JavaScript is disabled in your browser. Please enable JavaScript to view this website.
AB250845

Anti-Cytokeratin 1 antibody [EPR17870] - BSA and Azide free

Be the first to review this product! Submit a review

|

(1 Publication)

Rabbit Recombinant Monoclonal Cytokeratin 1 antibody. Carrier free. Suitable for WB, IHC-Fr, IHC-P and reacts with Mouse samples. Cited in 1 publication.

View Alternative Names

Krt2-1, Krt1, 67 kDa cytokeratin, Cytokeratin-1, Keratin-1, Type-II keratin Kb1, CK-1, K1

5 Images
Immunohistochemistry (Formalin/PFA-fixed paraffin-embedded sections) - Anti-Cytokeratin 1 antibody [EPR17870] - BSA and Azide free (AB250845)
  • IHC-P

Supplier Data

Immunohistochemistry (Formalin/PFA-fixed paraffin-embedded sections) - Anti-Cytokeratin 1 antibody [EPR17870] - BSA and Azide free (AB250845)

This data was developed using ab185629, the same antibody clone in a different buffer formulation.

Immunohistochemical analysis of paraffin-embedded mouse skin tissue labeling Cytokeratin 1 with ab185629 at 1/200 dilution, followed by Goat Anti-Rabbit IgG H&L (HRP) (ab97051) secondary antibody at 1/500 dilution. Cytoplasm staining on keratinized epithelium of the mouse skin tissue is observed. Counter stained with Hematoxylin.

Negative control : Used PBS instead of primary antibody, secondary antibody is Goat Anti-Rabbit IgG H&L (HRP) (ab97051) at 1/500 dilution.

Perform heat mediated antigen retrieval with Tris/EDTA buffer pH 9.0 before commencing with IHC staining protocol.

Immunohistochemistry (Formalin/PFA-fixed paraffin-embedded sections) - Anti-Cytokeratin 1 antibody [EPR17870] - BSA and Azide free (AB250845)
  • IHC-P

Supplier Data

Immunohistochemistry (Formalin/PFA-fixed paraffin-embedded sections) - Anti-Cytokeratin 1 antibody [EPR17870] - BSA and Azide free (AB250845)

This data was developed using ab185629, the same antibody clone in a different buffer formulation.

Immunohistochemical analysis of paraffin-embedded mouse brain tissue labeling Cytokeratin 1 with ab185629 at 1/200 dilution, followed by Goat Anti-Rabbit IgG H&L (HRP) (ab97051) secondary antibody at 1/500 dilution. Negative on mouse brain tissue. Counter stained with Hematoxylin.

Perform heat mediated antigen retrieval with Tris/EDTA buffer pH 9.0 before commencing with IHC staining protocol.

Western blot - Anti-Cytokeratin 1 antibody [EPR17870] - BSA and Azide free (AB250845)
  • WB

Supplier Data

Western blot - Anti-Cytokeratin 1 antibody [EPR17870] - BSA and Azide free (AB250845)

This data was developed using ab185629, the same antibody clone in a different buffer formulation.

Blocking and dilution buffer : 5% NFDM/TBST.

Cytokeratin 1 is expressed in terminally differentiating epidermis.

All lanes:

Western blot - Anti-Cytokeratin 1 antibody [EPR17870] (<a href='/en-us/products/primary-antibodies/cytokeratin-1-antibody-epr17870-ab185629'>ab185629</a>) at 1/5000 dilution

Lane 1:

Mouse skin tissue lysate at 10 µg

Lane 2:

Mouse brain tissue lysate at 10 µg

Lane 3:

Mouse heart tissue lysate at 10 µg

Lane 4:

Mouse kidney tissue lysate at 10 µg

Lane 5:

Mouse spleen tissue lysate at 10 µg

Lane 6:

RAW 264.7 (Mouse macrophage cells transformed with Abelson murine leukemia virus) whole cell lysate at 10 µg

Lane 7:

NIH/3T3 (Mouse embryonic fibroblast cell line) whole cell lysate at 10 µg

Secondary

All lanes:

Goat Anti-Rabbit IgG, (H+L),Peroxidase conjugated at 1/1000 dilution

Predicted band size: 20 kDa,44 kDa,66 kDa

Observed band size: 21 kDa,32 kDa,45 kDa,66 kDa

false

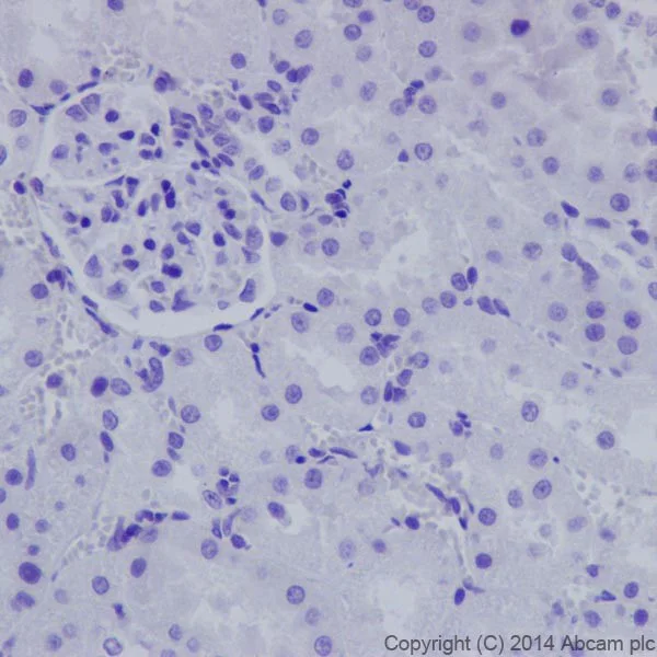
Immunohistochemistry (Formalin/PFA-fixed paraffin-embedded sections) - Anti-Cytokeratin 1 antibody [EPR17870] - BSA and Azide free (AB250845)
  • IHC-P

Supplier Data

Immunohistochemistry (Formalin/PFA-fixed paraffin-embedded sections) - Anti-Cytokeratin 1 antibody [EPR17870] - BSA and Azide free (AB250845)

This data was developed using ab185629, the same antibody clone in a different buffer formulation.

Immunohistochemical analysis of paraffin-embedded mouse kidney tissue labeling Cytokeratin 1 with ab185629 at 1/200 dilution, followed by Goat Anti-Rabbit IgG H&L (HRP) (ab97051) secondary antibody at 1/500 dilution. Negative on mouse kidney tissue. Counter stained with Hematoxylin.

Perform heat mediated antigen retrieval with Tris/EDTA buffer pH 9.0 before commencing with IHC staining protocol.

Immunohistochemistry (Frozen sections) - Anti-Cytokeratin 1 antibody [EPR17870] - BSA and Azide free (AB250845)
  • IHC-Fr

Supplier Data

Immunohistochemistry (Frozen sections) - Anti-Cytokeratin 1 antibody [EPR17870] - BSA and Azide free (AB250845)

This data was developed using ab185629, the same antibody clone in a different buffer formulation.

Immunohistochemical analysis of 4% paraformaldehyde-fixed frozen mouse skin tissue labeling Cytokeratin 1 with ab185629 at 1/100 dilution, followed by AlexaFluor®488 Goat anti-Rabbit (ab150077) secondary antibody at 1/500 dilution. Confocal image showing cytoplasm staining on keratinized epithelium of the mouse skin.

Negative control : Used PBS instead of primary antibody, secondary antibody is AlexaFluor®488 Goat anti-Rabbit (ab150077) at 1/500 dilution.

Key facts

Host species

Rabbit

Clonality

Monoclonal

Clone number

EPR17870

Isotype

IgG

Carrier free

Yes

Reacts with

Mouse

Applications

IHC-Fr, WB, IHC-P

applications

Immunogen

The exact immunogen used to generate this antibody is proprietary information.

Reactivity data

{ "title": "Reactivity Data", "filters": { "stats": ["", "Species", "Dilution Info", "Notes"], "tabs": { "all-applications": {"fullname" : "All Applications", "shortname": "All Applications"}, "WB" : {"fullname" : "Western blot", "shortname":"WB"}, "IHCFr" : {"fullname" : "Immunohistochemistry (Frozen sections)", "shortname":"IHC-Fr"}, "IHCP" : {"fullname" : "Immunohistochemistry (Formalin/PFA-fixed paraffin-embedded sections)", "shortname":"IHC-P"} }, "product-promise": { "all": "all", "testedAndGuaranteed": "tested", "guaranteed": "expected", "predicted": "predicted", "notRecommended": "not-recommended" } }, "values": { "Mouse": { "WB-species-checked": "testedAndGuaranteed", "WB-species-dilution-info": "", "WB-species-notes": "<p></p>", "IHCFr-species-checked": "testedAndGuaranteed", "IHCFr-species-dilution-info": "", "IHCFr-species-notes": "<p></p>", "IHCP-species-checked": "testedAndGuaranteed", "IHCP-species-dilution-info": "", "IHCP-species-notes": "<p></p>" } } }

Product details

ab250845 is the carrier-free version of ab185629.

