JavaScript is disabled in your browser. Please enable JavaScript to view this website.
AB323562

Anti-Cytokeratin 19 antibody [EP1580Y] - Mouse IgG2a (Chimeric)

  • BOND RX™ Validated
  • Recombinant
  • 20ul selling size
  • What is this?

Be the first to review this product! Submit a review

|

(0 Publication)

Mouse Recombinant Monoclonal Cytokeratin 19 antibody. Suitable for ICC/IF, WB, IHC-P, Flow Cyt (Intra) and reacts with Human, Mouse, Rat samples.

View Alternative Names

Cytokeratin-19, Keratin-19, CK-19, K19, KRT19, ck19, ck 19

10 Images
Immunohistochemistry (Formalin/PFA-fixed paraffin-embedded sections) - Anti-Cytokeratin 19 antibody [EP1580Y] - Mouse IgG2a (Chimeric) (AB323562)
  • IHC-P

Supplier Data

Immunohistochemistry (Formalin/PFA-fixed paraffin-embedded sections) - Anti-Cytokeratin 19 antibody [EP1580Y] - Mouse IgG2a (Chimeric) (AB323562)

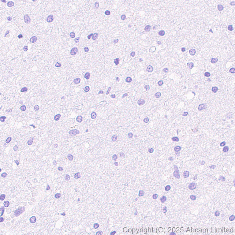
Immunohistochemical analysis of paraffin-embedded Human cerebrum tissue labeling Cytokeratin 19 with ab323562 at 1/5000 (0.175 ug/ml) dilution, followed by a ready to use LeicaDS9800 (Bond™ Polymer Refine Detection).

Negative control : no staining on human cerebrum. The section was incubated with ab323562 for 10 mins at room temperature, followed by anti-mouse IgG2a antibody for 8 mins during the LeicaDS9800 kit staining procedure.
The immunostaining was performed on a Leica Biosystems BOND® RX instrument

Counterstained with Hematoxylin.

Secondary antibody only control : Secondary antibody is a ready to use LeicaDS9800 (Bond™ Polymer Refine Detection).

Heat mediated antigen retrieval was performed with Tris-EDTA buffer (pH 9.0, Epitope Retrieval Solution2) for 20 mins

Immunohistochemistry (Formalin/PFA-fixed paraffin-embedded sections) - Anti-Cytokeratin 19 antibody [EP1580Y] - Mouse IgG2a (Chimeric) (AB323562)
  • IHC-P

Supplier Data

Immunohistochemistry (Formalin/PFA-fixed paraffin-embedded sections) - Anti-Cytokeratin 19 antibody [EP1580Y] - Mouse IgG2a (Chimeric) (AB323562)

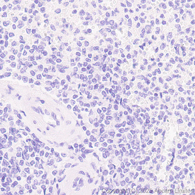
Immunohistochemical analysis of paraffin-embedded Human spleen tissue labeling Cytokeratin 19 with ab323562 at 1/5000 (0.175 ug/ml) dilution, followed by a ready to use LeicaDS9800 (Bond™ Polymer Refine Detection).

Negative control : no staining on human spleen. The section was incubated with ab323562 for 10 mins at room temperature, followed by anti-mouse IgG2a antibody for 8 mins during the LeicaDS9800 kit staining procedure.
The immunostaining was performed on a Leica Biosystems BOND® RX instrument

Counterstained with Hematoxylin.

Secondary antibody only control : Secondary antibody is a ready to use LeicaDS9800 (Bond™ Polymer Refine Detection).

