JavaScript is disabled in your browser. Please enable JavaScript to view this website.
AB250241

Anti-Cytochrome P450 Reductase antibody [EPR14479(B)] - BSA and Azide free

  • BOND RX™ Validated
  • RabMAb
  • Recombinant
  • KO Validated
  • What is this?

Be the first to review this product! Submit a review

|

(0 Publication)

Rabbit Recombinant Monoclonal Cytochrome P450 Reductase antibody. Carrier free. Suitable for WB, IHC-P, ICC/IF, Flow Cyt (Intra) and reacts with Human, Mouse, Rat samples.

View Alternative Names

CYPOR, POR, NADPH--cytochrome P450 reductase, CPR, P450R

6 Images
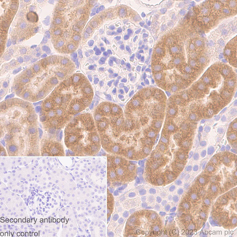
Immunohistochemistry (Formalin/PFA-fixed paraffin-embedded sections) - Anti-Cytochrome P450 Reductase antibody [EPR14479(B)] - BSA and Azide free (AB250241)
  • IHC-P

Lab

Immunohistochemistry (Formalin/PFA-fixed paraffin-embedded sections) - Anti-Cytochrome P450 Reductase antibody [EPR14479(B)] - BSA and Azide free (AB250241)

This data was developed using the same antibody clone in a different buffer formulation (ab180597). Immunohistochemical analysis of paraffin-embedded Rat kidney tissue labelling Cytochrome P450 Reductase with ab180597 at 1/1000 (0.1 μg/ml) followed by a ready to use LeicaDS9800 (Bond™ Polymer Refine Detection).The section was counterstained with Hematoxylin. Secondary antibody only control : Secondary antibody is a ready to use LeicaDS9800 (Bond™ Polymer Refine Detection). Heat mediated antigen retrieval was performed with Tris-EDTA buffer (pH 9.0, Epitope Retrieval Solution2) for 20 mins. Postive staining on rat kidney. The section was incubated with ab180597 for 30 mins at room temperature. The immunostaining was performed on a Leica Biosystems BOND® RX instrument

Immunohistochemistry (Formalin/PFA-fixed paraffin-embedded sections) - Anti-Cytochrome P450 Reductase antibody [EPR14479(B)] - BSA and Azide free (AB250241)
  • IHC-P

Lab

Immunohistochemistry (Formalin/PFA-fixed paraffin-embedded sections) - Anti-Cytochrome P450 Reductase antibody [EPR14479(B)] - BSA and Azide free (AB250241)

This data was developed using the same antibody clone in a different buffer formulation (ab180597). Immunohistochemical analysis of paraffin-embedded Mouse kidney tissue labelling Cytochrome P450 Reductase with ab180597 at 1/1000 (0.1 μg/ml) followed by a ready to use LeicaDS9800 (Bond™ Polymer Refine Detection).The section was counterstained with Hematoxylin. Secondary antibody only control : Secondary antibody is a ready to use LeicaDS9800 (Bond™ Polymer Refine Detection). Heat mediated antigen retrieval was performed with Tris-EDTA buffer (pH 9.0, Epitope Retrieval Solution2) for 20 mins. Postive staining on mouse kidney. The section was incubated with ab180597 for 30 mins at room temperature. The immunostaining was performed on a Leica Biosystems BOND® RX instrument.

Western blot - Anti-Cytochrome P450 Reductase antibody [EPR14479(B)] - BSA and Azide free (AB250241)
  • WB

Lab

Western blot - Anti-Cytochrome P450 Reductase antibody [EPR14479(B)] - BSA and Azide free (AB250241)

This data was developed using the same antibody clone in a different buffer formulation (ab180597). Blocking and diluting buffer and concentration : 5% NFDM/TBST. Exposure time : Lane 1-3 : 26 seconds; Lane 4-7 : 75 seconds. The identities of the lower MW bands between 37 and 60kDa are unknown.

All lanes:

Western blot - Anti-Cytochrome P450 Reductase antibody [EPR14479(B)] (<a href='/en-us/products/primary-antibodies/cytochrome-p450-reductase-antibody-epr14479b-ab180597'>ab180597</a>) at 1/1000 dilution

Lane 1:

Rat brain tissue lysate at 20 µg

Lane 2:

Rat heart tissue lysate at 20 µg

Lane 3:

Rat spleen tissue lysate at 20 µg

Lane 4:

Rat kidney tissue lysate at 20 µg

Secondary

All lanes:

Western blot - Goat Anti-Rabbit IgG H&L (HRP) (<a href='/en-us/products/secondary-antibodies/goat-rabbit-igg-h-l-hrp-ab97051'>ab97051</a>) at 1/20000 dilution

