JavaScript is disabled in your browser. Please enable JavaScript to view this website.
AB238808

Anti-Cytokeratin 17 antibody [SP95] - BSA and Azide free

Be the first to review this product! Submit a review

|

(1 Publication)

Rabbit Recombinant Monoclonal Cytokeratin 17 antibody. Carrier free. Suitable for IHC-P, WB, ICC/IF, Flow Cyt (Intra) and reacts with Human samples. Cited in 1 publication.

View Alternative Names

39.1, Cytokeratin-17, Keratin-17, CK-17, K17, KRT17

16 Images
Immunohistochemistry (Formalin/PFA-fixed paraffin-embedded sections) - Anti-Cytokeratin 17 antibody [SP95] - BSA and Azide free (AB238808)
  • IHC-P

Supplier Data

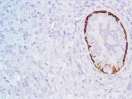
Immunohistochemistry (Formalin/PFA-fixed paraffin-embedded sections) - Anti-Cytokeratin 17 antibody [SP95] - BSA and Azide free (AB238808)

Immunohistochemical analysis of paraffin embedded Human cervix tissue labeling Cytokeratin 17 with ab183330 at 1/100.

This data was developed using the same antibody clone in a different buffer formulation containing PBS, BSA, glycerol, and sodium azide (ab183330).

Immunohistochemistry (Formalin/PFA-fixed paraffin-embedded sections) - Anti-Cytokeratin 17 antibody [SP95] - BSA and Azide free (AB238808)
  • IHC-P

Unknown

Immunohistochemistry (Formalin/PFA-fixed paraffin-embedded sections) - Anti-Cytokeratin 17 antibody [SP95] - BSA and Azide free (AB238808)

Immunohistochemical analysis of paraffin embedded Human bladder transitional cell carcinoma tissue labeling Cytokeratin 17 with ab183330 at 1/100.

This data was developed using the same antibody clone in a different buffer formulation containing PBS, BSA, glycerol, and sodium azide (ab183330).

Immunocytochemistry/ Immunofluorescence - Anti-Cytokeratin 17 antibody [SP95] - BSA and Azide free (AB238808)
  • ICC/IF

Unknown

Immunocytochemistry/ Immunofluorescence - Anti-Cytokeratin 17 antibody [SP95] - BSA and Azide free (AB238808)

Immunocytochemistry/ Immunofluorescence analysis of HeLa (human cervix adenocarcinoma epithelial cell) cells labeling Cytokeratin 17 with purified ab183330 at 1/100 (1.6μg/ml). Cells were fixed in 4% paraformaldehyde and permeabilized with 0.1% Triton X-100. Cells were counterstained with ab195889 Anti-alpha Tubulin antibody [DM1A] - Microtubule Marker (Alexa Fluor® 594) 1/200 (2.5 μg/ml). Goat anti rabbit IgG (Alexa Fluor® 488, ab150077) was used as the secondary antibody at 1/1000 (2 μg/ml) dilution. DAPI was used as nuclear counterstain. PBS instead of the primary antibody was used as the secondary antibody only control.

This data was developed using the same antibody clone in a different buffer formulation containing PBS, BSA, glycerol, and sodium azide (ab183330).

Immunohistochemistry (Formalin/PFA-fixed paraffin-embedded sections) - Anti-Cytokeratin 17 antibody [SP95] - BSA and Azide free (AB238808)
  • IHC-P

Supplier Data

Immunohistochemistry (Formalin/PFA-fixed paraffin-embedded sections) - Anti-Cytokeratin 17 antibody [SP95] - BSA and Azide free (AB238808)

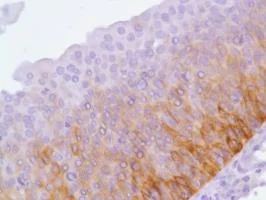
Immunohistochemical analysis of paraffin embedded Human skin tissue labeling Cytokeratin 17 with ab183330 at 1/100.

This data was developed using the same antibody clone in a different buffer formulation containing PBS, BSA, glycerol, and sodium azide (ab183330).

Immunohistochemistry (Formalin/PFA-fixed paraffin-embedded sections) - Anti-Cytokeratin 17 antibody [SP95] - BSA and Azide free (AB238808)
  • IHC-P

Supplier Data

Immunohistochemistry (Formalin/PFA-fixed paraffin-embedded sections) - Anti-Cytokeratin 17 antibody [SP95] - BSA and Azide free (AB238808)

Immunohistochemical analysis of paraffin embedded Human cervix adenocarcinoma tissue labeling Cytokeratin 17 with ab183330 at 1/100.

