JavaScript is disabled in your browser. Please enable JavaScript to view this website.
AB315097

Anti-Cytokeratin 18 antibody [RM1051] - BSA and Azide free

Be the first to review this product! Submit a review

|

(0 Publication)

Rabbit Recombinant Multiclonal Cytokeratin 18 antibody. Carrier free. Suitable for WB, IHC-P, ICC/IF, Flow Cyt (Intra), IP and reacts with Human, Mouse, Rat samples.

View Alternative Names

CYK18, PIG46, KRT18, Cell proliferation-inducing gene 46 protein, Cytokeratin-18, Keratin-18, CK-18, K18

17 Images
Immunohistochemistry (Formalin/PFA-fixed paraffin-embedded sections) - Anti-Cytokeratin 18 antibody [RM1051] - BSA and Azide free (AB315097)
  • IHC-P

Supplier Data

Immunohistochemistry (Formalin/PFA-fixed paraffin-embedded sections) - Anti-Cytokeratin 18 antibody [RM1051] - BSA and Azide free (AB315097)

This data was developed using ab315096, the same antibody clone in a different buffer formulation.

Immunohistochemical analysis of paraffin-embedded Human cerebrum tissue labeling Cytokeratin 18 with ab315096 at 1/500 (0.948 ug/ml) dilution, followed by a ready to use LeicaDS9800 (Bond™ Polymer Refine Detection).

Negative control : no staining on human cerebrum. The section was incubated with ab315096 for 30 mins at room temperature. The immunostaining was performed on a Leica Biosystems BOND® RX instrument Counterstained with Hematoxylin.

Secondary antibody only control : Secondary antibody is a ready to use LeicaDS9800 (Bond™ Polymer Refine Detection).

Heat mediated antigen retrieval was performed with Citrate buffer (pH 6.0, Epitope Retrieval Solution 1) for 20 mins

Flow Cytometry (Intracellular) - Anti-Cytokeratin 18 antibody [RM1051] - BSA and Azide free (AB315097)
  • Flow Cyt (Intra)

Supplier Data

Flow Cytometry (Intracellular) - Anti-Cytokeratin 18 antibody [RM1051] - BSA and Azide free (AB315097)

This data was developed using ab315096, the same antibody clone in a different buffer formulation.

Flow cytometric analysis of 4% paraformaldehyde fixed 90% methanol permeabilized Molt-4 (human lymphoblastic leukemia T lymphoblast, Left) / A431 (human epidermoid carcinoma epithelial cell, Right) cells labelling Cytokeratin 18 with ab315096 at 1/500 dilution (0.1 ug, Red) compared with a Rabbit monoclonal IgG (ab172730) (Black) isotype control and an unlabelled control (cells without incubation with primary antibody and secondary antibody) (Blue).

Goat Anti-Rabbit IgG (Alexa Fluor® 488, ab150081) at 1/5000 dilution was used as the secondary antibody.

Negative control : Molt-4.

Immunocytochemistry/ Immunofluorescence - Anti-Cytokeratin 18 antibody [RM1051] - BSA and Azide free (AB315097)
  • ICC/IF

Supplier Data

Immunocytochemistry/ Immunofluorescence - Anti-Cytokeratin 18 antibody [RM1051] - BSA and Azide free (AB315097)

This data was developed using ab315096, the same antibody clone in a different buffer formulation.

Immunofluorescent analysis of 4% Paraformaldehyde-fixed, 0.1% TritonX-100 permeabilized A431 (human epidermoid carcinoma epithelial cell) cells labelling Cytokeratin 18 with ab315096 at 1/50 (9.48 ug/ml) dilution, followed by ab150081 Goat Anti-Rabbit IgG H&L (Alexa Fluor® 488) preadsorbed antibody at 1/1000 (2 ug/ml) dilution (Green).

Confocal image showing cytoplasmic staining in A431 cell line. Negative control : MOLT-4.Image was taken with a confocal microscope(Leica-Microsystems, TCS SP8).

ab7291 Anti-alpha Tubulin mouse monoclonal antibody was used to counterstain tubulin at 1/1000 (1 ug/ml) dilution (Red). The Nuclear counterstain was DAPI (Blue).

Secondary antibody only control : Secondary antibody is ab150081 Goat Anti-Rabbit IgG H&L (Alexa Fluor® 488) preadsorbed at 1/1000 (2 ug/ml) dilution.

Immunohistochemistry (Formalin/PFA-fixed paraffin-embedded sections) - Anti-Cytokeratin 18 antibody [RM1051] - BSA and Azide free (AB315097)
  • IHC-P

Supplier Data

Immunohistochemistry (Formalin/PFA-fixed paraffin-embedded sections) - Anti-Cytokeratin 18 antibody [RM1051] - BSA and Azide free (AB315097)

This data was developed using ab315096, the same antibody clone in a different buffer formulation.

