JavaScript is disabled in your browser. Please enable JavaScript to view this website.
AB325963

Anti-Cytochrome P450 2E1 antibody [EPR28698-543] - BSA and Azide free

  • BOND RX™ Validated
  • RabMAb
  • Recombinant
  • Advanced Validation
  • What is this?

Be the first to review this product! Submit a review

|

(0 Publication)

Rabbit Recombinant Monoclonal Cytochrome P450 2E1 antibody. Carrier free. Suitable for WB, IHC-P, mIHC, ICC/IF and reacts with Transfected cell line - Human, Human, Mouse, Rat samples.

View Alternative Names

CYP2E, CYP2E1, Cytochrome P450 2E1, 4-nitrophenol 2-hydroxylase, CYPIIE1, Cytochrome P450-J

16 Images
Multiplex immunohistochemistry - Anti-Cytochrome P450 2E1 antibody [EPR28698-543] - BSA and Azide free (AB325963)
  • mIHC

Supplier Data

Multiplex immunohistochemistry - Anti-Cytochrome P450 2E1 antibody [EPR28698-543] - BSA and Azide free (AB325963)

This data was developed using ab324160, the same antibody clone in a different buffer formulation.

Multiplex immunohistochemistry analysis of formalin/PFA-fixed paraffin-embedded human liver tissue staining Cytochrome P450 2E1 with ab324160 at a 1 : 2000 (0.262 ug/ml) dilution ab202554 anti-COX IV used at 1 : 500 (0.228 ug/ml) dilution.

Panel A : merged staining of anti-CYP2E1 (green; Opal™520) and anti-COX IV (magenta; Opal™690) on human liver.
Panel B : anti-CYP2E1 staining hepatocytes in human liver.
Panel C : ant-COX IV staining hepatocytes in human liver.
Panel D : Nuclear DNA was labeled with DAPI (shown in blue).

The section was incubated in three rounds of staining : in the order of ab324160 and ab202554 for 30 mins at room temperature. Each round was followed by a separate fluorescent tyramide signal amplification system.

The immunostaining was performed on a Leica Biosystems BOND® RX instrument with an Opal™ 4-color kit. Image acquisition was performed with Leica SP8 confocal microscope.

Nuclear counter stain with DAPI.

Heat mediated antigen retrieval with Tris-EDTA buffer (pH 9.0 epitope retrieval solution2) for 20 mins.

Immunohistochemistry (Formalin/PFA-fixed paraffin-embedded sections) - Anti-Cytochrome P450 2E1 antibody [EPR28698-543] - BSA and Azide free (AB325963)
  • IHC-P

Supplier Data

Immunohistochemistry (Formalin/PFA-fixed paraffin-embedded sections) - Anti-Cytochrome P450 2E1 antibody [EPR28698-543] - BSA and Azide free (AB325963)

This data was developed using ab324160, the same antibody clone in a different buffer formulation.

Immunohistochemical analysis of paraffin-embedded Human cardiac muscle tissue labeling Cytochrome P450 2E1 with ab324160 at 1/2000 (0.262 ug/ml) dilution followed by a ready to use LeicaDS9800 (Bond™ Polymer Refine Detection).

Low expression tissue : no staining on human cardiac muscle (PMID : 15576447). The primary antibody was incubated for 30 mins at room temperature.
The immunostaining was performed on a Leica Biosystems BOND® RX instrument. Slides were incubated with 3% Hydrogen Peroxide for 10 mins at room temperature after secondary antibody incubation to reduce the background

Counterstained with Hematoxylin.

Secondary antibody only control : Secondary antibody is a ready to use LeicaDS9800 (Bond™ Polymer Refine Detection).

Heat mediated antigen retrieval was performed with Tris-EDTA buffer (pH 9.0 Epitope Retrieval Solution2) for 20 mins

Immunohistochemistry (Formalin/PFA-fixed paraffin-embedded sections) - Anti-Cytochrome P450 2E1 antibody [EPR28698-543] - BSA and Azide free (AB325963)
  • IHC-P

Supplier Data

Immunohistochemistry (Formalin/PFA-fixed paraffin-embedded sections) - Anti-Cytochrome P450 2E1 antibody [EPR28698-543] - BSA and Azide free (AB325963)

This data was developed using ab324160, the same antibody clone in a different buffer formulation.

