JavaScript is disabled in your browser. Please enable JavaScript to view this website.
AB185629

Anti-Cytokeratin 1 antibody [EPR17870]

Be the first to review this product! Submit a review

|

(7 Publications)

Rabbit Recombinant Monoclonal Cytokeratin 1 antibody. Suitable for WB, IHC-Fr, IHC-P and reacts with Mouse samples. Cited in 7 publications.

View Alternative Names

Krt2-1, Krt1, 67 kDa cytokeratin, Cytokeratin-1, Keratin-1, Type-II keratin Kb1, CK-1, K1

5 Images
Immunohistochemistry (Formalin/PFA-fixed paraffin-embedded sections) - Anti-Cytokeratin 1 antibody [EPR17870] (AB185629)
  • IHC-P

Supplier Data

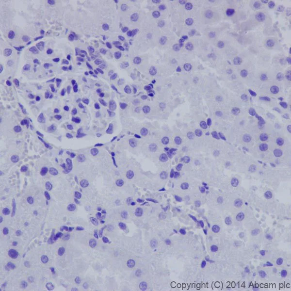
Immunohistochemistry (Formalin/PFA-fixed paraffin-embedded sections) - Anti-Cytokeratin 1 antibody [EPR17870] (AB185629)

Immunohistochemical analysis of paraffin-embedded mouse kidney tissue labeling Cytokeratin 1 with ab185629 at 1/200 dilution followed by Goat Anti-Rabbit IgG H&L (HRP) (ab97051) secondary antibody at 1/500 dilution. Negative on mouse kidney tissue. Counter stained with Hematoxylin.

Perform heat mediated antigen retrieval with Tris/EDTA buffer pH 9.0 before commencing with IHC staining protocol.

Immunohistochemistry (Frozen sections) - Anti-Cytokeratin 1 antibody [EPR17870] (AB185629)
  • IHC-Fr

Supplier Data

Immunohistochemistry (Frozen sections) - Anti-Cytokeratin 1 antibody [EPR17870] (AB185629)

Immunohistochemical analysis of 4% paraformaldehyde-fixed frozen mouse skin tissue labeling Cytokeratin 1 with ab185629 at 1/100 dilution followed by AlexaFluor®488 Goat anti-Rabbit (ab150077) secondary antibody at 1/500 dilution. Confocal image showing cytoplasm staining on keratinized epithelium of the mouse skin.

Negative control : Used PBS instead of primary antibody secondary antibody is AlexaFluor®488 Goat anti-Rabbit (ab150077) at 1/500 dilution.

Immunohistochemistry (Formalin/PFA-fixed paraffin-embedded sections) - Anti-Cytokeratin 1 antibody [EPR17870] (AB185629)
  • IHC-P

Supplier Data

Immunohistochemistry (Formalin/PFA-fixed paraffin-embedded sections) - Anti-Cytokeratin 1 antibody [EPR17870] (AB185629)

Immunohistochemical analysis of paraffin-embedded mouse skin tissue labeling Cytokeratin 1 with ab185629 at 1/200 dilution followed by Goat Anti-Rabbit IgG H&L (HRP) (ab97051) secondary antibody at 1/500 dilution. Cytoplasm staining on keratinized epithelium of the mouse skin tissue is observed. Counter stained with Hematoxylin.

Negative control : Used PBS instead of primary antibody secondary antibody is Goat Anti-Rabbit IgG H&L (HRP) (ab97051) at 1/500 dilution.

Perform heat mediated antigen retrieval with Tris/EDTA buffer pH 9.0 before commencing with IHC staining protocol.

Immunohistochemistry (Formalin/PFA-fixed paraffin-embedded sections) - Anti-Cytokeratin 1 antibody [EPR17870] (AB185629)
  • IHC-P

Supplier Data

Immunohistochemistry (Formalin/PFA-fixed paraffin-embedded sections) - Anti-Cytokeratin 1 antibody [EPR17870] (AB185629)

Immunohistochemical analysis of paraffin-embedded mouse brain tissue labeling Cytokeratin 1 with ab185629 at 1/200 dilution followed by Goat Anti-Rabbit IgG H&L (HRP) (ab97051) secondary antibody at 1/500 dilution. Negative on mouse brain tissue. Counter stained with Hematoxylin.

Perform heat mediated antigen retrieval with Tris/EDTA buffer pH 9.0 before commencing with IHC staining protocol.

Western blot - Anti-Cytokeratin 1 antibody [EPR17870] (AB185629)
  • WB

Supplier Data

Western blot - Anti-Cytokeratin 1 antibody [EPR17870] (AB185629)

Blocking/Dilution buffer : 5% NFDM/TBST.

Cytokeratin 1 is expressed in terminally differentiating epidermis.