Immunohistochemical analysis of paraffin-embedded Human skeletal muscle tissue labeling Cytokeratin 18 with ab315096 at 1/500 (0.948 ug/ml) dilution, followed by a ready to use LeicaDS9800 (Bond™ Polymer Refine Detection).

Negative control : no staining on human skeletal muscle. The section was incubated with ab315096 for 30 mins at room temperature. The immunostaining was performed on a Leica Biosystems BOND® RX instrument Counterstained with Hematoxylin.

Secondary antibody only control : Secondary antibody is a ready to use LeicaDS9800 (Bond™ Polymer Refine Detection).

Heat mediated antigen retrieval was performed with Citrate buffer (pH 6.0, Epitope Retrieval Solution 1) for 20 mins

Immunohistochemistry (Formalin/PFA-fixed paraffin-embedded sections) - Anti-Cytokeratin 18 antibody [RM1051] - BSA and Azide free (AB315097)
  • IHC-P

Supplier Data

Immunohistochemistry (Formalin/PFA-fixed paraffin-embedded sections) - Anti-Cytokeratin 18 antibody [RM1051] - BSA and Azide free (AB315097)

This data was developed using ab315096, the same antibody clone in a different buffer formulation.

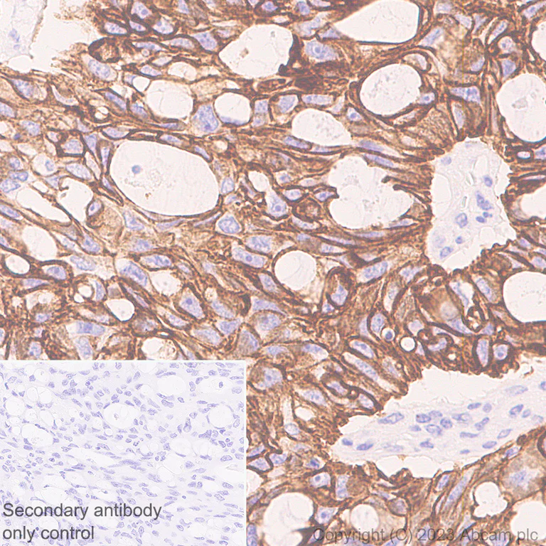
Immunohistochemical analysis of paraffin-embedded Human ovarian cancer tissue labeling Cytokeratin 18 with ab315096 at 1/500 (0.948 ug/ml) dilution, followed by a ready to use LeicaDS9800 (Bond™ Polymer Refine Detection).

Positive staining on human ovarian cancer. The section was incubated with ab315096 for 30 mins at room temperature. The immunostaining was performed on a Leica Biosystems BOND® RX instrument Counterstained with Hematoxylin.

Secondary antibody only control : Secondary antibody is a ready to use LeicaDS9800 (Bond™ Polymer Refine Detection).

Heat mediated antigen retrieval was performed with Citrate buffer (pH 6.0, Epitope Retrieval Solution 1) for 20 mins

Immunohistochemistry (Formalin/PFA-fixed paraffin-embedded sections) - Anti-Cytokeratin 18 antibody [RM1051] - BSA and Azide free (AB315097)
  • IHC-P

Supplier Data

Immunohistochemistry (Formalin/PFA-fixed paraffin-embedded sections) - Anti-Cytokeratin 18 antibody [RM1051] - BSA and Azide free (AB315097)

This data was developed using ab315096, the same antibody clone in a different buffer formulation.