Heat mediated antigen retrieval was performed with Tris-EDTA buffer (pH 9.0, Epitope Retrieval Solution2) for 20 mins

Flow Cytometry (Intracellular) - Anti-Cytokeratin 19 antibody [EP1580Y] - Mouse IgG2a (Chimeric) (AB323562)
  • Flow Cyt (Intra)

Supplier Data

Flow Cytometry (Intracellular) - Anti-Cytokeratin 19 antibody [EP1580Y] - Mouse IgG2a (Chimeric) (AB323562)

Flow cytometric analysis of 4% paraformaldehyde fixed 90% methanol permeabilized SH-SY5Y (human neuroblastoma epithelial cell, Left) / MCF7 (human breast adenocarcinoma epithelial cell, Right) cells labeling Cytokeratin 19 with ab323562 at 1/1000 dilution (0.1 ug) (Red) compared with a Rabbit monoclonal IgG (ab172730) (Black) isotype control and an unlabeled control (cells without incubation with primary antibody and secondary antibody) (Blue).

Goat Anti-Rabbit IgG (Alexa Fluor® 488, ab150081) at 1/5000 dilution was used as the secondary antibody.

Negative control : SH-SY5Y.

Immunohistochemistry (Formalin/PFA-fixed paraffin-embedded sections) - Anti-Cytokeratin 19 antibody [EP1580Y] - Mouse IgG2a (Chimeric) (AB323562)
  • IHC-P

Supplier Data

Immunohistochemistry (Formalin/PFA-fixed paraffin-embedded sections) - Anti-Cytokeratin 19 antibody [EP1580Y] - Mouse IgG2a (Chimeric) (AB323562)

Immunohistochemical analysis of paraffin-embedded Human thyroid cancer tissue labeling Cytokeratin 19 with ab323562 at 1/5000 (0.175 ug/ml) dilution, followed by a ready to use LeicaDS9800 (Bond™ Polymer Refine Detection).

Positive staining on human thyroid cancer. The section was incubated with ab323562 for 10 mins at room temperature, followed by anti-mouse IgG2a antibody for 8 mins during the LeicaDS9800 kit staining procedure.
The immunostaining was performed on a Leica Biosystems BOND® RX instrument

Counterstained with Hematoxylin.

Secondary antibody only control : Secondary antibody is a ready to use LeicaDS9800 (Bond™ Polymer Refine Detection).

Heat mediated antigen retrieval was performed with Tris-EDTA buffer (pH 9.0, Epitope Retrieval Solution2) for 20 mins

Immunohistochemistry (Formalin/PFA-fixed paraffin-embedded sections) - Anti-Cytokeratin 19 antibody [EP1580Y] - Mouse IgG2a (Chimeric) (AB323562)
  • IHC-P

Supplier Data

Immunohistochemistry (Formalin/PFA-fixed paraffin-embedded sections) - Anti-Cytokeratin 19 antibody [EP1580Y] - Mouse IgG2a (Chimeric) (AB323562)

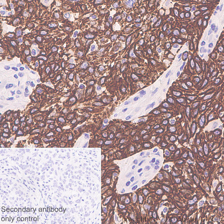
Immunohistochemical analysis of paraffin-embedded Human lung cancer tissue labeling Cytokeratin 19 with ab323562 at 1/5000 (0.175 ug/ml) dilution, followed by a ready to use LeicaDS9800 (Bond™ Polymer Refine Detection).

Positive staining on human lung cancer. The section was incubated with ab323562 for 10 mins at room temperature, followed by anti-mouse IgG2a antibody for 8 mins during the LeicaDS9800 kit staining procedure.
The immunostaining was performed on a Leica Biosystems BOND® RX instrument

Counterstained with Hematoxylin.

Secondary antibody only control : Secondary antibody is a ready to use LeicaDS9800 (Bond™ Polymer Refine Detection).

