JavaScript is disabled in your browser. Please enable JavaScript to view this website.
AB314666

Anti-Cytochrome P450 1A2 antibody [EPR28416-31]

  • BOND RX™ Validated
  • 20ul selling size
  • RabMAb
  • Recombinant
  • What is this?

Be the first to review this product! Submit a review

|

(1 Publication)

Rabbit Recombinant Monoclonal Cytochrome P450 1A2 antibody. Suitable for IHC-P, WB, IP and reacts with Mouse, Rat, Transfected cell lysate - Mouse samples. Cited in 1 publication.

View Alternative Names

Cyp1a-2, Cyp1a2, Cytochrome P450 1A2, CYPIA2, Cholesterol 25-hydroxylase, Cytochrome P450-P2, Cytochrome P450-P3, Hydroperoxy icosatetraenoate dehydratase

9 Images
Immunohistochemistry (Formalin/PFA-fixed paraffin-embedded sections) - Anti-Cytochrome P450 1A2 antibody [EPR28416-31] (AB314666)
  • IHC-P

Supplier Data

Immunohistochemistry (Formalin/PFA-fixed paraffin-embedded sections) - Anti-Cytochrome P450 1A2 antibody [EPR28416-31] (AB314666)

Immunohistochemical analysis of paraffin-embedded Mouse colon tissue labeling Cytochrome P450 1A2 with ab314666 at 1/2000 (0.256 ug/ml) followed by a ready to use LeicaDS9800 (Bond™ Polymer Refine Detection). Negative control : no staining on mouse colon (PMID : 31147315). The section was incubated with ab314666 for 30 mins at room temperature. The immunostaining was performed on a Leica Biosystems BOND® RX instrument. Counterstained with Hematoxylin. Secondary antibody only control : Secondary antibody is a ready to use LeicaDS9800 (Bond™ Polymer Refine Detection). Heat mediated antigen retrieval was performed with Tris-EDTA buffer (pH 9.0, Epitope Retrieval Solution2) for 20 mins.

Immunohistochemistry (Formalin/PFA-fixed paraffin-embedded sections) - Anti-Cytochrome P450 1A2 antibody [EPR28416-31] (AB314666)
  • IHC-P

Supplier Data

Immunohistochemistry (Formalin/PFA-fixed paraffin-embedded sections) - Anti-Cytochrome P450 1A2 antibody [EPR28416-31] (AB314666)

Immunohistochemical analysis of paraffin-embedded mouse cerebrum tissue labeling Cytochrome P450 1A2 with ab314666 at 1/2000 (0.256 ug/ml) followed by a ready to use LeicaDS9800 (Bond™ Polymer Refine Detection). Negative control : no staining on mouse cerebrum (PMID : 31147315). The section was incubated with ab314666 for 30 mins at room temperature. The immunostaining was performed on a Leica Biosystems BOND® RX instrument. Counterstained with Hematoxylin. Secondary antibody only control : Secondary antibody is a ready to use LeicaDS9800 (Bond™ Polymer Refine Detection). Heat mediated antigen retrieval was performed with Tris-EDTA buffer (pH 9.0, Epitope Retrieval Solution2) for 20 mins.

Immunohistochemistry (Formalin/PFA-fixed paraffin-embedded sections) - Anti-Cytochrome P450 1A2 antibody [EPR28416-31] (AB314666)
  • IHC-P

Supplier Data

Immunohistochemistry (Formalin/PFA-fixed paraffin-embedded sections) - Anti-Cytochrome P450 1A2 antibody [EPR28416-31] (AB314666)

