JavaScript is disabled in your browser. Please enable JavaScript to view this website.
AB193557

Anti-Cytokeratin 18 antibody [E431-1] - BSA and Azide free

Be the first to review this product! Submit a review

|

(1 Publication)

Rabbit Recombinant Monoclonal Cytokeratin 18 antibody. Carrier free. Suitable for WB, ICC/IF, Flow Cyt (Intra), IHC-P and reacts with Human samples. Cited in 1 publication.

View Alternative Names

CYK18, PIG46, KRT18, Cell proliferation-inducing gene 46 protein, Cytokeratin-18, Keratin-18, CK-18, K18

12 Images
Immunohistochemistry (Formalin/PFA-fixed paraffin-embedded sections) - Anti-Cytokeratin 18 antibody [E431-1] - BSA and Azide free (AB193557)
  • IHC-P

Unknown

Immunohistochemistry (Formalin/PFA-fixed paraffin-embedded sections) - Anti-Cytokeratin 18 antibody [E431-1] - BSA and Azide free (AB193557)

ab32118 showing positive staining in Breast carcinoma tissue.

This data was developed using the same antibody clone in a different buffer formulation containing PBS, BSA, glycerol, and sodium azide (ab32118).

Flow Cytometry (Intracellular) - Anti-Cytokeratin 18 antibody [E431-1] - BSA and Azide free (AB193557)
  • Flow Cyt (Intra)

Unknown

Flow Cytometry (Intracellular) - Anti-Cytokeratin 18 antibody [E431-1] - BSA and Azide free (AB193557)

Intracellular Flow Cytometry analysis of MCF7 (Human breast adenocarcinoma epithelial cell) cells labeling Cytokeratin 18 with purified ab32118 at 1/20 dilution (2μg/ml) (red). Cells were fixed with 80% Methanol and permeabilised with 0.1% Tween-20. A Goat anti rabbit IgG (Alexa Fluorr® 488, ab150077) secondary antibody was used at 1/2000. Isotype control - Rabbit monoclonal IgG (Black). Unlabeled control - Cell without incubation with primary antibody and secondary antibody (Blue).

This data was developed using the same antibody clone in a different buffer formulation containing PBS, BSA, glycerol, and sodium azide (ab32118).

Immunohistochemistry (Formalin/PFA-fixed paraffin-embedded sections) - Anti-Cytokeratin 18 antibody [E431-1] - BSA and Azide free (AB193557)
  • IHC-P

Unknown

Immunohistochemistry (Formalin/PFA-fixed paraffin-embedded sections) - Anti-Cytokeratin 18 antibody [E431-1] - BSA and Azide free (AB193557)

Fluorescent immunohistochemical analysis of paraffin-embedded human normal kidney tissue using ab32118. Green-CK18 red-PI

This data was developed using the same antibody clone in a different buffer formulation containing PBS, BSA, glycerol, and sodium azide (ab32118).

Immunocytochemistry/ Immunofluorescence - Anti-Cytokeratin 18 antibody [E431-1] - BSA and Azide free (AB193557)
  • ICC/IF

Unknown

Immunocytochemistry/ Immunofluorescence - Anti-Cytokeratin 18 antibody [E431-1] - BSA and Azide free (AB193557)

Immunocytochemistry/Immunofluorescence analysis of HT-29 cells labelling Cytokeratin 18 with purified ab32118 at 1/500. Cells were fixed with 100% Methanol. An Alexa Fluor® 488-conjugated goat anti-rabbit IgG (ab150077) at 1/1000 dilution was used as the secondary antibody. The cells were co-stained with ab7291, a mouse anti-tubulin antibody (1/1000) using ab150120, an Alexa Fluor® 594-conjugated goat anti-mouse IgG (1/1000) as the secondary antibody. Nuclei were counterstained with DAPI (blue).

For negative control 1, rabbit primary antibody was used followed by anti-mouse secondary antibody (ab150120).
For negative control 2, mouse primary antibody (ab7291) and anti-rabbit secondary antibody (ab150077) were used.

This data was developed using the same antibody clone in a different buffer formulation containing PBS, BSA, glycerol, and sodium azide (ab32118).

Flow Cytometry (Intracellular) - Anti-Cytokeratin 18 antibody [E431-1] - BSA and Azide free (AB193557)
  • Flow Cyt (Intra)

Lab

Flow Cytometry (Intracellular) - Anti-Cytokeratin 18 antibody [E431-1] - BSA and Azide free (AB193557)

This data was developed using the same antibody clone in a different buffer formulation containing PBS, BSA, glycerol, and sodium azide (ab32118).

