JavaScript is disabled in your browser. Please enable JavaScript to view this website.
AB239986

Anti-Cytokeratin 17 antibody [EP1623] - BSA and Azide free

Be the first to review this product! Submit a review

|

(1 Publication)

Rabbit Recombinant Monoclonal Cytokeratin 17 antibody. Carrier free. Suitable for IHC-P, WB, ICC/IF, Flow Cyt (Intra) and reacts with Human samples. Cited in 1 publication.

View Alternative Names

39.1, Cytokeratin-17, Keratin-17, CK-17, K17, KRT17

5 Images
Immunohistochemistry (Formalin/PFA-fixed paraffin-embedded sections) - Anti-Cytokeratin 17 antibody [EP1623] - BSA and Azide free (AB239986)
  • IHC-P

Unknown

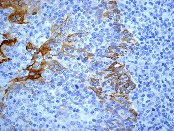
Immunohistochemistry (Formalin/PFA-fixed paraffin-embedded sections) - Anti-Cytokeratin 17 antibody [EP1623] - BSA and Azide free (AB239986)

Immunohistochemical analysis of paraffin-embedded Human tonsil tissue using ab109725 at 1/100 dilution

This data was developed using the same antibody clone in a different buffer formulation containing PBS, BSA, glycerol, and sodium azide (ab109725).

Perform heat mediated antigen retrieval with citrate buffer pH 6 before commencing with IHC staining protocol.

Immunocytochemistry/ Immunofluorescence - Anti-Cytokeratin 17 antibody [EP1623] - BSA and Azide free (AB239986)
  • ICC/IF

Lab

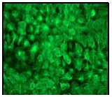
Immunocytochemistry/ Immunofluorescence - Anti-Cytokeratin 17 antibody [EP1623] - BSA and Azide free (AB239986)

Immunocytochemistry/Immunofluorescence analysis of HeLa (human cervix adenocarcinoma) cells labelling Cytokeratin 17 with purified ab109725 at 1/500. Cells were fixed with 100% methanol. ab150077, Alexa Fluor® 488-conjugated goat anti-rabbit IgG (1/1000) was used as the secondary antibody. Nuclei were counterstained with DAPI (blue).

Secondary Only Control : PBS was used instead of the primary antibody as the negative control.

This data was developed using the same antibody clone in a different buffer formulation containing PBS, BSA, glycerol, and sodium azide (ab109725).

Immunocytochemistry/ Immunofluorescence - Anti-Cytokeratin 17 antibody [EP1623] - BSA and Azide free (AB239986)
  • ICC/IF

Unknown

Immunocytochemistry/ Immunofluorescence - Anti-Cytokeratin 17 antibody [EP1623] - BSA and Azide free (AB239986)

Immunofluorescent staining of A431 cells using ab109725 at 1/100 dilutionThis data was developed using the same antibody clone in a different buffer formulation containing PBS, BSA, glycerol, and sodium azide (ab109725).

Immunohistochemistry (Formalin/PFA-fixed paraffin-embedded sections) - Anti-Cytokeratin 17 antibody [EP1623] - BSA and Azide free (AB239986)
  • IHC-P

Unknown

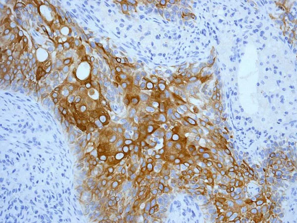
Immunohistochemistry (Formalin/PFA-fixed paraffin-embedded sections) - Anti-Cytokeratin 17 antibody [EP1623] - BSA and Azide free (AB239986)

Immunohistochemical analysis of paraffin-embedded human squamous cervical carcinoma tissue using ab109725 at 1/100 dilution

This data was developed using the same antibody clone in a different buffer formulation containing PBS, BSA, glycerol, and sodium azide (ab109725).

Perform heat mediated antigen retrieval with citrate buffer pH 6 before commencing with IHC staining protocol.

Flow Cytometry (Intracellular) - Anti-Cytokeratin 17 antibody [EP1623] - BSA and Azide free (AB239986)
  • Flow Cyt (Intra)

Lab

Flow Cytometry (Intracellular) - Anti-Cytokeratin 17 antibody [EP1623] - BSA and Azide free (AB239986)

Intracellular Flow Cytometry analysis of A431 (human epidermoid carcinoma) cells labeling Cytokeratin 17 with purified ab109725 at 1/20 dilution (10ug/ml) (red). Cells were fixed with 4% paraformaldehyde and permeabilised with 90% methanol. A Goat anti rabbit IgG (Alexa Fluor® 488) (1/2000) was used as the secondary antibody. Rabbit monoclonal IgG (Black) was used as the isotype control, cells without incubation with primary antibody and secondary antibody (Blue) was used as the unlabeled control.