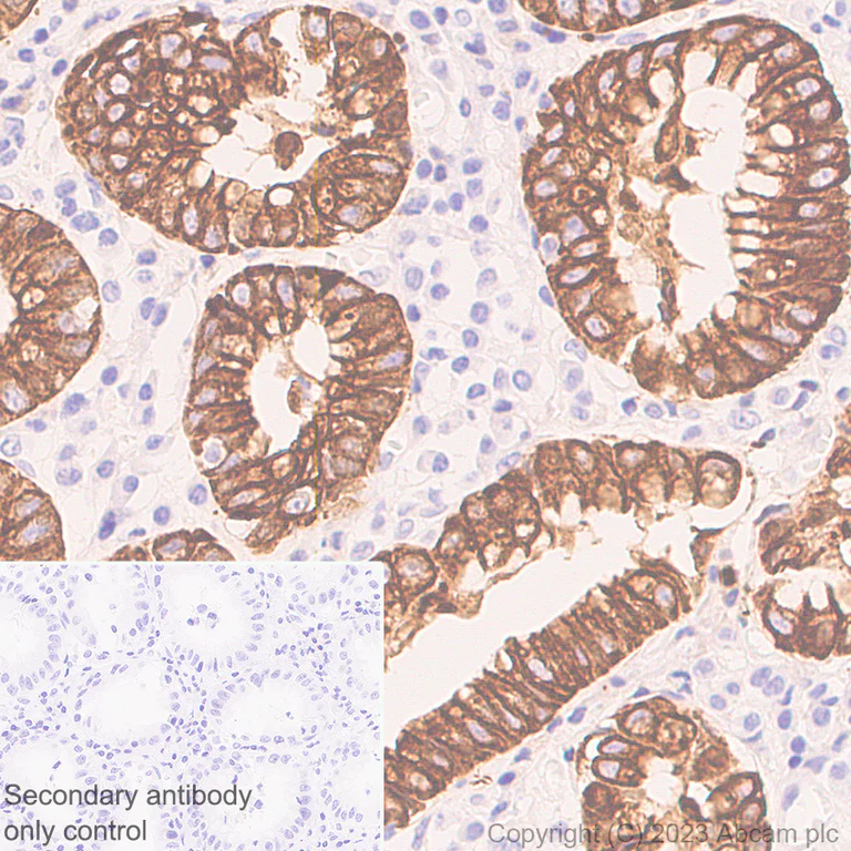
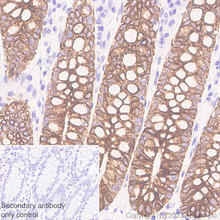
Immunohistochemical analysis of paraffin-embedded Human colon tissue labeling Cytokeratin 18 with ab315096 at 1/500 (0.948 ug/ml) dilution, followed by a ready to use LeicaDS9800 (Bond™ Polymer Refine Detection).

Positive staining on human colon.The section was incubated with ab315096 for 30 mins at room temperature. The immunostaining was performed on a Leica Biosystems BOND® RX instrument Counterstained with Hematoxylin.

Secondary antibody only control : Secondary antibody is a ready to use LeicaDS9800 (Bond™ Polymer Refine Detection).

Heat mediated antigen retrieval was performed with Citrate buffer (pH 6.0, Epitope Retrieval Solution 1) for 20 mins

Immunohistochemistry (Formalin/PFA-fixed paraffin-embedded sections) - Anti-Cytokeratin 18 antibody [RM1051] - BSA and Azide free (AB315097)
  • IHC-P

Supplier Data

Immunohistochemistry (Formalin/PFA-fixed paraffin-embedded sections) - Anti-Cytokeratin 18 antibody [RM1051] - BSA and Azide free (AB315097)

This data was developed using ab315096, the same antibody clone in a different buffer formulation.

Immunohistochemical analysis of paraffin-embedded Human stomach tissue labeling Cytokeratin 18 with ab315096 at 1/500 (0.948 ug/ml) dilution, followed by a ready to use LeicaDS9800 (Bond™ Polymer Refine Detection).

Positive staining on human stomach. The section was incubated with ab315096 for 30 mins at room temperature. The immunostaining was performed on a Leica Biosystems BOND® RX instrument Counterstained with Hematoxylin.

Secondary antibody only control : Secondary antibody is a ready to use LeicaDS9800 (Bond™ Polymer Refine Detection).

Heat mediated antigen retrieval was performed with Citrate buffer (pH 6.0, Epitope Retrieval Solution 1) for 20 mins

Immunohistochemistry (Formalin/PFA-fixed paraffin-embedded sections) - Anti-Cytokeratin 18 antibody [RM1051] - BSA and Azide free (AB315097)
  • IHC-P

Supplier Data

Immunohistochemistry (Formalin/PFA-fixed paraffin-embedded sections) - Anti-Cytokeratin 18 antibody [RM1051] - BSA and Azide free (AB315097)

This data was developed using ab315096, the same antibody clone in a different buffer formulation.

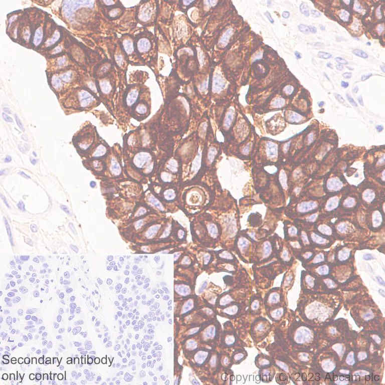
Immunohistochemical analysis of paraffin-embedded Human gastric cancer tissue labeling Cytokeratin 18 with ab315096 at 1/500 (0.948 ug/ml) dilution, followed by a ready to use LeicaDS9800 (Bond™ Polymer Refine Detection).

Positive staining on human gastric cancer. The section was incubated with ab315096 for 30 mins at room temperature. The immunostaining was performed on a Leica Biosystems BOND® RX instrument Counterstained with Hematoxylin.

Secondary antibody only control : Secondary antibody is a ready to use LeicaDS9800 (Bond™ Polymer Refine Detection).