Heat mediated antigen retrieval was performed with Tris-EDTA buffer (pH 9.0, Epitope Retrieval Solution2) for 20 mins

Immunohistochemistry (Formalin/PFA-fixed paraffin-embedded sections) - Anti-Cytokeratin 19 antibody [EP1580Y] - Mouse IgG2a (Chimeric) (AB323562)
  • IHC-P

Supplier Data

Immunohistochemistry (Formalin/PFA-fixed paraffin-embedded sections) - Anti-Cytokeratin 19 antibody [EP1580Y] - Mouse IgG2a (Chimeric) (AB323562)

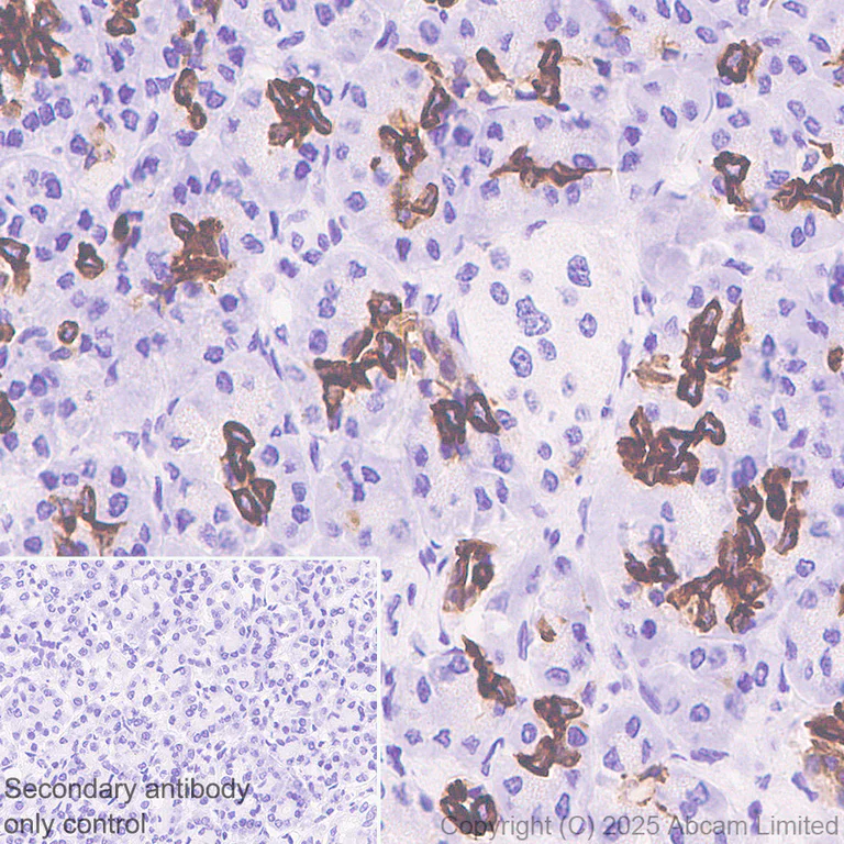
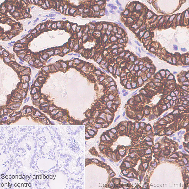
Immunohistochemical analysis of paraffin-embedded Human pancreas tissue labeling Cytokeratin 19 with ab323562 at 1/5000 (0.175 ug/ml) dilution, followed by a ready to use LeicaDS9800 (Bond™ Polymer Refine Detection).

Positive staining on human pancreatic ducts. The section was incubated with ab323562 for 10 mins at room temperature, followed by anti-mouse IgG2a antibody for 8 mins during the LeicaDS9800 kit staining procedure.
The immunostaining was performed on a Leica Biosystems BOND® RX instrument

Counterstained with Hematoxylin.

Secondary antibody only control : Secondary antibody is a ready to use LeicaDS9800 (Bond™ Polymer Refine Detection).

Heat mediated antigen retrieval was performed with Tris-EDTA buffer (pH 9.0, Epitope Retrieval Solution2) for 20 mins

Immunocytochemistry/ Immunofluorescence - Anti-Cytokeratin 19 antibody [EP1580Y] - Mouse IgG2a (Chimeric) (AB323562)
  • ICC/IF

Supplier Data

Immunocytochemistry/ Immunofluorescence - Anti-Cytokeratin 19 antibody [EP1580Y] - Mouse IgG2a (Chimeric) (AB323562)

Immunofluorescent analysis of 100% methanol-fixed, 0.1% TritonX-100 permeabilized MCF7 (human breast adenocarcinoma epithelial cell) cells labelling Cytokeratin 19 with ab323562 at 1/800 (1.096 ug/ml) dilution, followed by ab150117 Goat Anti-Mouse IgG H&L (Alexa Fluor® 488) preadsorbed antibody at 1/1000 dilution (Green).

