JavaScript is disabled in your browser. Please enable JavaScript to view this website.
AB668

Anti-Cytokeratin 18 antibody [C-04]

5

(26 Reviews)

|

(221 Publications)

Anti-Cytokeratin 18 antibody [C-04] (ab668) is a mouse monoclonal antibody detecting Cytokeratin 18 in Flow Cytometry (Intra), Flow Cytometry, IHC-P. Suitable for Human, Mammals.

- Over 160 publications
- Trusted since 2002

View Alternative Names

CYK18, PIG46, KRT18, Cell proliferation-inducing gene 46 protein, Cytokeratin-18, Keratin-18, CK-18, K18

4 Images
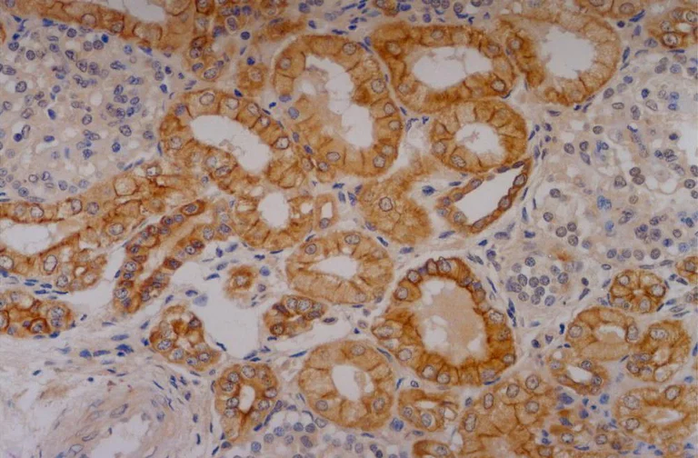
Immunohistochemistry (Formalin/PFA-fixed paraffin-embedded sections) - Anti-Cytokeratin 18 antibody [C-04] (AB668)
  • IHC-P

Supplier Data

Immunohistochemistry (Formalin/PFA-fixed paraffin-embedded sections) - Anti-Cytokeratin 18 antibody [C-04] (AB668)

Immunohistochemistry (paraffin-embedded sections) analysis of human kidney tissue labelling cytokeratin-18 with ab668 at 10μg/ml concentration.

Flow Cytometry (Intracellular) - Anti-Cytokeratin 18 antibody [C-04] (AB668)
  • Flow Cyt (Intra)

Unknown

Flow Cytometry (Intracellular) - Anti-Cytokeratin 18 antibody [C-04] (AB668)

Overlay histogram showing HCT 116 (Human colorectal carcinoma cell line) cells stained with ab668 (red line).

The cells were fixed with methanol (5 min) and then permeabilized with 0.1% PBS-Triton for 20 min. The cells were then incubated in 1x PBS / 10% normal goat serum / 0.3M glycine to block non-specific protein-protein interactions followed by the antibody (ab668, 1μg/1x106 cells) for 30 min at 22°C. The secondary antibody used was DyLight® 488 goat anti-mouse IgG (H+L) (ab96879) at 1/500 dilution for 30 min at 22°C. Isotype control antibody (black line) was mouse IgG1 [ICIGG1] (ab91353, 2μg/1x106 cells) used under the same conditions. Acquisition of >5,000 events was performed. This antibody gave a positive signal in HCT 116 cells fixed with 4% paraformaldehyde/permeabilized in 0.1% PBS-Triton used under the same conditions.

Flow Cytometry (Intracellular) - Anti-Cytokeratin 18 antibody [C-04] (AB668)
  • Flow Cyt (Intra)

Supplier Data

Flow Cytometry (Intracellular) - Anti-Cytokeratin 18 antibody [C-04] (AB668)

Intracellular flow cytometric analysis (intracellular staining) of HeLa cells (human epithelial cell line from cervix adenocarcinoma cell suspension)stained with 0.6μg/ml ab668 (in red), and unstained HeLa cells (black).

