JavaScript is disabled in your browser. Please enable JavaScript to view this website.
AB9025

Anti-Cytokeratin 10 antibody [RKSE60]

5

(4 Reviews)

|

(34 Publications)

Mouse Monoclonal Cytokeratin 10 antibody. Suitable for ICC/IF, IHC-Fr and reacts with Zebrafish, Pig samples. Cited in 34 publications. Immunogen corresponding to Native Full Length Protein corresponding to Human KRT10.

View Alternative Names

KPP, KRT10, Cytokeratin-10, Keratin-10, CK-10, K10

2 Images
Immunocytochemistry/ Immunofluorescence - Anti-Cytokeratin 10 antibody [RKSE60] (AB9025)
  • ICC/IF

Unknown

Immunocytochemistry/ Immunofluorescence - Anti-Cytokeratin 10 antibody [RKSE60] (AB9025)

Immunofluorescence staining of a 7 days old zebrafish embryo

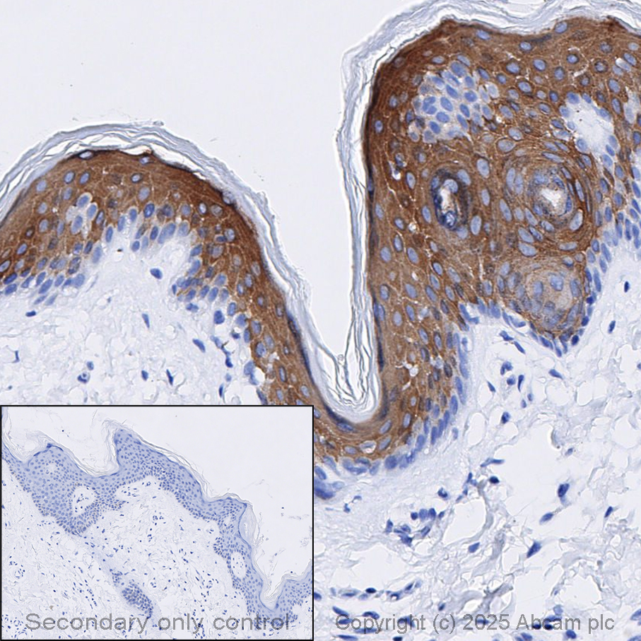
Immunohistochemistry (Frozen sections) - Anti-Cytokeratin 10 antibody [RKSE60] (AB9025)
  • IHC-Fr

Unknown

Immunohistochemistry (Frozen sections) - Anti-Cytokeratin 10 antibody [RKSE60] (AB9025)

Immunohistochemistry on frozen section of swine skin : positive staining of the keratinizing layer

Key facts

Host species

Mouse

Clonality

Monoclonal

Clone number

RKSE60

Isotype

IgG1

Carrier free

No

Reacts with

Pig, Zebrafish

Applications

IHC-Fr, ICC/IF

applications

Immunogen

Native Full Length Protein corresponding to Human KRT10.

P13645

Specificity

This antibody reacts exclusively with cytokeratin 10 which is present in keratinizing stratified epithelia and in differentiated areas of highly differentiated squamous cell carcinomas

Reactivity data

{ "title": "Reactivity Data", "filters": { "stats": ["", "Species", "Dilution Info", "Notes"], "tabs": { "all-applications": {"fullname" : "All Applications", "shortname": "All Applications"}, "ICCIF" : {"fullname" : "Immunocytochemistry/ Immunofluorescence", "shortname":"ICC/IF"}, "IHCFr" : {"fullname" : "Immunohistochemistry (Frozen sections)", "shortname":"IHC-Fr"} }, "product-promise": { "all": "all", "testedAndGuaranteed": "tested", "guaranteed": "expected", "predicted": "predicted", "notRecommended": "not-recommended" } }, "values": { "Pig": { "ICCIF-species-checked": "guaranteed", "ICCIF-species-dilution-info": "", "ICCIF-species-notes": "", "IHCFr-species-checked": "testedAndGuaranteed", "IHCFr-species-dilution-info": "", "IHCFr-species-notes": "<p></p>" }, "Zebrafish": { "ICCIF-species-checked": "testedAndGuaranteed", "ICCIF-species-dilution-info": "", "ICCIF-species-notes": "<p></p>", "IHCFr-species-checked": "guaranteed", "IHCFr-species-dilution-info": "", "IHCFr-species-notes": "" } } }

