JavaScript is disabled in your browser. Please enable JavaScript to view this website.
AB195872

Anti-Cytokeratin 19 antibody [EP1580Y] - BSA and Azide free

  • BOND RX™ Validated
  • RabMAb
  • Advanced Validation
  • Recombinant
  • KO Validated
  • What is this?

Be the first to review this product! Submit a review

|

(11 Publications)

Anti-Cytokeratin 19 antibody [EP1580Y] - BSA and Azide free (ab195872) is a rabbit recombinant monoclonal antibody provided in a PBS only buffer for easy conjugation. Suitable for Western Blot, Flow Cytometry (Intra), IHC-P, ICC/IF, mIHC in Human, Mouse.

- KO validated for confirmed specificity
- BSA, sodium azide, and glycerol-free for easy conjugation
- Multiplex IHC validated on the Leica BOND® MAX using Opal reagents
- Biophysical QC for unrivalled batch-batch consistency

View Alternative Names

Cytokeratin-19, Keratin-19, CK-19, K19, KRT19, ck19, ck 19

27 Images
Flow Cytometry (Intracellular) - Anti-Cytokeratin 19 antibody [EP1580Y] - BSA and Azide free (AB195872)
  • Flow Cyt (Intra)

Lab

Flow Cytometry (Intracellular) - Anti-Cytokeratin 19 antibody [EP1580Y] - BSA and Azide free (AB195872)

This data was developed using the same antibody clone in a different buffer formulation containing PBS, BSA, glycerol, and sodium azide (ab52625).

Flow cytometry overlay histogram showing MCF7 positive cells (left) and SH-SY5Y negative cells (right) stained with ab52625 (red line). The cells were fixed with 4% formaldehyde (10 min) and then permeabilised with 0.1% PBS-Triton X-100 for 15 min. The cells were then incubated in 1x PBS containing 10% normal goat serum to block non-specific protein-protein interaction followed by the antibody (ab52625) (1x 106 in 100μl at 0.04μg/ml (1/50,000)) for 30min at 22°C.

The secondary antibody Goat Anti-Rabbit IgG H&L (Alexa Fluor® 488) preadsorbed was incubated at 1/4000 for 30min at 22°C

Isotype control antibody (black line) was Recombinant Rabbit IgG, monoclonal [EPR25A] - Isotype Control used at the same concentration and conditions as the primary antibody. Unlabelled sample (blue line) was also used as a control.

Acquisition of >5000 events were collected using a 50 mW Blue laser (488nm) and 525/40 bandpass filter.

This antibody gave a positive signal in MCF7 Fixed with 80% methanol (5 min) / permeabilised with 0.1% PBS-Triton X-100 for 15 min under the same conditions.

Multiplex immunohistochemistry - Anti-Cytokeratin 19 antibody [EP1580Y] - BSA and Azide free (AB195872)
  • mIHC

Collaborator

Multiplex immunohistochemistry - Anti-Cytokeratin 19 antibody [EP1580Y] - BSA and Azide free (AB195872)

This data was developed using the same antibody clone in a different buffer formulation containing PBS, BSA, glycerol, and sodium azide (ab52625).

10-color fluorescence multiplex immunohistochemical analysis of human lung cancer tissue (formalin-fixed paraffin-embedded section).

Merged staining of anti-FOXP3 (ab215206; Cyan; TG540N), anti-PD1 (ab52587; Red; TG700N), anti-CD163 (ab182422; Brown; TG650N), anti-HLA-DR (ab92511; Yellow; TG570N), anti-CD4 (ab133616; Violet; TG620N), anti-CD8 alpha (ab101500; Purple; TG540S), anti-CD20 (ab9475; Grey; TG660S), anti-CD68 (ab192847; Green; TG520N), anti-Cytokeratin 19 (ab52625; Light blue; TG440N). TG470SN (dark blue) was used as a nuclear counter stain. The inset image shows the separate CD68 signal.

The section was incubated in nine rounds of staining; in the order of ab215206 (1/100 dilution), ab52587 (1/200 dilution), ab182422 (1/300 dilution), ab92511 (1/200 dilution), ab133616 (1/600 dilution), ab101500 (1/300 dilution), ab9475 (1/100 dilution), ab192847 (1/300 dilution), ab52625 (1/400 dilution); each using a separate fluorescent tyramide signal amplification system.

Sodium citrate antigen retrieval (pH6.0) was used in between rounds of tyramide signal amplification to remove the antibody from the previous round, to avoid any cross-reactivity.

Image acquisition was performed with TissueFAXS Spectra (TissueGnostics).

This image is courtesy of TissueGnostics Asia Pacific Limited

Flow Cytometry (Intracellular) - Anti-Cytokeratin 19 antibody [EP1580Y] - BSA and Azide free (AB195872)
  • Flow Cyt (Intra)

Unknown

Flow Cytometry (Intracellular) - Anti-Cytokeratin 19 antibody [EP1580Y] - BSA and Azide free (AB195872)

Overlay histogram showing HeLa (human epithelial cell line from cervix adenocarcinoma) cells stained with unpurified ab52625 (red line). The cells were fixed with 80% methanol (5 min) and then permeabilized with 0.1% PBS-Tween for 20 min. The cells were then incubated in 1x PBS / 10% normal goat serum / 0.3M glycine to block non-specific protein-protein interactions followed by the antibody (ab52625, 1/100 dilution) for 30 min at 22°C. The secondary antibody used was DyLight® 488 goat anti-rabbit IgG (H+L) (ab96899) at 1/500 dilution for 30 min at 22°C. Isotype control antibody (black line) was rabbit IgG (monoclonal) (1μg/1x106 cells) used under the same conditions. Acquisition of >5,000 events was performed. This antibody gave a positive signal in HeLa cells fixed with 4% paraformaldehyde (10 min)/permeabilized with 0.1% PBS-Tween for 20 min used under the same conditions.

This data was developed using the same antibody clone in a different buffer formulation containing PBS, BSA, glycerol, and sodium azide (ab52625).

Flow Cytometry (Intracellular) - Anti-Cytokeratin 19 antibody [EP1580Y] - BSA and Azide free (AB195872)
  • Flow Cyt (Intra)

Unknown

Flow Cytometry (Intracellular) - Anti-Cytokeratin 19 antibody [EP1580Y] - BSA and Azide free (AB195872)

ab52625 staining Cytokeratin 19 in the human cell line MCF-7 (human breast carcinoma) by intracellular flow cytometry. Cells were fixed with 4% paraformaldehyde, permeabilized with 90% methanol and the sample was incubated with the primary antibody at a dilution of 1/80. A goat anti rabbit IgG (Alexa Fluorr® 488) at a dilution of 1/2000 was used as the secondary antibody.

