JavaScript is disabled in your browser. Please enable JavaScript to view this website.
AB80522

Anti-Cytokeratin 15 antibody [LHK15]

5

(2 Reviews)

|

(38 Publications)

Mouse Monoclonal K1C15 antibody. Suitable for IHC-P, ICC/IF and reacts with Human samples. Cited in 38 publications.

View Alternative Names

KRTB, KRT15, Cytokeratin-15, Keratin-15, CK-15, K15

4 Images
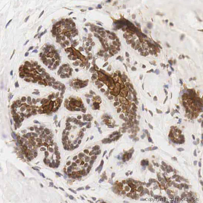
Immunohistochemistry (Formalin/PFA-fixed paraffin-embedded sections) - Anti-Cytokeratin 15 antibody [LHK15] (AB80522)
  • IHC-P

Lab

Immunohistochemistry (Formalin/PFA-fixed paraffin-embedded sections) - Anti-Cytokeratin 15 antibody [LHK15] (AB80522)

IHC image of Cytokeratin 15 staining in a formalin fixed, paraffin embedded normal human breast tissue section*, performed on a Leica Bond™ system using the standard protocol F. The section was pre-treated using heat mediated antigen retrieval with sodium citrate buffer (pH6, epitope retrieval solution 1) for 20 mins. The section was then incubated with ab80522, 5μg/ml, for 15 mins at room temperature and detected using an HRP conjugated compact polymer system. DAB was used as the chromogen. The section was then counterstained with haematoxylin and mounted with DPX.

For other IHC staining systems (automated and non-automated) customers should optimize variable parameters such as antigen retrieval conditions, primary antibody concentration and antibody incubation times.

*Tissue obtained from the Human Research Tissue Bank, supported by the NIHR Cambridge Biomedical Research Centre

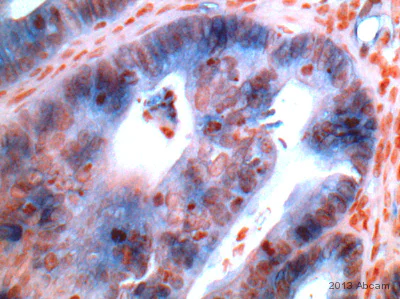
Immunocytochemistry/ Immunofluorescence - Anti-Cytokeratin 15 antibody [LHK15] (AB80522)
  • ICC/IF

Lab

Immunocytochemistry/ Immunofluorescence - Anti-Cytokeratin 15 antibody [LHK15] (AB80522)

ab80522 staining Cytokeratin 15 in A431 cells. The cells were fixed with 4% paraformaldehyde (10 min), permeabilized with 0.1% PBS-Triton X-100 for 5 minutes and then blocked with 1% BSA/10% normal goat serum/0.3M glycine in 0.1%PBS-Tween for 1h. The cells were then incubated overnight at 4°C with ab80522 at 1µg/ml and ab6046, Rabbit polyclonal to beta Tubulin - Loading Control. Cells were then incubated with ab150117, Goat polyclonal Secondary Antibody to Mouse IgG H&L (Alexa Fluor® 488) preadsorbed at 1/1000 dilution (shown in green) and ab150080, Goat polyclonal Secondary Antibody to Rabbit IgG - H&L (Alexa Fluor® 594) at 1/1000 dilution (shown in pseudocolour magenta). Nuclear DNA was labelled with DAPI (shown in blue).

Also suitable in cells fixed with 100% methanol (5 min).

Image was acquired with a high-content analyser (Operetta CLS, Perkin Elmer) and a maximum intensity projection of confocal sections is shown.

Immunocytochemistry/ Immunofluorescence - Anti-Cytokeratin 15 antibody [LHK15] (AB80522)
  • ICC/IF

AbReview15530****

Immunocytochemistry/ Immunofluorescence - Anti-Cytokeratin 15 antibody [LHK15] (AB80522)

ab8969 staining keratin 15 in rat hair folicles by immunocytochemistry/ immunofluorescence. Cells were paraformaldehyde fixed and permeabilized in 0.25% Triton X-100 prior to blocking in 1% BSA for 10 minutes at 21°C. The primary antibody was diluted 1/100 and incubated with the sample for 1 hour at 21°C. A TRITC conjugated mouse anti-mouse antibody, diluted 1/85, was used as the secondary.