Confocal image showing cytoplasmic staining in MCF7 cell line (shown in green). The counterstain was observed in magenta. Nuclear DNA was labelled with DAPI (shown in blue).
Negative control : SH-SY5Y.
Image was taken with a confocal microscope (Leica-Microsystems, TCS SP8).

ab202272 Recombinant Alexa Fluor® 594 Anti-alpha Tubulin antibody [EP1332Y] - Microtubule Marker (ab202272) was used to counterstain tubulin at 1/200 dilution (Magenta). The Nuclear counterstain was DAPI (Blue).

Secondary antibody only control : Secondary antibody is ab150117 Goat Anti-Mouse IgG H&L (Alexa Fluor® 488) preadsorbed at 1/1000 dilution.

Western blot - Anti-Cytokeratin 19 antibody [EP1580Y] - Mouse IgG2a (Chimeric) (AB323562)
  • WB

Supplier Data

Western blot - Anti-Cytokeratin 19 antibody [EP1580Y] - Mouse IgG2a (Chimeric) (AB323562)

Blocking and diluting buffer and concentration : 5% NFDM/TBST.

Negative control : Spleen (PMID : 24309898)

In Western blot, Anti-GAPDH antibody [EPR16891] - Loading Control (ab181602) staining at 1/200000 dilution.

All lanes:

Western blot - Anti-Cytokeratin 19 antibody [EP1580Y] - Mouse IgG2a (Chimeric) (ab323562) at 1/1000 dilution

Lane 1:

SK-BR-3 (human breast adenocarcinoma epithelial cell) whole cell lysate at 20 µg

Lane 2:

Human colon tissue lysate at 20 µg

Lane 3:

Human stomach tissue lysate at 20 µg

Lane 4:

Human spleen tissue lysate at 40 µg

Secondary

All lanes:

Western blot - Goat Anti-Mouse IgG Fc (HRP) preadsorbed (<a href='/en-us/products/secondary-antibodies/goat-mouse-igg-fc-hrp-preadsorbed-ab98717'>ab98717</a>) at 1/20000 dilution

Observed band size: 44 kDa,36 kDa

false

Exposure time: 15s

Western blot - Anti-Cytokeratin 19 antibody [EP1580Y] - Mouse IgG2a (Chimeric) (AB323562)
  • WB

Supplier Data

Western blot - Anti-Cytokeratin 19 antibody [EP1580Y] - Mouse IgG2a (Chimeric) (AB323562)

Blocking and diluting buffer and concentration : 5% NFDM/TBST.

Negative control : SH-SY5Y (PMID : 30650643 and PMID : 27345400)

In Western blot, Anti-Histone H3 antibody [EPR16987] - Nuclear Marker and ChIP Grade (ab176842) staining at 1/100000 dilution.

All lanes:

Western blot - Anti-Cytokeratin 19 antibody [EP1580Y] - Mouse IgG2a (Chimeric) (ab323562) at 1/1000 dilution

Lane 1:

MCF7 (human breast adenocarcinoma epithelial cell) whole cell lysate at 20 µg

Lane 2:

SH-SY5Y (human neuroblastoma epithelial cell) whole cell lysate at 40 µg

Secondary

All lanes:

Western blot - Goat Anti-Mouse IgG Fc (HRP) preadsorbed (<a href='/en-us/products/secondary-antibodies/goat-mouse-igg-fc-hrp-preadsorbed-ab98717'>ab98717</a>) at 1/20000 dilution

Observed band size: 44 kDa,17 kDa

false

Exposure time: 4s

Western blot - Anti-Cytokeratin 19 antibody [EP1580Y] - Mouse IgG2a (Chimeric) (AB323562)
  • WB

Supplier Data

Western blot - Anti-Cytokeratin 19 antibody [EP1580Y] - Mouse IgG2a (Chimeric) (AB323562)

Blocking and diluting buffer and concentration : 5% NFDM/TBST.

