JavaScript is disabled in your browser. Please enable JavaScript to view this website.
AB2728

Anti-Cytohesin 2 antibody [10A12]

Be the first to review this product! Submit a review

|

(5 Publications)

Mouse Monoclonal Cytohesin 2 antibody. Suitable for IHC-P, ICC/IF and reacts with Human, Mouse samples. Cited in 5 publications. Immunogen corresponding to Recombinant Full Length Protein corresponding to Human CYTH2.

View Alternative Names

ARNO, PSCD2, PSCD2L, CYTH2, Cytohesin-2, ARF exchange factor, ARF nucleotide-binding site opener, Protein ARNO

5 Images
Immunocytochemistry/ Immunofluorescence - Anti-Cytohesin 2 antibody [10A12] (AB2728)
  • ICC/IF

Supplier Data

Immunocytochemistry/ Immunofluorescence - Anti-Cytohesin 2 antibody [10A12] (AB2728)

Immunocytochemistry/Immunofluorescence analysis of Cytohesin 2 in HeLa cells. Cells were grown on chamber slides and fixed with formaldehyde prior to staining. Cells were probed without (control) or with ab2728 (1 : 100) overnight at 4°C, washed with PBS and incubated with a DyLight-488 conjugated secondary antibody. Cytohesin 2 staining (green), F-Actin staining with Phalloidin (red) and nuclei with DAPI (blue) is shown. Images were taken at 60X magnification.

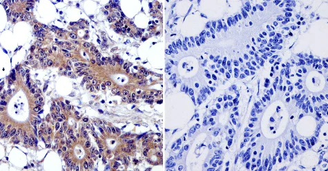
Immunohistochemistry (Formalin/PFA-fixed paraffin-embedded sections) - Anti-Cytohesin 2 antibody [10A12] (AB2728)
  • IHC-P

Supplier Data

Immunohistochemistry (Formalin/PFA-fixed paraffin-embedded sections) - Anti-Cytohesin 2 antibody [10A12] (AB2728)

Immunohistochemistry (Formalin/PFA-fixed paraffin-embedded sections) was performed on normal biopsies of deparaffinized human colon carcinoma tissue. Heat induced antigen retrieval was performed using 10mM sodium citrate (pH6.0) buffer, microwaved for 8-15 minutes. Tissues were blocked in 3% BSA-PBS for 30 minutes at room temperature and incubated with ab2728 (1 : 50) or without primary antibody (negative control) overnight at 4°C in a humidified chamber. Tissues were washed with PBST and endogenous peroxidase activity was quenched with a peroxidase suppressor. Detection was performed using a biotin-conjugated secondary antibody and SA-HRP, followed by colorimetric detection using DAB. Tissues were counterstained with hematoxylin and prepped for mounting.

Immunocytochemistry/ Immunofluorescence - Anti-Cytohesin 2 antibody [10A12] (AB2728)
  • ICC/IF

Supplier Data

Immunocytochemistry/ Immunofluorescence - Anti-Cytohesin 2 antibody [10A12] (AB2728)

Immunocytochemistry/Immunofluorescence analysis of Cytohesin 2 in HepG2 cells. Cells were grown on chamber slides and fixed with formaldehyde prior to staining. Cells were probed without (control) or with ab2728 (1 : 100) overnight at 4°C, washed with PBS and incubated with a DyLight-488 conjugated secondary antibody. Cytohesin 2 staining (green), F-Actin staining with Phalloidin (red) and nuclei with DAPI (blue) is shown. Images were taken at 60X magnification.

Immunohistochemistry (Formalin/PFA-fixed paraffin-embedded sections) - Anti-Cytohesin 2 antibody [10A12] (AB2728)
  • IHC-P

Supplier Data

Immunohistochemistry (Formalin/PFA-fixed paraffin-embedded sections) - Anti-Cytohesin 2 antibody [10A12] (AB2728)

Immunohistochemistry (Formalin/PFA-fixed paraffin-embedded sections) was performed on normal biopsies of deparaffinized human stomach tissue. Heat induced antigen retrieval was performed using 10mM sodium citrate (pH6.0) buffer, microwaved for 8-15 minutes. Tissues were blocked in 3% BSA-PBS for 30 minutes at room temperature and incubated with ab2728 (1 : 50) or without primary antibody (negative control) overnight at 4°C in a humidified chamber. Tissues were washed with PBST and endogenous peroxidase activity was quenched with a peroxidase suppressor. Detection was performed using a biotin-conjugated secondary antibody and SA-HRP, followed by colorimetric detection using DAB. Tissues were counterstained with hematoxylin and prepped for mounting.

