JavaScript is disabled in your browser. Please enable JavaScript to view this website.
AB56073

Anti-Cytochrome P450 1A2 antibody [3B8C1]

Be the first to review this product! Submit a review

|

(7 Publications)

Mouse Monoclonal Cytochrome P450 1A2 antibody. Suitable for WB, IHC-P and reacts with Synthetic peptide, Human samples. Cited in 7 publications. Immunogen corresponding to Native Full Length Protein corresponding to Rat Cyp1a2.

View Alternative Names

Cytochrome P450 1A2, CYPIA2, Cholesterol 25-hydroxylase, Cytochrome P(3)450, Cytochrome P450 4, Cytochrome P450-P3, Hydroperoxy icosatetraenoate dehydratase, CYP1A2

2 Images
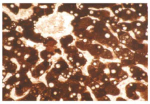
Immunohistochemistry (Formalin/PFA-fixed paraffin-embedded sections) - Anti-Cytochrome P450 1A2 antibody [3B8C1] (AB56073)
  • IHC-P

Unknown

Immunohistochemistry (Formalin/PFA-fixed paraffin-embedded sections) - Anti-Cytochrome P450 1A2 antibody [3B8C1] (AB56073)

Immunohistochemical staining of formalin-fixed, paraffin-embedded normal human liver tissue section using ab56073.

Western blot - Anti-Cytochrome P450 1A2 antibody [3B8C1] (AB56073)
  • WB

Unknown

Western blot - Anti-Cytochrome P450 1A2 antibody [3B8C1] (AB56073)

All lanes:

Western blot - Anti-Cytochrome P450 1A2 antibody [3B8C1] (ab56073)

Lane 2:

recombinant CYP1B1 at 0.5pmol/lane

Lane 3:

recombinant CYP1A1 at 0.5pmol/lane

Lane 4:

recombinant CYP1A2 at 0.5pmol/lane

Predicted band size: 58 kDa

Observed band size: 58 kDa

false

Key facts

Host species

Mouse

Clonality

Monoclonal

Clone number

3B8C1

Isotype

IgG1

Carrier free

No

Reacts with

Human

Applications

WB, IHC-P

applications

Immunogen

Native Full Length Protein corresponding to Rat Cyp1a2.

P04799

Reactivity data

{ "title": "Reactivity Data", "filters": { "stats": ["", "Species", "Dilution Info", "Notes"], "tabs": { "all-applications": {"fullname" : "All Applications", "shortname": "All Applications"}, "WB" : {"fullname" : "Western blot", "shortname":"WB"}, "IHCP" : {"fullname" : "Immunohistochemistry (Formalin/PFA-fixed paraffin-embedded sections)", "shortname":"IHC-P"} }, "product-promise": { "all": "all", "testedAndGuaranteed": "tested", "guaranteed": "expected", "predicted": "predicted", "notRecommended": "not-recommended" } }, "values": { "Human": { "WB-species-checked": "guaranteed", "WB-species-dilution-info": "", "WB-species-notes": "", "IHCP-species-checked": "testedAndGuaranteed", "IHCP-species-dilution-info": "1-5 µg/mL", "IHCP-species-notes": "<p></p>" }, "Synthetic peptide": { "WB-species-checked": "testedAndGuaranteed", "WB-species-dilution-info": "1-2 µg/mL", "WB-species-notes": "<p></p>", "IHCP-species-checked": "notRecommended", "IHCP-species-dilution-info": "", "IHCP-species-notes": "" } } }

Properties and storage information

Form
Liquid
Purification technique
Affinity purification Protein G
Storage buffer
Preservative: 0.08% Sodium azide Constituents: PBS
Shipped at conditions
Blue Ice
Appropriate short-term storage conditions
+4°C
Appropriate long-term storage conditions
-20°C
Aliquoting information
Upon delivery aliquot
Storage information
Avoid freeze / thaw cycle

Supplementary information

This supplementary information is collated from multiple sources and compiled automatically.

Cytochrome P450 1A2 often known as CYP1A2 is an important enzyme in the cytochrome P450 superfamily with a known mass around 58 kDa. It is mainly expressed in the liver where it functions in the metabolism of drugs and the bioactivation of various compounds. CYP1A2 also participates in the oxidation of small organic molecules which include xenobiotics and endogenous substrates. Due to its function researchers frequently study CYP1A2 substrates and its inhibitors to understand better its role in drug metabolism and toxicity.
Biological function summary

CYP1A2 plays a central role in the oxidative biotransformation of drugs and procarcinogens. It does not form part of a larger complex but interacts dynamically with other enzymes in the detoxification process. CYP1A2 metabolizes several clinical drugs such as caffeine and theophylline and regulates the detoxification of aromatic amines and hydrocarbons. Studying CYP1A2 inhibitors can provide insights into clinically relevant drug interactions and potential side effects in pharmacotherapy.

Pathways

CYP1A2 functions within the drug metabolism and synthesis of cholesterol steroids and other lipids pathways. In the drug metabolism pathway CYP1A2 works alongside other cytochrome P450 enzymes such as CYP1A1 and CYP1B1 which together ensure the metabolism and clearance of various exogenous and endogenous compounds. These pathways are vital for maintaining drug efficacy and preventing toxicity through the metabolic clearance of pharmaceutical agents and harmful substances.

CYP1A2 activity links to liver disorders and certain cancers. Altered enzyme activity may lead to hepatotoxicity a condition that arises from excessive accumulation of active drug metabolites in the liver. Furthermore due to its role in activating procarcinogens increased CYP1A2 activity relates to a higher risk of developing certain cancers including liver cancer. Researchers often explore these connections to better understand the enzyme's role in disease pathogenesis and to develop CYP1A2-directed therapies.