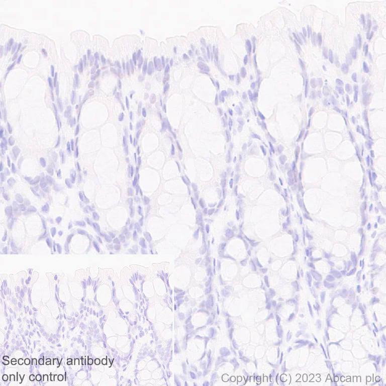
Immunohistochemical analysis of paraffin-embedded Rat colon tissue labeling Cytochrome P450 1A2 with ab314666 at 1/2000 (0.256 ug/ml) followed by a ready to use LeicaDS9800 (Bond™ Polymer Refine Detection). Negative control : no staining on rat colon. The section was incubated with ab314666 for 30 mins at room temperature. The immunostaining was performed on a Leica Biosystems BOND® RX instrument. Counterstained with Hematoxylin. Secondary antibody only control : Secondary antibody is a ready to use LeicaDS9800 (Bond™ Polymer Refine Detection). Heat mediated antigen retrieval was performed with Tris-EDTA buffer (pH 9.0, Epitope Retrieval Solution2) for 20 mins.

Immunohistochemistry (Formalin/PFA-fixed paraffin-embedded sections) - Anti-Cytochrome P450 1A2 antibody [EPR28416-31] (AB314666)
  • IHC-P

Supplier Data

Immunohistochemistry (Formalin/PFA-fixed paraffin-embedded sections) - Anti-Cytochrome P450 1A2 antibody [EPR28416-31] (AB314666)

Immunohistochemical analysis of paraffin-embedded rat cerebrum tissue labeling Cytochrome P450 1A2 with ab314666 at 1/2000 (0.256 ug/ml) followed by a ready to use LeicaDS9800 (Bond™ Polymer Refine Detection). Negative control : no staining on rat cerebrum. The section was incubated with ab314666 for 30 mins at room temperature. The immunostaining was performed on a Leica Biosystems BOND® RX instrument .Counterstained with Hematoxylin. Secondary antibody only control : Secondary antibody is a ready to use LeicaDS9800 (Bond™ Polymer Refine Detection). Heat mediated antigen retrieval was performed with Tris-EDTA buffer (pH 9.0, Epitope Retrieval Solution2) for 20 mins.

Immunohistochemistry (Formalin/PFA-fixed paraffin-embedded sections) - Anti-Cytochrome P450 1A2 antibody [EPR28416-31] (AB314666)
  • IHC-P

Supplier Data

Immunohistochemistry (Formalin/PFA-fixed paraffin-embedded sections) - Anti-Cytochrome P450 1A2 antibody [EPR28416-31] (AB314666)

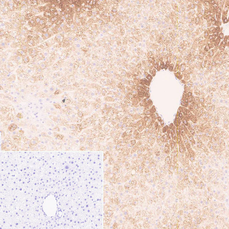
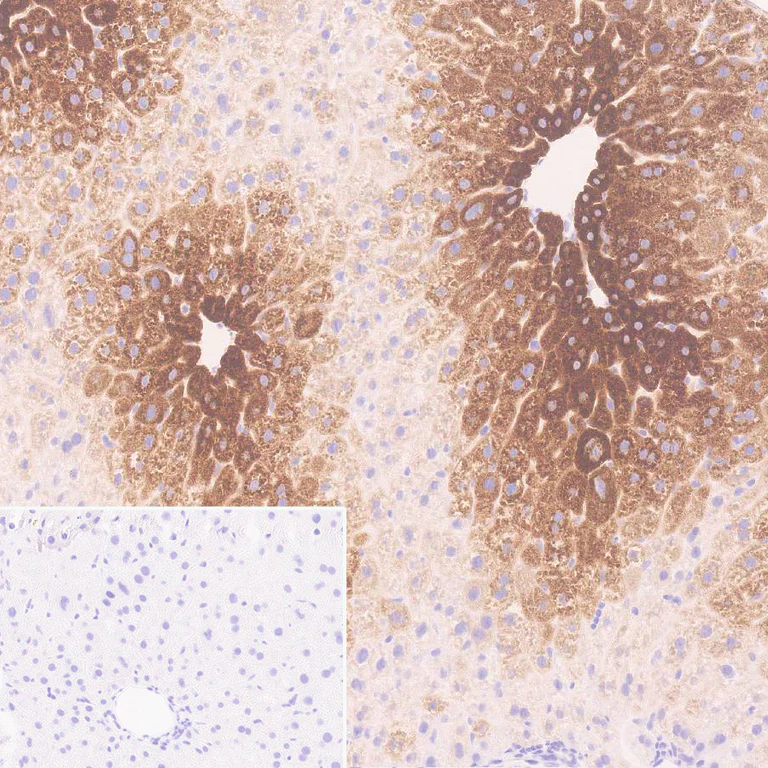
Immunohistochemical analysis of paraffin-embedded rat liver tissue labeling Cytochrome P450 1A2 with ab314666 at 1/2000 (0.256 ug/ml) followed by a ready to use LeicaDS9800 (Bond™ Polymer Refine Detection). Rat liver showed expected staining patterns (PMID : 36220068, PMID : 34873187). The section was incubated with ab314666 for 30 mins at room temperature. The immunostaining was performed on a Leica Biosystems BOND® RX instrument. Counterstained with Hematoxylin. Secondary antibody only control : Secondary antibody is a ready to use LeicaDS9800 (Bond™ Polymer Refine Detection). Heat mediated antigen retrieval was performed with Tris-EDTA buffer (pH 9.0, Epitope Retrieval Solution2) for 20 mins.

