JavaScript is disabled in your browser. Please enable JavaScript to view this website.
AB3573

Anti-Cytochrome P450 4A/CYP4A11 antibody

Be the first to review this product! Submit a review

|

(19 Publications)

Rabbit Polyclonal Cytochrome P450 4A/CYP4A11 antibody. Suitable for IP, WB, IHC-P, ICC/IF, IHC-Fr and reacts with Mouse, Rat, Pig, Hamster, Human, Dog, Cat, Rabbit samples. Cited in 19 publications. Immunogen corresponding to Synthetic Peptide within Rat Cyp4a10 aa 400-450.

View Alternative Names

CYP4A2, CYP4A11, Cytochrome P450 4A11, 20-hydroxyeicosatetraenoic acid synthase, CYP4AII, CYPIVA11, Cytochrome P-450HK-omega, Cytochrome P450HL-omega, Fatty acid omega-hydroxylase, Lauric acid omega-hydroxylase, Long-chain fatty acid omega-monooxygenase, 20-HETE synthase

7 Images
Immunocytochemistry/ Immunofluorescence - Anti-Cytochrome P450 4A/CYP4A11 antibody (AB3573)
  • ICC/IF

Supplier Data

Immunocytochemistry/ Immunofluorescence - Anti-Cytochrome P450 4A/CYP4A11 antibody (AB3573)

ab3573 labelling Cytochrome P450 4A/CYP4A11 (green) in the cytoplasm and membrane of HeLa cells (right), compared to control (left), by Immunocytochemistry/Immunofluorescence. Formalin-fixed cells were permeabilized with 0.1% Triton X-100 in TBS for 5-10 minutes and blocked with 3% BSA-PBS for 30 minutes at room temperature. Cells were incubated with the primary antibody (1 : 100 in 3% BSA-PBS) overnight at 4 °C. A DyLight-conjugated anti-rabbit was used as the secondary antibody. Red (phalloidin) - F-actin, Blue - nuclei. Images were taken at a magnification of 60x.

Immunohistochemistry (Formalin/PFA-fixed paraffin-embedded sections) - Anti-Cytochrome P450 4A/CYP4A11 antibody (AB3573)
  • IHC-P

Supplier Data

Immunohistochemistry (Formalin/PFA-fixed paraffin-embedded sections) - Anti-Cytochrome P450 4A/CYP4A11 antibody (AB3573)

ab3573 labelling Cytochrome P450 4A/CYP4A11 in the cytoplasm and membrane of Human liver tissue (right) compared with a negative control in the absence of primary antibody (left). To expose target proteins, antigen retrieval method was performed using 10mM sodium citrate (pH 6.0) microwaved for 8-15 min. Tissues were blocked in 3% H2O2-methanol for 15 min at room temperature. Tissue sections were incubated with the primary antibody (1 : 200 in 3% BSA-PBS) overnight at 4°C. A HRP-conjugated anti-rabbit was used as the secondary antibody, followed by colorimetric detection using a DAB kit. Tissues were counterstained with hematoxylin and dehydrated with ethanol and xylene to prep for mounting.

Immunohistochemistry (Formalin/PFA-fixed paraffin-embedded sections) - Anti-Cytochrome P450 4A/CYP4A11 antibody (AB3573)
  • IHC-P

Supplier Data

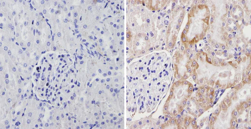
Immunohistochemistry (Formalin/PFA-fixed paraffin-embedded sections) - Anti-Cytochrome P450 4A/CYP4A11 antibody (AB3573)

ab3573 labelling Cytochrome P450 4A/CYP4A11 in the cytoplasm of Rat kidney tissue (right) compared with a negative control in the absence of primary antibody (left). To expose target proteins, antigen retrieval method was performed using 10mM sodium citrate (pH 6.0) microwaved for 8-15 min. Tissues were blocked in 3% H2O2-methanol for 15 min at room temperature. Tissue sections were incubated with the primary antibody (1 : 200 in 3% BSA-PBS) overnight at 4°C. A HRP-conjugated anti-rabbit was used as the secondary antibody, followed by colorimetric detection using a DAB kit. Tissues were counterstained with hematoxylin and dehydrated with ethanol and xylene to prep for mounting.

