JavaScript is disabled in your browser. Please enable JavaScript to view this website.
AB125022

Anti-Cytochrome P450 17A1/CYP17A1 antibody [EPR6293]

5

(3 Reviews)

|

(45 Publications)

Rabbit Recombinant Monoclonal Cytochrome P450 17A1/CYP17A1 antibody. Suitable for IP, WB, ICC/IF, Flow Cyt (Intra) and reacts with Human samples. Cited in 45 publications.

View Alternative Names

CYP17, S17AH, CYP17A1, 17-alpha-hydroxyprogesterone aldolase, CYPXVII, Cytochrome P450 17A1, Cytochrome P450-C17, Steroid 17-alpha-monooxygenase, Cytochrome P450c17

5 Images
Immunocytochemistry/ Immunofluorescence - Anti-Cytochrome P450 17A1/CYP17A1 antibody [EPR6293] (AB125022)
  • ICC/IF

Unknown

Immunocytochemistry/ Immunofluorescence - Anti-Cytochrome P450 17A1/CYP17A1 antibody [EPR6293] (AB125022)

Immunocytochemistry/ Immunofluorescence analysis of HeLa (Human cervix adenocarcinoma epithelial cell) cells labeling Cytochrome P450 17A1/CYP17A1 with Purified ab125022 at 1 : 100 dilution (3.4 μg/ml). Cells were fixed in 4% Paraformaldehyde and permeabilized with 0.1% tritonX-100. Cells were counterstained with none. Goat anti rabbit IgG (Alexa Fluor® 488 ab150077) was used as the secondary antibody at 1 : 1000 (2 μg/ml) dilution. DAPI nuclear counterstain. PBS instead of the primary antibody was used as the secondary antibody only control.

Flow Cytometry (Intracellular) - Anti-Cytochrome P450 17A1/CYP17A1 antibody [EPR6293] (AB125022)
  • Flow Cyt (Intra)

Unknown

Flow Cytometry (Intracellular) - Anti-Cytochrome P450 17A1/CYP17A1 antibody [EPR6293] (AB125022)

Intracellular Flow Cytometry analysis of HeLa (human cervix adenocarcinoma) cells labeling Cytochrome P450 17A1/CYP17A1 with purified ab125022 at 1/220 dilution (10ug/ml) (red). Cells were fixed with 4% paraformaldehyde and permeabilised with 90% methanol. A Goat anti rabbit IgG (Alexa Fluor® 488) (1/2000 dilution) was used as the secondary antibody. Rabbit monoclonal IgG (Black) was used as the isotype control, cells without incubation with primary antibody and secondary antibody (Blue) were used as the unlabeled control.

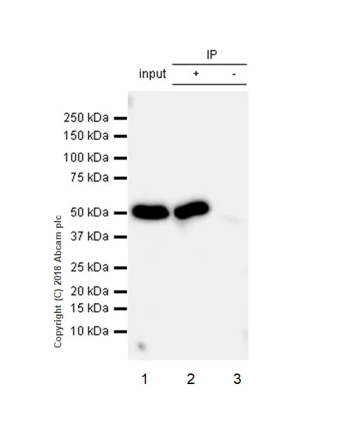
Immunoprecipitation - Anti-Cytochrome P450 17A1/CYP17A1 antibody [EPR6293] (AB125022)
  • IP

Unknown

Immunoprecipitation - Anti-Cytochrome P450 17A1/CYP17A1 antibody [EPR6293] (AB125022)

ab125022 (purified) at 1 : 30 dilution (2μg) immunoprecipitating Cytochrome P450 17A1/CYP17A1 in Human fetal heart lysate.
Lane 1 (input) : Human fetal heart lysate 10μg
Lane 2 (+) : ab125022 & Human fetal heart lysate
Lane 3 (-) : Rabbit monoclonal IgG (ab172730) instead of ab125022 in Human fetal heart lysate
For western blotting, VeriBlot for IP Detection Reagent (HRP) (ab131366) was used for detection at 1 : 1000 dilution.
Blocking and diluting buffer : 5% NFDM/TBST.

