JavaScript is disabled in your browser. Please enable JavaScript to view this website.
AB269574

Anti-Cytokeratin 13 antibody [AE8] - BSA and Azide free

Be the first to review this product! Submit a review

|

(0 Publication)

Mouse Monoclonal Cytokeratin 13 antibody. Carrier free. Suitable for WB, IHC-P, ICC/IF, IHC-Fr and reacts with Human samples.

View Alternative Names

Cytokeratin-13, Keratin-13, CK-13, K13, KRT13

5 Images
Immunohistochemistry (Formalin/PFA-fixed paraffin-embedded sections) - Anti-Cytokeratin 13 antibody [AE8] - BSA and Azide free (AB269574)
  • IHC-P

Lab

Immunohistochemistry (Formalin/PFA-fixed paraffin-embedded sections) - Anti-Cytokeratin 13 antibody [AE8] - BSA and Azide free (AB269574)

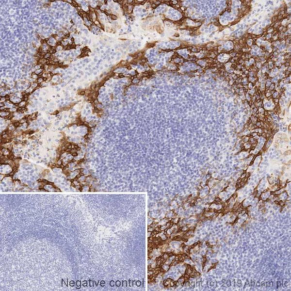
IHC image of Cytokeratin 13 staining in a section of formalin-fixed paraffin-embedded normal human tonsil* performed on a Leica BONDTM system using the standard protocol F.

The section was pre-treated using heat mediated antigen retrieval with sodium citrate buffer (pH 6, epitope retrieval solution 1) for 20 mins. The section was then incubated with ab16112, 0.05 μg/ml, for 15 mins at room temperature and detected using an HRP conjugated compact polymer system. DAB was used as the chromogen. The section was then counterstained with hematoxylin and mounted with DPX. The inset secondary-only control image is taken from an identical assay without primary antibody.

For other IHC staining systems (automated and non-automated) customers should optimize variable parameters such as antigen retrieval conditions, primary antibody concentration and antibody incubation times.

*Tissue obtained from the Human Research Tissue Bank, supported by the NIHR Cambridge Biomedical Research Centre

This image was produced using the same antibody clone but in a different formulation ab16112, PBS and sodium azide.

Immunohistochemistry (Frozen sections) - Anti-Cytokeratin 13 antibody [AE8] - BSA and Azide free (AB269574)
  • IHC-Fr

Lab

Immunohistochemistry (Frozen sections) - Anti-Cytokeratin 13 antibody [AE8] - BSA and Azide free (AB269574)

IHC image of Cytokeratin 13 staining in a section of frozen normal human tonsil*.

The section was fixed using 10% formaldehyde in 1XPBS for 10 minutes. No antigen retrieval step was performed prior to staining. Non-specific protein-protein interactions were then blocked in TBS containing 0.025% (v/v) Triton X-100, 0.3M glycine and 1% (w/v) BSA for 1h at room temperature. The section was then incubated overnight at +4°C in TBS containing 0.025% (v/v) Triton X-100 and 1% (w/v) BSA with ab16112 at 1μg/ml. The section was then incubated with ab150117 (Goat Anti-Mouse IgG H&L (Alexa Fluor® 488), 1/1000)) (shown in green) for 1 hour at room temperature. DAPI was used to stain the cell nuclei (blue) at a concentration of 1.43μM. The secondary-only control insert image is taken from an identical assay without primary antibody. The section was then mounted using Fluoromount®. Image was taken with a confocal microscope (Leica-Microsystems, TCS SP8). For IHC staining systems (automated and non-automated), customers should optimize variable parameters such as antibody concentrations and incubation times.

*Tissue obtained from the Human Research Tissue Bank, supported by the NIHR Cambridge Biomedical Research Centre.

This image was produced using the same antibody clone but in a different formulation ab16112, PBS and sodium azide.