Flow cytometry overlay histogram showing left MCF7 positive cells and right negative A375 stained with ab32118 (red line). The cells were fixed with 80% methanol (5 min) and then permeabilised with 0.1% PBS-Triton X-100 for 15 min. The cells were then incubated in 1x PBS containing 10% normal goat serum to block non-specific protein-protein interaction followed by the antibody (ab32118) (1x 106 in 100μl at 0.008μg/ml (1/258750)) for 30min at 22°C.

The secondary antibody Goat Anti-Rabbit IgG H&L (Alexa Fluor® 488) preadsorbed was incubated at 1/4000 for 30min at 22°C

Isotype control antibody (black line) was Recombinant Rabbit IgG, monoclonal [EPR25A] - Isotype Control used at the same concentration and conditions as the primary antibody. Unlabelled sample (blue line) was also used as a control.

Acquisition of >5000 events were collected using a 50 mW Blue laser (488nm) and 525/40 bandpass filter.

This antibody gave a positive signal in MCF7 Fixed with 4% formaldehyde (10 min) / permeabilised with 0.1% PBS-Triton X-100 for 15 min under the same conditions.

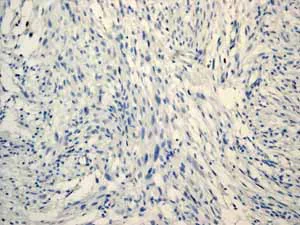
Immunohistochemistry (Formalin/PFA-fixed paraffin-embedded sections) - Anti-Cytokeratin 18 antibody [E431-1] - BSA and Azide free (AB193557)
  • IHC-P

Unknown

Immunohistochemistry (Formalin/PFA-fixed paraffin-embedded sections) - Anti-Cytokeratin 18 antibody [E431-1] - BSA and Azide free (AB193557)

ab32118 showing negative staining in Glioma tissue.

This data was developed using the same antibody clone in a different buffer formulation containing PBS, BSA, glycerol, and sodium azide (ab32118).

Immunohistochemistry (Formalin/PFA-fixed paraffin-embedded sections) - Anti-Cytokeratin 18 antibody [E431-1] - BSA and Azide free (AB193557)
  • IHC-P

Unknown

Immunohistochemistry (Formalin/PFA-fixed paraffin-embedded sections) - Anti-Cytokeratin 18 antibody [E431-1] - BSA and Azide free (AB193557)

ab32118 showing positive staining in Normal kidney tissue.

This data was developed using the same antibody clone in a different buffer formulation containing PBS, BSA, glycerol, and sodium azide (ab32118).

Immunohistochemistry (Formalin/PFA-fixed paraffin-embedded sections) - Anti-Cytokeratin 18 antibody [E431-1] - BSA and Azide free (AB193557)
  • IHC-P

Unknown

Immunohistochemistry (Formalin/PFA-fixed paraffin-embedded sections) - Anti-Cytokeratin 18 antibody [E431-1] - BSA and Azide free (AB193557)

ab32118 showing negative staining in Normal brain tissue.

This data was developed using the same antibody clone in a different buffer formulation containing PBS, BSA, glycerol, and sodium azide (ab32118).

Immunohistochemistry (Formalin/PFA-fixed paraffin-embedded sections) - Anti-Cytokeratin 18 antibody [E431-1] - BSA and Azide free (AB193557)
  • IHC-P

Unknown

Immunohistochemistry (Formalin/PFA-fixed paraffin-embedded sections) - Anti-Cytokeratin 18 antibody [E431-1] - BSA and Azide free (AB193557)

Immunohistochemistry (Formalin/PFA-fixed paraffin-embedded sections) analysis of Human stomach tissue sections labeling Cytokeratin 18 with purified ab32118 at 1/500 dilution (0.08 μg/ml). Perform heat mediated antigen retrieval using ab93684 (Tris/EDTA buffer, pH 9.0). ImmunoHistoProbe one step HRP Polymer (ready to use) was used as the secondary antibody. Negative control : PBS instead of the primary antibody. Hematoxylin was used as a counterstain.

This data was developed using the same antibody clone in a different buffer formulation containing PBS, BSA, glycerol, and sodium azide (ab32118).

Immunohistochemistry (Formalin/PFA-fixed paraffin-embedded sections) - Anti-Cytokeratin 18 antibody [E431-1] - BSA and Azide free (AB193557)
  • IHC-P

Unknown

Immunohistochemistry (Formalin/PFA-fixed paraffin-embedded sections) - Anti-Cytokeratin 18 antibody [E431-1] - BSA and Azide free (AB193557)

ab32118 showing positive staining in Normal colon tissue.

This data was developed using the same antibody clone in a different buffer formulation containing PBS, BSA, glycerol, and sodium azide (ab32118).