Isoytype control : Rabbit monoclonal IgG (Black)

Unlabelled control : Cell without incubation with primary antibody and secondary antibody (Blue)

This data was developed using the same antibody clone in a different buffer formulation containing PBS, BSA, glycerol, and sodium azide (ab52625).

Immunocytochemistry/ Immunofluorescence - Anti-Cytokeratin 19 antibody [EP1580Y] - BSA and Azide free (AB195872)
  • ICC/IF

Lab

Immunocytochemistry/ Immunofluorescence - Anti-Cytokeratin 19 antibody [EP1580Y] - BSA and Azide free (AB195872)

Clone EP1580Y (ab195872) has been successfully conjugated by Abcam. This image was generated using Anti-Cytokeratin 19 antibody [EP1580Y] (Alexa Fluor® 488). Please refer to ab192643 for protocol details.

ab192643 staining Cytokeratin 19 in wild-type MCF7 cells (top panel) and KRT19 knockout MCF7 cells (bottom panel). The cells were fixed with 100% methanol (5 min), permeabilized with 0.1% Triton X-100 for 5 minutes and then blocked with 1% BSA/10% normal goat serum/0.3M glycine in 0.1% PBS-Tween for 1h. The cells were then incubated with ab192643 at 1/500 dilution (shown in green) and ab195884 (Rat monoclonal to Tubulin - Alexa Fluor® 647) at 1/100 dilution (shown in red) overnight at +4°C. Nuclear DNA was labelled in blue with DAPI.
Image was taken with a confocal microscope (Leica-Microsystems, TCS SP8).

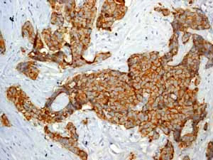
Immunohistochemistry (Formalin/PFA-fixed paraffin-embedded sections) - Anti-Cytokeratin 19 antibody [EP1580Y] - BSA and Azide free (AB195872)
  • IHC-P

Unknown

Immunohistochemistry (Formalin/PFA-fixed paraffin-embedded sections) - Anti-Cytokeratin 19 antibody [EP1580Y] - BSA and Azide free (AB195872)

Unpurified ab52625 showing positive staining in Breast carcinoma tissue.

This data was developed using the same antibody clone in a different buffer formulation containing PBS, BSA, glycerol, and sodium azide (ab52625).

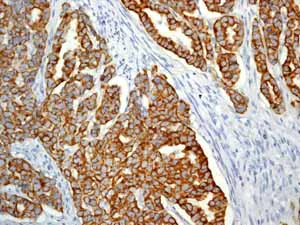
Immunohistochemistry (Formalin/PFA-fixed paraffin-embedded sections) - Anti-Cytokeratin 19 antibody [EP1580Y] - BSA and Azide free (AB195872)
  • IHC-P

Unknown

Immunohistochemistry (Formalin/PFA-fixed paraffin-embedded sections) - Anti-Cytokeratin 19 antibody [EP1580Y] - BSA and Azide free (AB195872)

Immunohistochemical staining of paraffin-embedded human skin with purified ab52625 at a dilution of 1/400. A pre-diluted HRP polymer for rabbit/mouse IgG was used as the secondary antibody and the sample was counter-stained with hematoxylin. Antigen retrieval was perfomed using Tris-EDTA buffer, pH 9.0. PBS was used instead of the primary antibody as the negative control, and is shown in the inset.

This data was developed using the same antibody clone in a different buffer formulation containing PBS, BSA, glycerol, and sodium azide (ab52625).

Immunocytochemistry/ Immunofluorescence - Anti-Cytokeratin 19 antibody [EP1580Y] - BSA and Azide free (AB195872)
  • ICC/IF

Lab

Immunocytochemistry/ Immunofluorescence - Anti-Cytokeratin 19 antibody [EP1580Y] - BSA and Azide free (AB195872)

ab52625 staining KRT19 in MCF7 cells, with negative expression in SHSY5Y cells. The cells were fixed with 100% methanol (5 min), permeabilised with 0.1% Triton x-100 for 5 minutes and then blocked with 1% BSA/10% normal goat serum/0.3M glycine in 0.1% PBS-Tween for 1h. The cells were then incubated overnight at +4°C with ab52625 at 2 μg/ml and ab7291, Mouse monoclonal [DM1A] to alpha Tubulin at 0.5 μg/ml. Cells were then incubated with ab150081, Goat polyclonal Secondary Antibody to Rabbit IgG - H&L (Alexa Fluor® 488), pre-adsorbed at 1/1000 dilution (shown in green) and ab150119, Goat polyclonal Secondary Antibody to Mouse IgG - H&L (Alexa Fluor® 647), pre-adsorbed at 1/1000 dilution (shown in red). Nuclear DNA was labelled with DAPI (shown in blue). Image was acquired with a confocal microscope (Leica-Microsystems TCS SP8) and a single confocal section is shown. This product also work with 4% formaldehyde (10 min) fixation under the same testing conditions. This data was developed using the same antibody clone in a different buffer formulation (ab52625).

Multiplex immunohistochemistry - Anti-Cytokeratin 19 antibody [EP1580Y] - BSA and Azide free (AB195872)
  • mIHC

Lab

Multiplex immunohistochemistry - Anti-Cytokeratin 19 antibody [EP1580Y] - BSA and Azide free (AB195872)

This data was developed using ab52625, the same antibody clone in a different buffer formulation.

Multiplex immunohistochemistry analysis of formalin/PFA-fixed paraffin-embedded human liver tissue staining Carboxypeptidase A with ab317620 at a 1/1000 dilution, ab322202 anti-Inhibin beta E chain used at 1/2000 dilution and ab52625 anti-Cytokeratin 19 used at a 1/6000 dilution. Opal Polymer HRP Ms + Rb was used as a secondary antibody.

Panel A : merged staining of anti-VAP1 (green; Opal520), anti-Inhibin beta E chain (magenta; Opal690) and anti-Cytokeratin 19 (gray; Opal570) on human liver. Panel B : anti-VAP1 staining endothelium in human liver.
Panel C : anti-Inhibin beta E chain staining hepatocytes in human liver.
Panel D : anti-Cytokeratin 19 staining branch of bile ducts in human liver.
Nuclear DNA was labeled with DAPI (shown in blue).

The section was incubated in three rounds of staining : in the order of ab317620, ab322202 and ab52625 for 30 mins at room temperature. Each round was followed by a separate fluorescent tyramide signal amplification system.