Immunohistochemistry (Formalin/PFA-fixed paraffin-embedded sections) - Anti-Cytochrome P450 4A/CYP4A11 antibody (AB3573)
  • IHC-P

Supplier Data

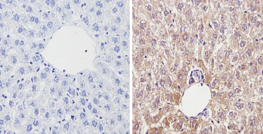
Immunohistochemistry (Formalin/PFA-fixed paraffin-embedded sections) - Anti-Cytochrome P450 4A/CYP4A11 antibody (AB3573)

ab3573 labelling Cytochrome P450 4A/CYP4A11 in the cytoplasm of Rat liver tissue (right) compared with a negative control in the absence of primary antibody (left). To expose target proteins, antigen retrieval method was performed using 10mM sodium citrate (pH 6.0) microwaved for 8-15 min. Tissues were blocked in 3% H2O2-methanol for 15 min at room temperature. Tissue sections were incubated with the primary antibody (1 : 200 in 3% BSA-PBS) overnight at 4°C. A HRP-conjugated anti-rabbit was used as the secondary antibody, followed by colorimetric detection using a DAB kit. Tissues were counterstained with hematoxylin and dehydrated with ethanol and xylene to prep for mounting.

Immunocytochemistry/ Immunofluorescence - Anti-Cytochrome P450 4A/CYP4A11 antibody (AB3573)
  • ICC/IF

Supplier Data

Immunocytochemistry/ Immunofluorescence - Anti-Cytochrome P450 4A/CYP4A11 antibody (AB3573)

ab3573 labelling Cytochrome P450 4A/CYP4A11 (green) in the cytoplasm and membrane of PC12 cells (right), compared to control (left), by Immunocytochemistry/Immunofluorescence. Formalin-fixed cells were permeabilized with 0.1% Triton X-100 in TBS for 5-10 minutes and blocked with 3% BSA-PBS for 30 minutes at room temperature. Cells were incubated with the primary antibody (1 : 100 in 3% BSA-PBS) overnight at 4 °C. A DyLight-conjugated anti-rabbit was used as the secondary antibody. Red (phalloidin) - F-actin, Blue - nuclei. Images were taken at a magnification of 60x.

Immunocytochemistry/ Immunofluorescence - Anti-Cytochrome P450 4A/CYP4A11 antibody (AB3573)
  • ICC/IF

Supplier Data

Immunocytochemistry/ Immunofluorescence - Anti-Cytochrome P450 4A/CYP4A11 antibody (AB3573)

ab3573 labelling Cytochrome P450 4A/CYP4A11 (green) in the cytoplasm and membrane of H-4-II-E (rat) cells (right), compared to control (left), by Immunocytochemistry/Immunofluorescence. Formalin-fixed cells were permeabilized with 0.1% Triton X-100 in TBS for 5-10 minutes and blocked with 3% BSA-PBS for 30 minutes at room temperature. Cells were incubated with the primary antibody (1 : 100 in 3% BSA-PBS) overnight at 4 °C. A DyLight-conjugated anti-rabbit was used as the secondary antibody. Red (phalloidin) - F-actin, Blue - nuclei. Images were taken at a magnification of 60x.

Western blot - Anti-Cytochrome P450 4A/CYP4A11 antibody (AB3573)
  • WB

Supplier Data

Western blot - Anti-Cytochrome P450 4A/CYP4A11 antibody (AB3573)

Chemiluminescent detection

All lanes:

Western blot - Anti-Cytochrome P450 4A/CYP4A11 antibody (ab3573) at 1/1000 dilution

Lane 1:

Rat liver tissue lysate at 25 µg

Lane 2:

H-4-II-E cell lysate at 25 µg

Lane 3:

HeLa cell lysate at 25 µg

Predicted band size: 59 kDa

Observed band size: 58 kDa

false

Key facts

Host species

Rabbit

Clonality

Polyclonal

Isotype

IgG

Carrier free

No

Reacts with

Rat, Human, Mouse, Rabbit, Cat, Dog, Pig, Hamster

Applications

IP, WB, IHC-Fr, IHC-P, ICC/IF

applications

Immunogen

Synthetic Peptide within Rat Cyp4a10 aa 400-450. The exact immunogen used to generate this antibody is proprietary information.