All lanes:

Immunoprecipitation - Anti-Cytochrome P450 17A1/CYP17A1 antibody [EPR6293] (ab125022)

Predicted band size: 57 kDa

false

Western blot - Anti-Cytochrome P450 17A1/CYP17A1 antibody [EPR6293] (AB125022)
  • WB

Unknown

Western blot - Anti-Cytochrome P450 17A1/CYP17A1 antibody [EPR6293] (AB125022)

All lanes:

Western blot - Anti-Cytochrome P450 17A1/CYP17A1 antibody [EPR6293] (ab125022) at 1/2000 dilution

All lanes:

Human fetal heart lysates at 15 µg

Predicted band size: 57 kDa

false

Western blot - Anti-Cytochrome P450 17A1/CYP17A1 antibody [EPR6293] (AB125022)
  • WB

Unknown

Western blot - Anti-Cytochrome P450 17A1/CYP17A1 antibody [EPR6293] (AB125022)

All lanes:

Western blot - Anti-Cytochrome P450 17A1/CYP17A1 antibody [EPR6293] (ab125022) at 1/1000 dilution

Lane 1:

Human adrenal gland lysate at 10 µg

Lane 2:

SK-OV-3 lysate at 10 µg

Lane 3:

HeLa lysate at 10 µg

Lane 4:

Jurkat lysate at 10 µg

Secondary

All lanes:

HRP labelled goat anti-rabbit at 1/2000 dilution

Predicted band size: 57 kDa

Observed band size: 55 kDa

false

  • 578 PE

    PE Anti-Cytochrome P450 17A1/CYP17A1 antibody [EPR6293]

  • HRP

    HRP Anti-Cytochrome P450 17A1/CYP17A1 antibody [EPR6293]

  • 665 Alexa Fluor® 647

    Alexa Fluor® 647 Anti-Cytochrome P450 17A1/CYP17A1 antibody [EPR6293]

  • 519 Alexa Fluor® 488

    Alexa Fluor® 488 Anti-Cytochrome P450 17A1/CYP17A1 antibody [EPR6293]

  • Carrier free

    Anti-Cytochrome P450 17A1/CYP17A1 antibody [EPR6293] - BSA and Azide free

  • Carrier free

    Anti-Cytochrome P450 17A1/CYP17A1 antibody [EPR6293] - Low endotoxin, Azide free

Key facts

Host species

Rabbit

Clonality

Monoclonal

Clone number

EPR6293

Isotype

IgG

Carrier free

No

Reacts with

Human

Applications

IP, WB, ICC/IF, Flow Cyt (Intra)

applications

Immunogen

The exact immunogen used to generate this antibody is proprietary information.

Reactivity data

{ "title": "Reactivity Data", "filters": { "stats": ["", "Species", "Dilution Info", "Notes"], "tabs": { "all-applications": {"fullname" : "All Applications", "shortname": "All Applications"}, "IP" : {"fullname" : "Immunoprecipitation", "shortname":"IP"}, "WB" : {"fullname" : "Western blot", "shortname":"WB"}, "IHCP" : {"fullname" : "Immunohistochemistry (Formalin/PFA-fixed paraffin-embedded sections)", "shortname":"IHC-P"}, "ICCIF" : {"fullname" : "Immunocytochemistry/ Immunofluorescence", "shortname":"ICC/IF"}, "FlowCytIntra" : {"fullname" : "Flow Cytometry (Intracellular)", "shortname":"Flow Cyt (Intra)"} }, "product-promise": { "all": "all", "testedAndGuaranteed": "tested", "guaranteed": "expected", "predicted": "predicted", "notRecommended": "not-recommended" } }, "values": { "Human": { "IP-species-checked": "testedAndGuaranteed", "IP-species-dilution-info": "1/10 - 1/100", "IP-species-notes": "<p></p>", "WB-species-checked": "testedAndGuaranteed", "WB-species-dilution-info": "1/1000 - 1/10000", "WB-species-notes": "<p></p>", "IHCP-species-checked": "notRecommended", "IHCP-species-dilution-info": "", "IHCP-species-notes": "<p></p>", "ICCIF-species-checked": "testedAndGuaranteed", "ICCIF-species-dilution-info": "1/100 - 1/250", "ICCIF-species-notes": "<p></p>", "FlowCytIntra-species-checked": "testedAndGuaranteed", "FlowCytIntra-species-dilution-info": "", "FlowCytIntra-species-notes": "<p><a href='/en-us/products/primary-antibodies/rabbit-igg-monoclonal-epr25a-isotype-control-ab172730'>ab172730</a> - Rabbit monoclonal IgG, is suitable for use as an isotype control with this antibody.</p>" } } }

Product details

Patented technology
Our RabMAb® technology is a patented hybridoma-based technology for making rabbit monoclonal antibodies. For details on our patents, please refer to RabMAb® patents.

What are the advantages of a recombinant monoclonal antibody?
This product is a recombinant monoclonal antibody, which offers several advantages including:

  • - High batch-to-batch consistency and reproducibility
  • - Improved sensitivity and specificity
  • - Long-term security of supply
  • - Animal-free batch production

For more information, read more on recombinant antibodies.