The immunostaining was performed on a Leica Biosystems BOND® RX instrument with an Opal 4-color kit. Image acquisition was performed with Leica SP8 confocal microscope.

Heat mediated antigen retrieval with Tris-EDTA buffer (pH 9.0, epitope retrieval solution2) for 20 mins.

Multiplex immunohistochemistry - Anti-Cytokeratin 19 antibody [EP1580Y] - BSA and Azide free (AB195872)
  • mIHC

Supplier Data

Multiplex immunohistochemistry - Anti-Cytokeratin 19 antibody [EP1580Y] - BSA and Azide free (AB195872)

Fluorescence multiplex immunohistochemical analysis of human liver tissue (formalin-fixed paraffin-embedded section). Panel A shows merged staining of ab195872 anti-Cytokeratin 19 stained on branch of bile ducts (magenta; Opal™690) at 1 : 8000 ( 0.127 μg/ml) [Panel B], ab275376 anti-Factor VIII stained on endothelial cells (red; Opal™570) at 1 : 1000 ( 0.457 μg/ml) [Panel C], and ab150301 anti-alpha smooth muscle Actin stained on smooth muscles (green; Opal™520) at 1 : 200 ( 0.14 μg/ml) [Panel C] on human liver. DAPI was used as a nuclear counter stain. Followed by Opal Polymer HRP Ms + Rb secondary. The immunostaining was performed on a Leica Biosystems BOND® RX instrument with an Opal™ 4-color kit. Image acquisition was performed with Leica SP8 confocal microscope. The section was incubated in three rounds of staining : in the order of ab195872 for 30 mins, ab275376 for 30 mins and ab150301 for 10 mins at room temperature. Each round was followed by a separate fluorescent tyramide signal amplification system. Heat mediated antigen retrieval with Tris-EDTA buffer (pH 9.0, epitope retrieval solution2) for 20 mins was used.

Multiplex immunohistochemistry - Anti-Cytokeratin 19 antibody [EP1580Y] - BSA and Azide free (AB195872)
  • mIHC

Lab

Multiplex immunohistochemistry - Anti-Cytokeratin 19 antibody [EP1580Y] - BSA and Azide free (AB195872)

Fluorescence multiplex immunohistochemical analysis of the human pancreas (Formalin/PFA-fixed paraffin-embedded sections). Panel A : merged staining of anti-Carboxypeptidase A (ab278044, magenta; Opal™690), anti-Cytokeratin 19 (ab195872, green; Opal™520) and anti-Insulin (ab181547, red; Opal™570) on human pancreas. Panel B : anti-Carboxypeptidase A stained on acinar cells. Panel C : anti-Cytokeratin 19 stained on centroacinar cells and ducts. Panel D : anti-Insulin stained on beta cells. Opal Polymer HRP Ms + Rb was used as a secondary antibody. The section was incubated in three rounds of staining : in the order of ab278044 at 1/4000 dilution (0.135 μg/ml), ab195872 at 1/8000 dilution (0.127 μg/ml), and ab181547 at 1/20000 dilution (0.053 μg/ml) for 30 mins at room temperature. Each round was followed by a separate fluorescent tyramide signal amplification system. The immunostaining was performed on a Leica Biosystems BOND® RX instrument with an Opal™ 4-color kit. Image acquisition was performed with Leica SP8 confocal microscope. Heat mediated antigen retrieval with Tris-EDTA buffer (pH 9.0, epitope retrieval solution2) for 20 mins. DAPI (blue) was used as a nuclear counter stain.

Multiplex immunohistochemistry - Anti-Cytokeratin 19 antibody [EP1580Y] - BSA and Azide free (AB195872)
  • mIHC

Lab

Multiplex immunohistochemistry - Anti-Cytokeratin 19 antibody [EP1580Y] - BSA and Azide free (AB195872)

This data was developed using ab52625, the same antibody clone in a different buffer formulation.

Immunohistochemistry analysis of Formalin/PFA-fixed paraffin-embedded sections Human breast tissue labelling Fibrillin 1 with ab315384 at 1 : 100 dilution (B), Cytokeratin 19 with ab52625 at 1 : 6000 dilution (C) and Hormone sensitive lipase/HSL with ab322344 at 1 : 2000 dilution (D). Opal Polymer HRP Ms + Rb was used as a secondary antibody, and DAPI was used for a nuclear counter stain. Heat mediated antigen retrieval with Tris-EDTA buffer (pH 9.0, epitope retrieval solution2) for 20 mins.

Panel A : merged staining of anti-Fibrillin 1 (green; Opal™570), anti-Cytokeratin 19 (magenta; Opal™690) and anti-Hormone sensitive lipase/HSL (gray; Opal™570) on human breast.

Panel B : anti-Fibrillin 1 staining stromal connective tissue in human breast.

Panel C : ant-Cytokeratin 19 staining epithelium in human breast.

Panel D : ant-Hormone sensitive lipase/HSL staining adipocytes in human breast.

Nuclear DNA was labeled with DAPI (shown in blue).

The section was incubated in three rounds of staining : in the order of ab315384, ab52625 and ab322344 for 30 mins at room temperature. Each round was followed by a separate fluorescent tyramide signal amplification system.

The immunostaining was performed on a Leica Biosystems BOND® RX instrument with an Opal™ 4-color kit. Image acquisition was performed with Leica SP8 confocal microscope.

Immunocytochemistry/ Immunofluorescence - Anti-Cytokeratin 19 antibody [EP1580Y] - BSA and Azide free (AB195872)
  • ICC/IF

Lab

Immunocytochemistry/ Immunofluorescence - Anti-Cytokeratin 19 antibody [EP1580Y] - BSA and Azide free (AB195872)

This data was developed using the same antibody clone in a different buffer formulation (ab52625).

ab52625 staining Cytokeratin 19 in wild-type MCF7 cells (top panel) and KRT19 knockout MCF7 cells (bottom panel). The cells were fixed with 4% paraformaldehyde (10 min), permeabilized with 0.1% Triton X-100 for 5 minutes and then blocked with 1% BSA/10% normal goat serum/0.3M glycine in 0.1% PBS-Tween for 1h. The cells were then incubated with ab52625 at 1/100 dilution and ab7291 (Mouse monoclonal to alpha Tubulin) at 1/1000 dilution overnight at +4°C, followed by a further incubation at room temperature for 1h with a goat secondary antibody to rabbit IgG (Alexa Fluor® 488) (ab150081) at 2 μg/ml (shown in green) and a goat secondary antibody to mouse IgG (Alexa Fluor® 594) (ab150120) at 2 μg/ml (shown in red). Nuclear DNA was labelled in blue with DAPI.
Image was taken with a confocal microscope (Leica-Microsystems, TCS SP8).