This image is courtesy of an Abreview submitted by Maciej Gagat

Immunohistochemistry (Formalin/PFA-fixed paraffin-embedded sections) - Anti-Cytokeratin 15 antibody [LHK15] (AB80522)
  • IHC-P

AbReview40266****

Immunohistochemistry (Formalin/PFA-fixed paraffin-embedded sections) - Anti-Cytokeratin 15 antibody [LHK15] (AB80522)

ab80522 staining Cytokeratin 15 in mouse colon tissue sections by Immunohistochemistry (IHC-P - paraformaldehyde-fixed, paraffin-embedded sections). Tissue was fixed with formaldehyde; antigen retrieval was by heat mediation. Samples were incubated with primary antibody (undiluted) for 10 hours.

This image is courtesy of an anonymous Abreview

Key facts

Host species

Mouse

Clonality

Monoclonal

Clone number

LHK15

Isotype

IgG2a

Light chain type

kappa

Carrier free

No

Reacts with

Human

Applications

ICC/IF, IHC-P

applications

Immunogen

The exact immunogen used to generate this antibody is proprietary information.

Reactivity data

{ "title": "Reactivity Data", "filters": { "stats": ["", "Species", "Dilution Info", "Notes"], "tabs": { "all-applications": {"fullname" : "All Applications", "shortname": "All Applications"}, "FlowCyt" : {"fullname" : "Flow Cytometry", "shortname":"Flow Cyt"}, "IHCP" : {"fullname" : "Immunohistochemistry (Formalin/PFA-fixed paraffin-embedded sections)", "shortname":"IHC-P"}, "ICCIF" : {"fullname" : "Immunocytochemistry/ Immunofluorescence", "shortname":"ICC/IF"} }, "product-promise": { "all": "all", "testedAndGuaranteed": "tested", "guaranteed": "expected", "predicted": "predicted", "notRecommended": "not-recommended" } }, "values": { "Human": { "FlowCyt-species-checked": "notRecommended", "FlowCyt-species-dilution-info": "1 µg for 10^6 Cells", "FlowCyt-species-notes": "<p><a href='/en-us/products/primary-antibodies/mouse-igg2c-kappa-monoclonal-18c8bc7ad10-isotype-control-ab170191'>ab170191</a> - Mouse monoclonal IgG2a, is suitable for use as an isotype control with this antibody.</p>", "IHCP-species-checked": "testedAndGuaranteed", "IHCP-species-dilution-info": "", "IHCP-species-notes": "<p></p>", "ICCIF-species-checked": "testedAndGuaranteed", "ICCIF-species-dilution-info": "5 µg/mL", "ICCIF-species-notes": "<p></p>" }, "Mouse": { "FlowCyt-species-checked": "notRecommended", "FlowCyt-species-dilution-info": "", "FlowCyt-species-notes": "", "IHCP-species-checked": "predicted", "IHCP-species-dilution-info": "", "IHCP-species-notes": "", "ICCIF-species-checked": "predicted", "ICCIF-species-dilution-info": "", "ICCIF-species-notes": "" }, "Rat": { "FlowCyt-species-checked": "notRecommended", "FlowCyt-species-dilution-info": "", "FlowCyt-species-notes": "", "IHCP-species-checked": "predicted", "IHCP-species-dilution-info": "", "IHCP-species-notes": "", "ICCIF-species-checked": "predicted", "ICCIF-species-dilution-info": "", "ICCIF-species-notes": "" }, "Cow": { "FlowCyt-species-checked": "notRecommended", "FlowCyt-species-dilution-info": "", "FlowCyt-species-notes": "", "IHCP-species-checked": "predicted", "IHCP-species-dilution-info": "", "IHCP-species-notes": "", "ICCIF-species-checked": "predicted", "ICCIF-species-dilution-info": "", "ICCIF-species-notes": "" } } }