This data was developed using the same antibody clone in a different buffer formulation containing PBS, BSA, glycerol, and sodium azide (ab183330).

Immunohistochemistry (Formalin/PFA-fixed paraffin-embedded sections) - Anti-Cytokeratin 17 antibody [SP95] - BSA and Azide free (AB238808)
  • IHC-P

Supplier Data

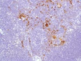
Immunohistochemistry (Formalin/PFA-fixed paraffin-embedded sections) - Anti-Cytokeratin 17 antibody [SP95] - BSA and Azide free (AB238808)

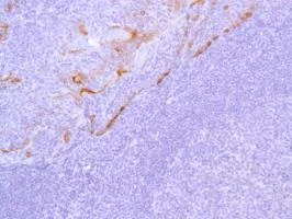
Immunohistochemical analysis of paraffin embedded Human tonsil tissue labeling Cytokeratin 17 with ab183330 at 1/100.

This data was developed using the same antibody clone in a different buffer formulation containing PBS, BSA, glycerol, and sodium azide (ab183330).

Immunohistochemistry (Formalin/PFA-fixed paraffin-embedded sections) - Anti-Cytokeratin 17 antibody [SP95] - BSA and Azide free (AB238808)
  • IHC-P

Unknown

Immunohistochemistry (Formalin/PFA-fixed paraffin-embedded sections) - Anti-Cytokeratin 17 antibody [SP95] - BSA and Azide free (AB238808)

Immunohistochemical analysis of paraffin embedded Human prostate tissue labeling Cytokeratin 17 with ab183330 at 1/100.

This data was developed using the same antibody clone in a different buffer formulation containing PBS, BSA, glycerol, and sodium azide (ab183330).

Flow Cytometry (Intracellular) - Anti-Cytokeratin 17 antibody [SP95] - BSA and Azide free (AB238808)
  • Flow Cyt (Intra)

Unknown

Flow Cytometry (Intracellular) - Anti-Cytokeratin 17 antibody [SP95] - BSA and Azide free (AB238808)

Intracellular Flow Cytometry analysis of HeLa (human cervix adenocarcinoma) labeling Cytokeratin 17 with purified ab183330 at 1/20 dilution (7.85μg/ml) (red). Cells were fixed with 4% paraformaldehyde and permeabilised with 90% methanol. Goat anti rabbit IgG (Alexa Fluor® 488, ab150077) at 1/2000 dilution was used as a secondary antibody. Isotypecontrol - Rabbit monoclonal IgG (ab172730) (black). Unlableled control - Unlabelled cells (blue).

This data was developed using the same antibody clone in a different buffer formulation containing PBS, BSA, glycerol, and sodium azide (ab183330).

Immunohistochemistry (Formalin/PFA-fixed paraffin-embedded sections) - Anti-Cytokeratin 17 antibody [SP95] - BSA and Azide free (AB238808)
  • IHC-P

Supplier Data

Immunohistochemistry (Formalin/PFA-fixed paraffin-embedded sections) - Anti-Cytokeratin 17 antibody [SP95] - BSA and Azide free (AB238808)

Immunohistochemical analysis of paraffin embedded Human thymus tissue labeling Cytokeratin 17 with ab183330 at 1/100.

This data was developed using the same antibody clone in a different buffer formulation containing PBS, BSA, glycerol, and sodium azide (ab183330).

Immunohistochemistry (Formalin/PFA-fixed paraffin-embedded sections) - Anti-Cytokeratin 17 antibody [SP95] - BSA and Azide free (AB238808)
  • IHC-P

Unknown

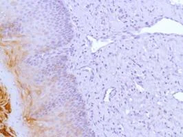
Immunohistochemistry (Formalin/PFA-fixed paraffin-embedded sections) - Anti-Cytokeratin 17 antibody [SP95] - BSA and Azide free (AB238808)

Immunohistochemical analysis of paraffin embedded Human skin squamous cell carcinoma tissue labeling Cytokeratin 17 with ab183330 at 1/100.

This data was developed using the same antibody clone in a different buffer formulation containing PBS, BSA, glycerol, and sodium azide (ab183330).

Flow Cytometry (Intracellular) - Anti-Cytokeratin 17 antibody [SP95] - BSA and Azide free (AB238808)
  • Flow Cyt (Intra)

Supplier Data

Flow Cytometry (Intracellular) - Anti-Cytokeratin 17 antibody [SP95] - BSA and Azide free (AB238808)

Intracellular flow cytometric analysis of Cytokeratin HeLa cells using ab183330 (green) compare to negative control of rabbit IgG (blue).