Immunohistochemistry (Formalin/PFA-fixed paraffin-embedded sections) - Anti-Cytochrome P450 1A2 antibody [EPR28416-31] (AB314666)
  • IHC-P

Supplier Data

Immunohistochemistry (Formalin/PFA-fixed paraffin-embedded sections) - Anti-Cytochrome P450 1A2 antibody [EPR28416-31] (AB314666)

Immunohistochemical analysis of paraffin-embedded mouse liver tissue labeling Cytochrome P450 1A2 with ab314666 at 1/2000 (0.256 ug/ml) followed by a ready to use LeicaDS9800 (Bond™ Polymer Refine Detection). Mouse liver showed expected staining patterns (PMID : 36220068, PMID : 34873187)). The section was incubated with ab314666 for 30 mins at room temperature. The immunostaining was performed on a Leica Biosystems BOND® RX instrument. Counterstained with Hematoxylin. Secondary antibody only control : Secondary antibody is a ready to use LeicaDS9800 (Bond™ Polymer Refine Detection). Heat mediated antigen retrieval was performed with Tris-EDTA buffer (pH 9.0, Epitope Retrieval Solution2) for 20 mins.

Immunoprecipitation - Anti-Cytochrome P450 1A2 antibody [EPR28416-31] (AB314666)
  • IP

Supplier Data

Immunoprecipitation - Anti-Cytochrome P450 1A2 antibody [EPR28416-31] (AB314666)

Cytochrome P450 1A2 was immunoprecipitated from 0.35 mg Mouse liver tissue lysate with ab314666 at 1/30 dilution (2ug in 0.35mg lysates). Western blot was performed on the immunoprecipitate using ab314666 at 1/1000 dilution. VeriBlot for IP secondary antibody(HRP)(ab131366) was used at 1/5000 dilution. Lane 1 : Mouse liver tissue lysate Lane 2 : ab314666 IP in Mouse liver tissue lysate Lane 3 : Rabbit monoclonal IgG (ab172730) instead of ab314666 in mouse liver tissue lysate Blocking and dilution buffer and concentration : 5% NFDM/TBST.

