JavaScript is disabled in your browser. Please enable JavaScript to view this website.
AB76416

Anti-Cytokeratin 16/K16 antibody [EP1615Y]

5

(2 Reviews)

|

(23 Publications)

Rabbit Recombinant Monoclonal K1C16 antibody. Suitable for IHC-P, WB, ICC/IF, Flow Cyt (Intra) and reacts with Human samples. Cited in 23 publications.

View Alternative Names

KRT16A, KRT16, Cytokeratin-16, Keratin-16, CK-16, K16

6 Images
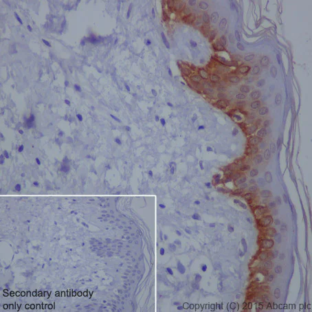
Immunohistochemistry (Formalin/PFA-fixed paraffin-embedded sections) - Anti-Cytokeratin 16/K16 antibody [EP1615Y] (AB76416)
  • IHC-P

Lab

Immunohistochemistry (Formalin/PFA-fixed paraffin-embedded sections) - Anti-Cytokeratin 16/K16 antibody [EP1615Y] (AB76416)

ab76416 staining Cytokeratin 16/K16 in human skin tissue sections by Immunohistochemistry (IHC-P - paraformaldehyde-fixed, paraffin-embedded sections). Tissue was fixed with paraformaldehyde and antigen retrieval was by heat mediation in a EDTA buffer. Samples were incubated with primary antibody at a dilution of 1/500. A goat anti-rabbit IgG H&L (HRP) ab97051 was used as the secondary antibody at a dilution of 1/500.

Negative control 1 : PBS in place of primary antibody.

Flow Cytometry (Intracellular) - Anti-Cytokeratin 16/K16 antibody [EP1615Y] (AB76416)
  • Flow Cyt (Intra)

Unknown

Flow Cytometry (Intracellular) - Anti-Cytokeratin 16/K16 antibody [EP1615Y] (AB76416)

Overlay histogram showing HepG2 cells stained with unpurified ab76416 (red line). The cells were fixed with methanol (5 min) and then permeabilized with 0.1% PBS-Triton for 20 min. The cells were then incubated in 1x PBS/10% normal goat serum / 0.3M glycine to block non-specific protein-protein interactions followed by the antibody (ab76416, 1/50 dilution) for 30 min at 22°C. The secondary antibody used was DyLight® 488 goat anti-rabbit IgG (H+L) (ab96899) at 1/500 dilution for 30 min at 22°C. Isotype control antibody (black line) was rabbit monoclonal IgG (1μg/1x106 cells) used under the same conditions. Acquisition of >5,000 events was performed. This antibody gave a positive signal in HepG2 cells fixed with 4% paraformaldehyde/permeabilized in 0.1% PBS-Triton used under the same conditions.

Immunohistochemistry (Formalin/PFA-fixed paraffin-embedded sections) - Anti-Cytokeratin 16/K16 antibody [EP1615Y] (AB76416)
  • IHC-P

Unknown

Immunohistochemistry (Formalin/PFA-fixed paraffin-embedded sections) - Anti-Cytokeratin 16/K16 antibody [EP1615Y] (AB76416)

ab76416 staining Cytokeratin 16/K16 in human skeletal muscle sections by Immunohistochemistry (IHC-P - paraformaldehyde-fixed, paraffin-embedded sections). Tissue was fixed with paraformaldehyde and antigen retrieval was by heat mediation in a EDTA buffer. Samples were incubated with primary antibody at a dilution of 1/500. A goat anti-rabbit IgG H&L (HRP) ab97051 was used as the secondary antibody at a dilution of 1/500.

Negative control 1 : PBS in place of primary antibody.

Flow Cytometry (Intracellular) - Anti-Cytokeratin 16/K16 antibody [EP1615Y] (AB76416)
  • Flow Cyt (Intra)

Unknown

Flow Cytometry (Intracellular) - Anti-Cytokeratin 16/K16 antibody [EP1615Y] (AB76416)

ab76416 staining Cytokeratin 16/K16 in HACAT (human keratinocyte) cell lineby intracellular flow cytometry. Cells were fixed with 4% paraformaldehyde and the sample was incubated with the primary antibody at a dilution of 1/150. A goat anti rabbit IgG (Alexa Fluor® 488) at a dilution of 1/500 was used as the secondary antibody.