Flow Cytometry (Intracellular) - Anti-Cytokeratin 18 antibody [C-04] (AB668)
  • Flow Cyt (Intra)

Supplier Data

Flow Cytometry (Intracellular) - Anti-Cytokeratin 18 antibody [C-04] (AB668)

Flow cytometric pattern (intracellular staining) of HeLa cells (Human epithelial cell line from cervix adenocarcinoma cell suspension) stained with ab668 (0.6 μg/ml concentration)

  • Biotin

    Biotin Anti-Cytokeratin 18 antibody [C-04]

  • 519 FITC

    FITC Anti-Cytokeratin 18 antibody [C-04]

Key facts

Host species

Mouse

Clonality

Monoclonal

Clone number

C-04

Isotype

IgG1

Carrier free

No

Reacts with

Human, Mammals

Applications

Flow Cyt (Intra), IHC-P

applications

Immunogen

Cell preparation containing KRT18 protein. The exact immunogen used to generate this antibody is proprietary information.

P05783

Reactivity data

{ "title": "Reactivity Data", "filters": { "stats": ["", "Species", "Dilution Info", "Notes"], "tabs": { "all-applications": {"fullname" : "All Applications", "shortname": "All Applications"}, "IHCP" : {"fullname" : "Immunohistochemistry (Formalin/PFA-fixed paraffin-embedded sections)", "shortname":"IHC-P"}, "FlowCytIntra" : {"fullname" : "Flow Cytometry (Intracellular)", "shortname":"Flow Cyt (Intra)"} }, "product-promise": { "all": "all", "testedAndGuaranteed": "tested", "guaranteed": "expected", "predicted": "predicted", "notRecommended": "not-recommended" } }, "values": { "Human": { "IHCP-species-checked": "testedAndGuaranteed", "IHCP-species-dilution-info": "10 µg/mL", "IHCP-species-notes": "<p></p> Perform heat-mediated antigen retrieval before commencing with IHC staining protocol.", "FlowCytIntra-species-checked": "testedAndGuaranteed", "FlowCytIntra-species-dilution-info": "1-4 µg/mL", "FlowCytIntra-species-notes": "<p>Also see PMID 18946470. <a href='/en-us/products/primary-antibodies/mouse-igg1-kappa-monoclonal-15-6e10a7-isotype-control-ab170190'>ab170190</a> - Mouse monoclonal IgG1, is suitable for use as an isotype control with this antibody.</p>" }, "Mammals": { "IHCP-species-checked": "guaranteed", "IHCP-species-dilution-info": "10 µg/mL", "IHCP-species-notes": "<p></p> Perform heat-mediated antigen retrieval before commencing with IHC staining protocol.", "FlowCytIntra-species-checked": "guaranteed", "FlowCytIntra-species-dilution-info": "1-4 µg/mL", "FlowCytIntra-species-notes": "<p>Also see PMID 18946470. <a href='/en-us/products/primary-antibodies/mouse-igg1-kappa-monoclonal-15-6e10a7-isotype-control-ab170190'>ab170190</a> - Mouse monoclonal IgG1, is suitable for use as an isotype control with this antibody.</p>" } } }

Product details

What is this antibody validated in?
Anti-Cytokeratin 18 antibody [C-04] (ab668) is a mouse monoclonal antibody and is validated for use in Flow Cytometry (Intra), Flow Cytometry (Flow Cyt), Immunohistochemistry (IHC-P) in Human, Mammals samples.

Trusted by the scientific community
Anti-Cytokeratin 18 [C-04] (ab668) was first used in a scientific publication in 2002 and has been cited over 160 times in peer-reviewed journals.

Reviewed by scientists
Anti-Cytokeratin 18 [C-04] (ab668) has over 25 independent reviews from customers.

Other related products
We have a range of other formats of antibody clone [C-04] also available for your convenience: ab668, Biotin - ab27553, FITC - ab52459

Properties and storage information

Form
Liquid
Purification technique
Affinity purification Protein A
Purification notes
Purified from culture supernatant. Purity >95% by SDS-PAGE.
Storage buffer
pH: 7.4 Preservative: 0.097% Sodium azide Constituents: PBS
Shipped at conditions
Blue Ice
Appropriate short-term storage duration
1-2 weeks
Appropriate short-term storage conditions
+4°C
Appropriate long-term storage conditions
-20°C
Aliquoting information
Upon delivery aliquot
Storage information
Avoid freeze / thaw cycle

Supplementary information

This supplementary information is collated from multiple sources and compiled automatically.