All lanes:

Immunoprecipitation - Anti-Cytochrome P450 1A2 antibody [EPR28416-31] (ab314666) at 1/30 dilution

All lanes:

Mouse liver tissue lysate

Secondary

All lanes:

Immunoprecipitation - VeriBlot for IP Detection Reagent (HRP) (<a href='/en-us/products/reagents/veriblot-for-ip-detection-reagent-hrp-ab131366'>ab131366</a>) at 1/5000 dilution

false

Exposure time: 41s

Western blot - Anti-Cytochrome P450 1A2 antibody [EPR28416-31] (AB314666)
  • WB

Supplier Data

Western blot - Anti-Cytochrome P450 1A2 antibody [EPR28416-31] (AB314666)

Blocking and diluting buffer and concentration : 5% NFDM/TBST Negative control : colon, brain, testis, spleen. In Western blot, Anti-GAPDH antibody [EPR16891] - Loading Control (ab181602) staining at 1/200000 dilution.

All lanes:

Western blot - Anti-Cytochrome P450 1A2 antibody [EPR28416-31] (ab314666) at 1/1000 dilution

Lane 1:

Mouse liver tissue lysate at 20 µg

Lane 2:

Mouse colon tissue lysate at 20 µg

Lane 3:

Mouse brain tissue lysate at 20 µg

Lane 4:

Mouse testis tissue lysate at 20 µg

Lane 5:

Mouse spleen tissue lysate at 20 µg

Secondary

All lanes:

Western blot - Goat Anti-Rabbit IgG H&L (HRP) (<a href='/en-us/products/secondary-antibodies/goat-rabbit-igg-h-l-hrp-ab97051'>ab97051</a>) at 1/100000 dilution

Observed band size: 55 kDa

false

Exposure time: 59s

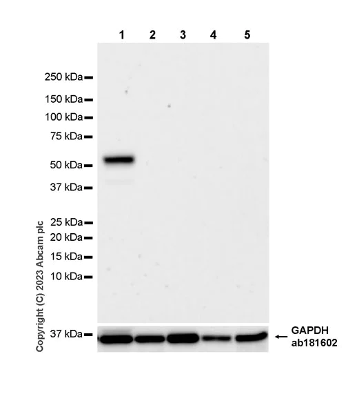
Western blot - Anti-Cytochrome P450 1A2 antibody [EPR28416-31] (AB314666)
  • WB

Supplier Data

Western blot - Anti-Cytochrome P450 1A2 antibody [EPR28416-31] (AB314666)

Blocking and diluting buffer and concentration : 5% NFDM/TBST This antibody does not cross-react with mouse CP1A1. In Western blot, Anti-GAPDH antibody [EPR16891] - Loading Control (ab181602) staining at 1/200000 dilution. In Western blot, Anti-6X His tag antibody [EPR20547]-CHIP Grade (ab213204) staining at 1/5000 dilution.

All lanes:

Western blot - Anti-Cytochrome P450 1A2 antibody [EPR28416-31] (ab314666) at 1/1000 dilution

Lane 1:

293T cells transfected with an empty vector containing a His-tag, whole cell lysate at 20 µg

Lane 2:

293T cells transfected with a mouse CP1A1 expression vector containing a His-tag, whole cell lysate at 20 µg

Lane 3:

293T cells transfected with a mouse CP1A2 expression vector containing a His-tag, whole cell lysate at 20 µg

Secondary

All lanes:

Western blot - Goat Anti-Rabbit IgG H&L (HRP) (<a href='/en-us/products/secondary-antibodies/goat-rabbit-igg-h-l-hrp-ab97051'>ab97051</a>) at 1/100000 dilution

Observed band size: 55 kDa

false

Exposure time: 92s

  • Carrier free

    Anti-Cytochrome P450 1A2 antibody [EPR28416-31] - BSA and Azide free

Key facts

Host species

Rabbit

Clonality

Monoclonal

Clone number

EPR28416-31

Isotype

IgG

Carrier free

No

Reacts with

Mouse, Rat

Applications

IP, IHC-P, WB

applications

Immunogen

The exact immunogen used to generate this antibody is proprietary information.

Specificity

Unsuitable for Rat WB.

