JavaScript is disabled in your browser. Please enable JavaScript to view this website.
AB9026

Anti-Cytokeratin 10 antibody [DE-K10] - Cytoskeleton Marker

5

(4 Reviews)

|

(51 Publications)

Anti-Cytokeratin 10 antibody [DE-K10] - Cytoskeleton Marker (ab9026) is a mouse monoclonal antibody detecting Cytokeratin 10 in IHC-P, IHC-Fr. Suitable for Dog, Human.

- Over 40 publications
- Trusted since 2002

View Alternative Names

KPP, KRT10, Cytokeratin-10, Keratin-10, CK-10, K10

3 Images
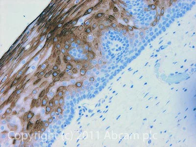
Immunohistochemistry (Formalin/PFA-fixed paraffin-embedded sections) - Anti-Cytokeratin 10 antibody [DE-K10] - Cytoskeleton Marker (AB9026)
  • IHC-P

Unknown

Immunohistochemistry (Formalin/PFA-fixed paraffin-embedded sections) - Anti-Cytokeratin 10 antibody [DE-K10] - Cytoskeleton Marker (AB9026)

IHC image of ab9026 staining in Human cervix formalin fixed paraffin embedded tissue section, performed on a Leica BondTM system using the standard protocol F. The section was pre-treated using heat mediated antigen retrieval with sodium citrate buffer (pH6, epitope retrieval solution 1) for 20 mins. The section was then incubated with ab9026, 5µg/ml, for 15 mins at room temperature and detected using an HRP conjugated compact polymer system. DAB was used as the chromogen. The section was then counterstained with haematoxylin and mounted with DPX.

For other IHC staining systems (automated and non-automated) customers should optimize variable parameters such as antigen retrieval conditions, primary antibody concentration and antibody incubation times.

Immunohistochemistry (Formalin/PFA-fixed paraffin-embedded sections) - Anti-Cytokeratin 10 antibody [DE-K10] - Cytoskeleton Marker (AB9026)
  • IHC-P

PubMed

Immunohistochemistry (Formalin/PFA-fixed paraffin-embedded sections) - Anti-Cytokeratin 10 antibody [DE-K10] - Cytoskeleton Marker (AB9026)

Mesenchymal-epidermal interactions assessed by heterologous organotypic co-cultures (OTC). Heterologous OTC consisting of mice deficient for cathepsin L +/+ fibroblasts in collagen type I gels topped by normal human primary keratinocytes were grown air-exposed for 7 days. Paraffin sections were stained in haematoxylin and eosin (HE) or by immunohistochemistry for the proliferation marker Ki67 (Ki67, brown nuclear staining) and the differentiation markers cytokeratin 10 (K10, ab9026 1/100 dilution, brown staining) and transglutaminase (TG, brown staining). Bar 100 µm.

Image from Reinheckel T et al, J Cell Sci. 2005 Aug 1;118(Pt 15):3387-95, Fig 3. DOI 10.1242/jcs.02469

Immunohistochemistry (Frozen sections) - Anti-Cytokeratin 10 antibody [DE-K10] - Cytoskeleton Marker (AB9026)
  • IHC-Fr

Supplier Data

Immunohistochemistry (Frozen sections) - Anti-Cytokeratin 10 antibody [DE-K10] - Cytoskeleton Marker (AB9026)

IHC image on a frozen section of dog skin showing its strong reactivity in the keratinizing epidermal cells.

Key facts

Host species

Mouse

Clonality

Monoclonal

Clone number

DE-K10

Isotype

IgG1

Light chain type

kappa

Carrier free

No

Reacts with

Dog, Human

Applications

IHC-Fr, IHC-P

applications

Specificity

Reacts with keratinizing stratified epithelia and in differentiated areas of highly differentiated squamous cell carcinomas.

Reactivity data

{ "title": "Reactivity Data", "filters": { "stats": ["", "Species", "Dilution Info", "Notes"], "tabs": { "all-applications": {"fullname" : "All Applications", "shortname": "All Applications"}, "IHCP" : {"fullname" : "Immunohistochemistry (Formalin/PFA-fixed paraffin-embedded sections)", "shortname":"IHC-P"}, "IHCFr" : {"fullname" : "Immunohistochemistry (Frozen sections)", "shortname":"IHC-Fr"} }, "product-promise": { "all": "all", "testedAndGuaranteed": "tested", "guaranteed": "expected", "predicted": "predicted", "notRecommended": "not-recommended" } }, "values": { "Human": { "IHCP-species-checked": "testedAndGuaranteed", "IHCP-species-dilution-info": "1/100", "IHCP-species-notes": "<p></p>", "IHCFr-species-checked": "guaranteed", "IHCFr-species-dilution-info": "", "IHCFr-species-notes": "" }, "Dog": { "IHCP-species-checked": "guaranteed", "IHCP-species-dilution-info": "", "IHCP-species-notes": "", "IHCFr-species-checked": "testedAndGuaranteed", "IHCFr-species-dilution-info": "", "IHCFr-species-notes": "<p></p>" } } }

