JavaScript is disabled in your browser. Please enable JavaScript to view this website.
AB53707

Anti-Cytokeratin 17 antibody - Cytoskeleton Marker

5

(2 Reviews)

|

(58 Publications)

Rabbit Polyclonal Cytokeratin 17 antibody. Cytoskeleton marker. Suitable for WB, IHC-P, ICC/IF and reacts with Human samples. Cited in 58 publications. Immunogen corresponding to Synthetic Peptide within Human KRT17.

View Alternative Names

39.1, Cytokeratin-17, Keratin-17, CK-17, K17, KRT17

3 Images
Immunocytochemistry/ Immunofluorescence - Anti-Cytokeratin 17 antibody - Cytoskeleton Marker (AB53707)
  • ICC/IF

Unknown

Immunocytochemistry/ Immunofluorescence - Anti-Cytokeratin 17 antibody - Cytoskeleton Marker (AB53707)

ICC/IF image of ab53707 stained HeLa cells. The cells were 4% formaldehyde fixed (10 min) and then incubated in 1%BSA / 10% normal goat serum / 0.3M glycine in 0.1% PBS-Tween for 1h to permeabilise the cells and block non-specific protein-protein interactions. The cells were then incubated with the antibody (ab53707, 1μg/ml) overnight at +4°C. The secondary antibody (green) was Alexa Fluor® 488 goat anti-rabbit IgG (H+L) used at a 1/1000 dilution for 1h. Alexa Fluor® 594 WGA was used to label plasma membranes (red) at a 1/200 dilution for 1h. DAPI was used to stain the cell nuclei (blue) at a concentration of 1.43μM.

Immunohistochemistry (Formalin/PFA-fixed paraffin-embedded sections) - Anti-Cytokeratin 17 antibody - Cytoskeleton Marker (AB53707)
  • IHC-P

Unknown

Immunohistochemistry (Formalin/PFA-fixed paraffin-embedded sections) - Anti-Cytokeratin 17 antibody - Cytoskeleton Marker (AB53707)

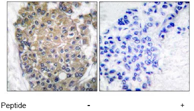
ab53707 at 1/50 dilution staining Cytokeratin 17 in human breast carcinoma by Immunohistochemistry, Paraffin embedded tissue, in the absence or presence of the immunising peptide.

Western blot - Anti-Cytokeratin 17 antibody - Cytoskeleton Marker (AB53707)
  • WB

Unknown

Western blot - Anti-Cytokeratin 17 antibody - Cytoskeleton Marker (AB53707)

All lanes:

Western blot - Anti-Cytokeratin 17 antibody - Cytoskeleton Marker (ab53707) at 1/500 dilution

Lane 1:

HuvEc cell extract

Lane 2:

HuvEc cell extract with immunising peptide

Predicted band size: 48 kDa

Observed band size: 48 kDa

false

Key facts

Host species

Rabbit

Clonality

Polyclonal

Isotype

IgG

Carrier free

No

Reacts with

Human

Applications

ICC/IF, IHC-P, WB

applications

Immunogen

Synthetic Peptide within Human KRT17. The exact immunogen used to generate this antibody is proprietary information.

Q04695

Reactivity data

{ "title": "Reactivity Data", "filters": { "stats": ["", "Species", "Dilution Info", "Notes"], "tabs": { "all-applications": {"fullname" : "All Applications", "shortname": "All Applications"}, "WB" : {"fullname" : "Western blot", "shortname":"WB"}, "IHCP" : {"fullname" : "Immunohistochemistry (Formalin/PFA-fixed paraffin-embedded sections)", "shortname":"IHC-P"}, "ICCIF" : {"fullname" : "Immunocytochemistry/ Immunofluorescence", "shortname":"ICC/IF"} }, "product-promise": { "all": "all", "testedAndGuaranteed": "tested", "guaranteed": "expected", "predicted": "predicted", "notRecommended": "not-recommended" } }, "values": { "Human": { "WB-species-checked": "testedAndGuaranteed", "WB-species-dilution-info": "1/500 - 1/1000", "WB-species-notes": "<p></p>", "IHCP-species-checked": "testedAndGuaranteed", "IHCP-species-dilution-info": "1/50 - 1/100", "IHCP-species-notes": "<p></p>", "ICCIF-species-checked": "testedAndGuaranteed", "ICCIF-species-dilution-info": "1 µg/mL", "ICCIF-species-notes": "<p></p>" } } }