Properties and storage information

Form
Liquid
Purification technique
Affinity purification Protein A
Storage buffer
pH: 7.2 - 7.4 Preservative: 0.01% Sodium azide Constituents: PBS, 40% Glycerol (glycerin, glycerine), 0.05% BSA
Shipped at conditions
Blue Ice
Appropriate short-term storage conditions
+4°C
Appropriate long-term storage conditions
-20°C
Storage information
Stable for 12 months at -20°C

Supplementary information

This supplementary information is collated from multiple sources and compiled automatically.

Cytochrome P450 17A1 also known as CYP17A1 is an essential enzyme in the steroidogenic pathway. Its molecular mass is approximately 57 kDa. It is part of the cytochrome P450 family and shows expression primarily in the adrenal glands and gonads. This enzyme catalyzes two key reactions: the 17α-hydroxylation of pregnenolone and progesterone and the subsequent 1720-lyase reaction. These reactions are critical for the production of steroid hormones such as glucocorticoids and sex steroids.
Biological function summary

CYP17A1 plays a central role in hormone biosynthesis. The enzyme exists as a single protein and does not form part of a larger complex. By facilitating the conversion of progestogens into androgens it directly impacts the balance and levels of steroid hormones in the body. This function supports vital processes like the development of secondary sexual characteristics and the regulation of metabolism therefore affecting multiple physiological functions.

Pathways

CYP17A1 integrates into both the steroidogenesis and biosynthesis pathways of adrenal and sex hormones. It links directly with proteins such as steroidogenic acute regulatory protein (StAR) and cytochrome P450 oxidoreductase (POR) which assist in enabling its enzymatic function. These pathways regulate the levels of hormones influencing biological processes including stress responses and reproductive functions.

CYP17A1 is associated with conditions like congenital adrenal hyperplasia and prostate cancer. In congenital adrenal hyperplasia CYP17A1 mutations disrupt the steroidogenesis pathway leading to cortisol production deficiency. In prostate cancer CYP17A1 is often upregulated contributing to increased androgen levels that fuel cancer progression. Proteins such as 3β-hydroxysteroid dehydrogenase (3β-HSD) and androgen receptor (AR) interact with CYP17A1 in these disorders demonstrating its importance in disease mechanisms.

Product protocols

For this product, it's our understanding that no specific protocols are required. You can visit:

Target data

A cytochrome P450 monooxygenase involved in corticoid and androgen biosynthesis (PubMed : 22266943, PubMed : 25301938, PubMed : 27339894, PubMed : 9452426). Catalyzes 17-alpha hydroxylation of C21 steroids, which is common for both pathways. A second oxidative step, required only for androgen synthesis, involves an acyl-carbon cleavage. The 17-alpha hydroxy intermediates, as part of adrenal glucocorticoids biosynthesis pathway, are precursors of cortisol (Probable) (PubMed : 25301938, PubMed : 9452426). Hydroxylates steroid hormones, pregnenolone and progesterone to form 17-alpha hydroxy metabolites, followed by the cleavage of the C17-C20 bond to form C19 steroids, dehydroepiandrosterone (DHEA) and androstenedione (PubMed : 22266943, PubMed : 25301938, PubMed : 27339894, PubMed : 36640554, PubMed : 9452426). Has 16-alpha hydroxylase activity. Catalyzes 16-alpha hydroxylation of 17-alpha hydroxy pregnenolone, followed by the cleavage of the C17-C20 bond to form 16-alpha-hydroxy DHEA (PubMed : 36640554). Also 16-alpha hydroxylates androgens, relevant for estriol synthesis (PubMed : 25301938, PubMed : 27339894). Mechanistically, uses molecular oxygen inserting one oxygen atom into a substrate, and reducing the second into a water molecule, with two electrons provided by NADPH via cytochrome P450 reductase (CPR; NADPH-ferrihemoprotein reductase) (PubMed : 22266943, PubMed : 25301938, PubMed : 27339894, PubMed : 9452426).
See full target information CYP17A1

Publications (45)

Recent publications for all applications. Explore the full list and refine your search

Zoological research 46:1108-1120 PubMed41017397

2025

CircSHOC2 regulates steroid hormone synthesis in ovarian granulosa cells through the mir-130b-5p/ASH1L pathway.

Applications

Unspecified application

Species

Unspecified reactive species

Lu-Tong Zhang,Teng Zhang,Xiang-Rong Song,Madaniyati Mie-Lie,Yi-Hao Li,Lei Gao,Gong-She Yang,Gui-Yan Chu

Animals : an open access journal from MDPI 15: PubMed40646785

2025

LncRNA RWDD3 Facilitates Leydig Cell Steroidogenesis by Regulating the miR-1388-5p/NPY1R/cAMP Pathway in Yanshan Cashmere Goats.