Immunocytochemistry/ Immunofluorescence - Anti-Cytokeratin 19 antibody [EP1580Y] - BSA and Azide free (AB195872)
  • ICC/IF

Lab

Immunocytochemistry/ Immunofluorescence - Anti-Cytokeratin 19 antibody [EP1580Y] - BSA and Azide free (AB195872)

Clone EP1580Y (ab195872) has been successfully conjugated by Abcam. This image was generated using Anti-Cytokeratin 19 antibody [EP1580Y] (Alexa Fluor® 647). Please refer to ab192980 for protocol details.

ab192980 staining Cytokeratin 19 in HeLa cells. The cells were fixed with 100% methanol (5 min) and then blocked in 1% BSA/10% normal goat serum/0.3M glycine in 0.1% PBS-Triton X-100 for 1hr. The cells were then incubated with ab192980 at a working dilution of 1 in 50 (shown in red) and ab7291 (Mouse monoclonal [DM1A] to alpha Tubulin) at 1µg/ml overnight at +4°C, followed by a further incubation at room temperature for 1hr with an AlexaFluor® 488 Goat anti-mouse IgG (H&L - preadsorbed) secondary (ab150117) at 2 μg/ml (shown in green). Nuclear DNA was labelled in blue with DAPI.

This product gave a positive signal in 4% formaldehyde (10 min) fixed HeLa cells under the same testing conditions

Image was taken with a Confocal microscope (Leica micro-systems, TCS SP8).

Flow Cytometry (Intracellular) - Anti-Cytokeratin 19 antibody [EP1580Y] - BSA and Azide free (AB195872)
  • Flow Cyt (Intra)

Unknown

Flow Cytometry (Intracellular) - Anti-Cytokeratin 19 antibody [EP1580Y] - BSA and Azide free (AB195872)

Clone EP1580Y (ab195872) has been successfully conjugated by Abcam. This image was generated using Anti-Cytokeratin 19 antibody [EP1580Y] (PE). Please refer to ab224981 for protocol details.

Overlay histogram showing HeLa cells stained with ab224981 (red line). The cells were fixed with 80% methanol (5 min) and then permeabilized with 0.1% PBS-Triton X-100 for 15 min. The cells were then incubated in 1x PBS / 10% normal goat serum to block non-specific protein-protein interactions followed by the antibody (ab224981, 1/1000 dilution) for 30 min at 22°C.

Isotype control antibody (black line) was Rabbit IgG (monoclonal) Phycoerythrin (ab209478) used at the same concentration and conditions as the primary antibody.

Unlabelled sample (blue line) was also used as a control. Acquisition of >5,000 events were collected using a 50 mW Yellow/Green laser (561nm) and 586/15 bandpass filter.

Immunocytochemistry/ Immunofluorescence - Anti-Cytokeratin 19 antibody [EP1580Y] - BSA and Azide free (AB195872)
  • ICC/IF

Unknown

Immunocytochemistry/ Immunofluorescence - Anti-Cytokeratin 19 antibody [EP1580Y] - BSA and Azide free (AB195872)

Immunocytochemistry/Immunofluorescence analysis of HepG2 (human liver hepatocellular carcinoma cell line) cells labelling Cytokeratin 19 (green) with purified ab52625 at 1/500. Cells were fixed with 4% Paraformaldehyde and permeabilized with 0.1% Triton X-100. ab150077, Alexa Fluor® 488-conjugated goat anti-rabbit IgG (1/1000) was used as the secondary antibody. Cells were counter-stained with ab7291, anti-Tubulin (mouse mAb) at 1/1000 followed by ab150120 AlexaFluor®594 goat anti-mouse secondary (1/1000). Nuclei were counterstained with DAPI (blue).

For negative control 1, rabbit primary antibody and anti-mouse secondary antibody (ab150120) were used. For negative control 2, ab7291 (mouse primary antibody) was used followed by anti-rabbit secondary antibody (ab150077).

This data was developed using the same antibody clone in a different buffer formulation containing PBS, BSA, glycerol, and sodium azide (ab52625).

Immunocytochemistry/ Immunofluorescence - Anti-Cytokeratin 19 antibody [EP1580Y] - BSA and Azide free (AB195872)
  • ICC/IF

Unknown

Immunocytochemistry/ Immunofluorescence - Anti-Cytokeratin 19 antibody [EP1580Y] - BSA and Azide free (AB195872)

Immunofluorescent staining of MCF-7 cells (fixed in 4% PFA, permeabilized with 0.1% Triton X 100) using purified ab52625 at a dilution of 1/200. An Alexa Fluor® 488 goat anti-rabbit antibody was used as the secondary at a dilution of 1/200 and the cells were counter stained with DAPI.

This data was developed using the same antibody clone in a different buffer formulation containing PBS, BSA, glycerol, and sodium azide (ab52625).

Multiplex immunohistochemistry - Anti-Cytokeratin 19 antibody [EP1580Y] - BSA and Azide free (AB195872)
  • mIHC

Lab

Multiplex immunohistochemistry - Anti-Cytokeratin 19 antibody [EP1580Y] - BSA and Azide free (AB195872)

This data was developed using ab52625, the same antibody clone in a different buffer formulation.

Multiplex immunohistochemistry analysis of formalin/PFA-fixed paraffin-embedded tissue staining C Peptide with ab314215 at a 1/500 dilution, ab318203 anti-Chymotrypsin used at 1/6000 dilution and ab52625 anti-Cytokeratin 19 used at a 1/6000 dilution.

Opal Polymer HRP Ms + Rb was used as a secondary antibody.

Panel A : merged staining of anti-C Peptide (green; Opal520), anti-Chymotrypsin (magenta; Opal690) and anti-Cytokeratin 19 (grey; Opal570) on mouse pancreas.
Panel B : anti-C Peptide staining beta cells in mouse pancreas.
Panel C : anti-Chymotrypsin staining exocrine gland in mouse pancreas.
Panel D : anti-Cytokeratin 19 staining pancreatic duct in mouse pancreas.
Nuclear DNA was labeled with DAPI (shown in blue).

The section was incubated in three rounds of staining : in the order of ab314215, ab318203 and ab52625 for 30 mins at room temperature. Each round was followed by a separate fluorescent tyramide signal amplification system.

The immunostaining was performed on a Leica Biosystems BOND® RX instrument with an Opal 4-color kit. Image acquisition was performed with Leica SP8 confocal microscope.

