JavaScript is disabled in your browser. Please enable JavaScript to view this website.
AB232522

Anti-Cytokeratin 16/K16 antibody [EP1615Y] - BSA and Azide free

5

(1 Review)

|

(1 Publication)

Rabbit Recombinant Monoclonal K1C16 antibody. Carrier free. Suitable for IHC-P, WB, ICC/IF, Flow Cyt (Intra) and reacts with Human samples. Cited in 1 publication.

View Alternative Names

KRT16A, KRT16, Cytokeratin-16, Keratin-16, CK-16, K16

5 Images
Immunohistochemistry (Formalin/PFA-fixed paraffin-embedded sections) - Anti-Cytokeratin 16/K16 antibody [EP1615Y] - BSA and Azide free (AB232522)
  • IHC-P

Unknown

Immunohistochemistry (Formalin/PFA-fixed paraffin-embedded sections) - Anti-Cytokeratin 16/K16 antibody [EP1615Y] - BSA and Azide free (AB232522)

ab76416 staining Cytokeratin 16/K16 in human skeletal muscle sections by Immunohistochemistry (IHC-P - paraformaldehyde-fixed, paraffin-embedded sections). Tissue was fixed with paraformaldehyde and antigen retrieval was by heat mediation in a EDTA buffer. Samples were incubated with primary antibody at a dilution of 1/500. A goat anti-rabbit IgG H&L (HRP) ab97051 was used as the secondary antibody at a dilution of 1/500.

Negative control 1 : PBS in place of primary antibody.

This data was developed using the same antibody clone in a different buffer formulation containing PBS, BSA, glycerol, and sodium azide (ab76416).

Flow Cytometry (Intracellular) - Anti-Cytokeratin 16/K16 antibody [EP1615Y] - BSA and Azide free (AB232522)
  • Flow Cyt (Intra)

Unknown

Flow Cytometry (Intracellular) - Anti-Cytokeratin 16/K16 antibody [EP1615Y] - BSA and Azide free (AB232522)

Overlay histogram showing HepG2 cells stained with unpurified ab76416 (red line). The cells were fixed with methanol (5 min) and then permeabilized with 0.1% PBS-Triton for 20 min. The cells were then incubated in 1x PBS / 10% normal goat serum / 0.3M glycine to block non-specific protein-protein interactions followed by the antibody (ab76416, 1/50 dilution) for 30 min at 22°C. The secondary antibody used was DyLight® 488 goat anti-rabbit IgG (H+L) (ab96899) at 1/500 dilution for 30 min at 22°C. Isotype control antibody (black line) was rabbit monoclonal IgG (1μg/1x106 cells) used under the same conditions. Acquisition of >5,000 events was performed. This antibody gave a positive signal in HepG2 cells fixed with 4% paraformaldehyde/permeabilized in 0.1% PBS-Triton used under the same conditions.

This data was developed using the same antibody clone in a different buffer formulation containing PBS, BSA, glycerol, and sodium azide (ab76416).

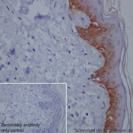
Immunohistochemistry (Formalin/PFA-fixed paraffin-embedded sections) - Anti-Cytokeratin 16/K16 antibody [EP1615Y] - BSA and Azide free (AB232522)
  • IHC-P

Supplier Data

Immunohistochemistry (Formalin/PFA-fixed paraffin-embedded sections) - Anti-Cytokeratin 16/K16 antibody [EP1615Y] - BSA and Azide free (AB232522)

ab76416 staining Cytokeratin 16/K16 in human skin tissue sections by Immunohistochemistry (IHC-P - paraformaldehyde-fixed, paraffin-embedded sections). Tissue was fixed with paraformaldehyde and antigen retrieval was by heat mediation in a EDTA buffer. Samples were incubated with primary antibody at a dilution of 1/500. A goat anti-rabbit IgG H&L (HRP) ab97051 was used as the secondary antibody at a dilution of 1/500.

Negative control 1 : PBS in place of primary antibody.

This data was developed using the same antibody clone in a different buffer formulation containing PBS, BSA, glycerol, and sodium azide (ab76416).