Immunocytochemistry/ Immunofluorescence - Anti-Cytokeratin 13 antibody [AE8] - BSA and Azide free (AB269574)
  • ICC/IF

Lab

Immunocytochemistry/ Immunofluorescence - Anti-Cytokeratin 13 antibody [AE8] - BSA and Azide free (AB269574)

ab16112 staining Cytokeratin 13 in A431 cells. The cells were fixed with Methanol (5min), permeabilized with 0.1%PBS-Triton X-100 for 5 minutes and then blocked with 1% BSA/10% normal goat serum/0.3M glycine in 0.1%PBS-Tween for 1h. The cells were then incubated overnight at +4°C with ab16112 at 5μg/ml and ab6046, Rabbit polyclonal to beta Tubulin - Loading Control, at 1/1000 dilution. Cells were then incubated with ab150117, Goat Anti-Mouse IgG H&L (Alexa Fluor® 488) at 1/1000 dilution (shown in green) and ab150080, Goat polyclonal Secondary Antibody to Rabbit IgG - H&L (Alexa Fluor® 594) at 1/1000 dilution (shown in pseudocolour red). Nuclear DNA was labeled with DAPI (shown in blue).

Image was taken with a confocal microscope (Leica-Microsystems, TCS SP8).

This image was produced using the same antibody clone but in a different formulation ab16112, PBS and sodium azide.

Western blot - Anti-Cytokeratin 13 antibody [AE8] - BSA and Azide free (AB269574)
  • WB

Supplier Data

Western blot - Anti-Cytokeratin 13 antibody [AE8] - BSA and Azide free (AB269574)

This blot was produced using a 4-12% Bis-tris under the MOPS buffer system. The gel was run at 200V for 55 minutes before being transferred onto a Nitrocellulose membrane at 30V for 70 minutes. The membrane was blocked for an hour using 3% milk before ab16112 and ab181602 (Rabbit anti-GAPDH loading control) were incubated overnight at 4°C at a 1ug/ml concentration and 1/20000 dilution respectively. Antibody binding was detected using Goat anti-Mouse IgG H&L (IRDye® 800CW) preadsorbed (ab216772) and Goat anti-Rabbit IgG H&L (IRDye® 680RD) preadsorbed (ab216777) secondary antibodies at 1/20000 dilution for 1 hour at room temperature before imaging.

This image was produced using the same antibody clone but in a different formulation ab16112, PBS and sodium azide.

All lanes:

Western blot - Anti-Cytokeratin 13 antibody [AE8] (<a href='/en-us/products/primary-antibodies/cytokeratin-13-antibody-ae8-ab16112'>ab16112</a>) at 1 µg/mL

All lanes:

A431 whole cell lysate at 20 µg

Predicted band size: 50 kDa

false

Western blot - Anti-Cytokeratin 13 antibody [AE8] - BSA and Azide free (AB269574)
  • WB

Lab

Western blot - Anti-Cytokeratin 13 antibody [AE8] - BSA and Azide free (AB269574)

This image was produced using the same antibody clone but in a different formulation ab16112, PBS and sodium azide.

False colour image of Western blot : Anti-Cytokeratin 13 antibody [AE8] staining at 1 μg/ml, shown in green; Rabbit Anti-GAPDH antibody [EPR16891] (ab181602) loading control staining at 1/20000 dilution, shown in red. In Western blot, ab16112 was shown to bind specifically to Cytokeratin 13. A band was observed at 51 kDa in wild-type A431 cell lysates with no signal observed at this size in Krt13 knockout cell line ab269483 (knockout cell lysate ab269647). To generate this image, wild-type and Krt13 knockout A431 cell lysates were analysed. First, samples were run on an SDS-PAGE gel then transferred onto a nitrocellulose membrane. Membranes were blocked in 3 % milk in TBS-0.1 % Tween® 20 (TBS-T) before incubation with primary antibodies overnight at 4 °C. Blots were washed four times in TBS-T, incubated with secondary antibodies for 1 h at room temperature, washed again four times then imaged. Secondary antibodies used were Goat anti-Mouse IgG H&L (IRDye® 800CW) preabsorbed (ab216772) and Goat anti-Rabbit IgG H&L (IRDye® 680RD) preabsorbed (ab216777) at 1/20000 dilution.