Heat mediated antigen retrieval with Tris-EDTA buffer (pH 9.0, epitope retrieval solution2) for 20 mins.

Multiplex immunohistochemistry - Anti-Cytokeratin 19 antibody [EP1580Y] - BSA and Azide free (AB195872)
  • mIHC

Lab

Multiplex immunohistochemistry - Anti-Cytokeratin 19 antibody [EP1580Y] - BSA and Azide free (AB195872)

This data was developed using ab52625, the same antibody clone in a different buffer formulation.

Multiplex immunohistochemistry analysis of formalin/PFA-fixed paraffin-embedded rat liver tissue staining COL4A2 with ab316099 at a 1/500 dilution, ab307696 anti-ALDH1L1 used at 1/5000 dilution and ab52625 anti-Cytokeratin 19 used at a 1/6000 dilution.

Panel A : merged staining of anti-COL4A2 (green; Opal520), anti-ALDH1L1 (magenta; Opal690) and anti-Cytokeratin 19 (grey; Opal570) on rat liver.
Panel B : anti-COL4A2 staining endothelium in rat liver.
Panel C : anti-ALDH1L1 staining hepatocytes in rat liver.
Panel D : anti-Cytokeratin 19 staining branch of bile ducts in rat liver.

Nuclear DNA was labeled with DAPI (shown in blue).

The section was incubated in three rounds of staining : in the order of ab316099, ab307696 and ab52625 for 30 mins at room temperature. Each round was followed by a separate fluorescent tyramide signal amplification system.

The immunostaining was performed on a Leica Biosystems BOND® RX instrument with an Opal 4-color kit. Image acquisition was performed with Leica SP8 confocal microscope.

Heat mediated antigen retrieval with Tris-EDTA buffer (pH 9.0, epitope retrieval solution2) for 20 mins.

Multiplex immunohistochemistry - Anti-Cytokeratin 19 antibody [EP1580Y] - BSA and Azide free (AB195872)
  • mIHC

Lab

Multiplex immunohistochemistry - Anti-Cytokeratin 19 antibody [EP1580Y] - BSA and Azide free (AB195872)

This data was developed using ab52625, the same antibody clone in a different buffer formulation.

Multiplex immunohistochemistry analysis of formalin/PFA-fixed paraffin-embedded ® tissue staining C Peptide with ab314215 at a 1/500 dilution, ab318203 anti-Chymotrypsin used at 1/6000 dilution and ab52625 anti-Cytokeratin 19 used at a 1/6000 dilution.

Opal Polymer HRP Ms + Rb was used as a secondary antibody.

Panel A : merged staining of anti-C Peptide (green; Opal520), anti-Chymotrypsin (magenta; Opal690) and anti-Cytokeratin 19 (gray; Opal570) on rat pancreas.
Panel B : anti-C Peptide staining beta cells in rat pancreas.
Panel C : anti-Chymotrypsin staining exocrine gland in rat pancreas.
Panel D : anti-Cytokeratin 19 staining pancreatic duct in rat pancreas.
Nuclear DNA was labeled with DAPI (shown in blue).

The section was incubated in three rounds of staining : in the order of ab314215, ab318203 and ab52625 for 30 mins at room temperature. Each round was followed by a separate fluorescent tyramide signal amplification system.

The immunostaining was performed on a Leica Biosystems BOND® RX instrument with an Opal 4-color kit. Image acquisition was performed with Leica SP8 confocal microscope.

Heat mediated antigen retrieval with Tris-EDTA buffer (pH 9.0, epitope retrieval solution2) for 20 mins.

Multiplex immunohistochemistry - Anti-Cytokeratin 19 antibody [EP1580Y] - BSA and Azide free (AB195872)
  • mIHC

Lab

Multiplex immunohistochemistry - Anti-Cytokeratin 19 antibody [EP1580Y] - BSA and Azide free (AB195872)

This data was developed using ab52625, the same antibody clone in a different buffer formulation.

Multiplex immunohistochemistry analysis of formalin/PFA-fixed paraffin-embedded rat pancreas tissue staining C Peptide with ab314215 at a 1/500 dilution, ab278044 anti-Carboxypeptidase A used at 1/4000 dilution and ab52625 anti-Cytokeratin 19 used at a 1/6000 dilution.

Opal Polymer HRP Ms + Rb was used as a secondary antibody.

Panel A : merged staining of anti-C Peptide (green; Opal520), anti-Carboxypeptidase A (magenta; Opal690) and anti-Cytokeratin 19 (grey; Opal570) on rat pancreas.
Panel B : anti-C Peptide staining beta cells in rat pancreas.
Panel C : anti-Carboxypeptidase A staining exocrine gland in rat pancreas.
Panel D : anti-Cytokeratin 19 staining pancreatic duct in rat pancreas.
Nuclear DNA was labeled with DAPI (shown in blue).

The section was incubated in three rounds of staining : in the order of ab314215, ab278044 and ab52625 for 30 mins at room temperature. Each round was followed by a separate fluorescent tyramide signal amplification system.

The immunostaining was performed on a Leica Biosystems BOND® RX instrument with an Opal 4-color kit. Image acquisition was performed with Leica SP8 confocal microscope.

Heat mediated antigen retrieval with Tris-EDTA buffer (pH 9.0, epitope retrieval solution2) for 20 mins.

Multiplex immunohistochemistry - Anti-Cytokeratin 19 antibody [EP1580Y] - BSA and Azide free (AB195872)
  • mIHC

Lab

Multiplex immunohistochemistry - Anti-Cytokeratin 19 antibody [EP1580Y] - BSA and Azide free (AB195872)

This data was developed using ab52625, the same antibody clone in a different buffer formulation.

Multiplex immunohistochemistry analysis of formalin/PFA-fixed paraffin-embedded mouse liver tissue staining COL4A2 with ab316099 at a 1/500 dilution, ab307696 anti-ALDH1L1 used at 1/5000 dilution and ab52625 anti-Cytokeratin 19 used at a 1/6000 dilution.

Panel A : merged staining of anti-COL4A2 (green; Opal520), anti-ALDH1L1 (magenta; Opal690) and anti-Cytokeratin 19 (grey; Opal570) on mouse liver.
Panel B : anti-COL4A2 staining endothelium in mouse liver.
Panel C : anti-ALDH1L1 staining hepatocytes in mouse liver.
Panel D : anti-Cytokeratin 19 staining branch of bile ducts in mouse liver.

Nuclear DNA was labeled with DAPI (shown in blue).

