JavaScript is disabled in your browser. Please enable JavaScript to view this website.
AB234330

Anti-Cytokeratin 10 antibody [rKRT10/1275]

Be the first to review this product! Submit a review

|

(1 Publication)

Mouse Recombinant Monoclonal Cytokeratin 10 antibody. Suitable for IHC-P and reacts with Human samples. Cited in 1 publication. Immunogen corresponding to Recombinant Full Length Protein corresponding to Human KRT10.

View Alternative Names

KPP, KRT10, Cytokeratin-10, Keratin-10, CK-10, K10

1 Images
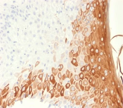
Immunohistochemistry (Formalin/PFA-fixed paraffin-embedded sections) - Anti-Cytokeratin 10 antibody [rKRT10/1275] (AB234330)
  • IHC-P

Supplier Data

Immunohistochemistry (Formalin/PFA-fixed paraffin-embedded sections) - Anti-Cytokeratin 10 antibody [rKRT10/1275] (AB234330)

Formalin-fixed, paraffin-embedded human skin tissue stained for Cytokeratin 10 using ab234330 at 0.2 μg/ml in immunohistochemical analysis.

Key facts

Host species

Mouse

Clonality

Monoclonal

Clone number

rKRT10/1275

Isotype

IgG1

Light chain type

kappa

Carrier free

No

Reacts with

Human

Applications

IHC-P

applications

Immunogen

Recombinant Full Length Protein corresponding to Human KRT10.

P13645

Reactivity data

{ "title": "Reactivity Data", "filters": { "stats": ["", "Species", "Dilution Info", "Notes"], "tabs": { "all-applications": {"fullname" : "All Applications", "shortname": "All Applications"}, "IHCP" : {"fullname" : "Immunohistochemistry (Formalin/PFA-fixed paraffin-embedded sections)", "shortname":"IHC-P"} }, "product-promise": { "all": "all", "testedAndGuaranteed": "tested", "guaranteed": "expected", "predicted": "predicted", "notRecommended": "not-recommended" } }, "values": { "Human": { "IHCP-species-checked": "testedAndGuaranteed", "IHCP-species-dilution-info": "0.1-0.2 µg/mL", "IHCP-species-notes": "<p>(Primary incubation for 30 min at room temperature).</p> Perform heat-mediated antigen retrieval with citrate buffer pH 6 before commencing with IHC staining protocol." } } }

Properties and storage information

Form
Liquid
Purification technique
Affinity purification Protein A/G
Purification notes
Purified from Bioreactor Concentrate by Protein A/G.
Storage buffer
pH: 7.2 - 7.4 Preservative: 0.05% Sodium azide Constituents: PBS, 0.05% BSA
Shipped at conditions
Blue Ice
Appropriate short-term storage duration
1-2 weeks
Appropriate short-term storage conditions
+4°C
Appropriate long-term storage conditions
-20°C
Aliquoting information
Upon delivery aliquot
Storage information
Avoid freeze / thaw cycle

Supplementary information

This supplementary information is collated from multiple sources and compiled automatically.

Cytokeratin 10 also known as CK10 K10 or KRT10 is a type I keratin protein with a mass of about 59 kDa. Researchers recognize it as an important structural protein found mainly in the suprabasal layers of the epidermis where it contributes to maintaining the integrity and function of the skin barrier. Cytokeratin 10 is also expressed in other stratified squamous epithelia. Scientists use antibodies against cytokeratin 10 sometimes called 'lh2' and 'cytokeratin 10 anticuerpos' as neomarkers for identifying specific cell types in tissue studies.
Biological function summary

Keratin proteins like cytokeratin 10 provide mechanical stability to cells and tissues. Cytokeratin 10 forms a heterodimer with keratin 1 (KRT1) creating a complex that plays a critical role in the cytoskeleton of keratinocytes. This structure supports cellular resilience against mechanical stresses helping maintain the integrity of epithelial tissues. Keratin 10 function is essential for normal skin development and differentiation highlighting its significance in epidermal morphogenesis.

Pathways

Cytokeratin 10 is integral to the epidermal differentiation complex. This pathway involves many regulatory proteins and is essential for proper skin formation and repair. Cytokeratin 10 together with KRT1 contributes to the terminal differentiation of keratinocytes. Another key pathway is the cornification process where cytokeratin 10 helps form the protective outer layer of the skin. These biological roles place cytokeratin 10 at an essential point in maintaining skin homeostasis and function.

Abnormal expression or mutation of cytokeratin 10 leads to skin conditions like epidermolytic hyperkeratosis. This rare inherited disorder results in blistering and thickening of the skin. Cytokeratin 10 mutations often appear alongside changes in KRT1 due to their forming a functional pair indicating their collaborative role in disease manifestation. Additionally altered cytokeratin 10 expression can be associated with psoriasis as disrupted keratinocyte differentiation contributes to this inflammatory skin disease. Understanding these associations helps in studying and developing treatment strategies for skin disorders.

Product protocols

For this product, it's our understanding that no specific protocols are required. You can visit:

Target data

Plays a role in the establishment of the epidermal barrier on plantar skin (By similarity). Involved in the maintenance of cell layer development and keratin filament bundles in suprabasal cells of the epithelium (By similarity).. (Microbial infection) Acts as a mediator of S.aureus adherence to desquamated nasal epithelial cells via clfB, and hence may play a role in nasal colonization.. (Microbial infection) Binds S.pneumoniae PsrP, mediating adherence of the bacteria to lung cell lines. Reduction of levels of KRT10 keratin decrease adherence, overexpression increases adherence. Neither protein has to be glycosylated for the interaction to occur.
See full target information KRT10

Publications (1)

Recent publications for all applications. Explore the full list and refine your search

Biofabrication 17: PubMed39622178

2024

Development of immunocompetent full thickness skin tissue constructs to model skin fibrosis for high-throughput drug screening.

Applications

Unspecified application

Species

Unspecified reactive species

Yi Wei Lim,Russell Quinn,Kapil Bharti,Marc Ferrer,Hoda Zarkoob,Min Jae Song
View all publications

Product promise

We are committed to supporting your work with high-quality reagents, and we're here for you every step of the way. In the unlikely event that one of our products does not perform as expected, you're protected by our Product Promise.
For full details, please see our Terms & Conditions

Please note: All products are 'FOR RESEARCH USE ONLY. NOT FOR USE IN DIAGNOSTIC OR THERAPEUTIC PROCEDURES'.

For licensing inquiries, please contact partnerships@abcam.com