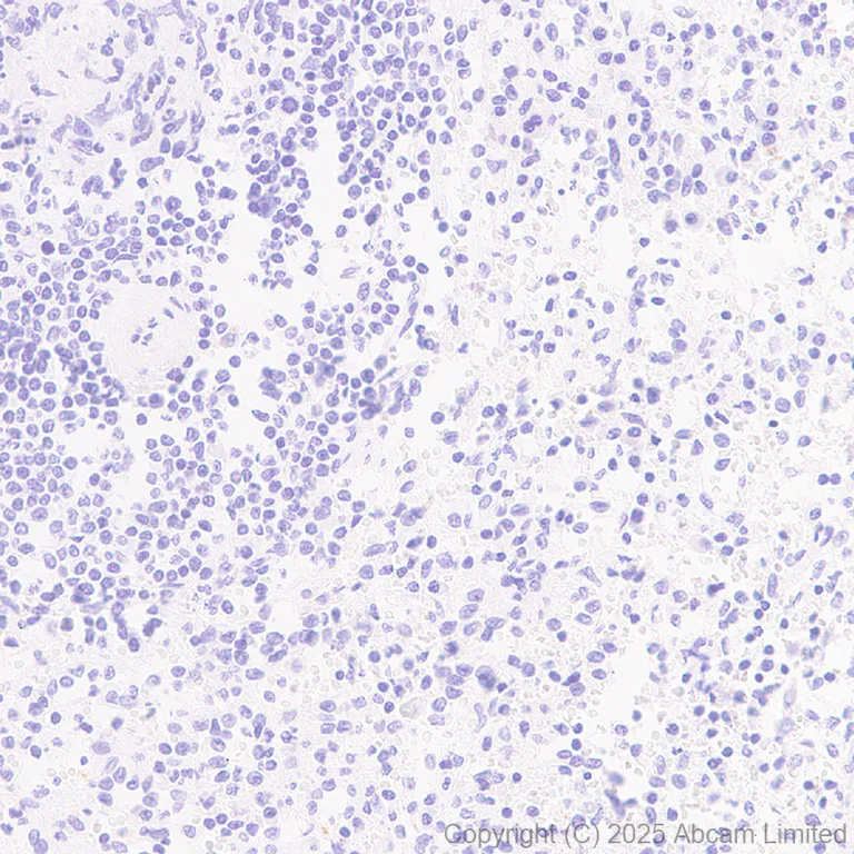
Immunohistochemical analysis of paraffin-embedded Human spleen tissue labeling Cytochrome P450 2E1 with ab324160 at 1/2000 (0.262 ug/ml) dilution followed by a ready to use LeicaDS9800 (Bond™ Polymer Refine Detection).

Low expression tissue : no staining on human spleen (PMID : 15576447). The primary antibody was incubated for 30 mins at room temperature.
The immunostaining was performed on a Leica Biosystems BOND® RX instrument. Slides were incubated with 3% Hydrogen Peroxide for 10 mins at room temperature after secondary antibody incubation to reduce the background

Counterstained with Hematoxylin.

Secondary antibody only control : Secondary antibody is a ready to use LeicaDS9800 (Bond™ Polymer Refine Detection).

Heat mediated antigen retrieval was performed with Tris-EDTA buffer (pH 9.0 Epitope Retrieval Solution2) for 20 mins

Immunohistochemistry (Formalin/PFA-fixed paraffin-embedded sections) - Anti-Cytochrome P450 2E1 antibody [EPR28698-543] - BSA and Azide free (AB325963)
  • IHC-P

Supplier Data

Immunohistochemistry (Formalin/PFA-fixed paraffin-embedded sections) - Anti-Cytochrome P450 2E1 antibody [EPR28698-543] - BSA and Azide free (AB325963)

This data was developed using ab324160, the same antibody clone in a different buffer formulation.

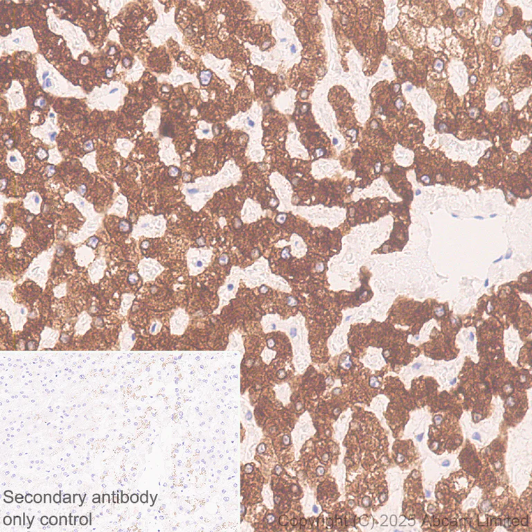
Immunohistochemical analysis of paraffin-embedded Human liver tissue labeling Cytochrome P450 2E1 with ab324160 at 1/2000 (0.262 ug/ml) dilution followed by a ready to use LeicaDS9800 (Bond™ Polymer Refine Detection).