The section was incubated in three rounds of staining : in the order of ab316099, ab307696 and ab52625 for 30 mins at room temperature. Each round was followed by a separate fluorescent tyramide signal amplification system.

The immunostaining was performed on a Leica Biosystems BOND® RX instrument with an Opal 4-color kit. Image acquisition was performed with Leica SP8 confocal microscope.

Heat mediated antigen retrieval with Tris-EDTA buffer (pH 9.0, epitope retrieval solution2) for 20 mins.

Western blot - Anti-Cytokeratin 19 antibody [EP1580Y] - BSA and Azide free (AB195872)
  • WB

Lab

Western blot - Anti-Cytokeratin 19 antibody [EP1580Y] - BSA and Azide free (AB195872)

This data was developed using ab52625, the same antibody clone in a different buffer formulation. Different batches of ab52625 were tested on HepG2 (Human hepatocellular carcinoma epithelial cell) lysate at 0.2 µg/ml. 15 µg of lysate was loaded in each lane. Bands observed at 40 kDa.

All lanes:

Western blot - Anti-Cytokeratin 19 antibody [EP1580Y] - Cytoskeleton Marker (<a href='/en-us/products/primary-antibodies/cytokeratin-19-antibody-ep1580y-cytoskeleton-marker-ab52625'>ab52625</a>)

Predicted band size: 44 kDa

false

Immunohistochemistry (Formalin/PFA-fixed paraffin-embedded sections) - Anti-Cytokeratin 19 antibody [EP1580Y] - BSA and Azide free (AB195872)
  • IHC-P

Unknown

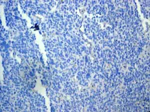
Immunohistochemistry (Formalin/PFA-fixed paraffin-embedded sections) - Anti-Cytokeratin 19 antibody [EP1580Y] - BSA and Azide free (AB195872)

Unpurified ab52625 showing negative staining in Glioma tissue.

This data was developed using the same antibody clone in a different buffer formulation containing PBS, BSA, glycerol, and sodium azide (ab52625).

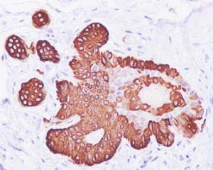
Immunohistochemistry (Formalin/PFA-fixed paraffin-embedded sections) - Anti-Cytokeratin 19 antibody [EP1580Y] - BSA and Azide free (AB195872)
  • IHC-P

Unknown

Immunohistochemistry (Formalin/PFA-fixed paraffin-embedded sections) - Anti-Cytokeratin 19 antibody [EP1580Y] - BSA and Azide free (AB195872)

Unpurified ab52625 showing positive staining in Endometrial carcinoma tissue.

This data was developed using the same antibody clone in a different buffer formulation containing PBS, BSA, glycerol, and sodium azide (ab52625).

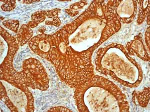
Immunohistochemistry (Formalin/PFA-fixed paraffin-embedded sections) - Anti-Cytokeratin 19 antibody [EP1580Y] - BSA and Azide free (AB195872)
  • IHC-P

Unknown

Immunohistochemistry (Formalin/PFA-fixed paraffin-embedded sections) - Anti-Cytokeratin 19 antibody [EP1580Y] - BSA and Azide free (AB195872)

Unpurified ab52625 showing positive staining in Gastric adenocarcinoma tissue.

This data was developed using the same antibody clone in a different buffer formulation containing PBS, BSA, glycerol, and sodium azide (ab52625).

OI-RD Scanning - Anti-Cytokeratin 19 antibody [EP1580Y] - BSA and Azide free (AB195872)
  • OI-RD Scanning

Unknown

OI-RD Scanning - Anti-Cytokeratin 19 antibody [EP1580Y] - BSA and Azide free (AB195872)

We have systematically measured KD (the equilibrium dissociation constant between the antibody and its antigen), of more than 840 recombinant antibodies to assess not only their individual KD values but also to see the average affinity of antibody. Based on the comparison with published literature values for mouse monoclonal antibodies, Recombinant antibodies appear to be on average 1-2 order of magnitude higher affinity.

  • Unconjugated

    Anti-Cytokeratin 19 antibody [EP1580Y] - Cytoskeleton Marker

  • 660 APC

    APC Anti-Cytokeratin 19 antibody [EP1580Y]

  • 519 Alexa Fluor® 488

    Alexa Fluor® 488 Anti-Cytokeratin 19 antibody [EP1580Y]

  • 565 Alexa Fluor® 555

    Alexa Fluor® 555 Anti-Cytokeratin 19 antibody [EP1580Y]

  • 603 Alexa Fluor® 568

    Alexa Fluor® 568 Anti-Cytokeratin 19 antibody [EP1580Y]

  • 617 Alexa Fluor® 594

    Alexa Fluor® 594 Anti-Cytokeratin 19 antibody [EP1580Y]

  • 665 Alexa Fluor® 647

    Alexa Fluor® 647 Anti-Cytokeratin 19 antibody [EP1580Y]

  • HRP

    HRP Anti-Cytokeratin 19 antibody [EP1580Y]

  • 578 PE

    PE Anti-Cytokeratin 19 antibody [EP1580Y]

Key facts

Host species

Rabbit

Clonality

Monoclonal

Clone number

EP1580Y

Isotype

IgG

Carrier free

Yes

Reacts with

Mouse, Human

Applications

mIHC, ICC/IF, Flow Cyt (Intra), WB, IHC-P

applications

Immunogen

The exact immunogen used to generate this antibody is proprietary information.