All lanes:

Western blot - Anti-Cytokeratin 13 antibody [AE8] (<a href='/en-us/products/primary-antibodies/cytokeratin-13-antibody-ae8-ab16112'>ab16112</a>) at 1 µg/mL

Lane 1:

Wild-type A431 cell lysate at 20 µg

Lane 2:

KRT13 knockout A431 cell lysate at 20 µg

Lane 2:

Western blot - Human KRT13 knockout A-431 cell line (<a href='/en-us/products/cell-lines/human-krt13-knockout-a-431-cell-line-ab269483'>ab269483</a>)

Predicted band size: 50 kDa

Observed band size: 51 kDa

false

Key facts

Host species

Mouse

Clonality

Monoclonal

Clone number

AE8

Isotype

IgG

Light chain type

kappa

Carrier free

Yes

Reacts with

Human

Applications

WB, ICC/IF, IHC-Fr, IHC-P

applications

Immunogen

The exact immunogen used to generate this antibody is proprietary information.

Reactivity data

{ "title": "Reactivity Data", "filters": { "stats": ["", "Species", "Dilution Info", "Notes"], "tabs": { "all-applications": {"fullname" : "All Applications", "shortname": "All Applications"}, "WB" : {"fullname" : "Western blot", "shortname":"WB"}, "IHCP" : {"fullname" : "Immunohistochemistry (Formalin/PFA-fixed paraffin-embedded sections)", "shortname":"IHC-P"}, "ICCIF" : {"fullname" : "Immunocytochemistry/ Immunofluorescence", "shortname":"ICC/IF"}, "IHCFr" : {"fullname" : "Immunohistochemistry (Frozen sections)", "shortname":"IHC-Fr"} }, "product-promise": { "all": "all", "testedAndGuaranteed": "tested", "guaranteed": "expected", "predicted": "predicted", "notRecommended": "not-recommended" } }, "values": { "Human": { "WB-species-checked": "testedAndGuaranteed", "WB-species-dilution-info": "1 µg/mL", "WB-species-notes": "<p></p>", "IHCP-species-checked": "testedAndGuaranteed", "IHCP-species-dilution-info": "0.05 µg/mL", "IHCP-species-notes": "<p></p>", "ICCIF-species-checked": "testedAndGuaranteed", "ICCIF-species-dilution-info": "1-5 µg/mL", "ICCIF-species-notes": "<p>PubMed: 25076852</p>", "IHCFr-species-checked": "testedAndGuaranteed", "IHCFr-species-dilution-info": "1 µg/mL", "IHCFr-species-notes": "<p></p>" }, "Mouse": { "WB-species-checked": "predicted", "WB-species-dilution-info": "", "WB-species-notes": "", "IHCP-species-checked": "predicted", "IHCP-species-dilution-info": "", "IHCP-species-notes": "", "ICCIF-species-checked": "predicted", "ICCIF-species-dilution-info": "", "ICCIF-species-notes": "", "IHCFr-species-checked": "predicted", "IHCFr-species-dilution-info": "", "IHCFr-species-notes": "" }, "Rabbit": { "WB-species-checked": "predicted", "WB-species-dilution-info": "", "WB-species-notes": "", "IHCP-species-checked": "predicted", "IHCP-species-dilution-info": "", "IHCP-species-notes": "", "ICCIF-species-checked": "predicted", "ICCIF-species-dilution-info": "", "ICCIF-species-notes": "", "IHCFr-species-checked": "predicted", "IHCFr-species-dilution-info": "", "IHCFr-species-notes": "" } } }

Product details

This antibody is specific for Cytokeratin 13, which is a marker for oesophageal type differentiation which is expressed by various internal stratified epithelia.

ab269574 is the carrier-free version of ab16112.