Positive staining on human liver (PMID : 25228302). The primary antibody was incubated for 30 mins at room temperature.
The immunostaining was performed on a Leica Biosystems BOND® RX instrument. Slides were incubated with 3% Hydrogen Peroxide for 10 mins at room temperature after secondary antibody incubation to reduce the background

Counterstained with Hematoxylin.

Secondary antibody only control : Secondary antibody is a ready to use LeicaDS9800 (Bond™ Polymer Refine Detection).

Heat mediated antigen retrieval was performed with Tris-EDTA buffer (pH 9.0 Epitope Retrieval Solution2) for 20 mins

Immunohistochemistry (Formalin/PFA-fixed paraffin-embedded sections) - Anti-Cytochrome P450 2E1 antibody [EPR28698-543] - BSA and Azide free (AB325963)
  • IHC-P

Supplier Data

Immunohistochemistry (Formalin/PFA-fixed paraffin-embedded sections) - Anti-Cytochrome P450 2E1 antibody [EPR28698-543] - BSA and Azide free (AB325963)

This data was developed using ab324160, the same antibody clone in a different buffer formulation.

Immunohistochemical analysis of paraffin-embedded Human hepatocellular carcinoma and adjacent liver tissue labeling Cytochrome P450 2E1 with ab324160 at 1/2000 (0.262 ug/ml) dilution followed by a ready to use LeicaDS9800 (Bond™ Polymer Refine Detection).

Positive staining observed in adjacent human liver tissue with reduced expression of CYP2E1 in hepatocellular carcinoma tissue. The primary antibody was incubated for 30 mins at room temperature.
The immunostaining was performed on a Leica Biosystems BOND® RX instrument. Slides were incubated with 3% Hydrogen Peroxide for 10 mins at room temperature after secondary antibody incubation to reduce the background

Counterstained with Hematoxylin.

Secondary antibody only control : Secondary antibody is a ready to use LeicaDS9800 (Bond™ Polymer Refine Detection).

Heat mediated antigen retrieval was performed with Tris-EDTA buffer (pH 9.0 Epitope Retrieval Solution2) for 20 mins

Immunohistochemistry (Formalin/PFA-fixed paraffin-embedded sections) - Anti-Cytochrome P450 2E1 antibody [EPR28698-543] - BSA and Azide free (AB325963)
  • IHC-P

Supplier Data

Immunohistochemistry (Formalin/PFA-fixed paraffin-embedded sections) - Anti-Cytochrome P450 2E1 antibody [EPR28698-543] - BSA and Azide free (AB325963)

This data was developed using ab324160, the same antibody clone in a different buffer formulation.

Immunohistochemical analysis of paraffin-embedded Rat liver tissue labeling Cytochrome P450 2E1 with ab324160 at 1/2000 (0.262 ug/ml) dilution followed by a ready to use LeicaDS9800 (Bond™ Polymer Refine Detection).

Positive staining on rat liver (PMID : 35682741). The primary antibody was incubated for 30 mins at room temperature.
The immunostaining was performed on a Leica Biosystems BOND® RX instrument. Slides were incubated with 3% Hydrogen Peroxide for 10 mins at room temperature after secondary antibody incubation to reduce the background

Counterstained with Hematoxylin.

Secondary antibody only control : Secondary antibody is a ready to use LeicaDS9800 (Bond™ Polymer Refine Detection).

Heat mediated antigen retrieval was performed with Tris-EDTA buffer (pH 9.0 Epitope Retrieval Solution2) for 20 mins

Immunohistochemistry (Formalin/PFA-fixed paraffin-embedded sections) - Anti-Cytochrome P450 2E1 antibody [EPR28698-543] - BSA and Azide free (AB325963)
  • IHC-P

Supplier Data

Immunohistochemistry (Formalin/PFA-fixed paraffin-embedded sections) - Anti-Cytochrome P450 2E1 antibody [EPR28698-543] - BSA and Azide free (AB325963)

This data was developed using ab324160, the same antibody clone in a different buffer formulation.

Immunohistochemical analysis of paraffin-embedded Mouse liver tissue labeling Cytochrome P450 2E1 with ab324160 at 1/2000 (0.262 ug/ml) dilution followed by a ready to use LeicaDS9800 (Bond™ Polymer Refine Detection).