Product details

What is this antibody validated in?
Anti-Cytokeratin 10 antibody [DE-K10] - Cytoskeleton Marker (ab9026) is a mouse monoclonal antibody and is validated for use in Immunohistochemistry (IHC-P), Immunohistochemistry (IHC-Fr) in Dog, Human samples.

Trusted by the scientific community
Anti-Cytokeratin 10 [DE-K10] - Cytoskeleton Marker (ab9026) was first used in a scientific publication in 2002 and has been cited over 40 times in peer-reviewed journals.

Properties and storage information

Form
Liquid
Purification technique
Affinity purification Protein G
Storage buffer
Preservative: 0.09% Sodium azide Constituents: PBS
Shipped at conditions
Blue Ice
Appropriate short-term storage duration
1-2 weeks
Appropriate short-term storage conditions
+4°C
Appropriate long-term storage conditions
-20°C
Aliquoting information
Upon delivery aliquot
Storage information
Avoid freeze / thaw cycle

Supplementary information

This supplementary information is collated from multiple sources and compiled automatically.

Cytokeratin 10 also known as CK10 K10 or KRT10 is a type I keratin protein with a mass of about 59 kDa. Researchers recognize it as an important structural protein found mainly in the suprabasal layers of the epidermis where it contributes to maintaining the integrity and function of the skin barrier. Cytokeratin 10 is also expressed in other stratified squamous epithelia. Scientists use antibodies against cytokeratin 10 sometimes called 'lh2' and 'cytokeratin 10 anticuerpos' as neomarkers for identifying specific cell types in tissue studies.
Biological function summary

Keratin proteins like cytokeratin 10 provide mechanical stability to cells and tissues. Cytokeratin 10 forms a heterodimer with keratin 1 (KRT1) creating a complex that plays a critical role in the cytoskeleton of keratinocytes. This structure supports cellular resilience against mechanical stresses helping maintain the integrity of epithelial tissues. Keratin 10 function is essential for normal skin development and differentiation highlighting its significance in epidermal morphogenesis.

Pathways

Cytokeratin 10 is integral to the epidermal differentiation complex. This pathway involves many regulatory proteins and is essential for proper skin formation and repair. Cytokeratin 10 together with KRT1 contributes to the terminal differentiation of keratinocytes. Another key pathway is the cornification process where cytokeratin 10 helps form the protective outer layer of the skin. These biological roles place cytokeratin 10 at an essential point in maintaining skin homeostasis and function.

Abnormal expression or mutation of cytokeratin 10 leads to skin conditions like epidermolytic hyperkeratosis. This rare inherited disorder results in blistering and thickening of the skin. Cytokeratin 10 mutations often appear alongside changes in KRT1 due to their forming a functional pair indicating their collaborative role in disease manifestation. Additionally altered cytokeratin 10 expression can be associated with psoriasis as disrupted keratinocyte differentiation contributes to this inflammatory skin disease. Understanding these associations helps in studying and developing treatment strategies for skin disorders.

Product protocols

For this product, it's our understanding that no specific protocols are required. You can visit:

Target data

Plays a role in the establishment of the epidermal barrier on plantar skin (By similarity). Involved in the maintenance of cell layer development and keratin filament bundles in suprabasal cells of the epithelium (By similarity).. (Microbial infection) Acts as a mediator of S.aureus adherence to desquamated nasal epithelial cells via clfB, and hence may play a role in nasal colonization.. (Microbial infection) Binds S.pneumoniae PsrP, mediating adherence of the bacteria to lung cell lines. Reduction of levels of KRT10 keratin decrease adherence, overexpression increases adherence. Neither protein has to be glycosylated for the interaction to occur.
See full target information KRT10

Publications (51)

Recent publications for all applications. Explore the full list and refine your search

Frontiers in medicine 12:1539484 PubMed40678130

2025

A standardizable human-based psoriasis skin model for drug development.

Applications

Unspecified application

Species

Unspecified reactive species

Hanna Glasebach,Steffen Rupp,Anke Burger-Kentischer

Cell reports 44:115561 PubMed40250424

2025

Epigenomic regulation of stemness contributes to the low immunogenicity of the most mutated human cancer.

