JavaScript is disabled in your browser. Please enable JavaScript to view this website.
AB212553

Anti-Cytokeratin 17 antibody [KRT17/778] - BSA and Azide free

Be the first to review this product! Submit a review

|

(2 Publications)

Mouse Monoclonal Cytokeratin 17 antibody. Carrier free. Suitable for IHC-P and reacts with Human samples. Cited in 2 publications. Immunogen corresponding to Recombinant Full Length Protein corresponding to Human KRT17.

View Alternative Names

39.1, Cytokeratin-17, Keratin-17, CK-17, K17, KRT17

2 Images
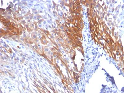
Immunohistochemistry (Formalin/PFA-fixed paraffin-embedded sections) - Anti-Cytokeratin 17 antibody [KRT17/778] - BSA and Azide free (AB212553)
  • IHC-P

Supplier Data

Immunohistochemistry (Formalin/PFA-fixed paraffin-embedded sections) - Anti-Cytokeratin 17 antibody [KRT17/778] - BSA and Azide free (AB212553)

Immunohistochemical analysis of formalin-fixed, paraffin-embedded Human cervical carcinoma tissue labeling Cytokeratin 17 with ab212553 at 1 μg/ml.

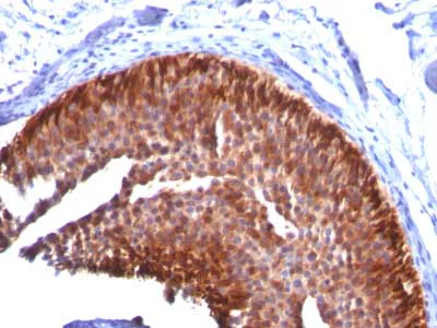
Immunohistochemistry (Formalin/PFA-fixed paraffin-embedded sections) - Anti-Cytokeratin 17 antibody [KRT17/778] - BSA and Azide free (AB212553)
  • IHC-P

Supplier Data

Immunohistochemistry (Formalin/PFA-fixed paraffin-embedded sections) - Anti-Cytokeratin 17 antibody [KRT17/778] - BSA and Azide free (AB212553)

Immunohistochemical analysis of formalin-fixed, paraffin-embedded Human bladded carcinoma tissue labeling Cytokeratin 17 with ab212553 at 1 μg/ml.

Key facts

Host species

Mouse

Clonality

Monoclonal

Clone number

KRT17/778

Isotype

IgG2b

Light chain type

kappa

Carrier free

Yes

Reacts with

Human

Applications

IHC-P

applications

Immunogen

Recombinant Full Length Protein corresponding to Human KRT17.

Q04695

Reactivity data

{ "title": "Reactivity Data", "filters": { "stats": ["", "Species", "Dilution Info", "Notes"], "tabs": { "all-applications": {"fullname" : "All Applications", "shortname": "All Applications"}, "IHCP" : {"fullname" : "Immunohistochemistry (Formalin/PFA-fixed paraffin-embedded sections)", "shortname":"IHC-P"} }, "product-promise": { "all": "all", "testedAndGuaranteed": "tested", "guaranteed": "expected", "predicted": "predicted", "notRecommended": "not-recommended" } }, "values": { "Human": { "IHCP-species-checked": "testedAndGuaranteed", "IHCP-species-dilution-info": "0.5-1 µg/mL", "IHCP-species-notes": "<p>(Primary incubation for 30 min at RT).</p>" } } }

Properties and storage information

Form
Liquid
Purification technique
Affinity purification Protein A
Purification notes
ab212553 was purified from Bioreactor Concentrate by Protein A/G.
Storage buffer
pH: 7.2 - 7.4 Constituents: PBS
Shipped at conditions
Blue Ice
Appropriate short-term storage duration
1-2 weeks
Appropriate short-term storage conditions
+4°C
Appropriate long-term storage conditions
-20°C
Aliquoting information
Upon delivery aliquot
Storage information
Avoid freeze / thaw cycle

Supplementary information

This supplementary information is collated from multiple sources and compiled automatically.