Positive staining on mouse liver (PMID : 23914059). The primary antibody was incubated for 30 mins at room temperature.
The immunostaining was performed on a Leica Biosystems BOND® RX instrument. Slides were incubated with 3% Hydrogen Peroxide for 10 mins at room temperature after secondary antibody incubation to reduce the background

Counterstained with Hematoxylin.

Secondary antibody only control : Secondary antibody is a ready to use LeicaDS9800 (Bond™ Polymer Refine Detection).

Heat mediated antigen retrieval was performed with Tris-EDTA buffer (pH 9.0 Epitope Retrieval Solution2) for 20 mins

Multiplex immunohistochemistry - Anti-Cytochrome P450 2E1 antibody [EPR28698-543] - BSA and Azide free (AB325963)
  • mIHC

Supplier Data

Multiplex immunohistochemistry - Anti-Cytochrome P450 2E1 antibody [EPR28698-543] - BSA and Azide free (AB325963)

This data was developed using ab324160, the same antibody clone in a different buffer formulation.

Multiplex immunohistochemistry analysis of formalin/PFA-fixed paraffin-embedded rat liver tissue staining Cytochrome P450 2E1 with ab324160 at a 1 : 2000 (0.262 ug/ml) dilution ab202554 anti-COX IV used at 1 : 500 (0.228 ug/ml) dilution.

Panel A : merged staining of anti-CYP2E1 (green; Opal™520) and anti-COX IV (magenta; Opal™690) on rat liver.
Panel B : anti-CYP2E1 staining hepatocytes in rat liver.
Panel C : ant-COX IV staining hepatocytes in rat liver.
Panel D : Nuclear DNA was labeled with DAPI (shown in blue).

The section was incubated in three rounds of staining : in the order of ab324160 and ab202554 for 30 mins at room temperature. Each round was followed by a separate fluorescent tyramide signal amplification system.

The immunostaining was performed on a Leica Biosystems BOND® RX instrument with an Opal™ 4-color kit. Image acquisition was performed with Leica SP8 confocal microscope.

Nuclear counter stain with DAPI.

Heat mediated antigen retrieval with Tris-EDTA buffer (pH 9.0 epitope retrieval solution2) for 20 mins.

Multiplex immunohistochemistry - Anti-Cytochrome P450 2E1 antibody [EPR28698-543] - BSA and Azide free (AB325963)
  • mIHC

Supplier Data

Multiplex immunohistochemistry - Anti-Cytochrome P450 2E1 antibody [EPR28698-543] - BSA and Azide free (AB325963)

This data was developed using ab324160, the same antibody clone in a different buffer formulation.

Multiplex immunohistochemistry analysis of formalin/PFA-fixed paraffin-embedded mouse liver tissue staining Cytochrome P450 2E1 with ab324160 at a 1 : 2000 (0.262 ug/ml) dilution ab202554 anti-COX IV used at 1 : 500 (0.228 ug/ml) dilution.

Panel A : merged staining of anti-CYP2E1 (green; Opal™520) and anti-COX IV (magenta; Opal™690) on mouse liver.
Panel B : anti-CYP2E1 staining hepatocytes in mouse liver.
Panel C : ant-COX IV staining hepatocytes in mouse liver.
Panel D : Nuclear DNA was labeled with DAPI (shown in blue).

The section was incubated in three rounds of staining : in the order of ab324160 and ab202554 for 30 mins at room temperature. Each round was followed by a separate fluorescent tyramide signal amplification system.

The immunostaining was performed on a Leica Biosystems BOND® RX instrument with an Opal™ 4-color kit. Image acquisition was performed with Leica SP8 confocal microscope.

Nuclear counter stain with DAPI.

Heat mediated antigen retrieval with Tris-EDTA buffer (pH 9.0 epitope retrieval solution2) for 20 mins.

Immunohistochemistry (Formalin/PFA-fixed paraffin-embedded sections) - Anti-Cytochrome P450 2E1 antibody [EPR28698-543] - BSA and Azide free (AB325963)
  • IHC-P

Supplier Data

Immunohistochemistry (Formalin/PFA-fixed paraffin-embedded sections) - Anti-Cytochrome P450 2E1 antibody [EPR28698-543] - BSA and Azide free (AB325963)

This data was developed using ab324160, the same antibody clone in a different buffer formulation.

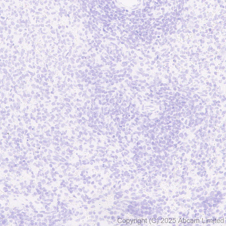
Immunohistochemical analysis of paraffin-embedded Rat spleen tissue labeling Cytochrome P450 2E1 with ab324160 at 1/2000 (0.262 ug/ml) dilution followed by a ready to use LeicaDS9800 (Bond™ Polymer Refine Detection).