Product details

Want a custom formulation?
This antibody clone is manufactured by Abcam. If you require a custom buffer formulation or conjugation for your experiments, please contact orders@abcam.com

Properties and storage information

Form
Liquid
Purification technique
Affinity purification
Storage buffer
pH: 7.4 Preservative: 0.02% Sodium azide Constituents: PBS, 6.97% L-Arginine
Shipped at conditions
Blue Ice
Appropriate short-term storage conditions
+4°C
Appropriate long-term storage conditions
-20°C
Aliquoting information
Upon delivery aliquot
Storage information
Avoid freeze / thaw cycle

Supplementary information

This supplementary information is collated from multiple sources and compiled automatically.

Cytokeratin 15 often abbreviated as CK15 bsa-15 or keratin 15 is an intermediate filament protein known for its role in the structural integrity of epithelial cells. It weighs approximately 50 kilodaltons. This protein is mainly expressed in the basal layer of stratified squamous epithelia such as the epidermis and the hair follicle. CK15 is an essential part of the cytoskeleton contributing to cell shape and mechanical resilience.
Biological function summary

CK15 plays a significant role in maintaining epithelial stem cell populations. It is part of the keratin protein family where it forms a complex network with other cytokeratins to support epithelial cell stability. CK15 has been shown to mark epithelial progenitor cells hinting at its role in tissue regeneration and repair. Its expression levels often reflect the cellular origin and differentiation state particularly in the skin and associated structures.

Pathways

CK15 is involved in pathways related to epithelial cell differentiation and homeostasis. It interacts within the cytoskeletal network alongside other cytokeratins like keratin 5. CK15 contributes to pathways that regulate cell proliferation and differentiation. It participates in the wound healing process where keratin 6 and keratin 17 also play important roles. This involvement allows it to impact how epithelial cells respond to and repair after damage.

CK15 has been associated with skin disorders and certain types of cancers. Its expression is often altered in squamous cell carcinoma and basal cell carcinoma where abnormal CK15 levels can influence tumor behavior. Additionally changes in CK15 expression are linked to alopecia relating it to proteins like keratin 5 and keratin 8 which have similar expression patterns in hair follicles. Understanding CK15's role may aid in developing biomarkers for diagnosis and therapeutic targets.

Product protocols

For this product, it's our understanding that no specific protocols are required. You can visit:

Publications (38)

Recent publications for all applications. Explore the full list and refine your search

Cells 14: PubMed40801608

2025

Extract Supports Skin Homeostasis by Enhancing Epidermal Stem Cell Function and Reinforcing Their Extracellular Niche.

Applications

Unspecified application

Species

Unspecified reactive species

Roberta Lotti,Laetitia Cattuzzato,Xuefeng Huang,David Garandeau,Elisabetta Palazzo,Marika Quadri,Cécile Delluc,Eddy Magdeleine,Xiaojing Li,Mathilde Frechet,Alessandra Marconi

Frontiers in immunology 15:1394530 PubMed38881903

2024

Poly-l-lactic acid microspheres delay aging of epidermal stem cells in rat skin.

Applications

Unspecified application

Species

Unspecified reactive species

Yunxian Dong,Youliang Zhang,Hao Yu,Lingcong Zhou,Yaan Zhang,Haibin Wang,Zhicheng Hu,Shengkang Luo

International journal of molecular sciences 25: PubMed38542083

2024

Comparative Characterization of Human Meibomian Glands, Free Sebaceous Glands, and Hair-Associated Sebaceous Glands Based on Biomarkers, Analysis of Secretion Composition, and Gland Morphology.

Applications

Unspecified application

Species

Unspecified reactive species

Yuqiuhe Liu,Igor A Butovich,Fabian Garreis,Ingrid Zahn,Michael Scholz,Simone Gaffling,Samir Jabari,Jana Dietrich,Friedrich Paulsen

Nature communications 14:7547 PubMed37985759

2023

Apoptotic dysregulation mediates stem cell competition and tissue regeneration.