Flow Cytometry (Intracellular) - Anti-Cytokeratin 16/K16 antibody [EP1615Y] - BSA and Azide free (AB232522)
  • Flow Cyt (Intra)

Unknown

Flow Cytometry (Intracellular) - Anti-Cytokeratin 16/K16 antibody [EP1615Y] - BSA and Azide free (AB232522)

ab76416 staining Cytokeratin 16 / K16 in HACAT (human keratinocyte) cell line by intracellular flow cytometry. Cells were fixed with 4% paraformaldehyde and the sample was incubated with the primary antibody at a dilution of 1/150. A goat anti rabbit IgG (Alexa Fluor® 488) at a dilution of 1/500 was used as the secondary antibody.

Isoytype control : Rabbit monoclonal IgG (Black)

Unlabelled control : Cell without incubation with primary antibody and secondary antibody (Blue)

This data was developed using the same antibody clone in a different buffer formulation containing PBS, BSA, glycerol, and sodium azide (ab76416).

Immunocytochemistry/ Immunofluorescence - Anti-Cytokeratin 16/K16 antibody [EP1615Y] - BSA and Azide free (AB232522)
  • ICC/IF

Unknown

Immunocytochemistry/ Immunofluorescence - Anti-Cytokeratin 16/K16 antibody [EP1615Y] - BSA and Azide free (AB232522)

ab76416 staining Cytokeratin 16/K16 in A431 (human epidermoid carcinoma) cells by ICC/IF (Immunocytochemistry/immunofluorescence). Cells were fixed with 4% Paraformaldehyde and permeabilized with 0.1% Triton X-100. Samples were incubated with primary antibody at a dilution of 1/100. A goat anti rabbit IgG (Alexa Fluor® 488) (ab150077) was used as the secondary antibody. ab7291 and ab150120 were used as counterstains for primary antibody ab75748 and secondary antibody ab150077 respectively and DAPI was used as a nuclear counterstain.

Negative control 1 : Rabbit primary antibody and anti-mouse secondary antibody (ab150120)
Negative control 2 : Mouse primary antibody (ab7291) and anti-rabbit secondary antibody (ab150077)

This data was developed using the same antibody clone in a different buffer formulation containing PBS, BSA, glycerol, and sodium azide (ab76416).

Key facts

Host species

Rabbit

Clonality

Monoclonal

Clone number

EP1615Y

Isotype

IgG

Carrier free

Yes

Reacts with

Human

Applications

ICC/IF, WB, IHC-P, Flow Cyt (Intra)

applications

Immunogen

The exact immunogen used to generate this antibody is proprietary information.

Specificity

Several customers have found that this antibody gives good results in mouse and rat however in our hands, we cannot obtain positive results. This antibody is therefore no longer covered by our Abpromise guarantee for use in mouse or rat.

Reactivity data

{ "title": "Reactivity Data", "filters": { "stats": ["", "Species", "Dilution Info", "Notes"], "tabs": { "all-applications": {"fullname" : "All Applications", "shortname": "All Applications"}, "IHCP" : {"fullname" : "Immunohistochemistry (Formalin/PFA-fixed paraffin-embedded sections)", "shortname":"IHC-P"}, "WB" : {"fullname" : "Western blot", "shortname":"WB"}, "ICCIF" : {"fullname" : "Immunocytochemistry/ Immunofluorescence", "shortname":"ICC/IF"}, "FlowCytIntra" : {"fullname" : "Flow Cytometry (Intracellular)", "shortname":"Flow Cyt (Intra)"} }, "product-promise": { "all": "all", "testedAndGuaranteed": "tested", "guaranteed": "expected", "predicted": "predicted", "notRecommended": "not-recommended" } }, "values": { "Human": { "IHCP-species-checked": "testedAndGuaranteed", "IHCP-species-dilution-info": "", "IHCP-species-notes": "<p></p>", "WB-species-checked": "guaranteed", "WB-species-dilution-info": "", "WB-species-notes": "<p></p>", "ICCIF-species-checked": "testedAndGuaranteed", "ICCIF-species-dilution-info": "", "ICCIF-species-notes": "<p></p>", "FlowCytIntra-species-checked": "testedAndGuaranteed", "FlowCytIntra-species-dilution-info": "", "FlowCytIntra-species-notes": "<p><a href='/en-us/products/primary-antibodies/rabbit-igg-monoclonal-epr25a-isotype-control-ab172730'>ab172730</a> - Rabbit monoclonal IgG, is suitable for use as an isotype control with this antibody.</p>" } } }

Product details

ab232522 is the carrier-free version of ab76416.

Patented technology
Our RabMAb® technology is a patented hybridoma-based technology for making rabbit monoclonal antibodies. For details on our patents, please refer to RabMAb® patents.