Predicted band size: 76 kDa

Observed band size: 75 kDa

false

Western blot - Anti-Cytochrome P450 Reductase antibody [EPR14479(B)] - BSA and Azide free (AB250241)
  • WB

Lab

Western blot - Anti-Cytochrome P450 Reductase antibody [EPR14479(B)] - BSA and Azide free (AB250241)

This data was developed using the same antibody clone in a different buffer formulation (ab180597). Blocking and diluting buffer and concentration : 5% NFDM/TBST. Exposure time : Lane 1-3 : 26 seconds; Lane 4-7 : 75 seconds. The identities of the lower MW bands between 37 and 60kDa are unknown.

All lanes:

Western blot - Anti-Cytochrome P450 Reductase antibody [EPR14479(B)] (<a href='/en-us/products/primary-antibodies/cytochrome-p450-reductase-antibody-epr14479b-ab180597'>ab180597</a>) at 1/1000 dilution

Lane 1:

Mouse brain tissue lysate at 20 µg

Lane 2:

Mouse heart tissue lysate at 20 µg

Lane 3:

Mouse spleen tissue lysate at 20 µg

Lane 4:

Mouse kidney tissue lysate at 20 µg

Secondary

All lanes:

Western blot - Goat Anti-Rabbit IgG H&L (HRP) (<a href='/en-us/products/secondary-antibodies/goat-rabbit-igg-h-l-hrp-ab97051'>ab97051</a>) at 1/20000 dilution

Predicted band size: 76 kDa

Observed band size: 75 kDa

false

Western blot - Anti-Cytochrome P450 Reductase antibody [EPR14479(B)] - BSA and Azide free (AB250241)
  • WB

Lab

Western blot - Anti-Cytochrome P450 Reductase antibody [EPR14479(B)] - BSA and Azide free (AB250241)

This data was developed using the same antibody clone in a different buffer formulation (ab180597).

Lanes 1- 4 : Merged signal (red and green). Green - ab180597 observed at 80 kDa. Red - Anti-GAPDH antibody [6C5] - Loading Control (ab8245) observed at 37 kDa.

ab180597 was shown to react with Cytochrome P450 Reductase in wild-type HCT116 cells in western blot. Loss of signal was observed when knockout cell line ab266889 (knockout cell lysate ab257596) was used. Wild-type HCT116 and POR knockout HCT116 cell lysates were subjected to SDS-PAGE. Membrane was blocked for 1 hour at room temperature in 0.1% TBST with 3% non-fat dried milk. ab180597 and Anti-GAPDH antibody [6C5] - Loading Control (ab8245) overnight at 4°C at a 1 in 1000 dilution and a 1 in 20000 dilution respectively. Blots were developed with Goat anti-Rabbit IgG H&L (IRDye®800CW) preadsorbed (ab216773) and Goat anti-Mouse IgG H&L (IRDye®680RD) preadsorbed (ab216776) secondary antibodies at 1 in 20000 dilution for 1 hour at room temperature before imaging.

All lanes:

Western blot - Anti-Cytochrome P450 Reductase antibody [EPR14479(B)] (<a href='/en-us/products/primary-antibodies/cytochrome-p450-reductase-antibody-epr14479b-ab180597'>ab180597</a>) at 1/1000 dilution

Lane 1:

Wild-type HCT116 cell lysate at 40 µg

Lane 2:

POR knockout HCT116 cell lysate at 40 µg

Lane 2:

Western blot - Human POR (Cytochrome P450 Reductase) knockout HCT116 cell line (<a href='/en-us/products/cell-lines/human-por-cytochrome-p450-reductase-knockout-hct116-cell-line-ab266889'>ab266889</a>)

Lane 3:

HepG2 cell lysate at 40 µg

Lane 4:

A431 cell lysate at 40 µg

Predicted band size: 76 kDa

Observed band size: 80 kDa

false

Western blot - Anti-Cytochrome P450 Reductase antibody [EPR14479(B)] - BSA and Azide free (AB250241)
  • WB

Lab

Western blot - Anti-Cytochrome P450 Reductase antibody [EPR14479(B)] - BSA and Azide free (AB250241)

This data was developed using the same antibody clone in a different buffer formulation (ab180597).