Reactivity data

{ "title": "Reactivity Data", "filters": { "stats": ["", "Species", "Dilution Info", "Notes"], "tabs": { "all-applications": {"fullname" : "All Applications", "shortname": "All Applications"}, "mIHC" : {"fullname" : "Multiplex immunohistochemistry", "shortname":"mIHC"}, "IHCP" : {"fullname" : "Immunohistochemistry (Formalin/PFA-fixed paraffin-embedded sections)", "shortname":"IHC-P"}, "IP" : {"fullname" : "Immunoprecipitation", "shortname":"IP"}, "WB" : {"fullname" : "Western blot", "shortname":"WB"}, "ICCIF" : {"fullname" : "Immunocytochemistry/ Immunofluorescence", "shortname":"ICC/IF"}, "FlowCytIntra" : {"fullname" : "Flow Cytometry (Intracellular)", "shortname":"Flow Cyt (Intra)"} }, "product-promise": { "all": "all", "testedAndGuaranteed": "tested", "guaranteed": "expected", "predicted": "predicted", "notRecommended": "not-recommended" } }, "values": { "Human": { "mIHC-species-checked": "testedAndGuaranteed", "mIHC-species-dilution-info": "", "mIHC-species-notes": "<p></p>", "IHCP-species-checked": "testedAndGuaranteed", "IHCP-species-dilution-info": "", "IHCP-species-notes": "<p></p>", "IP-species-checked": "notRecommended", "IP-species-dilution-info": "", "IP-species-notes": "<p></p>", "WB-species-checked": "testedAndGuaranteed", "WB-species-dilution-info": "", "WB-species-notes": "<p></p>", "ICCIF-species-checked": "testedAndGuaranteed", "ICCIF-species-dilution-info": "", "ICCIF-species-notes": "<p>This product gave a positive signal in MCF7 (-ve: SH-SY5Y) fixed with 100% methanol (5 min).</p>", "FlowCytIntra-species-checked": "testedAndGuaranteed", "FlowCytIntra-species-dilution-info": "", "FlowCytIntra-species-notes": "<p><a href='/en-us/products/primary-antibodies/rabbit-igg-monoclonal-epr25a-isotype-control-low-endotoxin-azide-free-ab199376'>ab199376</a> - Rabbit monoclonal IgG, is suitable for use as an isotype control with this antibody.</p>" }, "Mouse": { "mIHC-species-checked": "testedAndGuaranteed", "mIHC-species-dilution-info": "", "mIHC-species-notes": "<p></p>", "IHCP-species-checked": "guaranteed", "IHCP-species-dilution-info": "", "IHCP-species-notes": "", "IP-species-checked": "notRecommended", "IP-species-dilution-info": "", "IP-species-notes": "<p></p>", "WB-species-checked": "testedAndGuaranteed", "WB-species-dilution-info": "", "WB-species-notes": "<p></p>", "ICCIF-species-checked": "guaranteed", "ICCIF-species-dilution-info": "", "ICCIF-species-notes": "", "FlowCytIntra-species-checked": "guaranteed", "FlowCytIntra-species-dilution-info": "", "FlowCytIntra-species-notes": "" }, "Rat": { "mIHC-species-checked": "testedAndGuaranteed", "mIHC-species-dilution-info": "", "mIHC-species-notes": "<p></p>", "IHCP-species-checked": "guaranteed", "IHCP-species-dilution-info": "", "IHCP-species-notes": "", "IP-species-checked": "notRecommended", "IP-species-dilution-info": "", "IP-species-notes": "", "WB-species-checked": "guaranteed", "WB-species-dilution-info": "", "WB-species-notes": "", "ICCIF-species-checked": "guaranteed", "ICCIF-species-dilution-info": "", "ICCIF-species-notes": "", "FlowCytIntra-species-checked": "guaranteed", "FlowCytIntra-species-dilution-info": "", "FlowCytIntra-species-notes": "" } } }

Product details

What is this antibody validated in?
Anti-Cytokeratin 19 antibody [EP1580Y] - BSA and Azide free (ab195872) is a rabbit recombinant monoclonal antibody and is validated for use in Western Blot (WB), Flow Cytometry (Intra), Flow Cytometry (Flow Cyt), Immunohistochemistry (IHC-P), Immunocytochemistry/immunofluorescence (ICC/IF), Multiplex IHC (mIHC) in Human, Mouse samples.

What is the molecular weight of Cytokeratin 19?
Anti-Cytokeratin 19 [EP1580Y] - BSA and Azide free (ab195872) specifically detects a band for Cytokeratin 19 (UniProt: P08727) at a molecular weight of 44kDa.

Trusted by the scientific community
Anti-Cytokeratin 19 [EP1580Y] - BSA and Azide free (ab195872) was first used in a scientific publication in 2016 and has been cited over 10 times in peer-reviewed journals.

Trial sizes available!
Test your antibody or perform pre-screening before committing to a larger quantity. Sold in 10µl. Discover our selection of trial-size antibodies.

Specificity confirmed
The specificity of Anti-Cytokeratin 19 antibody [EP1580Y] - BSA and Azide free (ab195872) has been confirmed by Immunocytochemistry/ Immunofluorescence testing in Cytokeratin 19 Knockout MCF7 cells.

Other related products
We have a range of other formats of antibody clone [EP1580Y] also available for your convenience: ab52625, Alexa Fluor® 488 - ab192643, Alexa Fluor® 647 - ab192980, HRP - ab193600, Carrier free - ab195872, Alexa Fluor® 594 - ab203443, Alexa Fluor® 555 - ab203444, Alexa Fluor® 568 - ab203445, APC - ab224980, PE - ab224981, Carrier free - ab302465, ab323561, ab323562

Patented technology
Our RabMAb® technology is a patented hybridoma-based technology for making rabbit monoclonal antibodies. For details on our patents, please refer to RabMAb® patents.

What are the advantages of a recombinant monoclonal antibody?
This product is a recombinant monoclonal antibody, which offers several advantages including:

  • - High batch-to-batch consistency and reproducibility
  • - Improved sensitivity and specificity
  • - Long-term security of supply
  • - Animal-free batch production

For more information, read more on recombinant antibodies.

Conjugation ready
Our carrier-free antibodies are typically supplied in a PBS-only formulation, purified and free of BSA, sodium azide and glycerol. This conjugation-ready format is designed for use with fluorochromes, metal isotopes, oligonucleotides, and enzymes, which makes them ideal for antibody labelling, functional and cell-based assays, flow-based assays (e.g. mass cytometry) and Multiplex Imaging applications.

Use our conjugation kits for antibody conjugates that are ready-to-use in as little as 20 minutes with 1 minute hands-on-time and 100% antibody recovery: available for fluorescent dyes, HRP, biotin and gold.

Compatibility
This product is compatible with the Maxpar® Antibody Labeling Kit from Fluidigm, without the need for antibody preparation. Maxpar® is a trademark of Fluidigm Canada Inc.

Properties and storage information

Form
Liquid
Purification technique
Affinity purification Protein A
Storage buffer
pH: 7.2 - 7.4 Constituents: PBS
Shipped at conditions
Blue Ice
Appropriate short-term storage conditions
+4°C
Appropriate long-term storage conditions
+4°C
Storage information
Do Not Freeze

Supplementary information

This supplementary information is collated from multiple sources and compiled automatically.