Patented technology
Our RabMAb® technology is a patented hybridoma-based technology for making rabbit monoclonal antibodies. For details on our patents, please refer to RabMAb® patents.

What are the advantages of a recombinant monoclonal antibody?
This product is a recombinant monoclonal antibody, which offers several advantages including:

  • - High batch-to-batch consistency and reproducibility
  • - Improved sensitivity and specificity
  • - Long-term security of supply
  • - Animal-free batch production

For more information, read more on recombinant antibodies.

Conjugation ready
Our carrier-free antibodies are typically supplied in a PBS-only formulation, purified and free of BSA, sodium azide and glycerol. This conjugation-ready format is designed for use with fluorochromes, metal isotopes, oligonucleotides, and enzymes, which makes them ideal for antibody labelling, functional and cell-based assays, flow-based assays (e.g. mass cytometry) and Multiplex Imaging applications.

Use our conjugation kits for antibody conjugates that are ready-to-use in as little as 20 minutes with 1 minute hands-on-time and 100% antibody recovery: available for fluorescent dyes, HRP, biotin and gold.

Compatibility
This product is compatible with the Maxpar® Antibody Labeling Kit from Fluidigm, without the need for antibody preparation. Maxpar® is a trademark of Fluidigm Canada Inc.

Properties and storage information

Form
Liquid
Purification technique
Affinity purification Protein A
Storage buffer
pH: 7.2 - 7.4 Constituents: PBS
Shipped at conditions
Blue Ice
Appropriate short-term storage conditions
+4°C
Appropriate long-term storage conditions
+4°C
Storage information
Do Not Freeze

Supplementary information

This supplementary information is collated from multiple sources and compiled automatically.

Cytokeratin 1 also known as CK1 or Keratin 1 (with a molecular mass of approximately 66 kDa) functions as a structural protein integral to the keratinocyte cytoskeleton. Expressed mainly in the epidermis' suprabasal layers it plays an important role in maintaining the structural integrity of the skin. Its expression is identifiable through the use of anti-cytokeratin antibodies and anti-cytokeratin 1 antibodies which are specific tools for detecting cytokeratins in tissue sections.
Biological function summary

Cytokeratin 1 contributes to epithelial cell stability and resilience. It forms heterodimers with its partner keratin cytokeratin 10 and participates in creating a complex filament network that protects cells from mechanical stress. This network is essential for the proper functioning of the epithelial barrier which shields underlying tissues from physical damage and pathogen invasion.

Pathways

Cytokeratin 1 is a component of the dermal-epidermal junction integrity pathways and the differentiation pathway of keratinocytes. It interacts closely with cytokeratin 10 and other keratins which help mediate cellular responses to mechanical and chemical stresses. These interactions reinforce the signaling that guides keratinocyte differentiation and ensures the assembly of a well-organized epithelial layer.

Mutations or dysregulation in cytokeratin 1 can lead to skin disorders like ichthyosis hystrix and epidermolytic hyperkeratosis. These conditions typically involve disruptions in the structural framework of keratinocytes causing skin scaling and fragility. Abnormal interactions between cytokeratin 1 and proteins such as cytokeratin 10 are often implicated in these disorders highlighting their cooperative role in maintaining skin health.

Product protocols

For this product, it's our understanding that no specific protocols are required. You can visit:

Target data

May regulate the activity of kinases such as PKC and SRC via binding to integrin beta-1 (ITB1) and the receptor of activated protein C kinase 1 (RACK1). In complex with C1QBP is a high affinity receptor for kininogen-1/HMWK (By similarity).
See full target information Krt1

Publications (1)

Recent publications for all applications. Explore the full list and refine your search

Journal of radiation research 64:833-841 PubMed37439405

2023

Expression of TMEM59L associated with radiosensitive in glioblastoma.

Applications

Unspecified application

Species

Unspecified reactive species

Dezhi Gao,Peng Wang,Lin Zhi,Shibin Sun,Xiaoguang Qiu,Yanwei Liu
View all publications

Product promise

We are committed to supporting your work with high-quality reagents, and we're here for you every step of the way. In the unlikely event that one of our products does not perform as expected, you're protected by our Product Promise.
For full details, please see our Terms & Conditions

Please note: All products are 'FOR RESEARCH USE ONLY. NOT FOR USE IN DIAGNOSTIC OR THERAPEUTIC PROCEDURES'.

For licensing inquiries, please contact partnerships@abcam.com