Heat mediated antigen retrieval was performed with Citrate buffer (pH 6.0, Epitope Retrieval Solution 1) for 20 mins

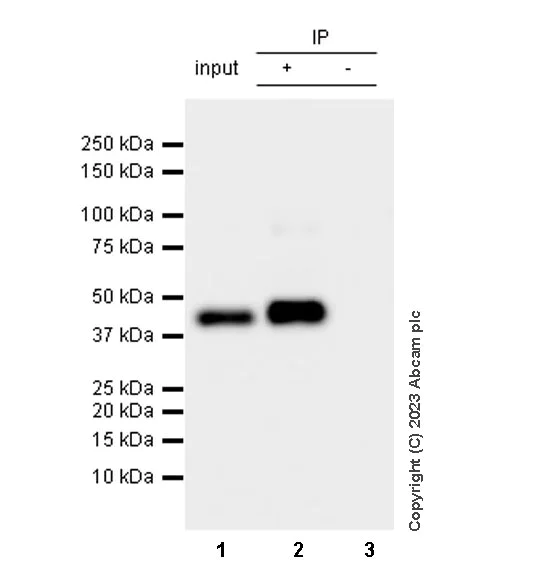
Immunoprecipitation - Anti-Cytokeratin 18 antibody [RM1051] - BSA and Azide free (AB315097)
  • IP

Supplier Data

Immunoprecipitation - Anti-Cytokeratin 18 antibody [RM1051] - BSA and Azide free (AB315097)

This data was developed using ab315096, the same antibody clone in a different buffer formulation.

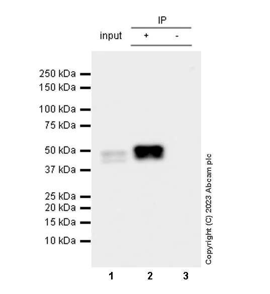
Cytokeratin 18 was immunoprecipitated from 0.35 mg A431 (human epidermoid carcinoma epithelial cell) whole cell lysate with ab315096 at 1/30 dilution (2ug in 0.35mg lysates). Western blot was performed on the immunoprecipitate using ab315096 at 1/1000 dilution. VeriBlot for IP secondary antibody(HRP)(ab131366) was used at 1/5000 dilution.

Lane 1 : A431 (human epidermoid carcinoma epithelial cell) whole cell lysate

Lane 2 : ab315096 IP in A431 (human epidermoid carcinoma epithelial cell) whole cell lysate

Lane 3 : Rabbit monoclonal IgG (ab172730) instead of ab315096 in A431 whole cell lysate

Blocking and dilution buffer and concentration : 5% NFDM/TBST.

All lanes:

Immunoprecipitation - Anti-Cytokeratin 18 antibody [RM1051] (<a href='/en-us/products/primary-antibodies/cytokeratin-18-antibody-rm1051-ab315096'>ab315096</a>) at 1/30 dilution

All lanes:

A431 (human epidermoid carcinoma epithelial cell) whole cell lysate

Secondary

All lanes:

Immunoprecipitation - VeriBlot for IP Detection Reagent (HRP) (<a href='/en-us/products/reagents/veriblot-for-ip-detection-reagent-hrp-ab131366'>ab131366</a>) at 1/5000 dilution

false

Exposure time: 15s

Immunocytochemistry/ Immunofluorescence - Anti-Cytokeratin 18 antibody [RM1051] - BSA and Azide free (AB315097)
  • ICC/IF

Supplier Data

Immunocytochemistry/ Immunofluorescence - Anti-Cytokeratin 18 antibody [RM1051] - BSA and Azide free (AB315097)

This data was developed using ab315096, the same antibody clone in a different buffer formulation.

Immunofluorescent analysis of 4% Paraformaldehyde-fixed, 0.1% TritonX-100 permeabilized Hepa1-6 (mouse hepatoma epithelial cell) cells labelling Cytokeratin 18 with ab315096 at 1/50 (9.48 ug/ml) dilution, followed by ab150081 Goat Anti-Rabbit IgG H&L (Alexa Fluor® 488) preadsorbed antibody at 1/1000 (2 ug/ml) dilution (Green).

Confocal image showing cytoplasmic staining in Hepa1-6 cell line. Image was taken with a confocal microscope(Leica-Microsystems, TCS SP8).

ab7291 Anti-alpha Tubulin mouse monoclonal antibody was used to counterstain tubulin at 1/1000 (1 ug/ml) dilution (Red). The Nuclear counterstain was DAPI (Blue).

Secondary antibody only control : Secondary antibody is ab150081 Goat Anti-Rabbit IgG H&L (Alexa Fluor® 488) preadsorbed at 1/1000 (2 ug/ml) dilution.