Lanes 1-4 : Merged signal (red and green). Green - ab180597 observed at 75 kDa. Red - loading control ab8245 observed at 37 kDa.

ab180597 Anti-Cytochrome P450 Reductase antibody [EPR14479(B)] was shown to specifically react with Cytochrome P450 Reductase in wild-type HeLa cells. Loss of signal was observed when knockout cell line ab264996 (knockout cell lysate ab257595) was used. Wild-type and Cytochrome P450 Reductase knockout samples were subjected to SDS-PAGE. ab180597 and Anti-GAPDH antibody [6C5] - Loading Control?(ab8245) were incubated overnight at 4^°C at 1 in 10000 and 1 in 20000 dilution respectively. Blots were developed with Goat anti-Rabbit IgG H&L (IRDye® 800CW) preadsorbed (ab216773) and Goat anti-Mouse IgG H&L (IRDye® 680RD) preadsorbed (ab216776) secondary antibodies at 1 in 20000 dilution for 1 hour at room temperature before imaging.

All lanes:

Western blot - Anti-Cytochrome P450 Reductase antibody [EPR14479(B)] (<a href='/en-us/products/primary-antibodies/cytochrome-p450-reductase-antibody-epr14479b-ab180597'>ab180597</a>) at 1/10000 dilution

Lane 1:

Wild-type HeLa lysate at 20 µg

Lane 2:

Cytochrome P450 Reductase knockout HeLa lysate at 20 µg

Lane 2:

Western blot - Human POR (Cytochrome P450 Reductase) knockout HeLa cell line (<a href='/en-us/products/cell-lines/human-por-cytochrome-p450-reductase-knockout-hela-cell-line-ab264996'>ab264996</a>)

Lane 3:

HepG2 lysate at 20 µg

Lane 4:

A431 lysate at 20 µg

Predicted band size: 76 kDa

false

  • Unconjugated

    Anti-Cytochrome P450 Reductase antibody [EPR14479(B)]

  • 665 Alexa Fluor® 647

    Alexa Fluor® 647 Anti-Cytochrome P450 Reductase antibody [EPR14479(B)]

Key facts

Host species

Rabbit

Clonality

Monoclonal

Clone number

EPR14479(B)

Isotype

IgG

Carrier free

Yes

Reacts with

Mouse, Rat, Human

Applications

IHC-P, ICC/IF, WB, Flow Cyt (Intra)

applications

Immunogen

The exact immunogen used to generate this antibody is proprietary information.

Reactivity data

{ "title": "Reactivity Data", "filters": { "stats": ["", "Species", "Dilution Info", "Notes"], "tabs": { "all-applications": {"fullname" : "All Applications", "shortname": "All Applications"}, "WB" : {"fullname" : "Western blot", "shortname":"WB"}, "IHCP" : {"fullname" : "Immunohistochemistry (Formalin/PFA-fixed paraffin-embedded sections)", "shortname":"IHC-P"}, "ICCIF" : {"fullname" : "Immunocytochemistry/ Immunofluorescence", "shortname":"ICC/IF"}, "FlowCytIntra" : {"fullname" : "Flow Cytometry (Intracellular)", "shortname":"Flow Cyt (Intra)"} }, "product-promise": { "all": "all", "testedAndGuaranteed": "tested", "guaranteed": "expected", "predicted": "predicted", "notRecommended": "not-recommended" } }, "values": { "Human": { "WB-species-checked": "testedAndGuaranteed", "WB-species-dilution-info": "", "WB-species-notes": "<p></p>", "IHCP-species-checked": "testedAndGuaranteed", "IHCP-species-dilution-info": "", "IHCP-species-notes": "<p>For antigen retrieval, heat up to 98 degree C, below boiling, and then let cool for 10-20 minutes.</p>", "ICCIF-species-checked": "testedAndGuaranteed", "ICCIF-species-dilution-info": "", "ICCIF-species-notes": "<p></p>", "FlowCytIntra-species-checked": "testedAndGuaranteed", "FlowCytIntra-species-dilution-info": "", "FlowCytIntra-species-notes": "<p></p>" }, "Mouse": { "WB-species-checked": "testedAndGuaranteed", "WB-species-dilution-info": "", "WB-species-notes": "<p></p>", "IHCP-species-checked": "testedAndGuaranteed", "IHCP-species-dilution-info": "", "IHCP-species-notes": "<p>For antigen retrieval, heat up to 98 degree C, below boiling, and then let cool for 10-20 minutes.</p>", "ICCIF-species-checked": "guaranteed", "ICCIF-species-dilution-info": "", "ICCIF-species-notes": "", "FlowCytIntra-species-checked": "guaranteed", "FlowCytIntra-species-dilution-info": "", "FlowCytIntra-species-notes": "" }, "Rat": { "WB-species-checked": "testedAndGuaranteed", "WB-species-dilution-info": "", "WB-species-notes": "<p></p>", "IHCP-species-checked": "testedAndGuaranteed", "IHCP-species-dilution-info": "", "IHCP-species-notes": "<p>For antigen retrieval, heat up to 98 degree C, below boiling, and then let cool for 10-20 minutes.</p>", "ICCIF-species-checked": "guaranteed", "ICCIF-species-dilution-info": "", "ICCIF-species-notes": "", "FlowCytIntra-species-checked": "guaranteed", "FlowCytIntra-species-dilution-info": "", "FlowCytIntra-species-notes": "" } } }

Product details

ab250241 is the carrier-free version of ab180597.