Applications

Unspecified application

Species

Unspecified reactive species

Meijing Chen,Xuejiao Yin,Chunhui Duan,Yuchun Xie,Chenghao Ji,Yong Wang,Yueqin Liu,Yingjie Zhang

Reproduction, fertility, and development 37: PubMed39786988

2025

Role of resistin in the porcine uterus: effects on endometrial steroidogenesis.

Applications

Unspecified application

Species

Unspecified reactive species

Marlena Gudelska,Kamil Dobrzyn,Marta Kiezun,Edyta Rytelewska,Ewa Zaobidna,Katarzyna Kisielewska,Grzegorz Kopij,Tadeusz Kaminski,Nina Smolinska

Human reproduction (Oxford, England) 40:119-137 PubMed39521729

2024

Upregulated let-7 expression in the follicular fluid of patients with endometriomas leads to dysfunction of granulosa cells through targeting of IGF1R.

Applications

Unspecified application

Species

Unspecified reactive species

Libing Shi,Hanqi Ying,Yongdong Dai,Yan Rong,Jianmin Chen,Feng Zhou,Shasha Wang,Shiqian Xu,Xiaomei Tong,Songying Zhang

Frontiers in cell and developmental biology 12:1396890 PubMed38983788

2024

Screening of potentially active compounds against rheumatoid arthritis in the Juan-Bi decoction using systems pharmacology and animal experiments.

Applications

Unspecified application

Species

Unspecified reactive species

Dahai Liu,Qiang Fu,Leyna G Liu,Wenwen Li,Fei Qi,Justin Liu,Lifeng Shang,Xiu Wang,Fang Yang,Jie Li,Daoqiang Lu,Huiying Feng,Ziwen Zhang,Yiqing Chen,Junru Liang,Jiayi Yao,Hua Lv,Riwang Li,Jun Wang,Di Wu,Yuxi Liu,Chenglai Xia,Wenxing Li

Experimental & molecular medicine 56:1591-1605 PubMed38945952

2024

Development of a novel testis-on-a-chip that demonstrates reciprocal crosstalk between Sertoli and Leydig cells in testicular tissue.

Applications

Unspecified application

Species

Unspecified reactive species

Se-Ra Park,Myung Geun Kook,Soo-Rim Kim,Choon-Mi Lee,Jin Woo Lee,Jung-Kyu Park,Chan Hum Park,Byung-Chul Oh,YunJae Jung,In-Sun Hong

Cell discovery 10:44 PubMed38649348

2024

Inter- and trans-generational impacts of real-world PM exposure on male-specific primary hypogonadism.

Applications

Unspecified application

Species

Unspecified reactive species

Xiaoyu Wei,Zhonghao Zhang,Yayun Gu,Rong Zhang,Jie Huang,Feng Li,Yuanlin He,Shuai Lu,Yifei Wu,Wentao Zeng,Xiaorui Liu,Chenzi Liu,Jinyi Liu,Lin Ao,Fuquan Shi,Qing Chen,Yuan Lin,Jiangbo Du,Guangfu Jin,Yankai Xia,Hongxia Ma,Yuxin Zheng,Ran Huo,Jia Cao,Hongbing Shen,Zhibin Hu

Endocrine 84:1238-1249 PubMed38374513

2024

Increased oxidative stress is associated with hyperandrogenemia in polycystic ovary syndrome evidenced by oxidized lipoproteins stimulating rat ovarian androgen synthesis in vitro.

Applications

Unspecified application

Species

Unspecified reactive species

Renjiao Zhang,Kaifeng Hu,Huai Bai,Hongwei Liu,Yifu Pu,Chunyi Yang,Qingqing Liu,Ping Fan

Frontiers in pharmacology 14:1253901 PubMed38152690

2023

Phase-specific differential regulation of mechanical allodynia in a murine model of neuropathic pain by progesterone.

Applications

Unspecified application

Species

Unspecified reactive species

Sheu-Ran Choi,Dae-Hyun Roh,Ji-Young Moon,Alvin J Beitz,Jang-Hern Lee

Drug design, development and therapy 17:2537-2547 PubMed37645625

2023

New Target for Minoxidil in the Treatment of Androgenetic Alopecia.

Applications

Unspecified application

Species

Unspecified reactive species

Yuqing Shen,Yuqi Zhu,Li Zhang,Jiayi Sun,Bo Xie,Hongyan Zhang,Xiuzu Song
View all publications

Product promise

We are committed to supporting your work with high-quality reagents, and we're here for you every step of the way. In the unlikely event that one of our products does not perform as expected, you're protected by our Product Promise.
For full details, please see our Terms & Conditions

Please note: All products are 'FOR RESEARCH USE ONLY. NOT FOR USE IN DIAGNOSTIC OR THERAPEUTIC PROCEDURES'.

For licensing inquiries, please contact partnerships@abcam.com