Applications

Unspecified application

Species

Unspecified reactive species

Tomonori Oka,Sabrina S Smith,Valeria S Oliver-Garcia,Truelian Lee,Heehwa G Son,Mahsa Mortaja,Marjan Azin,Anna C Garza-Mayers,Jennifer T Huang,Rosalynn M Nazarian,Thomas D Horn,Shadmehr Demehri

Aging cell 24:e70024 PubMed40241256

2025

Targeting ATF6α Attenuates UVB-Induced Senescence and Improves Skin Homeostasis by Regulating IL8 Expression.

Applications

Unspecified application

Species

Unspecified reactive species

Joëlle Giroud,Pauline Delvaux,Laura Carlier,Clémentine De Schutter,Nathalie Martin,Raphaël Rouget,Ayeh Bolouki,Valérie De Glas,Inès Bouriez,Florent Bourdoux,Sophie Burteau,Julien Théry,Gauthier Decanter,Nicolas Penel,Yvan de Launoit,Benjamin Ledoux,Corinne Abbadie,Yves Poumay,Olivier Pluquet,Florence Debacq-Chainiaux

International journal of molecular sciences 25: PubMed38732209

2024

Development of a Static Avascular and Dynamic Vascular Human Skin Equivalent Employing Collagen/Keratin Hydrogels.

Applications

Unspecified application

Species

Unspecified reactive species

Kameel Zuniga,Neda Ghousifam,Lucy Shaffer,Sean Brocklehurst,Mark Van Dyke,Robert Christy,Shanmugasundaram Natesan,Marissa Nichole Rylander

Biomedicines 12: PubMed38540205

2024

CLCA2: A Potential Guardian against Premature Senescence and Skin Aging.

Applications

Unspecified application

Species

Unspecified reactive species

Lena Guerrero-Navarro,Ines Martic,Christian Ploner,Pidder Jansen-Dürr,Maria Cavinato

Microbiome 11:227 PubMed37849006

2023

Novel methodologies for host-microbe interactions and microbiome-targeted therapeutics in 3D organotypic skin models.

Applications

Unspecified application

Species

Unspecified reactive species

Gijs Rikken,Luca D Meesters,Patrick A M Jansen,Diana Rodijk-Olthuis,Ivonne M J J van Vlijmen-Willems,Hanna Niehues,Jos P H Smits,Peter Oláh,Bernhard Homey,Joost Schalkwijk,Patrick L J M Zeeuwen,Ellen H van den Bogaard

EBioMedicine 91:104577 PubMed37068348

2023

Microwave hyperthermia represses human papillomavirus oncoprotein activity and induces cell death due to cell stress in 3D tissue models of anogenital precancers and cancers.

Applications

Unspecified application

Species

Unspecified reactive species

Michaela J Conley,Ilaria Epifano,Anna Kirk,Andrew Stevenson,Sheila V Graham

EMBO reports 23:e55478 PubMed36278510

2022

The extracellular matrix fibulin 7 maintains epidermal stem cell heterogeneity during skin aging.

Applications

Unspecified application

Species

Unspecified reactive species

Erna Raja,Gopakumar Changarathil,Lalhaba Oinam,Jun Tsunezumi,Yen Xuan Ngo,Ryutaro Ishii,Takako Sasaki,Kyoko Imanaka-Yoshida,Hiromi Yanagisawa,Aiko Sada

The EMBO journal 41:e110488 PubMed35949182

2022

Binary organization of epidermal basal domains highlights robustness to environmental exposure.

Applications

Unspecified application

Species

Unspecified reactive species

Sangeeta Ghuwalewala,Seon A Lee,Kevin Jiang,Joydeep Baidya,Gopal Chovatiya,Pritinder Kaur,David Shalloway,Tudorita Tumbar

Nature communications 13:4628 PubMed35941116

2022

Thy1 marks a distinct population of slow-cycling stem cells in the mouse epidermis.

Applications

Unspecified application

Species

Unspecified reactive species

Elle Koren,Alona Feldman,Marianna Yusupova,Avihay Kadosh,Egor Sedov,Roi Ankawa,Yahav Yosefzon,Waseem Nasser,Stefanie Gerstberger,Liam B Kimel,Noa Priselac,Samara Brown,Sam Sharma,Travis Gorenc,Ruby Shalom-Feuerstein,Hermann Steller,Tom Shemesh,Yaron Fuchs
View all publications

Product promise

We are committed to supporting your work with high-quality reagents, and we're here for you every step of the way. In the unlikely event that one of our products does not perform as expected, you're protected by our Product Promise.
For full details, please see our Terms & Conditions

Please note: All products are 'FOR RESEARCH USE ONLY. NOT FOR USE IN DIAGNOSTIC OR THERAPEUTIC PROCEDURES'.

For licensing inquiries, please contact partnerships@abcam.com