Properties and storage information

Form
Liquid
Purification technique
Affinity purification Immunogen
Purification notes
ab53707 was affinity-purified from rabbit antiserum by affinity-chromatography using epitope-specific immunogen.
Storage buffer
pH: 7.4 Preservative: 0.02% Sodium azide Constituents: PBS, 50% Glycerol (glycerin, glycerine), 0.87% Sodium chloride
Shipped at conditions
Blue Ice
Appropriate short-term storage conditions
+4°C
Appropriate long-term storage conditions
-20°C
Storage information
Stable for 12 months at -20°C

Supplementary information

This supplementary information is collated from multiple sources and compiled automatically.

Cytokeratin 17 often called K17 or keratin 17 is a type I intermediate filament protein with a molecular weight of approximately 46 kDa. It forms part of the cytoskeleton in epithelial cells and is notably present in the basal cells of epithelial tissues including the skin hair follicles and the lining of internal organs. Due to its specific expression pattern K17 serves as a useful biomarker in various research and clinical settings.
Biological function summary

The roles of K17 extend beyond mere structural support. This protein contributes to cellular processes such as proliferation tissue repair and the regulation of immune responses. K17 often forms a complex with its partner keratin 6 enabling structural stability and resilience in epithelial cells. Its presence influences the behavior of the cells in skin and other epithelial-lined organs.

Pathways

K17 participates in key pathways related to skin biology and inflammation notably the Wnt/β-catenin and NF-κB signaling pathways. These pathways connect K17 to cellular processes like growth differentiation and inflammation. In particular keratin 6 is another important protein in these cascades closely interacting with K17 in maintenance and repair processes within epithelial tissues.

K17 has been implicated in psoriasis and certain types of cancer such as cervical and breast cancer. In psoriasis an inflammatory skin condition K17 interacts with pro-inflammatory cytokines contributing to the hyperproliferative state of the skin. Its overexpression serves as a marker in diagnosing and understanding the severity of these disorders highlighting its relationship with keratin 6 which is similarly upregulated in psoriatic lesions and certain tumors. These associations make K17 a significant focus for therapeutic targeting and diagnostic applications.

Product protocols

For this product, it's our understanding that no specific protocols are required. You can visit:

Target data

Type I keratin involved in the formation and maintenance of various skin appendages, specifically in determining shape and orientation of hair (By similarity). Required for the correct growth of hair follicles, in particular for the persistence of the anagen (growth) state (By similarity). Modulates the function of TNF-alpha in the specific context of hair cycling. Regulates protein synthesis and epithelial cell growth through binding to the adapter protein SFN and by stimulating Akt/mTOR pathway (By similarity). Involved in tissue repair. May be a marker of basal cell differentiation in complex epithelia and therefore indicative of a certain type of epithelial 'stem cells'. Acts as a promoter of epithelial proliferation by acting a regulator of immune response in skin : promotes Th1/Th17-dominated immune environment contributing to the development of basaloid skin tumors (By similarity). May act as an autoantigen in the immunopathogenesis of psoriasis, with certain peptide regions being a major target for autoreactive T-cells and hence causing their proliferation.
See full target information KRT17

Publications (58)

Recent publications for all applications. Explore the full list and refine your search

Wound repair and regeneration : official publication of the Wound Healing Society [and] the European Tissue Repair Society 33:e70082 PubMed40880422

2025

Re-Epithelialisation in a Yorkshire Pig Full-Thickness Excisional Wound Model Is Associated With Keratinocyte Activation, Oxidative Stress, and Biomacromolecule Oxidation.

Applications

Unspecified application

Species

Unspecified reactive species

Dylan Tinney,John T Walker,Emily Truscott,Douglas W Hamilton

Science advances 11:eadw2382 PubMed40845092

2025

Regulation of feather length: FGF/IGF signaling and NOTCH/YAP modulation of progenitor cell topology.

Applications

Unspecified application

Species

Unspecified reactive species

Ping Wu,Federico Bocci,Christian F Guerrero-Juarez,Chih-Kuan Chen,George Wang,Tzu-Yu Liu,Jiayi Lu,Shu-Man Hsieh Li,Yung-Chih Lai,Ting-Xin Jiang,Randall B Widelitz,Ming-Xing Lei,Arthur D Lander,Qing Nie,Cheng-Ming Chuong

JCI insight 10: PubMed40526433

2025

The MUC5B promoter variant results in proteomic changes in the nonfibrotic lung.