All lanes:

Western blot - Anti-Cytokeratin 1 antibody [EPR17870] (ab185629) at 1/5000 dilution

Lane 1:

Mouse skin tissue lysate at 10 µg

Lane 2:

Mouse brain tissue lysate at 10 µg

Lane 3:

Mouse heart tissue lysate at 10 µg

Lane 4:

Mouse kidney tissue lysate at 10 µg

Lane 5:

Mouse spleen tissue lysate at 10 µg

Lane 6:

RAW 264.7 (Mouse macrophage cells transformed with Abelson murine leukemia virus) whole cell lysate at 10 µg

Lane 7:

NIH/3T3 (Mouse embryonic fibroblast cell line) whole cell lysate at 10 µg

Secondary

All lanes:

Goat Anti-Rabbit IgG, (H+L),Peroxidase conjugated at 1/1000 dilution

Predicted band size: 20 kDa,44 kDa,66 kDa

Observed band size: 21 kDa,32 kDa,45 kDa,66 kDa

false

  • Carrier free

    Anti-Cytokeratin 1 antibody [EPR17870] - BSA and Azide free

Key facts

Host species

Rabbit

Clonality

Monoclonal

Clone number

EPR17870

Isotype

IgG

Carrier free

No

Reacts with

Mouse

Applications

WB, IHC-Fr, IHC-P

applications

Immunogen

The exact immunogen used to generate this antibody is proprietary information.

Reactivity data

{ "title": "Reactivity Data", "filters": { "stats": ["", "Species", "Dilution Info", "Notes"], "tabs": { "all-applications": {"fullname" : "All Applications", "shortname": "All Applications"}, "WB" : {"fullname" : "Western blot", "shortname":"WB"}, "IHCFr" : {"fullname" : "Immunohistochemistry (Frozen sections)", "shortname":"IHC-Fr"}, "IHCP" : {"fullname" : "Immunohistochemistry (Formalin/PFA-fixed paraffin-embedded sections)", "shortname":"IHC-P"} }, "product-promise": { "all": "all", "testedAndGuaranteed": "tested", "guaranteed": "expected", "predicted": "predicted", "notRecommended": "not-recommended" } }, "values": { "Mouse": { "WB-species-checked": "testedAndGuaranteed", "WB-species-dilution-info": "1/5000", "WB-species-notes": "<p></p>", "IHCFr-species-checked": "testedAndGuaranteed", "IHCFr-species-dilution-info": "1/500", "IHCFr-species-notes": "<p></p>", "IHCP-species-checked": "testedAndGuaranteed", "IHCP-species-dilution-info": "1/200", "IHCP-species-notes": "<p></p>" } } }

Product details

Patented technology
Our RabMAb® technology is a patented hybridoma-based technology for making rabbit monoclonal antibodies. For details on our patents, please refer to RabMAb® patents.

What are the advantages of a recombinant monoclonal antibody?
This product is a recombinant monoclonal antibody, which offers several advantages including:

  • - High batch-to-batch consistency and reproducibility
  • - Improved sensitivity and specificity
  • - Long-term security of supply
  • - Animal-free batch production

For more information, read more on recombinant antibodies.

Properties and storage information

Form
Liquid
Purification technique
Affinity purification Protein A
Storage buffer
pH: 7.2 - 7.4 Preservative: 0.01% Sodium azide Constituents: PBS, 40% Glycerol (glycerin, glycerine), 0.05% BSA
Shipped at conditions
Blue Ice
Appropriate short-term storage duration
1-2 weeks
Appropriate short-term storage conditions
+4°C
Appropriate long-term storage conditions
-20°C
Aliquoting information
Upon delivery aliquot
Storage information
Avoid freeze / thaw cycle

Supplementary information

This supplementary information is collated from multiple sources and compiled automatically.

Cytokeratin 1 also known as CK1 or Keratin 1 (with a molecular mass of approximately 66 kDa) functions as a structural protein integral to the keratinocyte cytoskeleton. Expressed mainly in the epidermis' suprabasal layers it plays an important role in maintaining the structural integrity of the skin. Its expression is identifiable through the use of anti-cytokeratin antibodies and anti-cytokeratin 1 antibodies which are specific tools for detecting cytokeratins in tissue sections.
Biological function summary

Cytokeratin 1 contributes to epithelial cell stability and resilience. It forms heterodimers with its partner keratin cytokeratin 10 and participates in creating a complex filament network that protects cells from mechanical stress. This network is essential for the proper functioning of the epithelial barrier which shields underlying tissues from physical damage and pathogen invasion.

Pathways

Cytokeratin 1 is a component of the dermal-epidermal junction integrity pathways and the differentiation pathway of keratinocytes. It interacts closely with cytokeratin 10 and other keratins which help mediate cellular responses to mechanical and chemical stresses. These interactions reinforce the signaling that guides keratinocyte differentiation and ensures the assembly of a well-organized epithelial layer.