P08516

Specificity

The immunogen is homologous to rat cytochrome P450 4A2, 4A10, 4A12 and 4A14. Gene synonyms are Cyp4a11, Cyp4a1, Cyp4a8, and Cyp4a3, respectively. The specificity to these specific forms has not been confirmed experimentally. Please note nomenclature for specific forms may differ from mouse to rat.

Reactivity data

{ "title": "Reactivity Data", "filters": { "stats": ["", "Species", "Dilution Info", "Notes"], "tabs": { "all-applications": {"fullname" : "All Applications", "shortname": "All Applications"}, "IP" : {"fullname" : "Immunoprecipitation", "shortname":"IP"}, "WB" : {"fullname" : "Western blot", "shortname":"WB"}, "IHCP" : {"fullname" : "Immunohistochemistry (Formalin/PFA-fixed paraffin-embedded sections)", "shortname":"IHC-P"}, "ICCIF" : {"fullname" : "Immunocytochemistry/ Immunofluorescence", "shortname":"ICC/IF"}, "IHCFr" : {"fullname" : "Immunohistochemistry (Frozen sections)", "shortname":"IHC-Fr"} }, "product-promise": { "all": "all", "testedAndGuaranteed": "tested", "guaranteed": "expected", "predicted": "predicted", "notRecommended": "not-recommended" } }, "values": { "Human": { "IP-species-checked": "guaranteed", "IP-species-dilution-info": "", "IP-species-notes": "<p></p>", "WB-species-checked": "testedAndGuaranteed", "WB-species-dilution-info": "1/200 - 1/2000", "WB-species-notes": "<p></p>", "IHCP-species-checked": "testedAndGuaranteed", "IHCP-species-dilution-info": "1/100 - 1/500", "IHCP-species-notes": "<p></p>", "ICCIF-species-checked": "testedAndGuaranteed", "ICCIF-species-dilution-info": "1/20 - 1/200", "ICCIF-species-notes": "<p></p>", "IHCFr-species-checked": "guaranteed", "IHCFr-species-dilution-info": "", "IHCFr-species-notes": "<p></p>" }, "Mouse": { "IP-species-checked": "guaranteed", "IP-species-dilution-info": "", "IP-species-notes": "<p></p>", "WB-species-checked": "predicted", "WB-species-dilution-info": "", "WB-species-notes": "", "IHCP-species-checked": "predicted", "IHCP-species-dilution-info": "", "IHCP-species-notes": "", "ICCIF-species-checked": "predicted", "ICCIF-species-dilution-info": "", "ICCIF-species-notes": "", "IHCFr-species-checked": "guaranteed", "IHCFr-species-dilution-info": "", "IHCFr-species-notes": "<p></p>" }, "Rat": { "IP-species-checked": "guaranteed", "IP-species-dilution-info": "", "IP-species-notes": "<p></p>", "WB-species-checked": "testedAndGuaranteed", "WB-species-dilution-info": "1/200 - 1/2000", "WB-species-notes": "<p></p>", "IHCP-species-checked": "testedAndGuaranteed", "IHCP-species-dilution-info": "1/100 - 1/500", "IHCP-species-notes": "<p></p>", "ICCIF-species-checked": "testedAndGuaranteed", "ICCIF-species-dilution-info": "1/20 - 1/200", "ICCIF-species-notes": "<p></p>", "IHCFr-species-checked": "guaranteed", "IHCFr-species-dilution-info": "", "IHCFr-species-notes": "<p></p>" }, "Cat": { "IP-species-checked": "guaranteed", "IP-species-dilution-info": "", "IP-species-notes": "<p></p>", "WB-species-checked": "predicted", "WB-species-dilution-info": "", "WB-species-notes": "", "IHCP-species-checked": "predicted", "IHCP-species-dilution-info": "", "IHCP-species-notes": "", "ICCIF-species-checked": "predicted", "ICCIF-species-dilution-info": "", "ICCIF-species-notes": "", "IHCFr-species-checked": "guaranteed", "IHCFr-species-dilution-info": "", "IHCFr-species-notes": "<p></p>" }, "Dog": { "IP-species-checked": "guaranteed", "IP-species-dilution-info": "", "IP-species-notes": "<p></p>", "WB-species-checked": "predicted", "WB-species-dilution-info": "", "WB-species-notes": "", "IHCP-species-checked": "predicted", "IHCP-species-dilution-info": "", "IHCP-species-notes": "", "ICCIF-species-checked": "predicted", "ICCIF-species-dilution-info": "", "ICCIF-species-notes": "", "IHCFr-species-checked": "guaranteed", "IHCFr-species-dilution-info": "", "IHCFr-species-notes": "<p></p>" }, "Hamster": { "IP-species-checked": "guaranteed", "IP-species-dilution-info": "", "IP-species-notes": "<p></p>", "WB-species-checked": "predicted", "WB-species-dilution-info": "", "WB-species-notes": "", "IHCP-species-checked": "predicted", "IHCP-species-dilution-info": "", "IHCP-species-notes": "", "ICCIF-species-checked": "predicted", "ICCIF-species-dilution-info": "", "ICCIF-species-notes": "", "IHCFr-species-checked": "guaranteed", "IHCFr-species-dilution-info": "", "IHCFr-species-notes": "<p></p>" }, "Pig": { "IP-species-checked": "guaranteed", "IP-species-dilution-info": "", "IP-species-notes": "<p></p>", "WB-species-checked": "predicted", "WB-species-dilution-info": "", "WB-species-notes": "", "IHCP-species-checked": "predicted", "IHCP-species-dilution-info": "", "IHCP-species-notes": "", "ICCIF-species-checked": "predicted", "ICCIF-species-dilution-info": "", "ICCIF-species-notes": "", "IHCFr-species-checked": "guaranteed", "IHCFr-species-dilution-info": "", "IHCFr-species-notes": "<p></p>" }, "Rabbit": { "IP-species-checked": "guaranteed", "IP-species-dilution-info": "", "IP-species-notes": "<p></p>", "WB-species-checked": "predicted", "WB-species-dilution-info": "", "WB-species-notes": "", "IHCP-species-checked": "predicted", "IHCP-species-dilution-info": "", "IHCP-species-notes": "", "ICCIF-species-checked": "predicted", "ICCIF-species-dilution-info": "", "ICCIF-species-notes": "", "IHCFr-species-checked": "guaranteed", "IHCFr-species-dilution-info": "", "IHCFr-species-notes": "<p></p>" } } }