Applications

Unspecified application

Species

Unspecified reactive species

Jeremy A Herrera,Mark Maslanka,Rachel Z Blumhagen,Rachel Blomberg,Nyan Ye Lwin,Janna Brancato,Carlyne D Cool,Jonathan P Huber,Jonathan S Kurche,Chelsea M Magin,Kirk C Hansen,Ivana V Yang,David A Schwartz

Virology journal 22:120 PubMed40287769

2025

HBV activates hepatic stellate cells through RUNX2/ITGBL1 axis.

Applications

Unspecified application

Species

Unspecified reactive species

Fengchun Shi,Wei Tan,Wei Huang,Fei Ye,Mingjie Wang,Yongxiang Wang,Xinxin Zhang,Demin Yu

Communications biology 8:284 PubMed39987372

2025

Emergence of inflammatory fibroblasts with aging in Hermansky-Pudlak syndrome associated pulmonary fibrosis.

Applications

Unspecified application

Species

Unspecified reactive species

Brandon J H Banaschewski,Sylvia N Michki,Sneha Sitaraman,Ruby Pan,Joanna Y Wang,Dominique Stewart,Mary Kate Goldy,Susan M Lin,Edward Cantu,Jeremy B Katzen,Maria C Basil,Amir M Emtiazjoo,Jamie L Todd,Jason J Gokey,Jonathan A Kropski,David B Frank,Jarod A Zepp,Lisa R Young

Nature communications 15:3360 PubMed38637611

2024

CD20/MS4A1 is a mammalian olfactory receptor expressed in a subset of olfactory sensory neurons that mediates innate avoidance of predators.

Applications

Unspecified application

Species

Unspecified reactive species

Hao-Ching Jiang,Sung Jin Park,I-Hao Wang,Daniel M Bear,Alexandra Nowlan,Paul L Greer

Biomedicines 12: PubMed38540309

2024

Gene-Expression Patterns of Tumor and Peritumor Tissues of Smoking and Non-Smoking HPV-Negative Patients with Head and Neck Squamous Cell Carcinoma.

Applications

Unspecified application

Species

Unspecified reactive species

Anna Soboleva,Irina Arutyunyan,Enar Jumaniyazova,Polina Vishnyakova,Daria Zarubina,Eldar Nimatov,Andrey Elchaninov,Timur Fatkhudinov

Nature communications 14:8069 PubMed38057316

2023

Systemically administered wound-homing peptide accelerates wound healing by modulating syndecan-4 function.

Applications

Unspecified application

Species

Unspecified reactive species

Horacio Maldonado,Bryan D Savage,Harlan R Barker,Ulrike May,Maria Vähätupa,Rahul K Badiani,Katarzyna I Wolanska,Craig M J Turner,Toini Pemmari,Tuomo Ketomäki,Stuart Prince,Martin J Humphries,Erkki Ruoslahti,Mark R Morgan,Tero A H Järvinen

Cell death & disease 14:768 PubMed38007430

2023

Sulforaphane alleviates psoriasis by enhancing antioxidant defense through KEAP1-NRF2 Pathway activation and attenuating inflammatory signaling.

Applications

Unspecified application

Species

Unspecified reactive species

Chujun Ma,Chaode Gu,Panpan Lian,Junaid Wazir,Renwei Lu,Binjia Ruan,Lulu Wei,Li Li,Wenyuan Pu,Ziqi Peng,Wentong Wang,Yangyongyi Zong,Zhiqiang Huang,Hongwei Wang,Yan Lu,Zhonglan Su

BMC cancer 23:811 PubMed37648998

2023

BCL7B, a SWI/SNF complex subunit, orchestrates cancer immunity and stemness.

Applications

Unspecified application

Species

Unspecified reactive species

Sayaka Higuchi,Yuji Suehiro,Luna Izuhara,Sawako Yoshina,Akira Hirasawa,Shohei Mitani
View all publications

Product promise

We are committed to supporting your work with high-quality reagents, and we're here for you every step of the way. In the unlikely event that one of our products does not perform as expected, you're protected by our Product Promise.
For full details, please see our Terms & Conditions

Please note: All products are 'FOR RESEARCH USE ONLY. NOT FOR USE IN DIAGNOSTIC OR THERAPEUTIC PROCEDURES'.

For licensing inquiries, please contact partnerships@abcam.com