JavaScript is disabled in your browser. Please enable JavaScript to view this website.
AB236343

Anti-Cytochrome P450 2E1 antibody [M12P4H2] - BSA and Azide free

Be the first to review this product! Submit a review

|

(0 Publication)

Mouse Monoclonal Cytochrome P450 2E1 antibody. Carrier free. Suitable for IHC-P and reacts with Human samples. Immunogen corresponding to Synthetic Peptide within Human CYP2E1 aa 450 to C-terminus conjugated to Ovalbumin.

View Alternative Names

CYP2E, CYP2E1, Cytochrome P450 2E1, 4-nitrophenol 2-hydroxylase, CYPIIE1, Cytochrome P450-J

1 Images
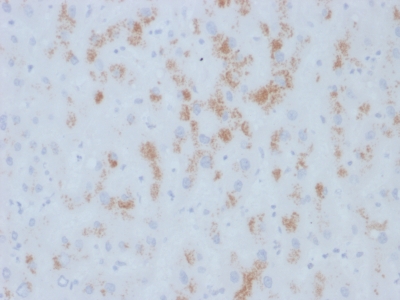
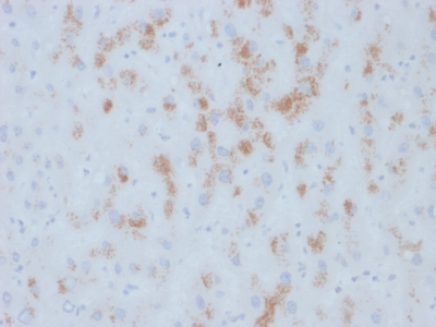
Immunohistochemistry (Formalin/PFA-fixed paraffin-embedded sections) - Anti-Cytochrome P450 2E1 antibody [M12P4H2] - BSA and Azide free (AB236343)
  • IHC-P

Unknown

Immunohistochemistry (Formalin/PFA-fixed paraffin-embedded sections) - Anti-Cytochrome P450 2E1 antibody [M12P4H2] - BSA and Azide free (AB236343)

Formalin-fixed, paraffin-embedded human hepatic carcinoma tissue stained for Cytochrome P450 2E1 using ab234408 at 2 μg/ml in immunohistochemical analysis.

This data was developed using the same antibody clone in a different buffer formulation containing PBS, BSA and sodium azide (ab234408).

Key facts

Host species

Mouse

Clonality

Monoclonal

Clone number

M12P4H2

Isotype

IgG1

Carrier free

Yes

Reacts with

Human

Applications

IHC-P

applications

Immunogen

Synthetic Peptide within Human CYP2E1 aa 450 to C-terminus conjugated to Ovalbumin. The exact immunogen used to generate this antibody is proprietary information.

P05181

Reactivity data

{ "title": "Reactivity Data", "filters": { "stats": ["", "Species", "Dilution Info", "Notes"], "tabs": { "all-applications": {"fullname" : "All Applications", "shortname": "All Applications"}, "IHCP" : {"fullname" : "Immunohistochemistry (Formalin/PFA-fixed paraffin-embedded sections)", "shortname":"IHC-P"} }, "product-promise": { "all": "all", "testedAndGuaranteed": "tested", "guaranteed": "expected", "predicted": "predicted", "notRecommended": "not-recommended" } }, "values": { "Human": { "IHCP-species-checked": "testedAndGuaranteed", "IHCP-species-dilution-info": "1-2 µg/mL", "IHCP-species-notes": "<p>Incubate with primary antibody for 30 minutes at room temperature.</p>" }, "Cynomolgus monkey": { "IHCP-species-checked": "predicted", "IHCP-species-dilution-info": "", "IHCP-species-notes": "" }, "Rhesus monkey": { "IHCP-species-checked": "predicted", "IHCP-species-dilution-info": "", "IHCP-species-notes": "" } } }

Properties and storage information

Form
Liquid
Purification technique
Affinity purification Protein A/G
Purification notes
Purified from bioreactor concentrate by Protein A/G.
Storage buffer
pH: 7.2 - 7.4 Constituents: PBS
Shipped at conditions
Blue Ice
Appropriate short-term storage duration
1-2 weeks
Appropriate short-term storage conditions
+4°C
Appropriate long-term storage conditions
-20°C
Aliquoting information
Upon delivery aliquot
Storage information
Avoid freeze / thaw cycle

Supplementary information

This supplementary information is collated from multiple sources and compiled automatically.

Cytochrome P450 2E1 also known as CYP2E1 is an enzyme belonging to the cytochrome P450 superfamily. It weighs approximately 56 kDa. This enzyme is majorly expressed in the liver but can also be found in other tissues like the kidney and lungs. It plays a central role in the oxidation and metabolism of various endogenous and exogenous substances including fatty acids drugs and alcohols.
Biological function summary

The enzyme CYP2E1 metabolizes low-molecular-weight compounds. It catalyzes the conversion of substrates to more soluble forms enabling their excretion from the body. It is not a part of a larger protein complex but often partners with NADPH-cytochrome P450 reductase in electron transfer. CYP2E1 can also produce reactive oxygen species during its catalytic cycle which may impact cellular structures and processes.

Pathways

CYP2E1 is involved in the oxidative metabolism of ethanol and other xenobiotics. It participates in the metabolic pathways for drugs and carcinogens transforming them into either active or inactive metabolites. The enzyme has connections with other P450 enzymes such as CYP3A4 within the same metabolic landscape often overlapping substrates and regulatory mechanisms.

CYP2E1 plays a significant role in alcohol-induced liver injury because its metabolism of ethanol generates toxic by-products like acetaldehyde and reactive oxygen species contributing to liver damage. The enzyme is also associated with the development of certain cancers as its metabolism of procarcinogens can produce carcinogenic metabolites. Other related cytochrome P450 enzymes such as CYP1A2 share pathways involved in carcinogen activation highlighting an interconnected network contributing to disease progression.

Product protocols

For this product, it's our understanding that no specific protocols are required. You can visit:

Target data

A cytochrome P450 monooxygenase involved in the metabolism of fatty acids (PubMed : 10553002, PubMed : 18577768). Mechanistically, uses molecular oxygen inserting one oxygen atom into a substrate, and reducing the second into a water molecule, with two electrons provided by NADPH via cytochrome P450 reductase (NADPH--hemoprotein reductase) (PubMed : 10553002, PubMed : 18577768). Catalyzes the hydroxylation of carbon-hydrogen bonds. Hydroxylates fatty acids specifically at the omega-1 position displaying the highest catalytic activity for saturated fatty acids (PubMed : 10553002, PubMed : 18577768). May be involved in the oxidative metabolism of xenobiotics (Probable).
See full target information CYP2E1

Product promise

We are committed to supporting your work with high-quality reagents, and we're here for you every step of the way. In the unlikely event that one of our products does not perform as expected, you're protected by our Product Promise.
For full details, please see our Terms & Conditions

Please note: All products are 'FOR RESEARCH USE ONLY. NOT FOR USE IN DIAGNOSTIC OR THERAPEUTIC PROCEDURES'.

For licensing inquiries, please contact partnerships@abcam.com