Cytokeratin 18 (CK18) also known as Keratin 18 or KRT18 is a type I intermediate filament protein with a molecular weight of approximately 45 kDa. It plays a mechanical role in stabilizing epithelial cell structure and function. CK18 is expressed in single-layered epithelial tissues such as the liver intestine and pancreas. It partners with the type II keratin usually KRT8 to form a stable cytoskeletal network in these cells providing structural integrity and resilience.
Biological function summary

CK18 maintains cellular integrity and mediates resistance to mechanical and non-mechanical stresses in epithelial cells. It forms heterodimers with KRT8 participating in a complex network of filaments important for maintaining cell shape and stability. This organization plays a role in managing cell survival during stress and apoptosis helping regulate cellular functions and responses in tissues where it is expressed.

Pathways

Cytokeratin 18 is involved in the apoptosis and cellular stress response pathways. It interacts with proteins such as caspases during apoptosis facilitating cytoskeletal reorganization and cell fragmentation. CK18 in coordination with KRT8 also participates in signaling pathways that regulate cell cycle and apoptotic processes underlining its importance in cellular turnover and tissue homeostasis.

Elevated levels of CK18 fragments are often observed in cases of non-alcoholic steatohepatitis (NASH) and breast cancer. It serves as a biomarker for liver injury due to its abundance in hepatocytes and release upon cell death. In breast cancer alterations in CK18 expression can reflect disease progression where it interacts with other proteins such as vimentin indicating epithelial-to-mesenchymal transition a process that facilitates metastasis.

Product protocols

For this product, it's our understanding that no specific protocols are required. You can visit:

Target data

Involved in the uptake of thrombin-antithrombin complexes by hepatic cells (By similarity). When phosphorylated, plays a role in filament reorganization. Involved in the delivery of mutated CFTR to the plasma membrane. Together with KRT8, is involved in interleukin-6 (IL-6)-mediated barrier protection.
See full target information KRT18

Publications (221)

Recent publications for all applications. Explore the full list and refine your search

International journal of molecular sciences 26: PubMed41009497

2025

Generating a Cell Model to Study ER Stress in iPSC-Derived Medium Spiny Neurons from a Patient with Huntington's Disease.

Applications

Unspecified application

Species

Unspecified reactive species

Vladlena S Makeeva,Anton Yu Sivkov,Suren M Zakian,Anastasia A Malakhova

Cell death & disease 16:542 PubMed40691131

2025

HIF-1α alleviates ferroptosis in ulcerative colitis by regulation of GPX4.

Applications

Unspecified application

Species

Unspecified reactive species

Weitao Hu,Yanliang Cai,Daxing Cai,Zongchi Chen,Siying Huang,Su Zhang,Huie Zhuang,Taiyong Fang,Xiaoqing Chen

American journal of reproductive immunology (New York, N.Y. : 1989) 93:e70106 PubMed40454815

2025

The Impacts of TNF-α-Induced Inflammation on Amnion Epithelial Cells: Exploring Stem Cell Gene Expression, Senescence, Inflammatory Responses, and Cellular Transition.

Applications

Unspecified application

Species

Unspecified reactive species

Madhuri Tatiparthy,Ananth Kumar Kammala,Rheanna Urrabaz-Garza,Tilu Jain Thomas,Souvik Paul,Jaganmoy Choudhury,Ramkumar Menon,Lauren S Richardson

Life (Basel, Switzerland) 15: PubMed40283162

2025

3D Spheroid Cultures for Salivary Gland Tissue Engineering: Effects of Fibroblast on Epithelial Cell Function.

Applications

Unspecified application

Species

Unspecified reactive species

Lan Thi Phuong Nguyen,Joo Hyun Kim,Jiwon Son,Sung Sik Hur,Minyong Lee,Hyung Kwon Byeon,Jin-Young Kim,Myung Jin Ban,Joo Hyun Kim,Man Ryul Lee,Jae Hong Park,Yongsung Hwang

MedComm 6:e70173 PubMed40276644

2025

Hypoxia-Driven Neurovascular Impairment Underlies Structural-Functional Dissociation in Diabetic Sudomotor Dysfunction.

