JavaScript is disabled in your browser. Please enable JavaScript to view this website.
AB240236

Anti-Cytokeratin 16/K16 antibody [EPR13504] - BSA and Azide free

Be the first to review this product! Submit a review

|

(1 Publication)

Rabbit Recombinant Monoclonal K1C16 antibody. Carrier free. Suitable for WB, IHC-P and reacts with Human samples. Cited in 1 publication.

View Alternative Names

KRT16A, KRT16, Cytokeratin-16, Keratin-16, CK-16, K16

2 Images
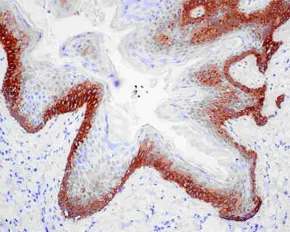
Immunohistochemistry (Formalin/PFA-fixed paraffin-embedded sections) - Anti-Cytokeratin 16/K16 antibody [EPR13504] - BSA and Azide free (AB240236)
  • IHC-P

Supplier Data

Immunohistochemistry (Formalin/PFA-fixed paraffin-embedded sections) - Anti-Cytokeratin 16/K16 antibody [EPR13504] - BSA and Azide free (AB240236)

Immunohistochemical analysis of paraffin-embedded Human skin tissue labeling Cytokeratin 16/K16 with ab181055 at 1/500 dilution followed by pre-diluted HRP-conjugated secondary antibody and counter-stained with Hematoxylin.

This data was developed using the same antibody clone in a different buffer formulation containing PBS, BSA, glycerol, and sodium azide (ab181055).

Perform heat mediated antigen retrieval with EDTA buffer pH 9 before commencing with IHC staining protocol.

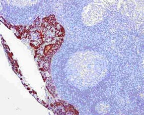
Immunohistochemistry (Formalin/PFA-fixed paraffin-embedded sections) - Anti-Cytokeratin 16/K16 antibody [EPR13504] - BSA and Azide free (AB240236)
  • IHC-P

Supplier Data

Immunohistochemistry (Formalin/PFA-fixed paraffin-embedded sections) - Anti-Cytokeratin 16/K16 antibody [EPR13504] - BSA and Azide free (AB240236)

Immunohistochemical analysis of paraffin-embedded Human tonsil tissue labeling Cytokeratin 16/K16 with ab181055 at 1/500 dilution followed by pre-diluted HRP-conjugated secondary antibody and counter-stained with Hematoxylin.

This data was developed using the same antibody clone in a different buffer formulation containing PBS, BSA, glycerol, and sodium azide (ab181055).

Perform heat mediated antigen retrieval with EDTA buffer pH 9 before commencing with IHC staining protocol.

Key facts

Host species

Rabbit

Clonality

Monoclonal

Clone number

EPR13504

Isotype

IgG

Carrier free

Yes

Reacts with

Human

Applications

WB, IHC-P

applications

Immunogen

The exact immunogen used to generate this antibody is proprietary information.

Reactivity data

{ "title": "Reactivity Data", "filters": { "stats": ["", "Species", "Dilution Info", "Notes"], "tabs": { "all-applications": {"fullname" : "All Applications", "shortname": "All Applications"}, "WB" : {"fullname" : "Western blot", "shortname":"WB"}, "IHCP" : {"fullname" : "Immunohistochemistry (Formalin/PFA-fixed paraffin-embedded sections)", "shortname":"IHC-P"} }, "product-promise": { "all": "all", "testedAndGuaranteed": "tested", "guaranteed": "expected", "predicted": "predicted", "notRecommended": "not-recommended" } }, "values": { "Human": { "WB-species-checked": "guaranteed", "WB-species-dilution-info": "", "WB-species-notes": "<p></p>", "IHCP-species-checked": "testedAndGuaranteed", "IHCP-species-dilution-info": "", "IHCP-species-notes": "<p></p>" } } }

Product details

ab240236 is the carrier-free version of ab181055.

Patented technology
Our RabMAb® technology is a patented hybridoma-based technology for making rabbit monoclonal antibodies. For details on our patents, please refer to RabMAb® patents.

What are the advantages of a recombinant monoclonal antibody?
This product is a recombinant monoclonal antibody, which offers several advantages including:

  • - High batch-to-batch consistency and reproducibility
  • - Improved sensitivity and specificity
  • - Long-term security of supply
  • - Animal-free batch production

For more information, read more on recombinant antibodies.