Properties and storage information

Form
Liquid
Purification technique
Affinity purification Protein G
Storage buffer
Preservative: 0.09% Sodium azide Constituents: PBS
Shipped at conditions
Blue Ice
Appropriate short-term storage duration
1-2 weeks
Appropriate short-term storage conditions
+4°C
Appropriate long-term storage conditions
-20°C
Aliquoting information
Upon delivery aliquot
Storage information
Avoid freeze / thaw cycle

Supplementary information

This supplementary information is collated from multiple sources and compiled automatically.

Cytokeratin 10 also known as CK10 K10 or KRT10 is a type I keratin protein with a mass of about 59 kDa. Researchers recognize it as an important structural protein found mainly in the suprabasal layers of the epidermis where it contributes to maintaining the integrity and function of the skin barrier. Cytokeratin 10 is also expressed in other stratified squamous epithelia. Scientists use antibodies against cytokeratin 10 sometimes called 'lh2' and 'cytokeratin 10 anticuerpos' as neomarkers for identifying specific cell types in tissue studies.
Biological function summary

Keratin proteins like cytokeratin 10 provide mechanical stability to cells and tissues. Cytokeratin 10 forms a heterodimer with keratin 1 (KRT1) creating a complex that plays a critical role in the cytoskeleton of keratinocytes. This structure supports cellular resilience against mechanical stresses helping maintain the integrity of epithelial tissues. Keratin 10 function is essential for normal skin development and differentiation highlighting its significance in epidermal morphogenesis.

Pathways

Cytokeratin 10 is integral to the epidermal differentiation complex. This pathway involves many regulatory proteins and is essential for proper skin formation and repair. Cytokeratin 10 together with KRT1 contributes to the terminal differentiation of keratinocytes. Another key pathway is the cornification process where cytokeratin 10 helps form the protective outer layer of the skin. These biological roles place cytokeratin 10 at an essential point in maintaining skin homeostasis and function.

Abnormal expression or mutation of cytokeratin 10 leads to skin conditions like epidermolytic hyperkeratosis. This rare inherited disorder results in blistering and thickening of the skin. Cytokeratin 10 mutations often appear alongside changes in KRT1 due to their forming a functional pair indicating their collaborative role in disease manifestation. Additionally altered cytokeratin 10 expression can be associated with psoriasis as disrupted keratinocyte differentiation contributes to this inflammatory skin disease. Understanding these associations helps in studying and developing treatment strategies for skin disorders.

Product protocols

For this product, it's our understanding that no specific protocols are required. You can visit:

Target data

Plays a role in the establishment of the epidermal barrier on plantar skin (By similarity). Involved in the maintenance of cell layer development and keratin filament bundles in suprabasal cells of the epithelium (By similarity).. (Microbial infection) Acts as a mediator of S.aureus adherence to desquamated nasal epithelial cells via clfB, and hence may play a role in nasal colonization.. (Microbial infection) Binds S.pneumoniae PsrP, mediating adherence of the bacteria to lung cell lines. Reduction of levels of KRT10 keratin decrease adherence, overexpression increases adherence. Neither protein has to be glycosylated for the interaction to occur.
See full target information KRT10

Publications (34)

Recent publications for all applications. Explore the full list and refine your search

Bioactive materials 45:148-161 PubMed40529191

2025

Engineering a halloysite nanotube-enhanced hydrogel 3D skin model for modulated inflammation and accelerated wound healing.

Applications

Unspecified application

Species

Unspecified reactive species

Rui Xu,Xihong Fu,Lerong Lun,Wenjing Jiang,Xuemei Situ,Xiaobao Huang,Ying Xiong,Chun Liu,Fang Wang

PLoS pathogens 21:e1012697 PubMed40203066

2025

The splicing factor kinase, SR protein kinase 1 (SRPK1) is essential for late events in the human papillomavirus life cycle.