Reactivity data

{ "title": "Reactivity Data", "filters": { "stats": ["", "Species", "Dilution Info", "Notes"], "tabs": { "all-applications": {"fullname" : "All Applications", "shortname": "All Applications"}, "IHCP" : {"fullname" : "Immunohistochemistry (Formalin/PFA-fixed paraffin-embedded sections)", "shortname":"IHC-P"}, "WB" : {"fullname" : "Western blot", "shortname":"WB"}, "IP" : {"fullname" : "Immunoprecipitation", "shortname":"IP"} }, "product-promise": { "all": "all", "testedAndGuaranteed": "tested", "guaranteed": "expected", "predicted": "predicted", "notRecommended": "not-recommended" } }, "values": { "Human": { "IHCP-species-checked": "notRecommended", "IHCP-species-dilution-info": "", "IHCP-species-notes": "<p></p>", "WB-species-checked": "notRecommended", "WB-species-dilution-info": "", "WB-species-notes": "<p></p>", "IP-species-checked": "notRecommended", "IP-species-dilution-info": "", "IP-species-notes": "" }, "Mouse": { "IHCP-species-checked": "testedAndGuaranteed", "IHCP-species-dilution-info": "1/2000", "IHCP-species-notes": "<p></p>", "WB-species-checked": "testedAndGuaranteed", "WB-species-dilution-info": "1/1000", "WB-species-notes": "<p></p>", "IP-species-checked": "testedAndGuaranteed", "IP-species-dilution-info": "1/30", "IP-species-notes": "<p></p>" }, "Rat": { "IHCP-species-checked": "testedAndGuaranteed", "IHCP-species-dilution-info": "1/2000", "IHCP-species-notes": "<p></p>", "WB-species-checked": "notRecommended", "WB-species-dilution-info": "", "WB-species-notes": "<p></p>", "IP-species-checked": "guaranteed", "IP-species-dilution-info": "", "IP-species-notes": "" }, "Transfected cell lysate - Mouse": { "IHCP-species-checked": "notRecommended", "IHCP-species-dilution-info": "", "IHCP-species-notes": "", "WB-species-checked": "testedAndGuaranteed", "WB-species-dilution-info": "1/1000", "WB-species-notes": "<p></p>", "IP-species-checked": "notRecommended", "IP-species-dilution-info": "", "IP-species-notes": "" } } }

Product details

Patented technology
Our RabMAb® technology is a patented hybridoma-based technology for making rabbit monoclonal antibodies. For details on our patents, please refer to RabMAb® patents.

What are the advantages of a recombinant monoclonal antibody?
This product is a recombinant monoclonal antibody, which offers several advantages including:

  • - High batch-to-batch consistency and reproducibility
  • - Improved sensitivity and specificity
  • - Long-term security of supply
  • - Animal-free batch production

For more information, read more on recombinant antibodies.

Properties and storage information

Form
Liquid
Purification technique
Affinity purification Protein A
Storage buffer
pH: 7.2 - 7.4 Preservative: 0.01% Sodium azide Constituents: PBS, 40% Glycerol (glycerin, glycerine), 0.05% BSA
Shipped at conditions
Blue Ice
Appropriate short-term storage duration
1-2 weeks
Appropriate short-term storage conditions
+4°C
Appropriate long-term storage conditions
-20°C
Aliquoting information
Upon delivery aliquot
Storage information
Avoid freeze / thaw cycle

Supplementary information

This supplementary information is collated from multiple sources and compiled automatically.

Cytochrome P450 1A2 often known as CYP1A2 is an important enzyme in the cytochrome P450 superfamily with a known mass around 58 kDa. It is mainly expressed in the liver where it functions in the metabolism of drugs and the bioactivation of various compounds. CYP1A2 also participates in the oxidation of small organic molecules which include xenobiotics and endogenous substrates. Due to its function researchers frequently study CYP1A2 substrates and its inhibitors to understand better its role in drug metabolism and toxicity.
Biological function summary

CYP1A2 plays a central role in the oxidative biotransformation of drugs and procarcinogens. It does not form part of a larger complex but interacts dynamically with other enzymes in the detoxification process. CYP1A2 metabolizes several clinical drugs such as caffeine and theophylline and regulates the detoxification of aromatic amines and hydrocarbons. Studying CYP1A2 inhibitors can provide insights into clinically relevant drug interactions and potential side effects in pharmacotherapy.