Applications

Unspecified application

Species

Unspecified reactive species

Marianna Yusupova,Roi Ankawa,Yahav Yosefzon,David Meiri,Ido Bachelet,Yaron Fuchs

Stem cell research & therapy 14:51 PubMed36959609

2023

Single-stage transplantation combined with epidermal stem cells promotes the survival of tissue-engineered skin by inducing early angiogenesis.

Applications

Unspecified application

Species

Unspecified reactive species

Zhiyong Wang,Hailin Xu,Hao Yang,Yi Zhang,Xiaoyan Wang,Peng Wang,Zhongye Xu,Dongming Lv,Yanchao Rong,Yunxian Dong,Bing Tang,Zhicheng Hu,Wuguo Deng,Jiayuan Zhu

Pharmaceutics 14: PubMed36559274

2022

Pyruvate Kinase M2 Promotes Hair Regeneration by Connecting Metabolic and Wnt/β-Catenin Signaling.

Applications

Unspecified application

Species

Unspecified reactive species

Yeong Chan Ryu,You-Rin Kim,Jiyeon Park,Sehee Choi,Won-Ji Ryu,Geon-Uk Kim,Eunhwan Kim,Yumi Hwang,Heejene Kim,Gyoonhee Han,Soung-Hoon Lee,Kang-Yell Choi

The British journal of dermatology 187:948-961 PubMed35986704

2022

Germline intergenic duplications at Xq26.1 underlie Bazex-Dupré-Christol basal cell carcinoma susceptibility syndrome.

Applications

Unspecified application

Species

Unspecified reactive species

Yanshan Liu,Siddharth Banka,Yingzhi Huang,Jonathan Hardman-Smart,Derek Pye,Antonio Torrelo,Glenda M Beaman,Marcelo G Kazanietz,Martin J Baker,Carlo Ferrazzano,Chenfu Shi,Gisela Orozco,Stephen Eyre,Michel van Geel,Anette Bygum,Judith Fischer,Zosia Miedzybrodzka,Faris Abuzahra,Albert Rübben,Sara Cuvertino,Jamie M Ellingford,Miriam J Smith,D Gareth Evans,Lizelotte J M T Weppner-Parren,Maurice A M van Steensel,Iskander H Chaudhary,D Chas Mangham,John T Lear,Ralf Paus,Jorge Frank,William G Newman,Xue Zhang

Clinical and translational medicine 12:e874 PubMed35608199

2022

Single-cell transcriptomics provides insights into the origin and microenvironment of human oesophageal high-grade intraepithelial neoplasia.

Applications

Unspecified application

Species

Unspecified reactive species

Guobin Liao,Nan Dai,Tiantian Xiong,Liang Wang,Xinwei Diao,Zhizhen Xu,Yuanli Ni,Dingrong Chen,Airui Jiang,Hui Lin,Shuangshuang Dai,Jianying Bai

Carcinogenesis 43:557-570 PubMed35184170

2022

Chemopreventive efficacy of silibinin against basal cell carcinoma growth and progression in UVB-irradiated Ptch+/- mice.

Applications

Unspecified application

Species

Unspecified reactive species

Sandeep Paudel,Komal Raina,Vasundhara R Tiku,Akhilendra Maurya,David J Orlicky,Zhiying You,Cindy M Rigby,Gagan Deep,Rama Kant,Bupinder Raina,Chapla Agarwal,Rajesh Agarwal

Bioengineering & translational medicine 6:e10195 PubMed34027085

2021

Microscopy-guided laser ablation for the creation of complex skin models with folliculoid appendages.

Applications

Unspecified application

Species

Unspecified reactive species

Carla M Abreu,Luca Gasperini,Manuela E L Lago,Rui L Reis,Alexandra P Marques
View all publications

Product promise

We are committed to supporting your work with high-quality reagents, and we're here for you every step of the way. In the unlikely event that one of our products does not perform as expected, you're protected by our Product Promise.
For full details, please see our Terms & Conditions

Please note: All products are 'FOR RESEARCH USE ONLY. NOT FOR USE IN DIAGNOSTIC OR THERAPEUTIC PROCEDURES'.

For licensing inquiries, please contact partnerships@abcam.com