Applications

Unspecified application

Species

Unspecified reactive species

Xu Guo,Chao Zhang,Yuzhen Wang,Zhao Li,Yaxin Tan,Dongzhen Zhu,Wei Song,Yi Kong,Jinpeng Du,Yuyan Huang,Liting Liang,Jianjun Li,Mengde Zhang,Linhao Hou,Qinhua Liu,Feng Tian,Bingyang Yu,Yue Kong,Zhenyu Zhou,Xiaobing Fu,Sha Huang

Cell reports. Medicine 6:102053 PubMed40187357

2025

CAN-Scan: A multi-omic phenotype-driven precision oncology platform identifies prognostic biomarkers of therapy response for colorectal cancer.

Applications

Unspecified application

Species

Unspecified reactive species

Shumei Chia,Justine Jia Wen Seow,Rafael Peres da Silva,Chayaporn Suphavilai,Niranjan Shirgaonkar,Maki Murata-Hori,Xiaoqian Zhang,Elena Yaqing Yong,Jiajia Pan,Matan Thangavelu Thangavelu,Giridharan Periyasamy,Aixin Yap,Padmaja Anand,Daniel Muliaditan,Yun Shen Chan,Wang Siyu,Chua Wei Yong,Nguyen Hong,Gao Ran,Ngak Leng Sim,Yu Amanda Guo,Andrea Xin Yi Teh,Clarinda Chua Wei Ling,Emile Kwong Wei Tan,Fu Wan Pei Cherylin,Meihuan Chang,Shuting Han,Isaac Seow-En,Lionel Raphael Chen Hui,Anna Hwee Hsia Gan,Choon Kong Yap,Huck Hui Ng,Anders Jacobsen Skanderup,Vitoon Chinswangwatanakul,Woramin Riansuwan,Atthaphorn Trakarnsanga,Manop Pithukpakorn,Pariyada Tanjak,Amphun Chaiboonchoe,Daye Park,Dong Keon Kim,Narayanan Gopalakrishna Iyer,Petros Tsantoulis,Sabine Tejpar,Jung Eun Kim,Tae Il Kim,Somponnat Sampattavanich,Iain Beehuat Tan,Niranjan Nagarajan,Ramanuj DasGupta

Vavilovskii zhurnal genetiki i selektsii 29:15-25 PubMed40144372

2025

Generation and characterisation of seven induced pluripotent stem cell lines from two patients with Parkinson's disease carrying the pathological variant c.1087G>T of the LGR4 gene.

Applications

Unspecified application

Species

Unspecified reactive species

V S Podvysotskaya,E V Grigor'eva,A A Malakhova,J M Minina,Y V Vyatkin,E A Khabarova,J A Rzaev,S P Medvedev,L V Kovalenko,S M Zakian

Oncology letters 29:222 PubMed40103599

2025

Synchronous occurrence of primary gastric and liver cancer: A case report.

Applications

Unspecified application

Species

Unspecified reactive species

Xiaomin Zhang,Xiaoying Han

International journal of molecular sciences 26: PubMed40076861

2025

Determining Sex-Specific Gene Expression Differences in Human Chorion Trophoblast Cells.

Applications

Unspecified application

Species

Unspecified reactive species

Daphne D Arena Goncharov,Ryan C V Lintao,Rheanna Urrabaz-Garza,Enkhtuya Radnaa,Ananth K Kammala,Lauren S Richardson,Ramkumar Menon

The veterinary quarterly 45:1-14 PubMed39921381

2025

The secretomes of bovine mammary epithelial cell subpopulations differentially modulate macrophage function.

Applications

Unspecified application

Species

Unspecified reactive species

Nikola Danev,Rebecca M Harman,Anja S Sipka,Leanne Oliveira,Lucas Huntimer,Gerlinde R Van de Walle
View all publications

Product promise

We are committed to supporting your work with high-quality reagents, and we're here for you every step of the way. In the unlikely event that one of our products does not perform as expected, you're protected by our Product Promise.
For full details, please see our Terms & Conditions

Please note: All products are 'FOR RESEARCH USE ONLY. NOT FOR USE IN DIAGNOSTIC OR THERAPEUTIC PROCEDURES'.

For licensing inquiries, please contact partnerships@abcam.com