JavaScript is disabled in your browser. Please enable JavaScript to view this website.
AB231816

Anti-Cytochrome P450 3A4/CYP3A4 antibody

Be the first to review this product! Submit a review

|

(2 Publications)

Rabbit Polyclonal Cytochrome P450 3A4/CYP3A4 antibody. Suitable for WB, IHC-P and reacts with Pig, Rat, Recombinant full length protein - Human, Human samples. Cited in 2 publications. Immunogen corresponding to Recombinant Fragment Protein within Human CYP3A4 aa 300-500.

View Alternative Names

CYP3A3, CYP3A4, Cytochrome P450 3A4, Albendazole monooxygenase (sulfoxide-forming), Albendazole sulfoxidase, CYPIIIA3, CYPIIIA4, Cholesterol 25-hydroxylase, Cytochrome P450 3A3, Cytochrome P450 HLp, Cytochrome P450 NF-25, Cytochrome P450-PCN1, Nifedipine oxidase, Quinine 3-monooxygenase

3 Images
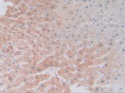
Immunohistochemistry (Formalin/PFA-fixed paraffin-embedded sections) - Anti-Cytochrome P450 3A4/CYP3A4 antibody (AB231816)
  • IHC-P

Supplier Data

Immunohistochemistry (Formalin/PFA-fixed paraffin-embedded sections) - Anti-Cytochrome P450 3A4/CYP3A4 antibody (AB231816)

Formalin-fixed, paraffin-embedded human liver tissue stained for Cytochrome P450 3A4/CYP3A4 using ab231816 at 20μg/ml in immunohistochemical analysis. DAB staining.

Western blot - Anti-Cytochrome P450 3A4/CYP3A4 antibody (AB231816)
  • WB

Supplier Data

Western blot - Anti-Cytochrome P450 3A4/CYP3A4 antibody (AB231816)

All lanes:

Western blot - Anti-Cytochrome P450 3A4/CYP3A4 antibody (ab231816) at 2 µg/mL

Lane 1:

Porcine liver tissue lysate

Lane 2:

Rat liver tissue lysate

Predicted band size: 57 kDa

true

Western blot - Anti-Cytochrome P450 3A4/CYP3A4 antibody (AB231816)
  • WB

Supplier Data

Western blot - Anti-Cytochrome P450 3A4/CYP3A4 antibody (AB231816)

All lanes:

Western blot - Anti-Cytochrome P450 3A4/CYP3A4 antibody (ab231816) at 2 µg/mL

All lanes:

Recombinant human Cytochrome P450 3A4/CYP3A4

Predicted band size: 57 kDa

Observed band size: 22 kDa

true

Key facts

Host species

Rabbit

Clonality

Polyclonal

Isotype

IgG

Carrier free

No

Reacts with

Rat, Human, Pig

Applications

WB, IHC-P

applications

Immunogen

Recombinant Fragment Protein within Human CYP3A4 aa 300-500. The exact immunogen used to generate this antibody is proprietary information.

P08684

Reactivity data

{ "title": "Reactivity Data", "filters": { "stats": ["", "Species", "Dilution Info", "Notes"], "tabs": { "all-applications": {"fullname" : "All Applications", "shortname": "All Applications"}, "WB" : {"fullname" : "Western blot", "shortname":"WB"}, "IHCP" : {"fullname" : "Immunohistochemistry (Formalin/PFA-fixed paraffin-embedded sections)", "shortname":"IHC-P"} }, "product-promise": { "all": "all", "testedAndGuaranteed": "tested", "guaranteed": "expected", "predicted": "predicted", "notRecommended": "not-recommended" } }, "values": { "Human": { "WB-species-checked": "guaranteed", "WB-species-dilution-info": "", "WB-species-notes": "", "IHCP-species-checked": "testedAndGuaranteed", "IHCP-species-dilution-info": "5-20 µg/mL", "IHCP-species-notes": "<p></p>" }, "Rat": { "WB-species-checked": "testedAndGuaranteed", "WB-species-dilution-info": "0.5-2 µg/mL", "WB-species-notes": "<p></p>", "IHCP-species-checked": "guaranteed", "IHCP-species-dilution-info": "", "IHCP-species-notes": "" }, "Pig": { "WB-species-checked": "testedAndGuaranteed", "WB-species-dilution-info": "0.5-2 µg/mL", "WB-species-notes": "<p></p>", "IHCP-species-checked": "guaranteed", "IHCP-species-dilution-info": "", "IHCP-species-notes": "" }, "Recombinant full length protein - Human": { "WB-species-checked": "testedAndGuaranteed", "WB-species-dilution-info": "0.5-2 µg/mL", "WB-species-notes": "<p></p>", "IHCP-species-checked": "notRecommended", "IHCP-species-dilution-info": "", "IHCP-species-notes": "" } } }