This data was developed using the same antibody clone in a different buffer formulation containing PBS, BSA, glycerol, and sodium azide (ab183330).

Immunohistochemistry (Formalin/PFA-fixed paraffin-embedded sections) - Anti-Cytokeratin 17 antibody [SP95] - BSA and Azide free (AB238808)
  • IHC-P

Supplier Data

Immunohistochemistry (Formalin/PFA-fixed paraffin-embedded sections) - Anti-Cytokeratin 17 antibody [SP95] - BSA and Azide free (AB238808)

Immunohistochemical analysis of paraffin embedded Human bladder tissue labeling Cytokeratin 17 with ab183330 at 1/100.

This data was developed using the same antibody clone in a different buffer formulation containing PBS, BSA, glycerol, and sodium azide (ab183330).

Immunohistochemistry (Formalin/PFA-fixed paraffin-embedded sections) - Anti-Cytokeratin 17 antibody [SP95] - BSA and Azide free (AB238808)
  • IHC-P

Unknown

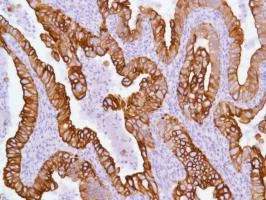
Immunohistochemistry (Formalin/PFA-fixed paraffin-embedded sections) - Anti-Cytokeratin 17 antibody [SP95] - BSA and Azide free (AB238808)

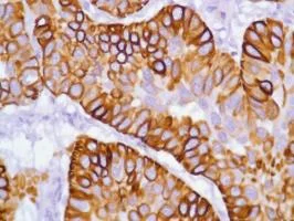
Immunohistochemical analysis of paraffin embedded Human prostate adenocarcinoma tissue labeling Cytokeratin 17 with ab183330 at 1/100.

This data was developed using the same antibody clone in a different buffer formulation containing PBS, BSA, glycerol, and sodium azide (ab183330).

Immunohistochemistry (Formalin/PFA-fixed paraffin-embedded sections) - Anti-Cytokeratin 17 antibody [SP95] - BSA and Azide free (AB238808)
  • IHC-P

Supplier Data

Immunohistochemistry (Formalin/PFA-fixed paraffin-embedded sections) - Anti-Cytokeratin 17 antibody [SP95] - BSA and Azide free (AB238808)

Paraffin-embedded human prostate carcinoma tissue stained for Cytokeratin 17 with ab183330 at a 1/100 dilution in immunohistochemical analysis.

This data was developed using the same antibody clone in a different buffer formulation containing PBS, BSA and sodium azide (ab183330).

Immunohistochemistry (Formalin/PFA-fixed paraffin-embedded sections) - Anti-Cytokeratin 17 antibody [SP95] - BSA and Azide free (AB238808)
  • IHC-P

Unknown

Immunohistochemistry (Formalin/PFA-fixed paraffin-embedded sections) - Anti-Cytokeratin 17 antibody [SP95] - BSA and Azide free (AB238808)

Immunohistochemical analysis of paraffin embedded Human cervical adenocarcinoma tissue labeling Cytokeratin 17 with ab183330 at 1/100.

This data was developed using the same antibody clone in a different buffer formulation containing PBS, BSA, glycerol, and sodium azide (ab183330).

Flow Cytometry (Intracellular) - Anti-Cytokeratin 17 antibody [SP95] - BSA and Azide free (AB238808)
  • Flow Cyt (Intra)

Lab

Flow Cytometry (Intracellular) - Anti-Cytokeratin 17 antibody [SP95] - BSA and Azide free (AB238808)

This data was developed using the same antibody clone in a different buffer formulation containing PBS, BSA, glycerol, and sodium azide (ab183330).

Flow cytometry overlay histogram showing left HeLa positive cells and right negative MCF7 stained with ab183330 (red line). The cells were fixed with 80% methanol (5 min) and then permeabilised with 0.1% PBS-Triton X-100 for 15 min. The cells were then incubated in 1x PBS containing 10% normal goat serum to block non-specific protein-protein interaction followed by the antibody (ab183330) (1x 106 in 100μl at 0.008μg/ml (1/262500)) for 30min at 22°C.

The secondary antibody Goat Anti-Rabbit IgG H&L (Alexa Fluor® 488) preadsorbed was incubated at 1/4000 for 30min at 22°C

Isotype control antibody (black line) was Recombinant Rabbit IgG, monoclonal [EPR25A] - Isotype Control used at the same concentration and conditions as the primary antibody. Unlabelled sample (blue line) was also used as a control.

Acquisition of >5000 events were collected using a 50 mW Blue laser (488nm) and 525/40 bandpass filter.