Immunohistochemistry (Formalin/PFA-fixed paraffin-embedded sections) - Anti-Cytokeratin 18 antibody [RM1051] - BSA and Azide free (AB315097)
  • IHC-P

Supplier Data

Immunohistochemistry (Formalin/PFA-fixed paraffin-embedded sections) - Anti-Cytokeratin 18 antibody [RM1051] - BSA and Azide free (AB315097)

This data was developed using ab315096, the same antibody clone in a different buffer formulation.

Immunohistochemical analysis of paraffin-embedded Rat stomach tissue labeling Cytokeratin 18 with ab315096 at 1/500 (0.948 ug/ml) dilution, followed by a ready to use LeicaDS9800 (Bond™ Polymer Refine Detection).

Positive staining on rat stomach. The section was incubated with ab315096 for 30 mins at room temperature. The immunostaining was performed on a Leica Biosystems BOND® RX instrument Counterstained with Hematoxylin.

Secondary antibody only control : Secondary antibody is a ready to use LeicaDS9800 (Bond™ Polymer Refine Detection).

Heat mediated antigen retrieval was performed with Citrate buffer (pH 6.0, Epitope Retrieval Solution 1) for 20 mins

Immunohistochemistry (Formalin/PFA-fixed paraffin-embedded sections) - Anti-Cytokeratin 18 antibody [RM1051] - BSA and Azide free (AB315097)
  • IHC-P

Supplier Data

Immunohistochemistry (Formalin/PFA-fixed paraffin-embedded sections) - Anti-Cytokeratin 18 antibody [RM1051] - BSA and Azide free (AB315097)

This data was developed using ab315096, the same antibody clone in a different buffer formulation.

Immunohistochemical analysis of paraffin-embedded Mouse stomach tissue labeling Cytokeratin 18 with ab315096 at 1/500 (0.948 ug/ml) dilution, followed by a ready to use LeicaDS9800 (Bond™ Polymer Refine Detection).

Positive staining on mouse stomach. The section was incubated with ab315096 for 30 mins at room temperature. The immunostaining was performed on a Leica Biosystems BOND® RX instrument Counterstained with Hematoxylin.

Secondary antibody only control : Secondary antibody is a ready to use LeicaDS9800 (Bond™ Polymer Refine Detection).

Heat mediated antigen retrieval was performed with Citrate buffer (pH 6.0, Epitope Retrieval Solution 1) for 20 mins

Flow Cytometry (Intracellular) - Anti-Cytokeratin 18 antibody [RM1051] - BSA and Azide free (AB315097)
  • Flow Cyt (Intra)

Supplier Data

Flow Cytometry (Intracellular) - Anti-Cytokeratin 18 antibody [RM1051] - BSA and Azide free (AB315097)

This data was developed using ab315096, the same antibody clone in a different buffer formulation.

Flow cytometric analysis of 4% paraformaldehyde fixed 90% methanol permeabilized Hepa1-6 (mouse hepatoma epithelial cell) cells labelling Cytokeratin 18 with ab315096 at 1/500 dilution (0.1 ug, Red) compared with a Rabbit monoclonal IgG (ab172730) (Black) isotype control and an unlabelled control (cells without incubation with primary antibody and secondary antibody) (Blue).

Goat Anti-Rabbit IgG (Alexa Fluor® 488, ab150081) at 1/5000 dilution was used as the secondary antibody.

Immunoprecipitation - Anti-Cytokeratin 18 antibody [RM1051] - BSA and Azide free (AB315097)
  • IP

Supplier Data

Immunoprecipitation - Anti-Cytokeratin 18 antibody [RM1051] - BSA and Azide free (AB315097)

This data was developed using ab315096, the same antibody clone in a different buffer formulation.

Cytokeratin 18 was immunoprecipitated from 0.35 mg Hepa1-6 (mouse hepatoma epithelial cell) whole cell lysate with ab315096 at 1/30 dilution (2ug in 0.35mg lysates). Western blot was performed on the immunoprecipitate using ab315096 at 1/1000 dilution. VeriBlot for IP secondary antibody(HRP)(ab131366) was used at 1/5000 dilution.

Lane 1 : Hepa1-6 (mouse hepatoma epithelial cell) whole cell lysate

Lane 2 : ab315096 IP in Hepa1-6 (mouse hepatoma epithelial cell) whole cell lysate

Lane 3 : Rabbit monoclonal IgG (ab172730) instead of ab315096 in Hepa1-6 whole cell lysate

Blocking and dilution buffer and concentration : 5% NFDM/TBST.