Conjugation ready
Our carrier-free antibodies are typically supplied in a PBS-only formulation, purified and free of BSA, sodium azide and glycerol. This conjugation-ready format is designed for use with fluorochromes, metal isotopes, oligonucleotides, and enzymes, which makes them ideal for antibody labelling, functional and cell-based assays, flow-based assays (e.g. mass cytometry) and Multiplex Imaging applications.

Use our conjugation kits for antibody conjugates that are ready-to-use in as little as 20 minutes with 1 minute hands-on-time and 100% antibody recovery: available for fluorescent dyes, HRP, biotin and gold.

Compatibility
This product is compatible with the Maxpar® Antibody Labeling Kit from Fluidigm, without the need for antibody preparation. Maxpar® is a trademark of Fluidigm Canada Inc.

Properties and storage information

Form
Liquid
Purification technique
Affinity purification Protein A
Storage buffer
pH: 7.2 - 7.4 Constituents: PBS
Shipped at conditions
Blue Ice
Appropriate short-term storage conditions
+4°C
Appropriate long-term storage conditions
+4°C
Storage information
Do Not Freeze

Supplementary information

This supplementary information is collated from multiple sources and compiled automatically.

Cytokeratin 16 often called K16 or Krt16 weighs around 50 kDa and belongs to the keratin family. Researchers commonly find K16 in epithelial tissues particularly in areas subjected to constant mechanical stress such as palms and soles. In addition to its localized expression K16 appears during wound healing processes where cells experience high turnover or regeneration activities. Its expression often pairs with Krt6 another keratin type contributing to its mechanical properties under stress conditions often called "pressure point".
Biological function summary

K16 plays critical roles in maintaining the integrity of epithelial cells and tissues. It is a structural protein that helps stabilize keratin cytoarchitecture. K16 forms a complex with its partner keratins like K17 providing resilience and elasticity to the skin ensuring durability in regions experiencing repetitive physical stress. Additionally K16 helps regulate proliferation and differentiation of keratinocytes contributing to healthy skin formation and repair.

Pathways

K16 takes part in signaling pathways associated with epidermal development and repair. It acts within the keratinization process interacting closely with signaling components that influence cell cycle regulation and DNA repair. Proteins such as p63 and Krt17 assist this regulatory mechanism influencing cellular responses to stress or damage. These interactions help modulate barrier function and skin homeostasis ensuring responsive adaptation to environmental changes.

K16 links to conditions like psoriasis and pachyonychia congenita. In psoriasis K16 expression becomes markedly upregulated contributing to the characteristic skin hyperproliferation. Similarly in pachyonychia congenita mutations in the K16 gene lead to nail and skin anomalies causing painful epidermal lesions. Both disorders highlight K16's involvement with Krt6 and Krt17 as these proteins collectively demonstrate disrupted keratin networks resulting in compromised skin integrity.

Product protocols

For this product, it's our understanding that no specific protocols are required. You can visit:

Target data

Epidermis-specific type I keratin that plays a key role in skin. Acts as a regulator of innate immunity in response to skin barrier breach : required for some inflammatory checkpoint for the skin barrier maintenance.
See full target information KRT16

Publications (1)

Recent publications for all applications. Explore the full list and refine your search

Biomedicines 12: PubMed39457558

2024

Tetraspanins, GLAST and L1CAM Quantification in Single Extracellular Vesicles from Cerebrospinal Fluid and Serum of People with Multiple Sclerosis.

Applications

Unspecified application

Species

Unspecified reactive species

Rocío Del Carmen Bravo-Miana,Jone Karmele Arizaga-Echebarria,Valeria Sabas-Ortega,Hirune Crespillo-Velasco,Alvaro Prada,Tamara Castillo-Triviño,David Otaegui
View all publications

Product promise

We are committed to supporting your work with high-quality reagents, and we're here for you every step of the way. In the unlikely event that one of our products does not perform as expected, you're protected by our Product Promise.
For full details, please see our Terms & Conditions

Please note: All products are 'FOR RESEARCH USE ONLY. NOT FOR USE IN DIAGNOSTIC OR THERAPEUTIC PROCEDURES'.

For licensing inquiries, please contact partnerships@abcam.com