Key facts

Host species

Rabbit

Clonality

Monoclonal

Clone number

SP95

Isotype

IgG

Carrier free

Yes

Reacts with

Human

Applications

Flow Cyt (Intra), ICC/IF, IHC-P, WB

applications

Immunogen

The exact immunogen used to generate this antibody is proprietary information.

Reactivity data

{ "title": "Reactivity Data", "filters": { "stats": ["", "Species", "Dilution Info", "Notes"], "tabs": { "all-applications": {"fullname" : "All Applications", "shortname": "All Applications"}, "IHCP" : {"fullname" : "Immunohistochemistry (Formalin/PFA-fixed paraffin-embedded sections)", "shortname":"IHC-P"}, "WB" : {"fullname" : "Western blot", "shortname":"WB"}, "ICCIF" : {"fullname" : "Immunocytochemistry/ Immunofluorescence", "shortname":"ICC/IF"}, "FlowCytIntra" : {"fullname" : "Flow Cytometry (Intracellular)", "shortname":"Flow Cyt (Intra)"} }, "product-promise": { "all": "all", "testedAndGuaranteed": "tested", "guaranteed": "expected", "predicted": "predicted", "notRecommended": "not-recommended" } }, "values": { "Human": { "IHCP-species-checked": "testedAndGuaranteed", "IHCP-species-dilution-info": "", "IHCP-species-notes": "<p></p>", "WB-species-checked": "guaranteed", "WB-species-dilution-info": "", "WB-species-notes": "<p></p>", "ICCIF-species-checked": "testedAndGuaranteed", "ICCIF-species-dilution-info": "", "ICCIF-species-notes": "<p></p>", "FlowCytIntra-species-checked": "testedAndGuaranteed", "FlowCytIntra-species-dilution-info": "", "FlowCytIntra-species-notes": "<p><a href='/en-us/products/primary-antibodies/rabbit-igg-monoclonal-epr25a-isotype-control-ab172730'>ab172730</a> - Rabbit monoclonal IgG, is suitable for use as an isotype control with this antibody.</p>" }, "Mouse": { "IHCP-species-checked": "predicted", "IHCP-species-dilution-info": "", "IHCP-species-notes": "", "WB-species-checked": "predicted", "WB-species-dilution-info": "", "WB-species-notes": "", "ICCIF-species-checked": "predicted", "ICCIF-species-dilution-info": "", "ICCIF-species-notes": "", "FlowCytIntra-species-checked": "predicted", "FlowCytIntra-species-dilution-info": "", "FlowCytIntra-species-notes": "" }, "Rat": { "IHCP-species-checked": "predicted", "IHCP-species-dilution-info": "", "IHCP-species-notes": "", "WB-species-checked": "predicted", "WB-species-dilution-info": "", "WB-species-notes": "", "ICCIF-species-checked": "predicted", "ICCIF-species-dilution-info": "", "ICCIF-species-notes": "", "FlowCytIntra-species-checked": "predicted", "FlowCytIntra-species-dilution-info": "", "FlowCytIntra-species-notes": "" }, "Cow": { "IHCP-species-checked": "predicted", "IHCP-species-dilution-info": "", "IHCP-species-notes": "", "WB-species-checked": "predicted", "WB-species-dilution-info": "", "WB-species-notes": "", "ICCIF-species-checked": "predicted", "ICCIF-species-dilution-info": "", "ICCIF-species-notes": "", "FlowCytIntra-species-checked": "predicted", "FlowCytIntra-species-dilution-info": "", "FlowCytIntra-species-notes": "" }, "Dog": { "IHCP-species-checked": "predicted", "IHCP-species-dilution-info": "", "IHCP-species-notes": "", "WB-species-checked": "predicted", "WB-species-dilution-info": "", "WB-species-notes": "", "ICCIF-species-checked": "predicted", "ICCIF-species-dilution-info": "", "ICCIF-species-notes": "", "FlowCytIntra-species-checked": "predicted", "FlowCytIntra-species-dilution-info": "", "FlowCytIntra-species-notes": "" } } }

Product details

ab238808 is the carrier-free version of ab183330.

What are the advantages of a recombinant monoclonal antibody?
This product is a recombinant monoclonal antibody, which offers several advantages including:

  • - High batch-to-batch consistency and reproducibility
  • - Improved sensitivity and specificity
  • - Long-term security of supply
  • - Animal-free batch production

For more information, read more on recombinant antibodies.

Conjugation ready
Our carrier-free antibodies are typically supplied in a PBS-only formulation, purified and free of BSA, sodium azide and glycerol. This conjugation-ready format is designed for use with fluorochromes, metal isotopes, oligonucleotides, and enzymes, which makes them ideal for antibody labelling, functional and cell-based assays, flow-based assays (e.g. mass cytometry) and Multiplex Imaging applications.