All lanes:

Immunoprecipitation - Anti-Cytokeratin 18 antibody [RM1051] (<a href='/en-us/products/primary-antibodies/cytokeratin-18-antibody-rm1051-ab315096'>ab315096</a>) at 1/30 dilution

All lanes:

Hepa1-6 (mouse hepatoma epithelial cell) whole cell lysate

Secondary

All lanes:

Immunoprecipitation - VeriBlot for IP Detection Reagent (HRP) (<a href='/en-us/products/reagents/veriblot-for-ip-detection-reagent-hrp-ab131366'>ab131366</a>) at 1/5000 dilution

false

Exposure time: 15s

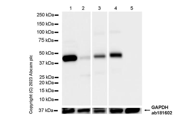
Western blot - Anti-Cytokeratin 18 antibody [RM1051] - BSA and Azide free (AB315097)
  • WB

Supplier Data

Western blot - Anti-Cytokeratin 18 antibody [RM1051] - BSA and Azide free (AB315097)

This data was developed using ab315096, the same antibody clone in a different buffer formulation.

Blocking and diluting buffer and concentration : 5% NFDM/TBST.

Low expression : Skeletal muscle.

Generation of the 22kDa fragment can be induced by staurosporine treatment (lane 1-2) (PMID : 34322741 and PMID : 9298992).

In Western blot, Anti-GAPDH antibody [EPR16891] - Loading Control (ab181602) staining at 1/200000 dilution.

Exposure time : Lanes 1-2 : 8 seconds; Lanes 3-5 : 1 second.

All lanes:

Western blot - Anti-Cytokeratin 18 antibody [RM1051] (<a href='/en-us/products/primary-antibodies/cytokeratin-18-antibody-rm1051-ab315096'>ab315096</a>) at 1/1000 dilution

Lane 1:

Untreated HeLa (human cervical adenocarcinoma epithelial cell) whole cell lysate at 20 µg

Lane 2:

HeLa treated with 2uM staurosporine for 24 hours whole cell lysate at 20 µg

Lane 3:

Human lung tissue lysate at 20 µg

Lane 4:

Human liver tissue lysate at 20 µg

Lane 5:

Human skeletal muscle tissue lysate at 20 µg

Secondary

All lanes:

Western blot - Goat Anti-Rabbit IgG H&L (HRP) (<a href='/en-us/products/secondary-antibodies/goat-rabbit-igg-h-l-hrp-ab97051'>ab97051</a>) at 1/20000 dilution

Observed band size: 22 kDa,48 kDa,36 kDa

false

Western blot - Anti-Cytokeratin 18 antibody [RM1051] - BSA and Azide free (AB315097)
  • WB

Supplier Data

Western blot - Anti-Cytokeratin 18 antibody [RM1051] - BSA and Azide free (AB315097)

This data was developed using ab315096, the same antibody clone in a different buffer formulation.

Blocking and diluting buffer and concentration : 5% NFDM/TBST.

Negative control : MOLT-4 (PMID : 2473821)

In Western blot, Anti-GAPDH antibody [EPR16891] - Loading Control (ab181602) staining at 1/200000 dilution.

All lanes:

Western blot - Anti-Cytokeratin 18 antibody [RM1051] (<a href='/en-us/products/primary-antibodies/cytokeratin-18-antibody-rm1051-ab315096'>ab315096</a>) at 1/1000 dilution

Lane 1:

A431 (human epidermoid carcinoma epithelial cell) whole cell lysate at 7 µg

Lane 2:

MOLT-4 (human lymphoblastic leukemia T lymphoblast) whole cell lysate at 20 µg

Secondary

All lanes:

Western blot - Goat Anti-Rabbit IgG H&L (HRP) (<a href='/en-us/products/secondary-antibodies/goat-rabbit-igg-h-l-hrp-ab97051'>ab97051</a>) at 1/100000 dilution

Observed band size: 48 kDa,36 kDa

false

Exposure time: 4s

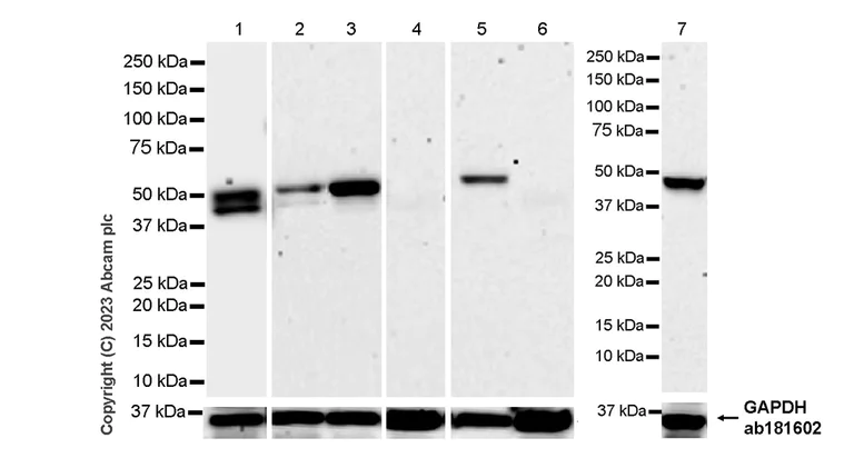
Western blot - Anti-Cytokeratin 18 antibody [RM1051] - BSA and Azide free (AB315097)
  • WB

Supplier Data

Western blot - Anti-Cytokeratin 18 antibody [RM1051] - BSA and Azide free (AB315097)

This data was developed using ab315096, the same antibody clone in a different buffer formulation.