Low expression tissue : no staining on rat spleen. The primary antibody was incubated for 30 mins at room temperature.
The immunostaining was performed on a Leica Biosystems BOND® RX instrument. Slides were incubated with 3% Hydrogen Peroxide for 10 mins at room temperature after secondary antibody incubation to reduce the background

Counterstained with Hematoxylin.

Secondary antibody only control : Secondary antibody is a ready to use LeicaDS9800 (Bond™ Polymer Refine Detection).

Heat mediated antigen retrieval was performed with Tris-EDTA buffer (pH 9.0 Epitope Retrieval Solution2) for 20 mins

Immunohistochemistry (Formalin/PFA-fixed paraffin-embedded sections) - Anti-Cytochrome P450 2E1 antibody [EPR28698-543] - BSA and Azide free (AB325963)
  • IHC-P

Supplier Data

Immunohistochemistry (Formalin/PFA-fixed paraffin-embedded sections) - Anti-Cytochrome P450 2E1 antibody [EPR28698-543] - BSA and Azide free (AB325963)

This data was developed using ab324160, the same antibody clone in a different buffer formulation.

Immunohistochemical analysis of paraffin-embedded Mouse spleen tissue labeling Cytochrome P450 2E1 with ab324160 at 1/2000 (0.262 ug/ml) dilution followed by a ready to use LeicaDS9800 (Bond™ Polymer Refine Detection).

Low expression tissue : no staining on mouse spleen. The primary antibody was incubated for 30 mins at room temperature.
The immunostaining was performed on a Leica Biosystems BOND® RX instrument. Slides were incubated with 3% Hydrogen Peroxide for 10 mins at room temperature after secondary antibody incubation to reduce the background

Counterstained with Hematoxylin.

Secondary antibody only control : Secondary antibody is a ready to use LeicaDS9800 (Bond™ Polymer Refine Detection).

Heat mediated antigen retrieval was performed with Tris-EDTA buffer (pH 9.0 Epitope Retrieval Solution2) for 20 mins

Western blot - Anti-Cytochrome P450 2E1 antibody [EPR28698-543] - BSA and Azide free (AB325963)
  • WB

Supplier Data

Western blot - Anti-Cytochrome P450 2E1 antibody [EPR28698-543] - BSA and Azide free (AB325963)

This data was developed using ab324160, the same antibody clone in a different buffer formulation.

Blocking and diluting buffer and concentration : 5% NFDM/TBST.

Low expression : colon spleen (PMID : 15576447).

In Western blot Anti-GAPDH antibody [EPR16891] - Loading Control (ab181602) staining at 1/200000 dilution.

All lanes:

Western blot - Anti-Cytochrome P450 2E1 antibody [EPR28698-543] (<a href='/en-us/products/primary-antibodies/cytochrome-p450-2e1-antibody-epr28698-543-ab324160'>ab324160</a>) at 1/1000 dilution

Lane 1:

Human liver tissue lysate at 20 µg

Lane 2:

Human colon tissue lysate at 20 µg

Lane 3:

Human spleen tissue lysate at 20 µg

Secondary

All lanes:

Goat Anti-Rabbit IgG (HRP) with minimal cross-reactivity with human IgG at 1/2000 dilution

Observed band size: 57 kDa,36 kDa

false

Exposure time: 3s

Western blot - Anti-Cytochrome P450 2E1 antibody [EPR28698-543] - BSA and Azide free (AB325963)
  • WB

Supplier Data

Western blot - Anti-Cytochrome P450 2E1 antibody [EPR28698-543] - BSA and Azide free (AB325963)

This data was developed using ab324160, the same antibody clone in a different buffer formulation.

Blocking and diluting buffer and concentration : 5% NFDM/TBST.

Low expression : heart spleen colon (PMID : 15576447).

In Western blot Anti-GAPDH antibody [EPR16891] - Loading Control (ab181602) staining at 1/200000 dilution.