This data was developed using the same antibody clone in a different buffer formulation containing PBS, BSA, glycerol, and sodium azide (ab109725).

  • Unconjugated

    Anti-Cytokeratin 17 antibody [EP1623] - Cytoskeleton Marker

  • 578 PE

    PE Anti-Cytokeratin 17 antibody [EP1623] - Cytoskeleton Marker

  • Biotin

    Biotin Anti-Cytokeratin 17 antibody [EP1623] - Cytoskeleton Marker

  • 665 Alexa Fluor® 647

    Alexa Fluor® 647 Anti-Cytokeratin 17 antibody [EP1623] - Cytoskeleton Marker

  • 519 Alexa Fluor® 488

    Alexa Fluor® 488 Anti-Cytokeratin 17 antibody [EP1623] - Cytoskeleton Marker

Key facts

Host species

Rabbit

Clonality

Monoclonal

Clone number

EP1623

Isotype

IgG

Carrier free

Yes

Reacts with

Human

Applications

WB, Flow Cyt (Intra), IHC-P, ICC/IF

applications

Immunogen

The exact immunogen used to generate this antibody is proprietary information.

Reactivity data

{ "title": "Reactivity Data", "filters": { "stats": ["", "Species", "Dilution Info", "Notes"], "tabs": { "all-applications": {"fullname" : "All Applications", "shortname": "All Applications"}, "IHCP" : {"fullname" : "Immunohistochemistry (Formalin/PFA-fixed paraffin-embedded sections)", "shortname":"IHC-P"}, "IP" : {"fullname" : "Immunoprecipitation", "shortname":"IP"}, "WB" : {"fullname" : "Western blot", "shortname":"WB"}, "ICCIF" : {"fullname" : "Immunocytochemistry/ Immunofluorescence", "shortname":"ICC/IF"}, "FlowCytIntra" : {"fullname" : "Flow Cytometry (Intracellular)", "shortname":"Flow Cyt (Intra)"} }, "product-promise": { "all": "all", "testedAndGuaranteed": "tested", "guaranteed": "expected", "predicted": "predicted", "notRecommended": "not-recommended" } }, "values": { "Human": { "IHCP-species-checked": "testedAndGuaranteed", "IHCP-species-dilution-info": "", "IHCP-species-notes": "<p>Perform antigen retrieval</p>", "IP-species-checked": "notRecommended", "IP-species-dilution-info": "", "IP-species-notes": "<p></p>", "WB-species-checked": "guaranteed", "WB-species-dilution-info": "", "WB-species-notes": "<p></p>", "ICCIF-species-checked": "testedAndGuaranteed", "ICCIF-species-dilution-info": "", "ICCIF-species-notes": "<p></p>", "FlowCytIntra-species-checked": "testedAndGuaranteed", "FlowCytIntra-species-dilution-info": "", "FlowCytIntra-species-notes": "<p><a href='/en-us/products/primary-antibodies/rabbit-igg-monoclonal-epr25a-isotype-control-low-endotoxin-azide-free-ab199376'>ab199376</a> - Rabbit monoclonal IgG, is suitable for use as an isotype control with this antibody.</p>" }, "Mouse": { "IHCP-species-checked": "predicted", "IHCP-species-dilution-info": "", "IHCP-species-notes": "", "IP-species-checked": "notRecommended", "IP-species-dilution-info": "", "IP-species-notes": "", "WB-species-checked": "predicted", "WB-species-dilution-info": "", "WB-species-notes": "", "ICCIF-species-checked": "predicted", "ICCIF-species-dilution-info": "", "ICCIF-species-notes": "", "FlowCytIntra-species-checked": "predicted", "FlowCytIntra-species-dilution-info": "", "FlowCytIntra-species-notes": "" }, "Rat": { "IHCP-species-checked": "predicted", "IHCP-species-dilution-info": "", "IHCP-species-notes": "", "IP-species-checked": "notRecommended", "IP-species-dilution-info": "", "IP-species-notes": "", "WB-species-checked": "predicted", "WB-species-dilution-info": "", "WB-species-notes": "", "ICCIF-species-checked": "predicted", "ICCIF-species-dilution-info": "", "ICCIF-species-notes": "", "FlowCytIntra-species-checked": "predicted", "FlowCytIntra-species-dilution-info": "", "FlowCytIntra-species-notes": "" } } }

Product details

ab239986 is the carrier-free version of ab109725.

Patented technology
Our RabMAb® technology is a patented hybridoma-based technology for making rabbit monoclonal antibodies. For details on our patents, please refer to RabMAb® patents.