Isoytype control : Rabbit monoclonal IgG (Black)

Unlabelled control : Cell without incubation with primary antibody and secondary antibody (Blue)

Immunocytochemistry/ Immunofluorescence - Anti-Cytokeratin 16/K16 antibody [EP1615Y] (AB76416)
  • ICC/IF

Unknown

Immunocytochemistry/ Immunofluorescence - Anti-Cytokeratin 16/K16 antibody [EP1615Y] (AB76416)

ab76416 staining Cytokeratin 16/K16 in A431 (human epidermoid carcinoma) cells by ICC/IF (Immunocytochemistry/immunofluorescence). Cells were fixed with 4% Paraformaldehyde and permeabilized with 0.1% Triton X-100. Samples were incubated with primary antibody at a dilution of 1/100. A goat anti rabbit IgG (Alexa Fluor® 488) (ab150077) was used as the secondary antibody. ab7291 and ab150120 were used as counterstains for primary antibody ab75748 and secondary antibody ab150077 respectively and DAPI was used as a nuclear counterstain.

Negative control 1 : Rabbit primary antibody and anti-mouse secondary antibody (ab150120)
Negative control 2 : Mouse primary antibody (ab7291) and anti-rabbit secondary antibody (ab150077)

Western blot - Anti-Cytokeratin 16/K16 antibody [EP1615Y] (AB76416)
  • WB

Lab

Western blot - Anti-Cytokeratin 16/K16 antibody [EP1615Y] (AB76416)

All lanes:

Western blot - Anti-Cytokeratin 16/K16 antibody [EP1615Y] (ab76416) at 1/10000 dilution

All lanes:

HACAT (human keratinocyte) whole cell lysate at 10 µg

Secondary

All lanes:

Goat Anti-Rabbit IgG, (H+L), Peroxidase conjugated (<a href='/en-us/products/secondary-antibodies/goat-rabbit-igg-h-l-hrp-ab97051'>ab97051</a> at 1/20000 dilution

Predicted band size: 51 kDa

false

  • 665 Alexa Fluor® 647

    Alexa Fluor® 647 Anti-Cytokeratin 16/K16 antibody [EP1615Y]

  • Carrier free

    Anti-Cytokeratin 16/K16 antibody [EP1615Y] - BSA and Azide free

  • 565 Alexa Fluor® 555

    Alexa Fluor® 555 Anti-Cytokeratin 16/K16 antibody [EP1615Y]

  • 519 Alexa Fluor® 488

    Alexa Fluor® 488 Anti-Cytokeratin 16/K16 antibody [EP1615Y]

Key facts

Host species

Rabbit

Clonality

Monoclonal

Clone number

EP1615Y

Isotype

IgG

Carrier free

No

Reacts with

Human

Applications

IHC-P, Flow Cyt (Intra), ICC/IF, WB

applications

Immunogen

The exact immunogen used to generate this antibody is proprietary information.

Specificity

Several customers have found that this antibody gives good results in mouse and rat however in our hands, we cannot obtain positive results. This antibody is therefore no longer covered by our Abpromise guarantee for use in mouse or rat.

Reactivity data

{ "title": "Reactivity Data", "filters": { "stats": ["", "Species", "Dilution Info", "Notes"], "tabs": { "all-applications": {"fullname" : "All Applications", "shortname": "All Applications"}, "IHCP" : {"fullname" : "Immunohistochemistry (Formalin/PFA-fixed paraffin-embedded sections)", "shortname":"IHC-P"}, "IP" : {"fullname" : "Immunoprecipitation", "shortname":"IP"}, "WB" : {"fullname" : "Western blot", "shortname":"WB"}, "ICCIF" : {"fullname" : "Immunocytochemistry/ Immunofluorescence", "shortname":"ICC/IF"}, "FlowCytIntra" : {"fullname" : "Flow Cytometry (Intracellular)", "shortname":"Flow Cyt (Intra)"} }, "product-promise": { "all": "all", "testedAndGuaranteed": "tested", "guaranteed": "expected", "predicted": "predicted", "notRecommended": "not-recommended" } }, "values": { "Human": { "IHCP-species-checked": "testedAndGuaranteed", "IHCP-species-dilution-info": "1/100 - 1/250", "IHCP-species-notes": "<p></p> Perform heat-mediated antigen retrieval via the pressure cooker method before commencing with IHC staining protocol.", "IP-species-checked": "notRecommended", "IP-species-dilution-info": "", "IP-species-notes": "<p></p>", "WB-species-checked": "testedAndGuaranteed", "WB-species-dilution-info": "1/5000 - 1/10000", "WB-species-notes": "<p></p>", "ICCIF-species-checked": "testedAndGuaranteed", "ICCIF-species-dilution-info": "1/100 - 1/150", "ICCIF-species-notes": "<p></p>", "FlowCytIntra-species-checked": "testedAndGuaranteed", "FlowCytIntra-species-dilution-info": "1/50 - 1/150", "FlowCytIntra-species-notes": "<p><a href='/en-us/products/primary-antibodies/rabbit-igg-monoclonal-epr25a-isotype-control-ab172730'>ab172730</a> - Rabbit monoclonal IgG, is suitable for use as an isotype control with this antibody.</p>" } } }