Patented technology
Our RabMAb® technology is a patented hybridoma-based technology for making rabbit monoclonal antibodies. For details on our patents, please refer to RabMAb® patents.

What are the advantages of a recombinant monoclonal antibody?
This product is a recombinant monoclonal antibody, which offers several advantages including:

  • - High batch-to-batch consistency and reproducibility
  • - Improved sensitivity and specificity
  • - Long-term security of supply
  • - Animal-free batch production

For more information, read more on recombinant antibodies.

Conjugation ready
Our carrier-free antibodies are typically supplied in a PBS-only formulation, purified and free of BSA, sodium azide and glycerol. This conjugation-ready format is designed for use with fluorochromes, metal isotopes, oligonucleotides, and enzymes, which makes them ideal for antibody labelling, functional and cell-based assays, flow-based assays (e.g. mass cytometry) and Multiplex Imaging applications.

Use our conjugation kits for antibody conjugates that are ready-to-use in as little as 20 minutes with 1 minute hands-on-time and 100% antibody recovery: available for fluorescent dyes, HRP, biotin and gold.

Compatibility
This product is compatible with the Maxpar® Antibody Labeling Kit from Fluidigm, without the need for antibody preparation. Maxpar® is a trademark of Fluidigm Canada Inc.

Properties and storage information

Form
Liquid
Purification technique
Affinity purification Protein A
Storage buffer
pH: 7.2 - 7.4 Constituents: PBS
Shipped at conditions
Blue Ice
Appropriate short-term storage conditions
+4°C
Appropriate long-term storage conditions
+4°C
Storage information
Do Not Freeze

Supplementary information

This supplementary information is collated from multiple sources and compiled automatically.

Cytochrome P450 reductase also known as NADPH--cytochrome P450 reductase (CPR) is an enzyme important in electron transfer. It has a mass of approximately 77 kDa and is responsible for transferring electrons from NADPH to cytochrome P450 enzymes supporting their function. The enzyme is predominantly expressed in the endoplasmic reticulum of liver cells and other tissues where detoxification processes occur. Cytochrome reductase as it is sometimes called plays a fundamental role in the metabolism of drugs and the synthesis of cholesterol steroids and other lipids.
Biological function summary

CPR facilitates electron donation to all microsomal cytochrome P450 enzymes which are involved in a variety of oxidative reactions. This protein is essential for P450 activity assay as it is part of a multienzyme complex that metabolizes exogenous and endogenous compounds efficiently. Without cytochrome P450 reductase the catalytic activity of cytochrome P450 enzymes becomes impaired affecting metabolizing mechanisms for various substances and having systemic biological impacts.

Pathways

Cytochrome P450 reductase directly participates in drug metabolism and steroid biosynthesis pathways. It together with the cytochrome P450 enzymes metabolizes drugs to make them more water-soluble for excretion. The proteins 3 beta-hydroxysteroid dehydrogenase and CYP3A4 are some of the related components within these pathways working in conjunction to achieve metabolic homeostasis. P450 reductase assays are often utilized to study these pathways further understanding the biological roles and interactions of these proteins.

CPR has a significant connection to conditions like congenital adrenal hyperplasia and prostate cancer. Mutations or dysregulations in cytochrome P450 reductase can lead to accumulated steroid precursors and disrupted steroid hormone synthesis contributing to these disorders. The relationship with adrenal enzyme 21-hydroxylase and the androgen receptor illustrates the pathway complexities and the clinical relevance of cytochrome P450 reductase. Understanding these connections highlights the importance of CPR in maintaining normal physiological functions and how its abnormalities can lead to serious health issues.

Product protocols

For this product, it's our understanding that no specific protocols are required. You can visit:

Target data

This enzyme is required for electron transfer from NADP to cytochrome P450 in microsomes. It can also provide electron transfer to heme oxygenase and cytochrome B5.
See full target information POR

Product promise

We are committed to supporting your work with high-quality reagents, and we're here for you every step of the way. In the unlikely event that one of our products does not perform as expected, you're protected by our Product Promise.
For full details, please see our Terms & Conditions

Please note: All products are 'FOR RESEARCH USE ONLY. NOT FOR USE IN DIAGNOSTIC OR THERAPEUTIC PROCEDURES'.

For licensing inquiries, please contact partnerships@abcam.com