Flow Cytometry (Intracellular) - Anti-Cytokeratin 18 antibody [E431-1] - BSA and Azide free (AB193557)
  • Flow Cyt (Intra)

Unknown

Flow Cytometry (Intracellular) - Anti-Cytokeratin 18 antibody [E431-1] - BSA and Azide free (AB193557)

Overlay histogram showing MCF7 cells stained with ab32118 (red line). The cells were fixed with 80% methanol (5 min) and then permeabilized with 0.1% PBS-Tween for 20 min. The cells were then incubated in 1x PBS / 10% normal goat serum / 0.3M glycine to block non-specific protein-protein interactions followed by the antibody (ab32118, 1/100 dilution) for 30 min at 22°C. The secondary antibody used was DyLight® 488 goat anti-rabbit IgG (H+L) (ab96899) at 1/500 dilution for 30 min at 22°C. Isotype control antibody (black line) was rabbit IgG (monoclonal) (1μg/1x106 cells) used under the same conditions. Acquisition of >5,000 events was performed. This antibody gave a positive signal in MCF7 cells fixed with 4% paraformaldehyde (10 min)/permeabilized with 0.1% PBS-Tween for 20 min used under the same conditions. This data was developed using the same antibody clone in a different buffer formulation containing PBS, BSA, glycerol, and sodium azide (ab32118).

Immunohistochemistry (Formalin/PFA-fixed paraffin-embedded sections) - Anti-Cytokeratin 18 antibody [E431-1] - BSA and Azide free (AB193557)
  • IHC-P

Unknown

Immunohistochemistry (Formalin/PFA-fixed paraffin-embedded sections) - Anti-Cytokeratin 18 antibody [E431-1] - BSA and Azide free (AB193557)

ab32118 showing positive staining in Gastric adenocarcinoma tissue.

This data was developed using the same antibody clone in a different buffer formulation containing PBS, BSA, glycerol, and sodium azide (ab32118).

  • Unconjugated

    Anti-Cytokeratin 18 antibody [E431-1]

  • 578 PE

    PE Anti-Cytokeratin 18 antibody [E431-1]

  • 665 Alexa Fluor® 647

    Alexa Fluor® 647 Anti-Cytokeratin 18 antibody [E431-1]

  • 519 Alexa Fluor® 488

    Alexa Fluor® 488 Anti-Cytokeratin 18 antibody [E431-1]

Key facts

Host species

Rabbit

Clonality

Monoclonal

Clone number

E431-1

Isotype

IgG

Carrier free

Yes

Reacts with

Human

Applications

Flow Cyt (Intra), WB, IHC-P, ICC/IF

applications

Immunogen

The exact immunogen used to generate this antibody is proprietary information.

Specificity

Human Cytokeratin 18 (K18) was used as immunogen after isolation from cells pre-treated with okadaic acid or pervanadate to promote Tyr hyperphosphorylation.

Reactivity data

{ "title": "Reactivity Data", "filters": { "stats": ["", "Species", "Dilution Info", "Notes"], "tabs": { "all-applications": {"fullname" : "All Applications", "shortname": "All Applications"}, "WB" : {"fullname" : "Western blot", "shortname":"WB"}, "ICCIF" : {"fullname" : "Immunocytochemistry/ Immunofluorescence", "shortname":"ICC/IF"}, "FlowCytIntra" : {"fullname" : "Flow Cytometry (Intracellular)", "shortname":"Flow Cyt (Intra)"}, "IHCP" : {"fullname" : "Immunohistochemistry (Formalin/PFA-fixed paraffin-embedded sections)", "shortname":"IHC-P"} }, "product-promise": { "all": "all", "testedAndGuaranteed": "tested", "guaranteed": "expected", "predicted": "predicted", "notRecommended": "not-recommended" } }, "values": { "Human": { "WB-species-checked": "guaranteed", "WB-species-dilution-info": "", "WB-species-notes": "<p></p>", "ICCIF-species-checked": "testedAndGuaranteed", "ICCIF-species-dilution-info": "", "ICCIF-species-notes": "<p></p>", "FlowCytIntra-species-checked": "testedAndGuaranteed", "FlowCytIntra-species-dilution-info": "", "FlowCytIntra-species-notes": "<p><a href='/en-us/products/primary-antibodies/rabbit-igg-monoclonal-epr25a-isotype-control-low-endotoxin-azide-free-ab199376'>ab199376</a> - Rabbit monoclonal IgG, is suitable for use as an isotype control with this antibody.</p>", "IHCP-species-checked": "testedAndGuaranteed", "IHCP-species-dilution-info": "", "IHCP-species-notes": "<p></p>" } } }

Product details

ab193557 is the carrier-free version of ab32118.