Product details

Patented technology
Our RabMAb® technology is a patented hybridoma-based technology for making rabbit monoclonal antibodies. For details on our patents, please refer to RabMAb® patents.

What are the advantages of a recombinant monoclonal antibody?
This product is a recombinant monoclonal antibody, which offers several advantages including:

  • - High batch-to-batch consistency and reproducibility
  • - Improved sensitivity and specificity
  • - Long-term security of supply
  • - Animal-free batch production

For more information, read more on recombinant antibodies.

Properties and storage information

Form
Liquid
Purification technique
Affinity purification Protein A
Storage buffer
pH: 7.2 - 7.4 Preservative: 0.01% Sodium azide Constituents: PBS, 50% Glycerol (glycerin, glycerine), 0.05% BSA
Shipped at conditions
Blue Ice
Appropriate short-term storage duration
1-2 weeks
Appropriate short-term storage conditions
+4°C
Appropriate long-term storage conditions
-20°C
Aliquoting information
Upon delivery aliquot
Storage information
Avoid freeze / thaw cycle

Supplementary information

This supplementary information is collated from multiple sources and compiled automatically.

Cytokeratin 16 often called K16 or Krt16 weighs around 50 kDa and belongs to the keratin family. Researchers commonly find K16 in epithelial tissues particularly in areas subjected to constant mechanical stress such as palms and soles. In addition to its localized expression K16 appears during wound healing processes where cells experience high turnover or regeneration activities. Its expression often pairs with Krt6 another keratin type contributing to its mechanical properties under stress conditions often called "pressure point".
Biological function summary

K16 plays critical roles in maintaining the integrity of epithelial cells and tissues. It is a structural protein that helps stabilize keratin cytoarchitecture. K16 forms a complex with its partner keratins like K17 providing resilience and elasticity to the skin ensuring durability in regions experiencing repetitive physical stress. Additionally K16 helps regulate proliferation and differentiation of keratinocytes contributing to healthy skin formation and repair.

Pathways

K16 takes part in signaling pathways associated with epidermal development and repair. It acts within the keratinization process interacting closely with signaling components that influence cell cycle regulation and DNA repair. Proteins such as p63 and Krt17 assist this regulatory mechanism influencing cellular responses to stress or damage. These interactions help modulate barrier function and skin homeostasis ensuring responsive adaptation to environmental changes.

K16 links to conditions like psoriasis and pachyonychia congenita. In psoriasis K16 expression becomes markedly upregulated contributing to the characteristic skin hyperproliferation. Similarly in pachyonychia congenita mutations in the K16 gene lead to nail and skin anomalies causing painful epidermal lesions. Both disorders highlight K16's involvement with Krt6 and Krt17 as these proteins collectively demonstrate disrupted keratin networks resulting in compromised skin integrity.

Product protocols

For this product, it's our understanding that no specific protocols are required. You can visit:

Target data

Epidermis-specific type I keratin that plays a key role in skin. Acts as a regulator of innate immunity in response to skin barrier breach : required for some inflammatory checkpoint for the skin barrier maintenance.
See full target information KRT16

Publications (23)

Recent publications for all applications. Explore the full list and refine your search

International journal of molecular sciences 24: PubMed37047109

2023

Effect of Hypertrophic Scar Fibroblast-Derived Exosomes on Keratinocytes of Normal Human Skin.

Applications

Unspecified application

Species

Unspecified reactive species

Hui Song Cui,So Young Joo,Seung Yeol Lee,Yoon Soo Cho,Dong Hyun Kim,Cheong Hoon Seo

Journal of clinical medicine 12: PubMed36614907

2022

The Effect of Negative Pressure on Wound Healing and Regeneration in Closed Incisions under High Tension: Evidence from Animal Studies and Clinical Experience.