Cytokeratin 19 (CK19) also known as cytokeratine 19 keratin 19 (KRT19) or CK19 is a type of intermediate filament found in epithelial cells. It serves as an essential component of the cytoskeleton. CK19 weighs approximately 40 kDa and is broadly expressed in simple epithelial tissues including liver intestine and various glandular epithelial cells. As a cytokeratin marker it often appears in combination with others like cytokeratin 17 in certain tissue types helping to maintain the structural integrity of cells.
Biological function summary

CK19 plays a role in maintaining the cytoskeletal framework that provides mechanical support and helps control cell size and shape. It is not part of a large protein complex but works closely with other cytokeratins to ensure the stability and resilience of epithelial tissues. The A53-B/A22.26 positive staining is often used to confirm its presence in clinical histopathology.

Pathways

CK19 connects to cellular processes especially involving the keratinization and epithelial cell differentiation pathways. It interacts with other cytokeratins including BA16 and KR17 to facilitate these processes. This interaction aids in modulating the dynamics of cytoskeletal rearrangement during cell movement division and differentiation.

CK19 overexpression is linked with certain cancers notably hepatocellular carcinoma and breast cancer. It can serve as a prognostic marker in these diseases often in conjunction with other markers like CK17. The involvement of CK19 in the epithelial-mesenchymal transition (EMT) process connects it to the progression and aggressiveness of tumors facilitated by interactions with proteins involved in EMT pathways.

Product protocols

For this product, it's our understanding that no specific protocols are required. You can visit:

Target data

Involved in the organization of myofibers. Together with KRT8, helps to link the contractile apparatus to dystrophin at the costameres of striated muscle.
See full target information KRT19

Publications (11)

Recent publications for all applications. Explore the full list and refine your search

Nature genetics 57:1213-1227 PubMed40259083

2025

Multi-omic and spatial analysis of mouse kidneys highlights sex-specific differences in gene regulation across the lifespan.

Applications

Unspecified application

Species

Unspecified reactive species

Siqi Chen,Ruiyang Liu,Chia-Kuei Mo,Michael C Wendl,Andrew Houston,Preet Lal,Yanyan Zhao,Wagma Caravan,Andrew T Shinkle,Atieh Abedin-Do,Nataly Naser Al Deen,Kazuhito Sato,Xiang Li,André Luiz N Targino da Costa,Yize Li,Alla Karpova,John M Herndon,Maxim N Artyomov,Joshua B Rubin,Sanjay Jain,Xue Li,Sheila A Stewart,Li Ding,Feng Chen

Cancers 15: PubMed37627221

2023

A Novel Mouse Model of Combined Hepatocellular-Cholangiocarcinoma Induced by Diethylnitrosamine and Loss of .

Applications

Unspecified application

Species

Unspecified reactive species

Judit Domènech Omella,Emanuela E Cortesi,Iris Verbinnen,Michiel Remmerie,Hanghang Wu,Francisco J Cubero,Tania Roskams,Veerle Janssens

The EMBO journal 40:e107333 PubMed33950524

2021

A single-cell RNA expression atlas of normal, preneoplastic and tumorigenic states in the human breast.

Applications

Unspecified application

Species

Unspecified reactive species

Bhupinder Pal,Yunshun Chen,François Vaillant,Bianca D Capaldo,Rachel Joyce,Xiaoyu Song,Vanessa L Bryant,Jocelyn S Penington,Leon Di Stefano,Nina Tubau Ribera,Stephen Wilcox,Gregory B Mann,Anthony T Papenfuss,Geoffrey J Lindeman,Gordon K Smyth,Jane E Visvader

Molecular cancer research : MCR 12:654-9 PubMed24482365

2014

PTEN is a potent suppressor of small cell lung cancer.

Applications

Unspecified application

Species

Unspecified reactive species

Min Cui,Arnaud Augert,Michael Rongione,Karina Conkrite,Susan Parazzoli,Alexander Yu Nikitin,Nicholas Ingolia,David MacPherson

BMC gastroenterology 13:116 PubMed23849208

2013

Cholestasis induces reversible accumulation of periplakin in mouse liver.

Applications

Unspecified application

Species

Unspecified reactive species

Shinji Ito,Junko Satoh,Tsutomu Matsubara,Yatrik M Shah,Sung-hoon Ahn,Cherie R Anderson,Weiwei Shan,Jeffrey M Peters,Frank J Gonzalez

Oral surgery, oral medicine, oral pathology and oral radiology 115:523-31 PubMed23522646

2013

The expression profiles of acidic epithelial keratins in ameloblastoma.

Applications

IHC-P

Species

Human

Samir Kumar Pal,Kei Sakamoto,Tadanobu Aragaki,Takumi Akashi,Akira Yamaguchi

Journal of virology 86:12795-805 PubMed22973041

2012

Impaired surfactant production by alveolar epithelial cells in a SCID-hu lung mouse model of congenital human cytomegalovirus infection.

Applications

Unspecified application

Species

Unspecified reactive species

Ekaterina Maidji,Galina Kosikova,Pheroze Joshi,Cheryl A Stoddart

Journal of oral pathology & medicine : official pu 41:637-41 PubMed22486945

2012

Ectopic production of hair keratin constitutes Rushton's hyaline bodies in association with hematogenous deposits.

Applications

WB

Species

Human

Kei Sakamoto,Rumana Khanom,Miwako Hamagaki,Akira Yamaguchi

American journal of physiology. Gastrointestinal and liver physiology 302:G225-35 PubMed22038829

2011

Glp-1 analog, liraglutide, ameliorates hepatic steatosis and cardiac hypertrophy in C57BL/6J mice fed a Western diet.

Applications

Unspecified application

Species

Unspecified reactive species

Jamie E Mells,Ping P Fu,Shvetank Sharma,Darin Olson,Lihong Cheng,Jeffrey A Handy,Neeraj K Saxena,Dan Sorescu,Frank A Anania

Oral surgery, oral medicine, oral pathology, oral radiology, and endodontics 109:e34-9 PubMed20303044

2010

A case of primary combined neuroendocrine carcinoma with squamous cell carcinoma in the upper gingiva.

Applications

Unspecified application

Species

Unspecified reactive species

Yumi Mochizuki,Ken Omura,Kei Sakamoto,Shoichi Nakanishi,Kiyoshi Satoh,Eriko Marukawa,Akira Yamaguchi
View all publications

Product promise

We are committed to supporting your work with high-quality reagents, and we're here for you every step of the way. In the unlikely event that one of our products does not perform as expected, you're protected by our Product Promise.
For full details, please see our Terms & Conditions

Please note: All products are 'FOR RESEARCH USE ONLY. NOT FOR USE IN DIAGNOSTIC OR THERAPEUTIC PROCEDURES'.

For licensing inquiries, please contact partnerships@abcam.com