Negative control : Spleen (PMID : 24309898)

In Western blot, Anti-GAPDH antibody [EPR16891] - Loading Control (ab181602) staining at 1/200000 dilution.

All lanes:

Western blot - Anti-Cytokeratin 19 antibody [EP1580Y] - Mouse IgG2a (Chimeric) (ab323562) at 1/1000 dilution

Lane 1:

Mouse colon tissue lysate at 20 µg

Lane 2:

Mouse spleen tissue lysate at 20 µg

Lane 3:

Rat colon tissue lysate at 20 µg

Lane 4:

Rat spleen tissue lysate at 20 µg

Secondary

All lanes:

Western blot - Goat Anti-Mouse IgG Fc (HRP) preadsorbed (<a href='/en-us/products/secondary-antibodies/goat-mouse-igg-fc-hrp-preadsorbed-ab98717'>ab98717</a>) at 1/20000 dilution

Observed band size: 44 kDa,36 kDa

false

Exposure time: 26s

  • Unconjugated

    Anti-Cytokeratin 19 antibody [EP1580Y] - Cytoskeleton Marker

  • Carrier free

    Anti-Cytokeratin 19 antibody [EP1580Y] - Mouse IgG2a (Chimeric) - BSA and Azide free

  • 603 Alexa Fluor® 568

    Alexa Fluor® 568 Anti-Cytokeratin 19 antibody [EP1580Y]

  • 617 Alexa Fluor® 594

    Alexa Fluor® 594 Anti-Cytokeratin 19 antibody [EP1580Y]

  • 565 Alexa Fluor® 555

    Alexa Fluor® 555 Anti-Cytokeratin 19 antibody [EP1580Y]

  • 578 PE

    PE Anti-Cytokeratin 19 antibody [EP1580Y]

  • 665 Alexa Fluor® 647

    Alexa Fluor® 647 Anti-Cytokeratin 19 antibody [EP1580Y]

  • 519 Alexa Fluor® 488

    Alexa Fluor® 488 Anti-Cytokeratin 19 antibody [EP1580Y]

  • 660 APC

    APC Anti-Cytokeratin 19 antibody [EP1580Y]

  • Carrier free

    Anti-Cytokeratin 19 antibody [EP1580Y] - BSA and Azide free

  • HRP

    HRP Anti-Cytokeratin 19 antibody [EP1580Y]

Key facts

Host species

Mouse

Clonality

Monoclonal

Clone number

EP1580Y

Isotype

IgG2a

Carrier free

No

Reacts with

Human, Mouse, Rat

Applications

ICC/IF, IHC-P, Flow Cyt (Intra), WB

applications

Immunogen

The exact immunogen used to generate this antibody is proprietary information.