Use our conjugation kits for antibody conjugates that are ready-to-use in as little as 20 minutes with 1 minute hands-on-time and 100% antibody recovery: available for fluorescent dyes, HRP, biotin and gold.

Compatibility
This product is compatible with the Maxpar® Antibody Labeling Kit from Fluidigm, without the need for antibody preparation. Maxpar® is a trademark of Fluidigm Canada Inc.

Properties and storage information

Form
Liquid
Purification technique
Affinity purification Protein A/G
Purification notes
Purified from TCS by protein A/G.
Storage buffer
pH: 7.2 - 7.4 Constituents: PBS
Shipped at conditions
Blue Ice
Appropriate short-term storage conditions
+4°C
Appropriate long-term storage conditions
+4°C
Storage information
Do Not Freeze

Supplementary information

This supplementary information is collated from multiple sources and compiled automatically.

Cytokeratin 17 often called K17 or keratin 17 is a type I intermediate filament protein with a molecular weight of approximately 46 kDa. It forms part of the cytoskeleton in epithelial cells and is notably present in the basal cells of epithelial tissues including the skin hair follicles and the lining of internal organs. Due to its specific expression pattern K17 serves as a useful biomarker in various research and clinical settings.
Biological function summary

The roles of K17 extend beyond mere structural support. This protein contributes to cellular processes such as proliferation tissue repair and the regulation of immune responses. K17 often forms a complex with its partner keratin 6 enabling structural stability and resilience in epithelial cells. Its presence influences the behavior of the cells in skin and other epithelial-lined organs.

Pathways

K17 participates in key pathways related to skin biology and inflammation notably the Wnt/β-catenin and NF-κB signaling pathways. These pathways connect K17 to cellular processes like growth differentiation and inflammation. In particular keratin 6 is another important protein in these cascades closely interacting with K17 in maintenance and repair processes within epithelial tissues.

K17 has been implicated in psoriasis and certain types of cancer such as cervical and breast cancer. In psoriasis an inflammatory skin condition K17 interacts with pro-inflammatory cytokines contributing to the hyperproliferative state of the skin. Its overexpression serves as a marker in diagnosing and understanding the severity of these disorders highlighting its relationship with keratin 6 which is similarly upregulated in psoriatic lesions and certain tumors. These associations make K17 a significant focus for therapeutic targeting and diagnostic applications.

Product protocols

For this product, it's our understanding that no specific protocols are required. You can visit:

Target data

Type I keratin involved in the formation and maintenance of various skin appendages, specifically in determining shape and orientation of hair (By similarity). Required for the correct growth of hair follicles, in particular for the persistence of the anagen (growth) state (By similarity). Modulates the function of TNF-alpha in the specific context of hair cycling. Regulates protein synthesis and epithelial cell growth through binding to the adapter protein SFN and by stimulating Akt/mTOR pathway (By similarity). Involved in tissue repair. May be a marker of basal cell differentiation in complex epithelia and therefore indicative of a certain type of epithelial 'stem cells'. Acts as a promoter of epithelial proliferation by acting a regulator of immune response in skin : promotes Th1/Th17-dominated immune environment contributing to the development of basaloid skin tumors (By similarity). May act as an autoantigen in the immunopathogenesis of psoriasis, with certain peptide regions being a major target for autoreactive T-cells and hence causing their proliferation.
See full target information KRT17

Publications (1)

Recent publications for all applications. Explore the full list and refine your search

Cell reports. Medicine 2:100166 PubMed33521697

2021

A distinct innate immune signature marks progression from mild to severe COVID-19.

Applications

Unspecified application

Species

Unspecified reactive species

Stéphane Chevrier,Yves Zurbuchen,Carlo Cervia,Sarah Adamo,Miro E Raeber,Natalie de Souza,Sujana Sivapatham,Andrea Jacobs,Esther Bachli,Alain Rudiger,Melina Stüssi-Helbling,Lars C Huber,Dominik J Schaer,Jakob Nilsson,Onur Boyman,Bernd Bodenmiller
View all publications

Product promise

We are committed to supporting your work with high-quality reagents, and we're here for you every step of the way. In the unlikely event that one of our products does not perform as expected, you're protected by our Product Promise.
For full details, please see our Terms & Conditions

Please note: All products are 'FOR RESEARCH USE ONLY. NOT FOR USE IN DIAGNOSTIC OR THERAPEUTIC PROCEDURES'.

For licensing inquiries, please contact partnerships@abcam.com