Applications

Unspecified application

Species

Unspecified reactive species

Hui-Yi Hsiao,Wei-Chuan Hsieh,Frank Chun-Shin Chang,Jia-Wei Liu,Wen-Ling Kuo,David Chon-Fok Cheong,Jung-Ju Huang

PLoS pathogens 18:e1010775 PubMed35976902

2022

Single-cell analysis of Kaposi's sarcoma-associated herpesvirus infection in three-dimensional air-liquid interface culture model.

Applications

Unspecified application

Species

Unspecified reactive species

Kyle L Jung,Un Yung Choi,Angela Park,Suan-Sin Foo,Stephanie Kim,Shin-Ae Lee,Jae U Jung

Nature communications 13:2011 PubMed35440136

2022

ESR1 mutant breast cancers show elevated basal cytokeratins and immune activation.

Applications

Unspecified application

Species

Unspecified reactive species

Zheqi Li,Olivia McGinn,Yang Wu,Amir Bahreini,Nolan M Priedigkeit,Kai Ding,Sayali Onkar,Caleb Lampenfeld,Carol A Sartorius,Lori Miller,Margaret Rosenzweig,Ofir Cohen,Nikhil Wagle,Jennifer K Richer,William J Muller,Laki Buluwela,Simak Ali,Tullia C Bruno,Dario A A Vignali,Yusi Fang,Li Zhu,George C Tseng,Jason Gertz,Jennifer M Atkinson,Adrian V Lee,Steffi Oesterreich

Bioengineered 13:3122-3136 PubMed35037835

2022

BarH-like homeobox 2 represses the transcription of keratin 16 and affects Ras signaling pathway to suppress nasopharyngeal carcinoma progression.

Applications

Unspecified application

Species

Unspecified reactive species

Zhibing Lu,Hui Peng,Ruijuan Li,Xinyan Xu,Jiyong Peng

Head & neck 44:177-188 PubMed34693597

2021

High expression of NFX1-123 in HPV positive head and neck squamous cell carcinomas.

Applications

Unspecified application

Species

Unspecified reactive species

Sreenivasulu Chintala,Kevin M Quist,Patricia A Gonzalez-DeWhitt,Rachel A Katzenellenbogen

Dermatology (Basel, Switzerland) 238:236-243 PubMed34077928

2021

3D-SeboSkin Model for Human ex vivo Studies of Hidradenitis Suppurativa/Acne Inversa.

Applications

Unspecified application

Species

Unspecified reactive species

Xiaoxiao Hou,Amir M Hossini,Georgios Nikolakis,Ottfried Balthasar,Andreas Kurtz,Christos C Zouboulis

Science advances 7: PubMed33571121

2021

The keratin network of intermediate filaments regulates keratinocyte rigidity sensing and nuclear mechanotransduction.

Applications

Unspecified application

Species

Unspecified reactive species

Ana C Laly,Kristina Sliogeryte,Oscar J Pundel,Rosie Ross,Michael C Keeling,Deepa Avisetti,Ahmad Waseem,Núria Gavara,John T Connelly

Experimental dermatology 30:249-261 PubMed33067891

2020

Early transcriptional changes after UVB treatment in atopic dermatitis include inverse regulation of IL-36γ and IL-37.

Applications

Unspecified application

Species

Unspecified reactive species

Astrid H Lossius,Teresa L Berents,Frank Saetre,Hogne R Nilsen,Maria Bradley,Samina Asad,Guttorm Haraldsen,Olav Sundnes,Jan-Øivind Holm

Biochemical pharmacology 178:114048 PubMed32446889

2020

Novel epoxy-tiglianes stimulate skin keratinocyte wound healing responses and re-epithelialization via protein kinase C activation.

Applications

Unspecified application

Species

Unspecified reactive species

Rachael L Moses,Glen M Boyle,Rachel A Howard-Jones,Rachel J Errington,Jenny P Johns,Victoria Gordon,Paul Reddell,Robert Steadman,Ryan Moseley
View all publications

Product promise

We are committed to supporting your work with high-quality reagents, and we're here for you every step of the way. In the unlikely event that one of our products does not perform as expected, you're protected by our Product Promise.
For full details, please see our Terms & Conditions

Please note: All products are 'FOR RESEARCH USE ONLY. NOT FOR USE IN DIAGNOSTIC OR THERAPEUTIC PROCEDURES'.

For licensing inquiries, please contact partnerships@abcam.com