What are the advantages of a recombinant monoclonal antibody?
This product is a recombinant monoclonal antibody, which offers several advantages including:

  • - High batch-to-batch consistency and reproducibility
  • - Improved sensitivity and specificity
  • - Long-term security of supply
  • - Animal-free batch production

For more information, read more on recombinant antibodies.

Conjugation ready
Our carrier-free antibodies are typically supplied in a PBS-only formulation, purified and free of BSA, sodium azide and glycerol. This conjugation-ready format is designed for use with fluorochromes, metal isotopes, oligonucleotides, and enzymes, which makes them ideal for antibody labelling, functional and cell-based assays, flow-based assays (e.g. mass cytometry) and Multiplex Imaging applications.

Use our conjugation kits for antibody conjugates that are ready-to-use in as little as 20 minutes with 1 minute hands-on-time and 100% antibody recovery: available for fluorescent dyes, HRP, biotin and gold.

Compatibility
This product is compatible with the Maxpar® Antibody Labeling Kit from Fluidigm, without the need for antibody preparation. Maxpar® is a trademark of Fluidigm Canada Inc.

Properties and storage information

Form
Liquid
Purification technique
Affinity purification Protein A
Storage buffer
pH: 7.2 - 7.4 Constituents: PBS
Shipped at conditions
Blue Ice
Appropriate short-term storage conditions
+4°C
Appropriate long-term storage conditions
+4°C
Storage information
Do Not Freeze

Supplementary information

This supplementary information is collated from multiple sources and compiled automatically.

Cytokeratin 16 often called K16 or Krt16 weighs around 50 kDa and belongs to the keratin family. Researchers commonly find K16 in epithelial tissues particularly in areas subjected to constant mechanical stress such as palms and soles. In addition to its localized expression K16 appears during wound healing processes where cells experience high turnover or regeneration activities. Its expression often pairs with Krt6 another keratin type contributing to its mechanical properties under stress conditions often called "pressure point".
Biological function summary

K16 plays critical roles in maintaining the integrity of epithelial cells and tissues. It is a structural protein that helps stabilize keratin cytoarchitecture. K16 forms a complex with its partner keratins like K17 providing resilience and elasticity to the skin ensuring durability in regions experiencing repetitive physical stress. Additionally K16 helps regulate proliferation and differentiation of keratinocytes contributing to healthy skin formation and repair.

Pathways

K16 takes part in signaling pathways associated with epidermal development and repair. It acts within the keratinization process interacting closely with signaling components that influence cell cycle regulation and DNA repair. Proteins such as p63 and Krt17 assist this regulatory mechanism influencing cellular responses to stress or damage. These interactions help modulate barrier function and skin homeostasis ensuring responsive adaptation to environmental changes.

K16 links to conditions like psoriasis and pachyonychia congenita. In psoriasis K16 expression becomes markedly upregulated contributing to the characteristic skin hyperproliferation. Similarly in pachyonychia congenita mutations in the K16 gene lead to nail and skin anomalies causing painful epidermal lesions. Both disorders highlight K16's involvement with Krt6 and Krt17 as these proteins collectively demonstrate disrupted keratin networks resulting in compromised skin integrity.

Product protocols

For this product, it's our understanding that no specific protocols are required. You can visit:

Target data

Epidermis-specific type I keratin that plays a key role in skin. Acts as a regulator of innate immunity in response to skin barrier breach : required for some inflammatory checkpoint for the skin barrier maintenance.
See full target information KRT16

Publications (1)

Recent publications for all applications. Explore the full list and refine your search

Bioscience reports 40: PubMed33015714

2020

Chlorogenic acid ameliorated allergic rhinitis-related symptoms in mice by regulating Th17 cells.

Applications

Unspecified application

Species

Unspecified reactive species

Zhaohui Shi,Weihong Jiang,Xiaodong Chen,Min Xu,Jian Wang,Yubin Lai,Dingjun Zha
View all publications

Product promise

We are committed to supporting your work with high-quality reagents, and we're here for you every step of the way. In the unlikely event that one of our products does not perform as expected, you're protected by our Product Promise.
For full details, please see our Terms & Conditions

Please note: All products are 'FOR RESEARCH USE ONLY. NOT FOR USE IN DIAGNOSTIC OR THERAPEUTIC PROCEDURES'.

For licensing inquiries, please contact partnerships@abcam.com