Applications

Unspecified application

Species

Unspecified reactive species

Arwa A A Faizo,Clare Bellward,Hegel R Hernandez-Lopez,Andrew Stevenson,Quan Gu,Sheila V Graham

Aging 15:9238-9249 PubMed37770232

2023

Gene expression signatures of human senescent corneal and conjunctival epithelial cells.

Applications

Unspecified application

Species

Unspecified reactive species

Koji Kitazawa,Akifumi Matsumoto,Kohsaku Numa,Yasufumi Tomioka,Zhixin A Zhang,Yohei Yamashita,Chie Sotozono,Pierre-Yves Desprez,Judith Campisi

Biomolecules 13: PubMed37759812

2023

Eicosapentaenoic Acid Influences the Lipid Profile of an In Vitro Psoriatic Skin Model Produced with T Cells.

Applications

Unspecified application

Species

Unspecified reactive species

Sophie Morin,Andréa Tremblay,Elizabeth Dumais,Pierre Julien,Nicolas Flamand,Roxane Pouliot

JID innovations : skin science from molecules to population health 3:100175 PubMed36968096

2023

Targeting TGF-β1/miR-21 Pathway in Keratinocytes Reveals Protective Effects of Silymarin on Imiquimod-Induced Psoriasis Mouse Model.

Applications

Unspecified application

Species

Unspecified reactive species

Elodie Henriet,Florence Abdallah,Yoan Laurent,Cyril Guimpied,Emily Clement,Michel Simon,Chantal Pichon,Patrick Baril

Scientific reports 12:9104 PubMed35650234

2022

LGR5 is a conserved marker of hair follicle stem cells in multiple species and is present early and throughout follicle morphogenesis.

Applications

Unspecified application

Species

Unspecified reactive species

Kathryn M Polkoff,Nithin K Gupta,Adrian J Green,Yanet Murphy,Jaewook Chung,Katherine L Gleason,Sean G Simpson,Derek M Walker,Bruce Collins,Jorge A Piedrahita

Cellular and molecular life sciences : CMLS 79:259 PubMed35474498

2022

Effective high-throughput isolation of enriched platelets and circulating pro-angiogenic cells to accelerate skin-wound healing.

Applications

Unspecified application

Species

Unspecified reactive species

Silvia Erratico,Marzia Belicchi,Mirella Meregalli,Dario Di Silvestre,Luana Tripodi,Antonella De Palma,Rebecca Jones,Emanuele Ferrari,Laura Porretti,Elena Trombetta,Giorgio R Merlo,Pierluigi Mauri,Yvan Torrente

Stem cells (Dayton, Ohio) 40:435-445 PubMed35325240

2022

CDK12 Is Necessary to Promote Epidermal Differentiation Through Transcription Elongation.

Applications

Unspecified application

Species

Unspecified reactive species

Jingting Li,Manisha Tiwari,Yifang Chen,Sudjit Luanpitpong,George L Sen

Developmental dynamics : an official publication of the American Association of Anatomists 251:1107-1122 PubMed34997665

2022

Developmentally interdependent stretcher-compressor relationship between the embryonic brain and the surrounding scalp in the preosteogenic head.

Applications

Unspecified application

Species

Unspecified reactive species

Koichiro Tsujikawa,Kanako Saito,Arata Nagasaka,Takaki Miyata

Cells 11: PubMed35011631

2021

Transcriptomic and Functional Evidence Show Similarities between Human Amniotic Epithelial Stem Cells and Keratinocytes.

Applications

Unspecified application

Species

Unspecified reactive species

Li-Ping Liu,Dong-Xu Zheng,Zheng-Fang Xu,Hu-Cheng Zhou,Yun-Cong Wang,Hang Zhou,Jian-Yun Ge,Daisuke Sako,Mi Li,Kazunori Akimoto,Yu-Mei Li,Yun-Wen Zheng
View all publications

Product promise

We are committed to supporting your work with high-quality reagents, and we're here for you every step of the way. In the unlikely event that one of our products does not perform as expected, you're protected by our Product Promise.
For full details, please see our Terms & Conditions

Please note: All products are 'FOR RESEARCH USE ONLY. NOT FOR USE IN DIAGNOSTIC OR THERAPEUTIC PROCEDURES'.

For licensing inquiries, please contact partnerships@abcam.com