Want a custom formulation?
This antibody clone is manufactured by Abcam. If you require a custom buffer formulation or conjugation for your experiments, please contact orders@abcam.com

Conjugation ready
Our carrier-free antibodies are typically supplied in a PBS-only formulation, purified and free of BSA, sodium azide and glycerol. This conjugation-ready format is designed for use with fluorochromes, metal isotopes, oligonucleotides, and enzymes, which makes them ideal for antibody labelling, functional and cell-based assays, flow-based assays (e.g. mass cytometry) and Multiplex Imaging applications.

Use our conjugation kits for antibody conjugates that are ready-to-use in as little as 20 minutes with 1 minute hands-on-time and 100% antibody recovery: available for fluorescent dyes, HRP, biotin and gold.

Compatibility
This product is compatible with the Maxpar® Antibody Labeling Kit from Fluidigm, without the need for antibody preparation. Maxpar® is a trademark of Fluidigm Canada Inc.

Properties and storage information

Form
Liquid
Purification technique
Affinity purification Protein G
Storage buffer
Constituents: PBS
Shipped at conditions
Blue Ice
Appropriate short-term storage conditions
+4°C
Appropriate long-term storage conditions
+4°C
Storage information
Do Not Freeze

Supplementary information

This supplementary information is collated from multiple sources and compiled automatically.

Cytokeratin 13 also known as KRT13 or CK13 is a type I intermediate filament protein weighing approximately 44 kDa. It is one of the cytokeratin types that plays a critical role in the mechanical stability and integrity of epithelial cells. Cytokeratin 13 is expressed in the stratified squamous epithelium particularly in the upper layers of non-cornified epithelia which include the esophagus tongue and cervix. This protein forms heteropolymers with type II keratins contributing to the cytoskeletal filament network within epithelial cells.
Biological function summary

This protein participates in maintaining the structural framework and dynamics within epithelial tissues. As part of the cytoskeletal complex cytokeratin 13 supports cellular resilience against mechanical stress. It interacts with other cytokeratins contributing to the formation of a robust keratin filament network essential for epithelial cell function and differentiation. Its expression and regulation are key to the homeostasis of the tissues where it is found ensuring proper cell division and tissue integrity.

Pathways

Cytokeratin 13 integrates into epithelial cell differentiation and repair processes. It is involved in the epithelial-mesenchymal transition (EMT) pathway important for tissue development wound healing and cancer metastasis. During the EMT process cytokeratin 13 often works alongside proteins like E-cadherin and Vimentin mediating changes in epithelial cell architecture and polarity. This modulation is essential for cellular plasticity and response to environmental cues.

Cytokeratin 13 has associations with certain epithelial tissue abnormalities such as oral squamous cell carcinoma and a subgroup of inherited blistering diseases like epidermolysis bullosa. In oral squamous cell carcinoma dysregulation of cytokeratin 13 expression may indicate tumor progression and metastasis. In epidermolysis bullosa mutations affecting keratin interactions including those with other keratins like cytokeratin 14 can lead to fragile skin and mucosal surfaces resulting in increased susceptibility to physical damage and impaired healing.

Product protocols

For this product, it's our understanding that no specific protocols are required. You can visit:

Target data

Type 1 keratin (Probable). Maintains postnatal tongue mucosal cell homeostasis and tissue organization in response to mechanical stress, potentially via regulation of the G1/S phase cyclins CCNE1 and CCNE2 (By similarity).
See full target information Keratin, type I cytoskeletal 13

Product promise

We are committed to supporting your work with high-quality reagents, and we're here for you every step of the way. In the unlikely event that one of our products does not perform as expected, you're protected by our Product Promise.
For full details, please see our Terms & Conditions

Please note: All products are 'FOR RESEARCH USE ONLY. NOT FOR USE IN DIAGNOSTIC OR THERAPEUTIC PROCEDURES'.

For licensing inquiries, please contact partnerships@abcam.com