Immunocytochemistry/ Immunofluorescence - Anti-Cytohesin 2 antibody [10A12] (AB2728)
  • ICC/IF

Supplier Data

Immunocytochemistry/ Immunofluorescence - Anti-Cytohesin 2 antibody [10A12] (AB2728)

Immunocytochemistry/Immunofluorescence analysis of Cytohesin 2 in NIH-3T3 cells. Cells were grown on chamber slides and fixed with formaldehyde prior to staining. Cells were probed without (control) or with ab2728 (1 : 100) overnight at 4°C, washed with PBS and incubated with a DyLight-488 conjugated secondary antibody. Cytohesin 2 staining (green), F-Actin staining with Phalloidin (red) and nuclei with DAPI (blue) is shown. Images were taken at 60X magnification.

Key facts

Host species

Mouse

Clonality

Monoclonal

Clone number

10A12

Isotype

IgG1

Carrier free

No

Reacts with

Mouse, Human

Applications

ICC/IF, IHC-P

applications

Immunogen

Recombinant Full Length Protein corresponding to Human CYTH2.

Q99418

Specificity

Detects recombinant human cytohesin-2 (ARNO).

Reactivity data

{ "title": "Reactivity Data", "filters": { "stats": ["", "Species", "Dilution Info", "Notes"], "tabs": { "all-applications": {"fullname" : "All Applications", "shortname": "All Applications"}, "WB" : {"fullname" : "Western blot", "shortname":"WB"}, "IHCP" : {"fullname" : "Immunohistochemistry (Formalin/PFA-fixed paraffin-embedded sections)", "shortname":"IHC-P"}, "ICCIF" : {"fullname" : "Immunocytochemistry/ Immunofluorescence", "shortname":"ICC/IF"} }, "product-promise": { "all": "all", "testedAndGuaranteed": "tested", "guaranteed": "expected", "predicted": "predicted", "notRecommended": "not-recommended" } }, "values": { "Human": { "WB-species-checked": "notRecommended", "WB-species-dilution-info": "", "WB-species-notes": "<p></p>", "IHCP-species-checked": "testedAndGuaranteed", "IHCP-species-dilution-info": "1/25 - 1/200", "IHCP-species-notes": "<p></p>", "ICCIF-species-checked": "testedAndGuaranteed", "ICCIF-species-dilution-info": "1/20", "ICCIF-species-notes": "<p></p>" }, "Mouse": { "WB-species-checked": "notRecommended", "WB-species-dilution-info": "", "WB-species-notes": "<p></p>", "IHCP-species-checked": "guaranteed", "IHCP-species-dilution-info": "", "IHCP-species-notes": "", "ICCIF-species-checked": "testedAndGuaranteed", "ICCIF-species-dilution-info": "1/20", "ICCIF-species-notes": "<p></p>" } } }

Properties and storage information

Form
Liquid
Purification notes
PEG purified IgG1
Storage buffer
Preservative: 0.05% Sodium azide Constituents: PBS, 0.1% BSA
Shipped at conditions
Blue Ice
Appropriate short-term storage duration
1-2 weeks
Appropriate short-term storage conditions
+4°C
Appropriate long-term storage conditions
-20°C
Aliquoting information
Upon delivery aliquot
Storage information
Avoid freeze / thaw cycle

Supplementary information

This supplementary information is collated from multiple sources and compiled automatically.

Cytohesin 2 also known as ARF nucleotide-binding site opener (ARNO) is a guanine nucleotide exchange factor (GEF) with a molecular mass of approximately 48 kDa. Mechanically Cytohesin 2 activates ADP-ribosylation factors (ARFs) by facilitating the exchange of GDP for GTP which is important for vesicular trafficking and actin cytoskeleton remodeling. This protein is expressed in various tissues with significant presence in the brain lung and immune cells indicating its involvement in multiple cellular processes.
Biological function summary

This protein contributes to cellular signal transduction and membrane dynamics. Cytohesin 2 interacts with the IPCEF1 protein which enhances its ability to act as a GEF for ARF family proteins. As part of the cytohesin protein family it regulates cell adhesion and migration by altering the actin cytoskeleton. It influences integrin-mediated signaling pathways that are critical for immune response and cell communication.