Reactivity data

{ "title": "Reactivity Data", "filters": { "stats": ["", "Species", "Dilution Info", "Notes"], "tabs": { "all-applications": {"fullname" : "All Applications", "shortname": "All Applications"}, "ICCIF" : {"fullname" : "Immunocytochemistry/ Immunofluorescence", "shortname":"ICC/IF"}, "WB" : {"fullname" : "Western blot", "shortname":"WB"}, "IHCP" : {"fullname" : "Immunohistochemistry (Formalin/PFA-fixed paraffin-embedded sections)", "shortname":"IHC-P"}, "FlowCytIntra" : {"fullname" : "Flow Cytometry (Intracellular)", "shortname":"Flow Cyt (Intra)"} }, "product-promise": { "all": "all", "testedAndGuaranteed": "tested", "guaranteed": "expected", "predicted": "predicted", "notRecommended": "not-recommended" } }, "values": { "Human": { "ICCIF-species-checked": "testedAndGuaranteed", "ICCIF-species-dilution-info": "1/800", "ICCIF-species-notes": "<p></p>", "WB-species-checked": "testedAndGuaranteed", "WB-species-dilution-info": "1/1000", "WB-species-notes": "<p></p>", "IHCP-species-checked": "testedAndGuaranteed", "IHCP-species-dilution-info": "1/5000", "IHCP-species-notes": "<p></p> Perform heat-mediated antigen retrieval with Tris/EDTA buffer pH 9.0 before commencing with IHC staining protocol.", "FlowCytIntra-species-checked": "testedAndGuaranteed", "FlowCytIntra-species-dilution-info": "1/1000", "FlowCytIntra-species-notes": "<p></p>" }, "Mouse": { "ICCIF-species-checked": "guaranteed", "ICCIF-species-dilution-info": "", "ICCIF-species-notes": "", "WB-species-checked": "testedAndGuaranteed", "WB-species-dilution-info": "1/1000", "WB-species-notes": "<p></p>", "IHCP-species-checked": "guaranteed", "IHCP-species-dilution-info": "", "IHCP-species-notes": "", "FlowCytIntra-species-checked": "guaranteed", "FlowCytIntra-species-dilution-info": "", "FlowCytIntra-species-notes": "" }, "Rat": { "ICCIF-species-checked": "guaranteed", "ICCIF-species-dilution-info": "", "ICCIF-species-notes": "", "WB-species-checked": "testedAndGuaranteed", "WB-species-dilution-info": "1/1000", "WB-species-notes": "<p></p>", "IHCP-species-checked": "guaranteed", "IHCP-species-dilution-info": "", "IHCP-species-notes": "", "FlowCytIntra-species-checked": "guaranteed", "FlowCytIntra-species-dilution-info": "", "FlowCytIntra-species-notes": "" } } }

Product details

This Mouse monoclonal chimeric antibody has been engineered from a RabMAb parent antibody (ab52625). By design, some rabbit sequence is retained as part of the variable domain. When multiplexing with other rabbit-derived antibodies, using cross absorbed FC-reactive secondary antibodies are recommended.

What are the advantages of a recombinant monoclonal antibody?
This product is a recombinant monoclonal antibody, which offers several advantages including:

  • - High batch-to-batch consistency and reproducibility
  • - Improved sensitivity and specificity
  • - Long-term security of supply
  • - Animal-free batch production

For more information, read more on recombinant antibodies.

Want a custom formulation?
This antibody clone is manufactured by Abcam. If you require a custom buffer formulation or conjugation for your experiments, please contact orders@abcam.com

Properties and storage information

Form
Liquid
Purification technique
Affinity purification Protein A
Storage buffer
pH: 7.2 - 7.4 Preservative: 0.01% Sodium azide Constituents: PBS, 40% Glycerol (glycerin, glycerine), 0.05% BSA
Shipped at conditions
Blue Ice
Appropriate short-term storage duration
1-2 weeks
Appropriate short-term storage conditions
+4°C
Appropriate long-term storage conditions
-20°C
Aliquoting information
Upon delivery aliquot
Storage information
Avoid freeze / thaw cycle

Product protocols

For this product, it's our understanding that no specific protocols are required. You can visit:

Target data

Involved in the organization of myofibers. Together with KRT8, helps to link the contractile apparatus to dystrophin at the costameres of striated muscle.
See full target information KRT19

Product promise

We are committed to supporting your work with high-quality reagents, and we're here for you every step of the way. In the unlikely event that one of our products does not perform as expected, you're protected by our Product Promise.
For full details, please see our Terms & Conditions

Please note: All products are 'FOR RESEARCH USE ONLY. NOT FOR USE IN DIAGNOSTIC OR THERAPEUTIC PROCEDURES'.

For licensing inquiries, please contact partnerships@abcam.com