Product protocols

For this product, it's our understanding that no specific protocols are required. You can visit:

Target data

A cytochrome P450 monooxygenase involved in the metabolism of various endogenous substrates, including fatty acids, steroid hormones and vitamins (PubMed : 10681376, PubMed : 11555828, PubMed : 12865317, PubMed : 19965576, PubMed : 9435160). Mechanistically, uses molecular oxygen inserting one oxygen atom into a substrate, and reducing the second into a water molecule, with two electrons provided by NADPH via cytochrome P450 reductase (NADPH--hemoprotein reductase) (PubMed : 10681376, PubMed : 11555828, PubMed : 12865317, PubMed : 19965576, PubMed : 9435160). Catalyzes the hydroxylation of carbon-hydrogen bonds (PubMed : 11555828, PubMed : 12865317). Exhibits high catalytic activity for the formation of hydroxyestrogens from estrone (E1) and 17beta-estradiol (E2), namely 2-hydroxy E1 and E2 (PubMed : 11555828, PubMed : 12865317). Metabolizes cholesterol toward 25-hydroxycholesterol, a physiological regulator of cellular cholesterol homeostasis (PubMed : 21576599). May act as a major enzyme for all-trans retinoic acid biosynthesis in the liver. Catalyzes two successive oxidative transformation of all-trans retinol to all-trans retinal and then to the active form all-trans retinoic acid (PubMed : 10681376). Primarily catalyzes stereoselective epoxidation of the last double bond of polyunsaturated fatty acids (PUFA), displaying a strong preference for the (R,S) stereoisomer (PubMed : 19965576). Catalyzes bisallylic hydroxylation and omega-1 hydroxylation of PUFA (PubMed : 9435160). May also participate in eicosanoids metabolism by converting hydroperoxide species into oxo metabolites (lipoxygenase-like reaction, NADPH-independent) (PubMed : 21068195). Plays a role in the oxidative metabolism of xenobiotics. Catalyzes the N-hydroxylation of heterocyclic amines and the O-deethylation of phenacetin (PubMed : 14725854). Metabolizes caffeine via N3-demethylation (Probable).
See full target information CYP1A2

Publications (7)

Recent publications for all applications. Explore the full list and refine your search

British journal of pharmacology 181:3743-3759 PubMed38862812

2024

Circadian time-dependent effects of experimental colitis on theophylline disposition and toxicity.

Applications

Unspecified application

Species

Unspecified reactive species

Yi Yang,Pengcheng Wu,Juntao Guo,Zhixi Pan,Shubin Lin,Wanying Zeng,Cunchuan Wang,Zhiyong Dong,Shuai Wang

The Biochemical journal 478:2163-2178 PubMed34032264

2021

Identification of the contact region responsible for the formation of the homomeric CYP1A2•CYP1A2 complex.

Applications

Unspecified application

Species

Unspecified reactive species

Aratrika Saha,J Patrick Connick,James R Reed,Charles S Lott,Wayne L Backes

International journal of molecular medicine 39:101-112 PubMed27959388

2016

A tryptophan derivative, ITE, enhances liver cell metabolic functions in vitro.

Applications

Unspecified application

Species

Unspecified reactive species

Xiaoqian Zhang,Juan Lu,Bin He,Lingling Tang,Xiaoli Liu,Danhua Zhu,Hongcui Cao,Yingjie Wang,Lanjuan Li

Hepatology research : the official journal of the 46:1045-57 PubMed26724677

2016

Functional polymer-dependent 3D culture accelerates the differentiation of HepaRG cells into mature hepatocytes.

Applications

Unspecified application

Species

Unspecified reactive species

Yichiro Higuchi,Kenji Kawai,Tatsuro Kanaki,Hiroshi Yamazaki,Christophe Chesné,Christiane Guguen-Guillouzo,Hiroshi Suemizu

Toxicological sciences : an official journal of the Society of Toxicology 137:189-211 PubMed24085192

2013

A correlation between the in vitro drug toxicity of drugs to cell lines that express human P450s and their propensity to cause liver injury in humans.

Applications

WB

Species

Human

Frida Gustafsson,Alison J Foster,Sunil Sarda,Matthew H Bridgland-Taylor,J Gerry Kenna

Drug metabolism and disposition: the biological fa 37:2087-94 PubMed19651758

2009

Hepatic cytochrome P450 enzyme alterations in humans with progressive stages of nonalcoholic fatty liver disease.

Applications

Unspecified application

Species

Unspecified reactive species

Craig D Fisher,Andrew J Lickteig,Lisa M Augustine,James Ranger-Moore,Jonathan P Jackson,Stephen S Ferguson,Nathan J Cherrington

The Journal of pharmacology and experimental thera 330:389-402 PubMed19414624

2009

Up-regulation of transporters and enzymes by the vitamin D receptor ligands, 1alpha,25-dihydroxyvitamin D3 and vitamin D analogs, in the Caco-2 cell monolayer.

Applications

Unspecified application

Species

Unspecified reactive species

Jianghong Fan,Shanjun Liu,Yimin Du,Jodi Morrison,Robert Shipman,K Sandy Pang
View all publications

Product promise

We are committed to supporting your work with high-quality reagents, and we're here for you every step of the way. In the unlikely event that one of our products does not perform as expected, you're protected by our Product Promise.
For full details, please see our Terms & Conditions

Please note: All products are 'FOR RESEARCH USE ONLY. NOT FOR USE IN DIAGNOSTIC OR THERAPEUTIC PROCEDURES'.

For licensing inquiries, please contact partnerships@abcam.com