Properties and storage information

Form
Liquid
Purity
Whole antiserum
Storage buffer
Preservative: 0.05% Sodium azide Constituents: PBS
Shipped at conditions
Blue Ice
Appropriate short-term storage duration
1-2 weeks
Appropriate short-term storage conditions
+4°C
Appropriate long-term storage conditions
-20°C
Aliquoting information
Upon delivery aliquot
Storage information
Avoid freeze / thaw cycle

Supplementary information

This supplementary information is collated from multiple sources and compiled automatically.

Cytochrome P450 4A also known as CYP4A11 plays an important role in the metabolism of fatty acids and arachidonic acid. This enzyme is a member of the cytochrome P450 superfamily and possesses a molecular mass of approximately 58 kDa. Expression of CYP4A11 occurs mainly in the liver and kidneys. It functions by introducing oxygen into various substrates facilitating their breakdown and further processing. CYP4A11 also exists as a monomer and does not require assembly into larger complexes to function efficiently.
Biological function summary

Cytochrome P450 enzymes like CYP4A11 contribute significantly to the metabolism of long-chain fatty acids. These metabolic processes generate substances important for cell signaling such as hydroxyeicosatetraenoic acids (HETEs). The enzyme also participates indirectly in blood pressure regulation through these metabolic products. Although CYP4A11 does not form part of a protein complex the metabolic byproducts have a role in several cellular mechanisms.