What are the advantages of a recombinant monoclonal antibody?
This product is a recombinant monoclonal antibody, which offers several advantages including:

  • - High batch-to-batch consistency and reproducibility
  • - Improved sensitivity and specificity
  • - Long-term security of supply
  • - Animal-free batch production

For more information, read more on recombinant antibodies.

Conjugation ready
Our carrier-free antibodies are typically supplied in a PBS-only formulation, purified and free of BSA, sodium azide and glycerol. This conjugation-ready format is designed for use with fluorochromes, metal isotopes, oligonucleotides, and enzymes, which makes them ideal for antibody labelling, functional and cell-based assays, flow-based assays (e.g. mass cytometry) and Multiplex Imaging applications.

Use our conjugation kits for antibody conjugates that are ready-to-use in as little as 20 minutes with 1 minute hands-on-time and 100% antibody recovery: available for fluorescent dyes, HRP, biotin and gold.

Compatibility
This product is compatible with the Maxpar® Antibody Labeling Kit from Fluidigm, without the need for antibody preparation. Maxpar® is a trademark of Fluidigm Canada Inc.

Properties and storage information

Form
Liquid
Purification technique
Affinity purification Protein A
Storage buffer
pH: 7.2 - 7.4 Constituents: PBS
Shipped at conditions
Blue Ice
Appropriate short-term storage conditions
+4°C
Appropriate long-term storage conditions
+4°C
Storage information
Do Not Freeze

Supplementary information

This supplementary information is collated from multiple sources and compiled automatically.

Cytokeratin 17 often called K17 or keratin 17 is a type I intermediate filament protein with a molecular weight of approximately 46 kDa. It forms part of the cytoskeleton in epithelial cells and is notably present in the basal cells of epithelial tissues including the skin hair follicles and the lining of internal organs. Due to its specific expression pattern K17 serves as a useful biomarker in various research and clinical settings.
Biological function summary

The roles of K17 extend beyond mere structural support. This protein contributes to cellular processes such as proliferation tissue repair and the regulation of immune responses. K17 often forms a complex with its partner keratin 6 enabling structural stability and resilience in epithelial cells. Its presence influences the behavior of the cells in skin and other epithelial-lined organs.

Pathways

K17 participates in key pathways related to skin biology and inflammation notably the Wnt/β-catenin and NF-κB signaling pathways. These pathways connect K17 to cellular processes like growth differentiation and inflammation. In particular keratin 6 is another important protein in these cascades closely interacting with K17 in maintenance and repair processes within epithelial tissues.

K17 has been implicated in psoriasis and certain types of cancer such as cervical and breast cancer. In psoriasis an inflammatory skin condition K17 interacts with pro-inflammatory cytokines contributing to the hyperproliferative state of the skin. Its overexpression serves as a marker in diagnosing and understanding the severity of these disorders highlighting its relationship with keratin 6 which is similarly upregulated in psoriatic lesions and certain tumors. These associations make K17 a significant focus for therapeutic targeting and diagnostic applications.

Product protocols

For this product, it's our understanding that no specific protocols are required. You can visit:

Target data

Type I keratin involved in the formation and maintenance of various skin appendages, specifically in determining shape and orientation of hair (By similarity). Required for the correct growth of hair follicles, in particular for the persistence of the anagen (growth) state (By similarity). Modulates the function of TNF-alpha in the specific context of hair cycling. Regulates protein synthesis and epithelial cell growth through binding to the adapter protein SFN and by stimulating Akt/mTOR pathway (By similarity). Involved in tissue repair. May be a marker of basal cell differentiation in complex epithelia and therefore indicative of a certain type of epithelial 'stem cells'. Acts as a promoter of epithelial proliferation by acting a regulator of immune response in skin : promotes Th1/Th17-dominated immune environment contributing to the development of basaloid skin tumors (By similarity). May act as an autoantigen in the immunopathogenesis of psoriasis, with certain peptide regions being a major target for autoreactive T-cells and hence causing their proliferation.
See full target information KRT17

Publications (1)

Recent publications for all applications. Explore the full list and refine your search

Viruses 15: PubMed36680145

2022

Topoisomerase II as a Novel Antiviral Target against Panarenaviral Diseases.

Applications

Unspecified application

Species

Unspecified reactive species

Tosin Oladipo Afowowe,Yasuteru Sakurai,Shuzo Urata,Vahid Rajabali Zadeh,Jiro Yasuda
View all publications

Product promise

We are committed to supporting your work with high-quality reagents, and we're here for you every step of the way. In the unlikely event that one of our products does not perform as expected, you're protected by our Product Promise.
For full details, please see our Terms & Conditions

Please note: All products are 'FOR RESEARCH USE ONLY. NOT FOR USE IN DIAGNOSTIC OR THERAPEUTIC PROCEDURES'.

For licensing inquiries, please contact partnerships@abcam.com