Pathways

CYP1A2 functions within the drug metabolism and synthesis of cholesterol steroids and other lipids pathways. In the drug metabolism pathway CYP1A2 works alongside other cytochrome P450 enzymes such as CYP1A1 and CYP1B1 which together ensure the metabolism and clearance of various exogenous and endogenous compounds. These pathways are vital for maintaining drug efficacy and preventing toxicity through the metabolic clearance of pharmaceutical agents and harmful substances.

CYP1A2 activity links to liver disorders and certain cancers. Altered enzyme activity may lead to hepatotoxicity a condition that arises from excessive accumulation of active drug metabolites in the liver. Furthermore due to its role in activating procarcinogens increased CYP1A2 activity relates to a higher risk of developing certain cancers including liver cancer. Researchers often explore these connections to better understand the enzyme's role in disease pathogenesis and to develop CYP1A2-directed therapies.

Product protocols

For this product, it's our understanding that no specific protocols are required. You can visit:

Target data

A cytochrome P450 monooxygenase involved in the metabolism of various endogenous substrates, including fatty acids, steroid hormones and vitamins. Mechanistically, uses molecular oxygen inserting one oxygen atom into a substrate, and reducing the second into a water molecule, with two electrons provided by NADPH via cytochrome P450 reductase (NADPH--hemoprotein reductase). Catalyzes the hydroxylation of carbon-hydrogen bonds. Exhibits high catalytic activity for the formation of hydroxyestrogens from estrone (E1) and 17beta-estradiol (E2), namely 2-hydroxy E1 and E2. Metabolizes cholesterol toward 25-hydroxycholesterol, a physiological regulator of cellular cholesterol homeostasis. May act as a major enzyme for all-trans retinoic acid biosynthesis in the liver. Catalyzes two successive oxidative transformation of all-trans retinol to all-trans retinal and then to the active form all-trans retinoic acid. Primarily catalyzes stereoselective epoxidation of the last double bond of polyunsaturated fatty acids (PUFA), displaying a strong preference for the (R,S) stereoisomer. Catalyzes bisallylic hydroxylation and omega-1 hydroxylation of PUFA. May also participate in eicosanoids metabolism by converting hydroperoxide species into oxo metabolites (lipoxygenase-like reaction, NADPH-independent). Plays a role in the oxidative metabolism of xenobiotics. Catalyzes the N-hydroxylation of heterocyclic amines and the O-deethylation of phenacetin. Metabolizes caffeine via N3-demethylation.
See full target information Cyp1a2

Publications (1)

Recent publications for all applications. Explore the full list and refine your search

Materials today. Bio 32:101700 PubMed40225139

2025

Engineering a dynamic extracellular matrix using thrombospondin-1 to propel hepatocyte organoids reprogramming and improve mouse liver regeneration post-transplantation.

Applications

Unspecified application

Species

Unspecified reactive species

Zi-Yan Xu,Min Wang,Jing-Yan Shi,Ye Liu,Chao Yu,Xin-Yi Zhang,Chen-Wei Zhang,Qi-Feng He,Chao Pan,Jin Zhou,Hua Xiao,Hong-Yong Cao,Yong Ma
View all publications

Product promise

We are committed to supporting your work with high-quality reagents, and we're here for you every step of the way. In the unlikely event that one of our products does not perform as expected, you're protected by our Product Promise.
For full details, please see our Terms & Conditions

Please note: All products are 'FOR RESEARCH USE ONLY. NOT FOR USE IN DIAGNOSTIC OR THERAPEUTIC PROCEDURES'.

For licensing inquiries, please contact partnerships@abcam.com