissue using ab150422 showing positive staining.

This data was developed using the same antibody clone in a different buffer formulation containing PBS, BSA, glycerol, and sodium azide (ab150422)

Immunohistochemistry (Formalin/PFA-fixed paraffin-embedded sections) - Anti-Cytochrome C Oxidase subunit VIc/COX6C antibody [EPR9938] - BSA and Azide free (AB243916)
  • IHC-P

Unknown

Immunohistochemistry (Formalin/PFA-fixed paraffin-embedded sections) - Anti-Cytochrome C Oxidase subunit VIc/COX6C antibody [EPR9938] - BSA and Azide free (AB243916)

Immunohistochemistry (Formalin/PFA-fixed paraffin-embedded sections) analysis of Rat liver tissue sections labeling Cytochrome C Oxidase subunit VIc/COX6C with purified ab150422 at 1 : 500 dilution (0.45 μg/ml). Heat mediated antigen retrieval was performed using ab93684 (Tris/EDTA buffer, pH 9.0). ImmunoHistoProbe one step HRP Polymer (ready to use)was used as the secondary antibody. Negative control : PBS instead of the primary antibody. Hematoxylin was used as a counterstain.

  • Unconjugated

    Anti-Cytochrome C Oxidase subunit VIc/COX6C antibody [EPR9938]

Key facts

Host species

Rabbit

Clonality

Monoclonal

Clone number

EPR9938

Isotype

IgG

Carrier free

Yes

Reacts with

Mouse, Rat, Human

Applications

WB, IHC-P

applications

Immunogen

The exact immunogen used to generate this antibody is proprietary information.

Reactivity data

{ "title": "Reactivity Data", "filters": { "stats": ["", "Species", "Dilution Info", "Notes"], "tabs": { "all-applications": {"fullname" : "All Applications", "shortname": "All Applications"}, "ICCIF" : {"fullname" : "Immunocytochemistry/ Immunofluorescence", "shortname":"ICC/IF"}, "IP" : {"fullname" : "Immunoprecipitation", "shortname":"IP"}, "FlowCyt" : {"fullname" : "Flow Cytometry", "shortname":"Flow Cyt"}, "WB" : {"fullname" : "Western blot", "shortname":"WB"}, "IHCP" : {"fullname" : "Immunohistochemistry (Formalin/PFA-fixed paraffin-embedded sections)", "shortname":"IHC-P"} }, "product-promise": { "all": "all", "testedAndGuaranteed": "tested", "guaranteed": "expected", "predicted": "predicted", "notRecommended": "not-recommended" } }, "values": { "Human": { "ICCIF-species-checked": "notRecommended", "ICCIF-species-dilution-info": "", "ICCIF-species-notes": "<p></p>", "IP-species-checked": "notRecommended", "IP-species-dilution-info": "", "IP-species-notes": "<p></p>", "FlowCyt-species-checked": "notRecommended", "FlowCyt-species-dilution-info": "", "FlowCyt-species-notes": "<p></p>", "WB-species-checked": "guaranteed", "WB-species-dilution-info": "", "WB-species-notes": "<p></p>", "IHCP-species-checked": "predicted", "IHCP-species-dilution-info": "", "IHCP-species-notes": "" }, "Mouse": { "ICCIF-species-checked": "notRecommended", "ICCIF-species-dilution-info": "", "ICCIF-species-notes": "<p></p>", "IP-species-checked": "notRecommended", "IP-species-dilution-info": "", "IP-species-notes": "<p></p>", "FlowCyt-species-checked": "notRecommended", "FlowCyt-species-dilution-info": "", "FlowCyt-species-notes": "<p></p>", "WB-species-checked": "guaranteed", "WB-species-dilution-info": "", "WB-species-notes": "<p></p>", "IHCP-species-checked": "predicted", "IHCP-species-dilution-info": "", "IHCP-species-notes": "" }, "Rat": { "ICCIF-species-checked": "notRecommended", "ICCIF-species-dilution-info": "", "ICCIF-species-notes": "<p></p>", "IP-species-checked": "notRecommended", "IP-species-dilution-info": "", "IP-species-notes": "<p></p>", "FlowCyt-species-checked": "notRecommended", "FlowCyt-species-dilution-info": "", "FlowCyt-species-notes": "<p></p>", "WB-species-checked": "guaranteed", "WB-species-dilution-info": "", "WB-species-notes": "<p></p>", "IHCP-species-checked": "testedAndGuaranteed", "IHCP-species-dilution-info": "", "IHCP-species-notes": "<p></p>" } } }

Product details

ab243916 is the carrier-free version of ab150422.

Patented technology
Our RabMAb® technology is a patented hybridoma-based technology for making rabbit monoclonal antibodies. For details on our patents, please refer to RabMAb® patents.