All lanes:

Western blot - Anti-Cytochrome P450 2E1 antibody [EPR28698-543] (<a href='/en-us/products/primary-antibodies/cytochrome-p450-2e1-antibody-epr28698-543-ab324160'>ab324160</a>) at 1/1000 dilution

Lane 1:

Mouse liver tissue lysate at 20 µg

Lane 2:

Mouse heart tissue lysate at 20 µg

Lane 3:

Mouse spleen tissue lysate at 20 µg

Lane 4:

Mouse colon tissue lysate at 20 µg

Lane 5:

Rat liver tissue lysate at 20 µg

Lane 6:

Rat heart tissue lysate at 20 µg

Lane 7:

Rat spleen tissue lysate at 20 µg

Lane 8:

Rat colon tissue lysate at 20 µg

Secondary

All lanes:

Western blot - Goat Anti-Rabbit IgG H&L (HRP) (<a href='/en-us/products/secondary-antibodies/goat-rabbit-igg-h-l-hrp-ab97051'>ab97051</a>) at 1/20000 dilution

Observed band size: 57 kDa,36 kDa

false

Exposure time: 3s

Immunocytochemistry/ Immunofluorescence - Anti-Cytochrome P450 2E1 antibody [EPR28698-543] - BSA and Azide free (AB325963)
  • ICC/IF

Lab

Immunocytochemistry/ Immunofluorescence - Anti-Cytochrome P450 2E1 antibody [EPR28698-543] - BSA and Azide free (AB325963)

This data was developed using ab324160, the same antibody clone in a different buffer formulation.

Immunofluorescent analysis of 4% Paraformaldehyde fixed 0.1% Triton X-100 permeabilized Mouse primary hepatocytes labelling Cytochrome P450 2E1 with ab324160 at 1/500 dilution followed by ab150081 Goat Anti-Rabbit IgG H&L (Alexa Fluor® 488) preadsorbed antibody at 1/1000 (2 µg/ml) dilution (Green). Confocal image showing cytoplasmic staining in mouse primary hepatocyte (shown in green). The counterstain (ab150120 Goat Anti-Mouse IgG H&L (Alexa Fluor® 594)) at 1/1000 (2 µg/ml) was observed in magenta. Nuclear DNA was labelled with DAPI (shown in blue).

On image : -ve conrol 1 ab324160 at 1/500 (1.046 µg/ml) with ab150120 at 1/1000 (2µg/ml). -ve conrol 2 Anti- Human Serum Albumin at 1/500 (2µg/ml) with ab150081 at 1/1000 (2µg/ml).

Image was taken with a confocal microscope (Leica-Microsystems TCS SP8).

Immunocytochemistry/ Immunofluorescence - Anti-Cytochrome P450 2E1 antibody [EPR28698-543] - BSA and Azide free (AB325963)
  • ICC/IF

Lab

Immunocytochemistry/ Immunofluorescence - Anti-Cytochrome P450 2E1 antibody [EPR28698-543] - BSA and Azide free (AB325963)

This data was developed using ab324160, the same antibody clone in a different buffer formulation.

Immunofluorescent analysis of 4% Paraformaldehyde fixed 0.1% Triton X-100 permeabilized Mouse Mouse splenocytes labelling Cytochrome P450 2E1 with ab324160 at 1/500 dilution followed by ab150081 Goat Anti-Rabbit IgG H&L (Alexa Fluor® 488) preadsorbed antibody at 1/1000 (2 µg/ml) dilution (Green). Negative control : Confocal image showing no staining in mouse splenocytes. The counterstain (ab150120 Goat Anti-Mouse IgG H&L (Alexa Fluor® 594)) at 1/1000 (2 µg/ml) was observed in magenta. Nuclear DNA was labelled with DAPI (shown in blue).

On image : -ve conrol 1 ab324160 at 1/500 (1.046 µg/ml) with ab150120 at 1/1000 (2µg/ml). -ve conrol 2 Anti- Human Serum Albumin at 1/500 (2µg/ml) with ab150081 at 1/1000 (2µg/ml).

Image was taken with a confocal microscope (Leica-Microsystems TCS SP8).

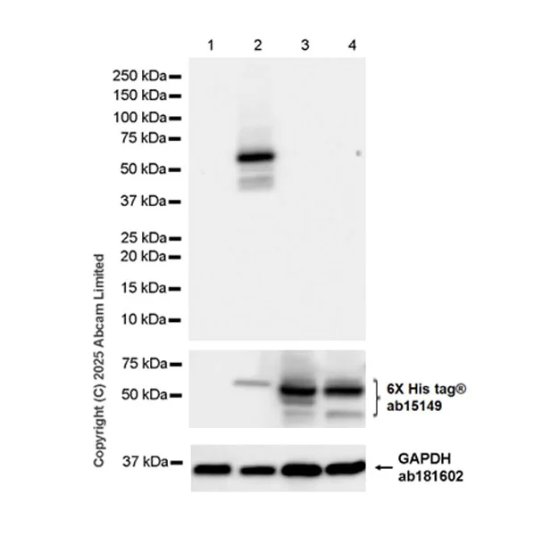
Western blot - Anti-Cytochrome P450 2E1 antibody [EPR28698-543] - BSA and Azide free (AB325963)
  • WB

Supplier Data

Western blot - Anti-Cytochrome P450 2E1 antibody [EPR28698-543] - BSA and Azide free (AB325963)

This data was developed using ab324160, the same antibody clone in a different buffer formulation.