Pathways

Researchers have identified Cytohesin 2 in the PI3K-AKT signaling pathway where it modulates cellular processes such as growth and survival. It interacts with proteins like GRK2 which assists in regulating receptor signaling intensity. Additionally Cytohesin 2 links to Ras-related pathways where it influences small GTPase activities that are important for cell motility and proliferation.

Cytohesin 2 is associated with conditions such as cancer and inflammatory diseases. Altered expression or function of Cytohesin 2 affects cellular migration and adhesion processes often dysregulated in cancer metastasis. In inflammatory diseases Cytohesin 2 interacts with the Rho GTPase family showing its influence on cell migration and immune system regulation. These associations make Cytohesin 2 a potential target for therapeutic research in oncology and immunology.

Product protocols

For this product, it's our understanding that no specific protocols are required. You can visit:

Target data

Acts as a guanine-nucleotide exchange factor (GEF). Promotes guanine-nucleotide exchange on ARF1, ARF3 and ARF6. Activates ARF factors through replacement of GDP with GTP (By similarity). The cell membrane form, in association with ARL4 proteins, recruits ARF6 to the plasma membrane (PubMed : 17398095). Involved in neurite growth (By similarity).
See full target information CYTH2

Publications (5)

Recent publications for all applications. Explore the full list and refine your search

Acta physiologica (Oxford, England) 236:e13869 PubMed36002394

2022

Citrullination is linked to reduced Ca sensitivity in hearts of a murine model of rheumatoid arthritis.

Applications

Unspecified application

Species

Unspecified reactive species

Gianluigi Pironti,Stefano Gastaldello,Dilson E Rassier,Johanna T Lanner,Mattias Carlström,Lars H Lund,Håkan Westerblad,Takashi Yamada,Daniel C Andersson

Journal of cerebral blood flow and metabolism : official journal of the International Society of Cerebral Blood Flow and Metabolism 42:1322-1334 PubMed35130767

2022

Efficacy and safety of spot heating and ultrasound irradiation on in vitro and in vivo thrombolysis models.

Applications

Unspecified application

Species

Unspecified reactive species

Ryuta Morihara,Toru Yamashita,Yosuke Osakada,Tian Feng,Xinran Hu,Yusuke Fukui,Koh Tadokoro,Mami Takemoto,Koji Abe

Journal of ophthalmology 2021:5688300 PubMed34840823

2021

Effect of Dual Endothelin Receptor Antagonist on a Retinal Degeneration Animal Model by Regulating Choroidal Microvascular Morphology.

Applications

Unspecified application

Species

Unspecified reactive species

Xiaowei Zhu,Xuming Lin,Ying Xu,Naiyang Li,Qing Zhou,Xiaowei Sun,Yuanbin Li

Hepatology (Baltimore, Md.) 67:1056-1070 PubMed29059701

2018

Interferon regulatory factor 1-Rab27a regulated extracellular vesicles promote liver ischemia/reperfusion injury.

Applications

Unspecified application

Species

Unspecified reactive species

Mu-Qing Yang,Qiang Du,Julie Goswami,Patrick R Varley,Bin Chen,Rong-Hua Wang,Adrian E Morelli,Donna B Stolz,Timothy R Billiar,Jiyu Li,David A Geller

The Journal of clinical investigation 127:4569-4582 PubMed29058688

2017

Small GTPase ARF6 controls VEGFR2 trafficking and signaling in diabetic retinopathy.

Applications

Unspecified application

Species

Unspecified reactive species

Weiquan Zhu,Dallas S Shi,Jacob M Winter,Bianca E Rich,Zongzhong Tong,Lise K Sorensen,Helong Zhao,Yi Huang,Zhengfu Tai,Tara M Mleynek,Jae Hyuk Yoo,Christine Dunn,Jing Ling,Jake A Bergquist,Jackson R Richards,Amanda Jiang,Lisa A Lesniewski,M Elizabeth Hartnett,Diane M Ward,Alan L Mueller,Kirill Ostanin,Kirk R Thomas,Shannon J Odelberg,Dean Y Li
View all publications

Product promise

We are committed to supporting your work with high-quality reagents, and we're here for you every step of the way. In the unlikely event that one of our products does not perform as expected, you're protected by our Product Promise.
For full details, please see our Terms & Conditions

Please note: All products are 'FOR RESEARCH USE ONLY. NOT FOR USE IN DIAGNOSTIC OR THERAPEUTIC PROCEDURES'.

For licensing inquiries, please contact partnerships@abcam.com