What are the advantages of a recombinant monoclonal antibody?
This product is a recombinant monoclonal antibody, which offers several advantages including:

  • - High batch-to-batch consistency and reproducibility
  • - Improved sensitivity and specificity
  • - Long-term security of supply
  • - Animal-free batch production

For more information, read more on recombinant antibodies.

Conjugation ready
Our carrier-free antibodies are typically supplied in a PBS-only formulation, purified and free of BSA, sodium azide and glycerol. This conjugation-ready format is designed for use with fluorochromes, metal isotopes, oligonucleotides, and enzymes, which makes them ideal for antibody labelling, functional and cell-based assays, flow-based assays (e.g. mass cytometry) and Multiplex Imaging applications.

Use our conjugation kits for antibody conjugates that are ready-to-use in as little as 20 minutes with 1 minute hands-on-time and 100% antibody recovery: available for fluorescent dyes, HRP, biotin and gold.

Compatibility
This product is compatible with the Maxpar® Antibody Labeling Kit from Fluidigm, without the need for antibody preparation. Maxpar® is a trademark of Fluidigm Canada Inc.

Properties and storage information

Form
Liquid
Purification technique
Affinity purification Protein A
Storage buffer
pH: 7.2 - 7.4 Constituents: PBS
Shipped at conditions
Blue Ice
Appropriate short-term storage conditions
+4°C
Appropriate long-term storage conditions
+4°C
Storage information
Do Not Freeze

Supplementary information

This supplementary information is collated from multiple sources and compiled automatically.

Cytochrome C Oxidase subunit VIc also known as COX6C or cytochrome c oxidase subunit 1 is a component of the enzyme cytochrome c oxidase also referred to as complex IV in the mitochondrial electron transport chain. This subunit contributes significantly to the mechanical activity by aiding the catalytic conversion of molecular oxygen to water. COX6C is relatively lightweight compared to other subunits with an approximate mass of 7.5 kDa. The expression of COX6C predominantly occurs in tissues with high metabolic activity such as the heart muscle and brain where energetic demands are substantial.
Biological function summary

Cytochrome C Oxidase subunit VIc is part of the larger cytochrome c oxidase complex facilitating efficient electron transfer from cytochrome c to oxygen therefore promoting the process of oxidative phosphorylation. This activity is critical for sustaining the mitochondrial membrane potential and ATP production. COX6C's integration within the complex is necessary for its structural integrity and optimal performance. This subunit impacts mitochondrial functionality playing a pivotal role in cellular energy metabolism.

Pathways

Cytochrome C Oxidase subunit VIc contributes to the oxidative phosphorylation pathway and impacts the electron transport chain's efficiency. Its function within this pathway is interconnected with cytochrome c and other cytochrome oxidase complexes. During this process ATP synthase takes advantage of the proton gradient established by the electron flow managed by complex IV. COX6C's role within these pathways ensures effective energy conversion maintaining cellular respiration and energy output in aerobically respiring cells.

Abnormalities in cytochrome C Oxidase subunit VIc expression or function often lead to mitochondrial diseases such as Leigh syndrome and cytochrome c oxidase deficiency. These conditions are linked with defects in cellular respiration causing a wide array of symptoms including neurological and muscular impairments. The subunit's relationship with cytochrome c integral to both electron transfer and apoptosis pathways highlights its influence in these mitochondrial disorders. Understanding COX6C's role offers insights into potential therapeutic targets to mitigate these conditions.

Product protocols

For this product, it's our understanding that no specific protocols are required. You can visit:

Target data

Component of the cytochrome c oxidase, the last enzyme in the mitochondrial electron transport chain which drives oxidative phosphorylation. The respiratory chain contains 3 multisubunit complexes succinate dehydrogenase (complex II, CII), ubiquinol-cytochrome c oxidoreductase (cytochrome b-c1 complex, complex III, CIII) and cytochrome c oxidase (complex IV, CIV), that cooperate to transfer electrons derived from NADH and succinate to molecular oxygen, creating an electrochemical gradient over the inner membrane that drives transmembrane transport and the ATP synthase. Cytochrome c oxidase is the component of the respiratory chain that catalyzes the reduction of oxygen to water. Electrons originating from reduced cytochrome c in the intermembrane space (IMS) are transferred via the dinuclear copper A center (CU(A)) of subunit 2 and heme A of subunit 1 to the active site in subunit 1, a binuclear center (BNC) formed by heme A3 and copper B (CU(B)). The BNC reduces molecular oxygen to 2 water molecules using 4 electrons from cytochrome c in the IMS and 4 protons from the mitochondrial matrix.
See full target information Cytochrome c oxidase subunit 6C

Product promise

We are committed to supporting your work with high-quality reagents, and we're here for you every step of the way. In the unlikely event that one of our products does not perform as expected, you're protected by our Product Promise.
For full details, please see our Terms & Conditions

Please note: All products are 'FOR RESEARCH USE ONLY. NOT FOR USE IN DIAGNOSTIC OR THERAPEUTIC PROCEDURES'.

For licensing inquiries, please contact partnerships@abcam.com