Mutations or dysregulation in cytokeratin 1 can lead to skin disorders like ichthyosis hystrix and epidermolytic hyperkeratosis. These conditions typically involve disruptions in the structural framework of keratinocytes causing skin scaling and fragility. Abnormal interactions between cytokeratin 1 and proteins such as cytokeratin 10 are often implicated in these disorders highlighting their cooperative role in maintaining skin health.

Product protocols

For this product, it's our understanding that no specific protocols are required. You can visit:

Target data

May regulate the activity of kinases such as PKC and SRC via binding to integrin beta-1 (ITB1) and the receptor of activated protein C kinase 1 (RACK1). In complex with C1QBP is a high affinity receptor for kininogen-1/HMWK (By similarity).
See full target information Krt1

Publications (7)

Recent publications for all applications. Explore the full list and refine your search

Aging cell 23:e14333 PubMed39289787

2024

CASIN exerts anti-aging effects through RPL4 on the skin of naturally aging mice.

Applications

Unspecified application

Species

Unspecified reactive species

Yijia Zhang,Xueer Wang,Jianyuan Huang,Xinyue Zhang,Lingwei Bu,Yarui Zhang,Fengting Liang,Shenhua Wu,Min Zhang,Lu Zhang,Lin Zhang

Journal of the European Academy of Dermatology and Venereology : JEADV 36:1857-1862 PubMed35490383

2022

Nonsense mutations in KRT1 caused recessive epidermolytic palmoplantar keratoderma with knuckle pads.

Applications

Unspecified application

Species

Unspecified reactive species

R Mo,M Lin,M Lee,W Yan,H Wang,Z Lin

The Journal of investigative dermatology 140:544-555.e9 PubMed31494092

2019

CD49f Defines a Distinct Skin Mesenchymal Stem Cell Population Capable of Hair Follicle Epithelial Cell Maintenance.

Applications

Unspecified application

Species

Unspecified reactive species

Zhigang Yang,Shize Ma,Rui Cao,Ling Liu,Chunyan Cao,Zhihui Shen,Xin Fu,Li Yan,Qian Wang,Xia Liu,Ran Xiao

Journal of cosmetic dermatology 19:915-924 PubMed31441999

2019

Evaluation of moisturizing and irritation potential of sacha inchi oil.

Applications

Unspecified application

Species

Unspecified reactive species

Wichuda Soimee,Wongnapa Nakyai,Pensri Charoensit,Francois Grandmottet,Saran Worasakwutiphong,Preeyawass Phimnuan,Jarupa Viyoch

Experimental eye research 180:208-225 PubMed30590023

2018

Ocular surface pathogenesis associated with precocious eyelid opening and necrotic autologous tissue in mouse with disruption of Prickle 1 gene.

Applications

Unspecified application

Species

Unspecified reactive species

Dianlei Guo,Mengke Li,Bin Zou,Xinyu Gu,Zhaohui Yuan,Michael Liu,Fuxiang Mao,Hong Ouyang,Kaili Wu,Lai Wei,Yizhi Liu,Chunqiao Liu

Investigative ophthalmology & visual science 59:952-966 PubMed29450535

2018

A Spatiotemporal Requirement for Prickle 1-Mediated PCP Signaling in Eyelid Morphogenesis and Homeostasis.

Applications

Unspecified application

Species

Unspecified reactive species

Dianlei Guo,Zhaohui Yuan,Jiali Ru,Xinyu Gu,Wang Zhang,Fuxiang Mao,Hong Ouyang,Kaili Wu,Yizhi Liu,Chunqiao Liu

Scientific reports 8:2612 PubMed29422532

2018

Type IV collagen α6 chain is a regulator of keratin 10 in keratinization of oral mucosal epithelium.

Applications

IHC-Fr

Species

Mouse

Taishi Komori,Mitsuaki Ono,Emilio Satoshi Hara,Junji Ueda,Ha Thi Thu Nguyen,Ha Thi Nguyen,Tomoko Yonezawa,Takahiro Maeba,Aya Kimura-Ono,Takeshi Takarada,Ryusuke Momota,Kenji Maekawa,Takuo Kuboki,Toshitaka Oohashi
View all publications

Product promise

We are committed to supporting your work with high-quality reagents, and we're here for you every step of the way. In the unlikely event that one of our products does not perform as expected, you're protected by our Product Promise.
For full details, please see our Terms & Conditions

Please note: All products are 'FOR RESEARCH USE ONLY. NOT FOR USE IN DIAGNOSTIC OR THERAPEUTIC PROCEDURES'.

For licensing inquiries, please contact partnerships@abcam.com