Pathways

CYP4A11 is integral to the fatty acid signaling pathway. Its action leads to the production of 20-HETE a metabolite involved in regulating vascular tone and renal function. Related proteins in this pathway include other cytochrome P450 family members particularly those involved in arachidonic acid metabolism like CYP2E1. Although not directly a part CYP4A11's metabolic activities feed into the pathways that control blood flow and pressure closely linking it to cardiovascular mechanisms.

CYP4A11's activity connects to hypertension and atherosclerosis. Dysregulation of its metabolic processes can lead to imbalances in fatty acid derivatives contributing to these conditions. Studies indicated a link between CYP4A11 and cardiovascular diseases with alterations in enzyme activity affecting blood pressure. The protein links to other P450 enzymes that similarly metabolize fatty acids and participate in maintaining cardiovascular health. Notably CYP4A11's influence on hypertension makes it a target for research into antihypertensive therapies.

Product protocols

For this product, it's our understanding that no specific protocols are required. You can visit:

Target data

A cytochrome P450 monooxygenase involved in the metabolism of fatty acids and their oxygenated derivatives (oxylipins) (PubMed : 10553002, PubMed : 10660572, PubMed : 15611369, PubMed : 1739747, PubMed : 7679927, PubMed : 8914854). Mechanistically, uses molecular oxygen inserting one oxygen atom into a substrate, and reducing the second into a water molecule, with two electrons provided by NADPH via cytochrome P450 reductase (CPR; NADPH-ferrihemoprotein reductase) (PubMed : 10553002, PubMed : 10660572, PubMed : 15611369, PubMed : 1739747, PubMed : 7679927, PubMed : 8914854). Catalyzes predominantly the oxidation of the terminal carbon (omega-oxidation) of saturated and unsaturated fatty acids, the catalytic efficiency decreasing in the following order : dodecanoic > tetradecanoic > (9Z)-octadecenoic > (9Z,12Z)-octadecadienoic > hexadecanoic acid (PubMed : 10553002, PubMed : 10660572). Acts as a major omega-hydroxylase for dodecanoic (lauric) acid in liver (PubMed : 15611369, PubMed : 1739747, PubMed : 7679927, PubMed : 8914854). Participates in omega-hydroxylation of (5Z,8Z,11Z,14Z)-eicosatetraenoic acid (arachidonate) to 20-hydroxyeicosatetraenoic acid (20-HETE), a signaling molecule acting both as vasoconstrictive and natriuretic with overall effect on arterial blood pressure (PubMed : 10620324, PubMed : 10660572, PubMed : 15611369). Can also catalyze the oxidation of the penultimate carbon (omega-1 oxidation) of fatty acids with lower efficiency (PubMed : 7679927). May contribute to the degradation of saturated very long-chain fatty acids (VLCFAs) such as docosanoic acid, by catalyzing successive omega-oxidations to the corresponding dicarboxylic acid, thereby initiating chain shortening (PubMed : 18182499). Omega-hydroxylates (9R,10S)-epoxy-octadecanoate stereoisomer (PubMed : 15145985). Plays a minor role in omega-oxidation of long-chain 3-hydroxy fatty acids (PubMed : 18065749). Has little activity toward prostaglandins A1 and E1 (PubMed : 7679927).
See full target information CYP4A11

Publications (19)

Recent publications for all applications. Explore the full list and refine your search

Cell death & disease 15:674 PubMed39277582

2024

Impaired SUMOylation of FoxA1 promotes nonalcoholic fatty liver disease through down-regulation of Sirt6.

Applications

Unspecified application

Species

Unspecified reactive species

Dongmei Zou,Jinwen Liao,Min Xiao,Liang Liu,Dongling Dai,Mingguo Xu

Frontiers in pharmacology 15:1438567 PubMed39188949

2024

11-Hydroxyeicosatetraenoics induces cellular hypertrophy in an enantioselective manner.

Applications

Unspecified application

Species

Unspecified reactive species

Sara A Helal,Ahmed A El-Sherbeni,Ayman O S El-Kadi

The Journal of pharmacology and experimental therapeutics 386:56-69 PubMed37142440

2023

Renoprotective Effect of TP0472993, a Novel and Selective 20-Hydroxyeicosatetraenoic Acid Synthesis Inhibitor, in Mouse Models of Renal Fibrosis.