Blocking and diluting buffer and concentration : 5% NFDM/TBST.

Low expression : Skeletal muscle.

The observed MW is consistent with what has been described in the literature (PMID : 9298992).

In Western blot, Anti-GAPDH antibody [EPR16891] - Loading Control (ab181602) staining at 1/200000 dilution.

Exposure time : Lanes 1 : 26 seconds; Lanes 2-7 : 180 seconds.

All lanes:

Western blot - Anti-Cytokeratin 18 antibody [RM1051] (<a href='/en-us/products/primary-antibodies/cytokeratin-18-antibody-rm1051-ab315096'>ab315096</a>) at 1/1000 dilution

Lane 1:

Hepa1-6 (mouse hepatoma epithelial cell) whole cell lysate at 20 µg

Lane 2:

Mouse colon tissue lysate at 20 µg

Lane 3:

Mouse liver tissue lysate at 20 µg

Lane 4:

Mouse skeletal muscle tissue lysate at 20 µg

Lane 5:

Rat liver tissue lysate at 20 µg

Lane 6:

Rat skeletal muscle tissue lysate at 20 µg

Lane 7:

AR42J (rat pancreatic tumor epithelial cell) whole cell lysate at 20 µg

Secondary

All lanes:

Western blot - Goat Anti-Rabbit IgG H&L (HRP) (<a href='/en-us/products/secondary-antibodies/goat-rabbit-igg-h-l-hrp-ab97051'>ab97051</a>) at 1/20000 dilution

Observed band size: 45 kDa,48 kDa,36 kDa

false

Key facts

Host species

Rabbit

Clonality

Multiclonal

Clone number

RM1051

Isotype

IgG

Carrier free

Yes

Reacts with

Human, Mouse, Rat

Applications

ICC/IF, Flow Cyt (Intra), WB, IP, IHC-P

applications

Immunogen

The exact immunogen used to generate this antibody is proprietary information.

Specificity

Unsuitable for Rat ICC.

Reactivity data

{ "title": "Reactivity Data", "filters": { "stats": ["", "Species", "Dilution Info", "Notes"], "tabs": { "all-applications": {"fullname" : "All Applications", "shortname": "All Applications"}, "WB" : {"fullname" : "Western blot", "shortname":"WB"}, "IHCP" : {"fullname" : "Immunohistochemistry (Formalin/PFA-fixed paraffin-embedded sections)", "shortname":"IHC-P"}, "ICCIF" : {"fullname" : "Immunocytochemistry/ Immunofluorescence", "shortname":"ICC/IF"}, "FlowCytIntra" : {"fullname" : "Flow Cytometry (Intracellular)", "shortname":"Flow Cyt (Intra)"}, "IP" : {"fullname" : "Immunoprecipitation", "shortname":"IP"} }, "product-promise": { "all": "all", "testedAndGuaranteed": "tested", "guaranteed": "expected", "predicted": "predicted", "notRecommended": "not-recommended" } }, "values": { "Human": { "WB-species-checked": "testedAndGuaranteed", "WB-species-dilution-info": "", "WB-species-notes": "<p></p>", "IHCP-species-checked": "testedAndGuaranteed", "IHCP-species-dilution-info": "", "IHCP-species-notes": "<p></p>", "ICCIF-species-checked": "testedAndGuaranteed", "ICCIF-species-dilution-info": "", "ICCIF-species-notes": "<p></p>", "FlowCytIntra-species-checked": "testedAndGuaranteed", "FlowCytIntra-species-dilution-info": "", "FlowCytIntra-species-notes": "<p></p>", "IP-species-checked": "testedAndGuaranteed", "IP-species-dilution-info": "", "IP-species-notes": "<p></p>" }, "Mouse": { "WB-species-checked": "testedAndGuaranteed", "WB-species-dilution-info": "", "WB-species-notes": "<p></p>", "IHCP-species-checked": "testedAndGuaranteed", "IHCP-species-dilution-info": "", "IHCP-species-notes": "<p></p>", "ICCIF-species-checked": "testedAndGuaranteed", "ICCIF-species-dilution-info": "", "ICCIF-species-notes": "<p></p>", "FlowCytIntra-species-checked": "testedAndGuaranteed", "FlowCytIntra-species-dilution-info": "", "FlowCytIntra-species-notes": "<p></p>", "IP-species-checked": "testedAndGuaranteed", "IP-species-dilution-info": "", "IP-species-notes": "<p></p>" }, "Rat": { "WB-species-checked": "testedAndGuaranteed", "WB-species-dilution-info": "", "WB-species-notes": "<p></p>", "IHCP-species-checked": "testedAndGuaranteed", "IHCP-species-dilution-info": "", "IHCP-species-notes": "<p></p>", "ICCIF-species-checked": "notRecommended", "ICCIF-species-dilution-info": "", "ICCIF-species-notes": "<p></p>", "FlowCytIntra-species-checked": "guaranteed", "FlowCytIntra-species-dilution-info": "", "FlowCytIntra-species-notes": "", "IP-species-checked": "guaranteed", "IP-species-dilution-info": "", "IP-species-notes": "" } } }

Product details

ab315097 is the carrier-free version of ab315096.