Blocking and diluting buffer and concentration : 5% NFDM/TBST.

This antibody does not cross-react with overexpressed human Cytochrome P450 2C19 or Cytochrome P450 2C18 by western blot.

In Western blot Anti-6X His tag® antibody [AD1.1.10] - (ab15149) staining at 1/1000 dilution.

All lanes:

Western blot - Anti-Cytochrome P450 2E1 antibody [EPR28698-543] (<a href='/en-us/products/primary-antibodies/cytochrome-p450-2e1-antibody-epr28698-543-ab324160'>ab324160</a>) at 1/1000 dilution

Lane 1:

293T (human embryonic kidney epithelial cell) cells transfected with an empty vector containing a myc-His-tag®, whole cell lysate at 20 µg

Lane 2:

293T transfected with a human Cytochrome P450 2E1 expression vector containing a myc-His-tag® whole cell lysate at 20 µg

Lane 3:

293T transfected with a human Cytochrome P450 2C19 expression vector containing a myc-His-tag® whole cell lysate at 20 µg

Lane 4:

293T transfected with a human Cytochrome P450 2C18 expression vector containing a myc-His-tag® whole cell lysate at 20 µg

Secondary

All lanes:

Western blot - Goat Anti-Rabbit IgG H&L (HRP) (<a href='/en-us/products/secondary-antibodies/goat-rabbit-igg-h-l-hrp-ab97051'>ab97051</a>) at 1/20000 dilution

Observed band size: 57 kDa,36 kDa,56 kDa

false

Exposure time: 10s

Key facts

Host species

Rabbit

Clonality

Monoclonal

Clone number

EPR28698-543

Isotype

IgG

Carrier free

Yes

Reacts with

Human, Mouse, Rat

Applications

WB, ICC/IF, mIHC, IHC-P

applications

Immunogen

The exact immunogen used to generate this antibody is proprietary information.

Reactivity data

{ "title": "Reactivity Data", "filters": { "stats": ["", "Species", "Dilution Info", "Notes"], "tabs": { "all-applications": {"fullname" : "All Applications", "shortname": "All Applications"}, "WB" : {"fullname" : "Western blot", "shortname":"WB"}, "IHCP" : {"fullname" : "Immunohistochemistry (Formalin/PFA-fixed paraffin-embedded sections)", "shortname":"IHC-P"}, "mIHC" : {"fullname" : "Multiplex immunohistochemistry", "shortname":"mIHC"}, "ICCIF" : {"fullname" : "Immunocytochemistry/ Immunofluorescence", "shortname":"ICC/IF"} }, "product-promise": { "all": "all", "testedAndGuaranteed": "tested", "guaranteed": "expected", "predicted": "predicted", "notRecommended": "not-recommended" } }, "values": { "Human": { "WB-species-checked": "testedAndGuaranteed", "WB-species-dilution-info": "", "WB-species-notes": "<p></p>", "IHCP-species-checked": "testedAndGuaranteed", "IHCP-species-dilution-info": "", "IHCP-species-notes": "<p></p> Perform heat-mediated antigen retrieval with Tris/EDTA buffer pH 9.0 before commencing with IHC staining protocol.", "mIHC-species-checked": "testedAndGuaranteed", "mIHC-species-dilution-info": "", "mIHC-species-notes": "<p></p> Perform heat-mediated antigen retrieval with Tris/EDTA buffer pH 9.0 before commencing with IHC staining protocol.", "ICCIF-species-checked": "testedAndGuaranteed", "ICCIF-species-dilution-info": "", "ICCIF-species-notes": "<p></p>" }, "Mouse": { "WB-species-checked": "testedAndGuaranteed", "WB-species-dilution-info": "", "WB-species-notes": "<p></p>", "IHCP-species-checked": "testedAndGuaranteed", "IHCP-species-dilution-info": "", "IHCP-species-notes": "<p></p> Perform heat-mediated antigen retrieval with Tris/EDTA buffer pH 9.0 before commencing with IHC staining protocol.", "mIHC-species-checked": "testedAndGuaranteed", "mIHC-species-dilution-info": "", "mIHC-species-notes": "<p></p> Perform heat-mediated antigen retrieval with Tris/EDTA buffer pH 9.0 before commencing with IHC staining protocol.", "ICCIF-species-checked": "testedAndGuaranteed", "ICCIF-species-dilution-info": "", "ICCIF-species-notes": "<p></p>" }, "Rat": { "WB-species-checked": "testedAndGuaranteed", "WB-species-dilution-info": "", "WB-species-notes": "<p></p>", "IHCP-species-checked": "testedAndGuaranteed", "IHCP-species-dilution-info": "", "IHCP-species-notes": "<p></p> Perform heat-mediated antigen retrieval with Tris/EDTA buffer pH 9.0 before commencing with IHC staining protocol.", "mIHC-species-checked": "testedAndGuaranteed", "mIHC-species-dilution-info": "", "mIHC-species-notes": "<p></p> Perform heat-mediated antigen retrieval with Tris/EDTA buffer pH 9.0 before commencing with IHC staining protocol.", "ICCIF-species-checked": "notRecommended", "ICCIF-species-dilution-info": "", "ICCIF-species-notes": "<p></p>" }, "Transfected cell line - Human": { "WB-species-checked": "testedAndGuaranteed", "WB-species-dilution-info": "", "WB-species-notes": "<p></p>", "IHCP-species-checked": "notRecommended", "IHCP-species-dilution-info": "", "IHCP-species-notes": "", "mIHC-species-checked": "notRecommended", "mIHC-species-dilution-info": "", "mIHC-species-notes": "", "ICCIF-species-checked": "notRecommended", "ICCIF-species-dilution-info": "", "ICCIF-species-notes": "" } } }