Applications

Unspecified application

Species

Unspecified reactive species

Takashi Hirata,Hiroki Ohara,Naoki Kojima,Hiroko Koretsune,Yoshitaka Hasegawa,Shoko Inatani,Teisuke Takahashi

Food & nutrition research 67: PubMed36794015

2023

The PPARα/CYP4A14 bile acid pathway is associated with lipid metabolism disorders caused by low birth weight with high-fat diet.

Applications

Unspecified application

Species

Unspecified reactive species

Fei Zhou,Linquan Yang,Wenwen Sun,Xing Wang,Na Guo,Huijuan Ma,Linlin Yang

Cellular and molecular gastroenterology and hepatology 12:354-377.e3 PubMed33545428

2021

SMN Depleted Mice Offer a Robust and Rapid Onset Model of Nonalcoholic Fatty Liver Disease.

Applications

Unspecified application

Species

Unspecified reactive species

Marc-Olivier Deguise,Chantal Pileggi,Yves De Repentigny,Ariane Beauvais,Alexandra Tierney,Lucia Chehade,Jean Michaud,Maica Llavero-Hurtado,Douglas Lamont,Abdelmadjid Atrih,Thomas M Wishart,Thomas H Gillingwater,Bernard L Schneider,Mary-Ellen Harper,Simon H Parson,Rashmi Kothary

Cell proliferation 54:e12964 PubMed33314534

2020

20-HETE synthesis inhibition attenuates traumatic brain injury-induced mitochondrial dysfunction and neuronal apoptosis via the SIRT1/PGC-1α pathway: A translational study.

Applications

Unspecified application

Species

Unspecified reactive species

Wenxing Cui,Xun Wu,Yingwu Shi,Wei Guo,Jianing Luo,Haixiao Liu,Longlong Zheng,Yong Du,Ping Wang,Qiang Wang,Dayun Feng,Shunnan Ge,Yan Qu

International journal of biological sciences 15:2037-2050 PubMed31592228

2019

Vascular Protection of TPE-CA on Hyperhomocysteinemia-induced Vascular Endothelial Dysfunction through AA Metabolism Modulated CYPs Pathway.

Applications

Unspecified application

Species

Unspecified reactive species

Hui Li,Zhenli Liu,Linlin Liu,Wen Li,Zhiwen Cao,Zhiqian Song,Qianqian Yang,Aiping Lu,Cheng Lu,Yuanyan Liu

PeerJ 7:e6807 PubMed31065462

2019

CYP2C11 played a significant role in down-regulating rat blood pressure under the challenge of a high-salt diet.

Applications

Unspecified application

Species

Unspecified reactive species

Wei Liu,Danjuan Sui,Huanying Ye,Zhen Ouyang,Yuan Wei

Aging cell 18:e12961 PubMed31012223

2019

Estrogen receptor α promotes Cav1.2 ubiquitination and degradation in neuronal cells and in APP/PS1 mice.

Applications

Unspecified application

Species

Unspecified reactive species

Yu-Jie Lai,Bing-Lin Zhu,Fei Sun,Dong Luo,Yuan-Lin Ma,Bio Luo,Jing Tang,Ming-Jian Xiong,Lu Liu,Yan Long,Xiao-Tong Hu,Ling He,Xiao-Juan Deng,John H Zhang,Jian Yang,Zhen Yan,Guo-Jun Chen

Prostaglandins & other lipid mediators 137:63-68 PubMed30041768

2018

The contribution of TRPV1 channel to 20-HETE-Aggravated ischemic neuronal injury.

Applications

Unspecified application

Species

Unspecified reactive species

Xiaofan Zhang,Nagat El Demerdash,John R Falck,Sailu Munnuri,Raymond C Koehler,Zeng-Jin Yang
View all publications

Product promise

We are committed to supporting your work with high-quality reagents, and we're here for you every step of the way. In the unlikely event that one of our products does not perform as expected, you're protected by our Product Promise.
For full details, please see our Terms & Conditions

Please note: All products are 'FOR RESEARCH USE ONLY. NOT FOR USE IN DIAGNOSTIC OR THERAPEUTIC PROCEDURES'.

For licensing inquiries, please contact partnerships@abcam.com