What are recombinant multiclonals?
Recombinant multiclonals are a mixture of recombinant antibodies co-expressed from a library of heavy and light chains. They offer several advantages including:

  • - The sensitivity of polyclonal antibodies by recognising multiple epitopes
  • - High batch-to-batch consistency and reproducibility
  • - Improved sensitivity and specificity
  • - Long-term security of supply
  • - Animal-free batch production

View our range of recombinant multiclonal antibodies.

Patented technology
Our RabMAb® technology is a patented hybridoma-based technology for making rabbit monoclonal antibodies. For details on our patents, please refer to RabMAb® patents.

Conjugation ready
Our carrier-free antibodies are typically supplied in a PBS-only formulation, purified and free of BSA, sodium azide and glycerol. This conjugation-ready format is designed for use with fluorochromes, metal isotopes, oligonucleotides, and enzymes, which makes them ideal for antibody labelling, functional and cell-based assays, flow-based assays (e.g. mass cytometry) and Multiplex Imaging applications.

Use our conjugation kits for antibody conjugates that are ready-to-use in as little as 20 minutes with 1 minute hands-on-time and 100% antibody recovery: available for fluorescent dyes, HRP, biotin and gold.

Compatibility
This product is compatible with the Maxpar® Antibody Labeling Kit from Fluidigm, without the need for antibody preparation. Maxpar® is a trademark of Fluidigm Canada Inc.

Properties and storage information

Form
Liquid
Purification technique
Affinity purification Protein A
Storage buffer
pH: 7.2 - 7.4 Constituents: PBS
Shipped at conditions
Blue Ice
Appropriate short-term storage conditions
+4°C
Appropriate long-term storage conditions
+4°C

Supplementary information

This supplementary information is collated from multiple sources and compiled automatically.

Cytokeratin 18 (CK18) also known as Keratin 18 or KRT18 is a type I intermediate filament protein with a molecular weight of approximately 45 kDa. It plays a mechanical role in stabilizing epithelial cell structure and function. CK18 is expressed in single-layered epithelial tissues such as the liver intestine and pancreas. It partners with the type II keratin usually KRT8 to form a stable cytoskeletal network in these cells providing structural integrity and resilience.
Biological function summary

CK18 maintains cellular integrity and mediates resistance to mechanical and non-mechanical stresses in epithelial cells. It forms heterodimers with KRT8 participating in a complex network of filaments important for maintaining cell shape and stability. This organization plays a role in managing cell survival during stress and apoptosis helping regulate cellular functions and responses in tissues where it is expressed.

Pathways

Cytokeratin 18 is involved in the apoptosis and cellular stress response pathways. It interacts with proteins such as caspases during apoptosis facilitating cytoskeletal reorganization and cell fragmentation. CK18 in coordination with KRT8 also participates in signaling pathways that regulate cell cycle and apoptotic processes underlining its importance in cellular turnover and tissue homeostasis.

Elevated levels of CK18 fragments are often observed in cases of non-alcoholic steatohepatitis (NASH) and breast cancer. It serves as a biomarker for liver injury due to its abundance in hepatocytes and release upon cell death. In breast cancer alterations in CK18 expression can reflect disease progression where it interacts with other proteins such as vimentin indicating epithelial-to-mesenchymal transition a process that facilitates metastasis.

Product protocols

For this product, it's our understanding that no specific protocols are required. You can visit:

Target data

Involved in the uptake of thrombin-antithrombin complexes by hepatic cells (By similarity). When phosphorylated, plays a role in filament reorganization. Involved in the delivery of mutated CFTR to the plasma membrane. Together with KRT8, is involved in interleukin-6 (IL-6)-mediated barrier protection.
See full target information KRT18

Product promise

We are committed to supporting your work with high-quality reagents, and we're here for you every step of the way. In the unlikely event that one of our products does not perform as expected, you're protected by our Product Promise.
For full details, please see our Terms & Conditions

Please note: All products are 'FOR RESEARCH USE ONLY. NOT FOR USE IN DIAGNOSTIC OR THERAPEUTIC PROCEDURES'.

For licensing inquiries, please contact partnerships@abcam.com