Cytokeratin 17 often called K17 or keratin 17 is a type I intermediate filament protein with a molecular weight of approximately 46 kDa. It forms part of the cytoskeleton in epithelial cells and is notably present in the basal cells of epithelial tissues including the skin hair follicles and the lining of internal organs. Due to its specific expression pattern K17 serves as a useful biomarker in various research and clinical settings.
Biological function summary

The roles of K17 extend beyond mere structural support. This protein contributes to cellular processes such as proliferation tissue repair and the regulation of immune responses. K17 often forms a complex with its partner keratin 6 enabling structural stability and resilience in epithelial cells. Its presence influences the behavior of the cells in skin and other epithelial-lined organs.

Pathways

K17 participates in key pathways related to skin biology and inflammation notably the Wnt/β-catenin and NF-κB signaling pathways. These pathways connect K17 to cellular processes like growth differentiation and inflammation. In particular keratin 6 is another important protein in these cascades closely interacting with K17 in maintenance and repair processes within epithelial tissues.

K17 has been implicated in psoriasis and certain types of cancer such as cervical and breast cancer. In psoriasis an inflammatory skin condition K17 interacts with pro-inflammatory cytokines contributing to the hyperproliferative state of the skin. Its overexpression serves as a marker in diagnosing and understanding the severity of these disorders highlighting its relationship with keratin 6 which is similarly upregulated in psoriatic lesions and certain tumors. These associations make K17 a significant focus for therapeutic targeting and diagnostic applications.

Product protocols

For this product, it's our understanding that no specific protocols are required. You can visit:

Target data

Type I keratin involved in the formation and maintenance of various skin appendages, specifically in determining shape and orientation of hair (By similarity). Required for the correct growth of hair follicles, in particular for the persistence of the anagen (growth) state (By similarity). Modulates the function of TNF-alpha in the specific context of hair cycling. Regulates protein synthesis and epithelial cell growth through binding to the adapter protein SFN and by stimulating Akt/mTOR pathway (By similarity). Involved in tissue repair. May be a marker of basal cell differentiation in complex epithelia and therefore indicative of a certain type of epithelial 'stem cells'. Acts as a promoter of epithelial proliferation by acting a regulator of immune response in skin : promotes Th1/Th17-dominated immune environment contributing to the development of basaloid skin tumors (By similarity). May act as an autoantigen in the immunopathogenesis of psoriasis, with certain peptide regions being a major target for autoreactive T-cells and hence causing their proliferation.
See full target information KRT17

Publications (2)

Recent publications for all applications. Explore the full list and refine your search

Nature communications 12:4906 PubMed34385456

2021

An N-Cadherin 2 expressing epithelial cell subpopulation predicts response to surgery, chemotherapy and immunotherapy in bladder cancer.

Applications

Unspecified application

Species

Unspecified reactive species

Kenneth H Gouin,Nathan Ing,Jasmine T Plummer,Charles J Rosser,Bassem Ben Cheikh,Catherine Oh,Stephanie S Chen,Keith Syson Chan,Hideki Furuya,Warren G Tourtellotte,Simon R V Knott,Dan Theodorescu

Diagnostic pathology 7:145 PubMed23082819

2012

A comprehensive morphological study for basal-like breast carcinomas with comparison to nonbasal-like carcinomas.

Applications

Unspecified application

Species

Unspecified reactive species

Asli Cakir,Ipek Isik Gonul,Omer Uluoglu
View all publications

Product promise

We are committed to supporting your work with high-quality reagents, and we're here for you every step of the way. In the unlikely event that one of our products does not perform as expected, you're protected by our Product Promise.
For full details, please see our Terms & Conditions

Please note: All products are 'FOR RESEARCH USE ONLY. NOT FOR USE IN DIAGNOSTIC OR THERAPEUTIC PROCEDURES'.

For licensing inquiries, please contact partnerships@abcam.com