Product details

ab325963 is the carrier-free version of ab324160

Patented technology
Our RabMAb® technology is a patented hybridoma-based technology for making rabbit monoclonal antibodies. For details on our patents, please refer to RabMAb® patents.

What are the advantages of a recombinant monoclonal antibody?
This product is a recombinant monoclonal antibody, which offers several advantages including:

  • - High batch-to-batch consistency and reproducibility
  • - Improved sensitivity and specificity
  • - Long-term security of supply
  • - Animal-free batch production

For more information, read more on recombinant antibodies.

Conjugation ready
Our carrier-free antibodies are typically supplied in a PBS-only formulation, purified and free of BSA, sodium azide and glycerol. This conjugation-ready format is designed for use with fluorochromes, metal isotopes, oligonucleotides, and enzymes, which makes them ideal for antibody labelling, functional and cell-based assays, flow-based assays (e.g. mass cytometry) and Multiplex Imaging applications.

Use our conjugation kits for antibody conjugates that are ready-to-use in as little as 20 minutes with 1 minute hands-on-time and 100% antibody recovery: available for fluorescent dyes, HRP, biotin and gold.

Compatibility
This product is compatible with the Maxpar® Antibody Labeling Kit from Fluidigm, without the need for antibody preparation. Maxpar® is a trademark of Fluidigm Canada Inc.

Properties and storage information

Form
Liquid
Purification technique
Affinity purification Protein A
Storage buffer
pH: 7.2 - 7.4 Constituents: PBS
Shipped at conditions
Blue Ice
Appropriate short-term storage conditions
+4°C
Appropriate long-term storage conditions
+4°C
Storage information
Do Not Freeze

Product protocols

For this product, it's our understanding that no specific protocols are required. You can visit:

Target data

A cytochrome P450 monooxygenase involved in the metabolism of fatty acids (PubMed : 10553002, PubMed : 18577768). Mechanistically, uses molecular oxygen inserting one oxygen atom into a substrate, and reducing the second into a water molecule, with two electrons provided by NADPH via cytochrome P450 reductase (NADPH--hemoprotein reductase) (PubMed : 10553002, PubMed : 18577768). Catalyzes the hydroxylation of carbon-hydrogen bonds. Hydroxylates fatty acids specifically at the omega-1 position displaying the highest catalytic activity for saturated fatty acids (PubMed : 10553002, PubMed : 18577768). May be involved in the oxidative metabolism of xenobiotics (Probable).
See full target information CYP2E1

Product promise

We are committed to supporting your work with high-quality reagents, and we're here for you every step of the way. In the unlikely event that one of our products does not perform as expected, you're protected by our Product Promise.
For full details, please see our Terms & Conditions

Please note: All products are 'FOR RESEARCH USE ONLY. NOT FOR USE IN DIAGNOSTIC OR THERAPEUTIC PROCEDURES'.

For licensing inquiries, please contact partnerships@abcam.com