Patented technology
Our RabMAb® technology is a patented hybridoma-based technology for making rabbit monoclonal antibodies. For details on our patents, please refer to RabMAb® patents.

What are the advantages of a recombinant monoclonal antibody?
This product is a recombinant monoclonal antibody, which offers several advantages including:

  • - High batch-to-batch consistency and reproducibility
  • - Improved sensitivity and specificity
  • - Long-term security of supply
  • - Animal-free batch production

For more information, read more on recombinant antibodies.

Conjugation ready
Our carrier-free antibodies are typically supplied in a PBS-only formulation, purified and free of BSA, sodium azide and glycerol. This conjugation-ready format is designed for use with fluorochromes, metal isotopes, oligonucleotides, and enzymes, which makes them ideal for antibody labelling, functional and cell-based assays, flow-based assays (e.g. mass cytometry) and Multiplex Imaging applications.

Use our conjugation kits for antibody conjugates that are ready-to-use in as little as 20 minutes with 1 minute hands-on-time and 100% antibody recovery: available for fluorescent dyes, HRP, biotin and gold.

Compatibility
This product is compatible with the Maxpar® Antibody Labeling Kit from Fluidigm, without the need for antibody preparation. Maxpar® is a trademark of Fluidigm Canada Inc.

Properties and storage information

Form
Liquid
Purification technique
Affinity purification Protein A
Storage buffer
pH: 7.2 - 7.4 Constituents: PBS
Shipped at conditions
Blue Ice
Appropriate short-term storage conditions
+4°C
Appropriate long-term storage conditions
+4°C
Storage information
Do Not Freeze

Supplementary information

This supplementary information is collated from multiple sources and compiled automatically.

Cytokeratin 18 (CK18) also known as Keratin 18 or KRT18 is a type I intermediate filament protein with a molecular weight of approximately 45 kDa. It plays a mechanical role in stabilizing epithelial cell structure and function. CK18 is expressed in single-layered epithelial tissues such as the liver intestine and pancreas. It partners with the type II keratin usually KRT8 to form a stable cytoskeletal network in these cells providing structural integrity and resilience.
Biological function summary

CK18 maintains cellular integrity and mediates resistance to mechanical and non-mechanical stresses in epithelial cells. It forms heterodimers with KRT8 participating in a complex network of filaments important for maintaining cell shape and stability. This organization plays a role in managing cell survival during stress and apoptosis helping regulate cellular functions and responses in tissues where it is expressed.

Pathways

Cytokeratin 18 is involved in the apoptosis and cellular stress response pathways. It interacts with proteins such as caspases during apoptosis facilitating cytoskeletal reorganization and cell fragmentation. CK18 in coordination with KRT8 also participates in signaling pathways that regulate cell cycle and apoptotic processes underlining its importance in cellular turnover and tissue homeostasis.

Elevated levels of CK18 fragments are often observed in cases of non-alcoholic steatohepatitis (NASH) and breast cancer. It serves as a biomarker for liver injury due to its abundance in hepatocytes and release upon cell death. In breast cancer alterations in CK18 expression can reflect disease progression where it interacts with other proteins such as vimentin indicating epithelial-to-mesenchymal transition a process that facilitates metastasis.

Product protocols

For this product, it's our understanding that no specific protocols are required. You can visit:

Target data

Involved in the uptake of thrombin-antithrombin complexes by hepatic cells (By similarity). When phosphorylated, plays a role in filament reorganization. Involved in the delivery of mutated CFTR to the plasma membrane. Together with KRT8, is involved in interleukin-6 (IL-6)-mediated barrier protection.
See full target information KRT18

Publications (1)

Recent publications for all applications. Explore the full list and refine your search

Frontiers in veterinary science 12:1661930 PubMed41070386

2025

Different responses of luminal and glandular epithelium during mouse embryo implantation.

Applications

Unspecified application

Species

Unspecified reactive species

Wenjing Cui,Xiangrui Guan,Peisen Liu,Qi-Xin Xu,Juan Xie,Yaqi Jiao,Lin Jin,Peng-Chao Wang,Zhenshan Yang
View all publications

Product promise

We are committed to supporting your work with high-quality reagents, and we're here for you every step of the way. In the unlikely event that one of our products does not perform as expected, you're protected by our Product Promise.
For full details, please see our Terms & Conditions

Please note: All products are 'FOR RESEARCH USE ONLY. NOT FOR USE IN DIAGNOSTIC OR THERAPEUTIC PROCEDURES'.

For licensing inquiries, please contact partnerships@abcam.com