Properties and storage information

Form
Liquid
Purification technique
Affinity purification Protein A
Purification notes
Antigen-specific affinity chromatography followed by Protein A affinity chromatography.
Storage buffer
pH: 7.4 Preservative: 0.011% Proclin 300 Constituents: PBS, 55.77% Glycerol (glycerin, glycerine)
Shipped at conditions
Blue Ice
Appropriate short-term storage duration
1-2 weeks
Appropriate short-term storage conditions
+4°C
Appropriate long-term storage conditions
-20°C
Aliquoting information
Upon delivery aliquot
Storage information
Avoid freeze / thaw cycle

Supplementary information

This supplementary information is collated from multiple sources and compiled automatically.

Cytochrome P450 3A4 also known as CYP3A4 is an enzyme that plays an important role in the metabolism of many xenobiotics and endogenous compounds. It belongs to the cytochrome P450 superfamily and is a monooxygenase with a mass of approximately 57 kDa. CYP3A4 is primarily expressed in the liver and small intestine although it can be found in other tissues at lower levels. This enzyme catalyzes the oxidation of a wide variety of structurally unrelated compounds facilitating their excretion. Proadifen is a known inhibitor of CYP3A4 often used in research to study the effects of enzyme inhibition.
Biological function summary

CYP3A4 is involved in the metabolism of approximately half of all drugs used in clinical settings making it one of the most significant enzymes in drug metabolism. It does not usually function as part of a larger complex but acts individually on various substrates. Besides xenobiotic metabolism CYP3A4 also metabolizes steroids and other endogenous molecules. Climbazole an antifungal agent is a substrate for CYP3A4 demonstrating the enzyme's broad substrate specificity within the body's complex biochemical environment.

Pathways

CYP3A4 plays a central role in the drug metabolism pathway and the synthesis and metabolism of steroids. These pathways involve other cytochrome P450 enzymes including CYP2D6 and CYP2C9 which often work alongside CYP3A4 to metabolize compounds. The pathway's coordinated activities ensure proper drug metabolism and hormone regulation. Understanding the involvement of CYP3A4 in these pathways is critical for drug development and determining drug-drug interactions.

CYP3A4 is associated with conditions such as drug-induced liver injury and variable drug responses. Alterations in CYP3A4 activity can lead to either toxic accumulations or reduced efficacy of medications. Additionally certain liver diseases can alter CYP3A4 expression further complicating treatment outcomes. The enzyme's interaction with other proteins like those of the cytochrome P450 family means that any dysfunctions can impact a wide range of metabolic processes and influence disease progression.

Product protocols

For this product, it's our understanding that no specific protocols are required. You can visit:

Target data

A cytochrome P450 monooxygenase involved in the metabolism of sterols, steroid hormones, retinoids and fatty acids (PubMed : 10681376, PubMed : 11093772, PubMed : 11555828, PubMed : 12865317, PubMed : 14559847, PubMed : 15373842, PubMed : 15764715, PubMed : 19965576, PubMed : 20702771, PubMed : 21490593, PubMed : 21576599). Mechanistically, uses molecular oxygen inserting one oxygen atom into a substrate, and reducing the second into a water molecule, with two electrons provided by NADPH via cytochrome P450 reductase (NADPH--hemoprotein reductase). Catalyzes the hydroxylation of carbon-hydrogen bonds (PubMed : 12865317, PubMed : 14559847, PubMed : 15373842, PubMed : 15764715, PubMed : 21490593, PubMed : 21576599, PubMed : 2732228). Exhibits high catalytic activity for the formation of hydroxyestrogens from estrone (E1) and 17beta-estradiol (E2), namely 2-hydroxy E1 and E2, as well as D-ring hydroxylated E1 and E2 at the C-16 position (PubMed : 11555828, PubMed : 12865317, PubMed : 14559847). Plays a role in the metabolism of androgens, particularly in oxidative deactivation of testosterone (PubMed : 15373842, PubMed : 15764715, PubMed : 22773874, PubMed : 2732228). Metabolizes testosterone to less biologically active 2beta- and 6beta-hydroxytestosterones (PubMed : 15373842, PubMed : 15764715, PubMed : 2732228). Contributes to the formation of hydroxycholesterols (oxysterols), particularly A-ring hydroxylated cholesterol at the C-4beta position, and side chain hydroxylated cholesterol at the C-25 position, likely contributing to cholesterol degradation and bile acid biosynthesis (PubMed : 21576599). Catalyzes bisallylic hydroxylation of polyunsaturated fatty acids (PUFA) (PubMed : 9435160). Catalyzes the epoxidation of double bonds of PUFA with a preference for the last double bond (PubMed : 19965576). Metabolizes endocannabinoid arachidonoylethanolamide (anandamide) to 8,9-, 11,12-, and 14,15-epoxyeicosatrienoic acid ethanolamides (EpETrE-EAs), potentially modulating endocannabinoid system signaling (PubMed : 20702771). Plays a role in the metabolism of retinoids. Displays high catalytic activity for oxidation of all-trans-retinol to all-trans-retinal, a rate-limiting step for the biosynthesis of all-trans-retinoic acid (atRA) (PubMed : 10681376). Further metabolizes atRA toward 4-hydroxyretinoate and may play a role in hepatic atRA clearance (PubMed : 11093772). Responsible for oxidative metabolism of xenobiotics. Acts as a 2-exo-monooxygenase for plant lipid 1,8-cineole (eucalyptol) (PubMed : 11159812). Metabolizes the majority of the administered drugs. Catalyzes sulfoxidation of the anthelmintics albendazole and fenbendazole (PubMed : 10759686). Hydroxylates antimalarial drug quinine (PubMed : 8968357). Acts as a 1,4-cineole 2-exo-monooxygenase (PubMed : 11695850). Also involved in vitamin D catabolism and calcium homeostasis. Catalyzes the inactivation of the active hormone calcitriol (1-alpha,25-dihydroxyvitamin D(3)) (PubMed : 29461981).
See full target information CYP3A4

Publications (2)

Recent publications for all applications. Explore the full list and refine your search

Translational oncology 56:102381 PubMed40199156

2025

Tumor-derived immunoglobulin-like transcript 3 inhibition reshapes the immunosuppressive tumor microenvironment and potentiates programmed cell death ligand 1 blockade immunotherapy in lung adenocarcinoma.

Applications

Unspecified application

Species

Unspecified reactive species

Leirong Wang,Qing Li,Yanxin Sun,Shuyun Wang,Xuebing Fu,Xiufen Wang,Yan Zheng,Aiqin Gao,Yuping Sun,Juan Li

Cells 11: PubMed35455938

2022

Decellularized Organ-Derived Scaffold Is a Promising Carrier for Human Induced Pluripotent Stem Cells-Derived Hepatocytes.

Applications

Unspecified application

Species

Unspecified reactive species

Hideaki Kojima,Hiroshi Yagi,Hiroko Kushige,Yukiko Toda,Kazuo Takayama,Shinako Masuda,Toshinori Morisaku,Tomonori Tsuchida,Kohei Kuroda,Kazuya Hirukawa,Jumpei Inui,Kotaro Nishi,Yutaka Nakano,Masayuki Tanaka,Shutaro Hori,Yasushi Hasegawa,Yuta Abe,Minoru Kitago,Shungo Adachi,Masatoshi Tomi,Katsuhisa Matsuura,Hiroyuki Mizuguchi,Yuko Kitagawa
View all publications

Product promise

We are committed to supporting your work with high-quality reagents, and we're here for you every step of the way. In the unlikely event that one of our products does not perform as expected, you're protected by our Product Promise.
For full details, please see our Terms & Conditions

Please note: All products are 'FOR RESEARCH USE ONLY. NOT FOR USE IN DIAGNOSTIC OR THERAPEUTIC PROCEDURES'.

For licensing inquiries, please contact partnerships@abcam.com