JavaScript is disabled in your browser. Please enable JavaScript to view this website.
AB323561

Anti-Cytokeratin 19 antibody [EP1580Y] - Rat IgG2a (Chimeric)

  • BOND RX™ Validated
  • Recombinant
  • 20ul selling size
  • What is this?

Be the first to review this product! Submit a review

|

(0 Publication)

Rat Recombinant Monoclonal Cytokeratin 19 antibody. Suitable for ICC/IF, WB, IHC-P, Flow Cyt (Intra) and reacts with Human, Mouse, Rat samples.

View Alternative Names

Cytokeratin-19, Keratin-19, CK-19, K19, KRT19, ck19, ck 19

10 Images
Immunohistochemistry (Formalin/PFA-fixed paraffin-embedded sections) - Anti-Cytokeratin 19 antibody [EP1580Y] - Rat IgG2a (Chimeric) (AB323561)
  • IHC-P

Supplier Data

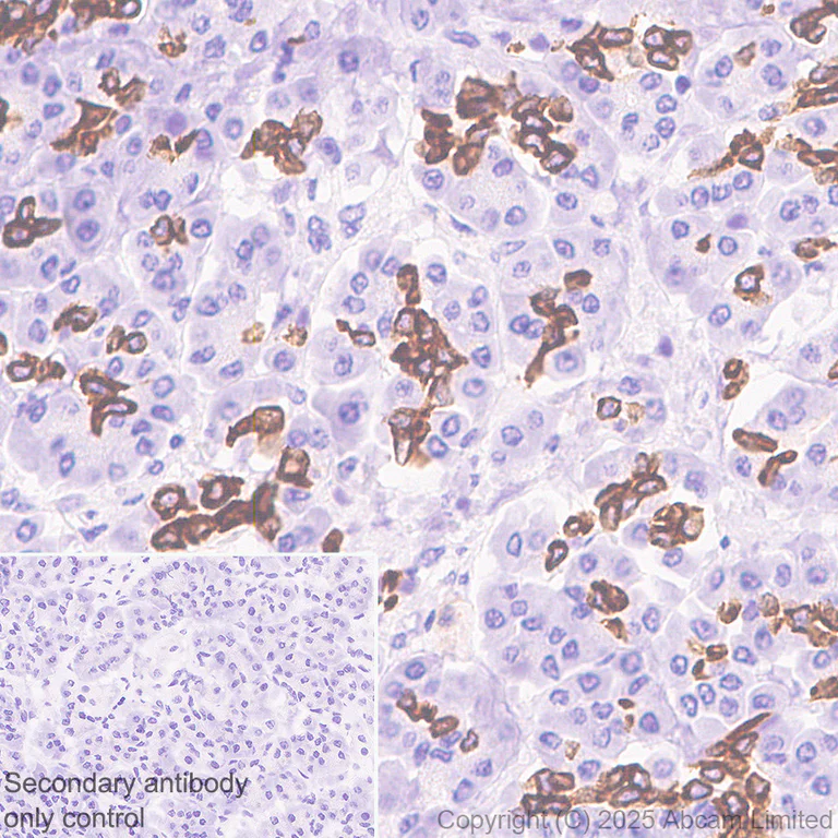
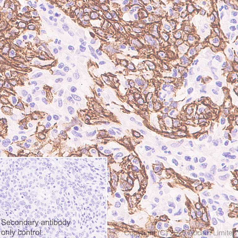
Immunohistochemistry (Formalin/PFA-fixed paraffin-embedded sections) - Anti-Cytokeratin 19 antibody [EP1580Y] - Rat IgG2a (Chimeric) (AB323561)

Immunohistochemical analysis of paraffin-embedded Human lung cancer tissue labeling Cytokeration 19 with ab323561 at 1/5000 (0.2 ug/ml) dilution, followed by LeicaDS9800 (Bond™ Polymer Refine Detection).

Positive staining on human lung cancer.
The section was incubated with ab323561 for 30 mins at room temperature, followed by anti-rat IgG antibody (ab102248) for 8 mins during the LeicaDS9800 kit staining procedure.
The immunostaining was performed on a Leica Biosystems BOND® RX instrument

Counterstained with Hematoxylin.

Secondary antibody only control : Secondary antibody is LeicaDS9800 (Bond™ Polymer Refine Detection).

Heat mediated antigen retrieval was performed with Tris-EDTA buffer (pH 9.0, Epitope Retrieval Solution2) for 20 mins

Immunohistochemistry (Formalin/PFA-fixed paraffin-embedded sections) - Anti-Cytokeratin 19 antibody [EP1580Y] - Rat IgG2a (Chimeric) (AB323561)
  • IHC-P

Supplier Data

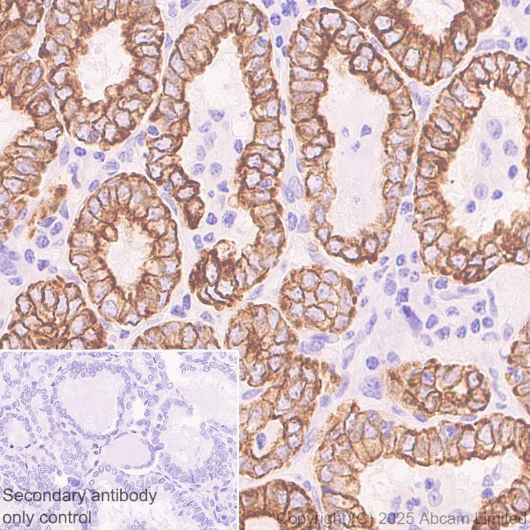
Immunohistochemistry (Formalin/PFA-fixed paraffin-embedded sections) - Anti-Cytokeratin 19 antibody [EP1580Y] - Rat IgG2a (Chimeric) (AB323561)

Immunohistochemical analysis of paraffin-embedded Human pancreas tissue labeling Cytokeration 19 with ab323561 at 1/5000 (0.2 ug/ml) dilution, followed by LeicaDS9800 (Bond™ Polymer Refine Detection).

Positive staining on pancreatic ducts.
The section was incubated with ab323561 for 30 mins at room temperature, followed by anti-rat IgG antibody (ab102248) for 8 mins during the LeicaDS9800 kit staining procedure.
The immunostaining was performed on a Leica Biosystems BOND® RX instrument

Counterstained with Hematoxylin.

Secondary antibody only control : Secondary antibody is LeicaDS9800 (Bond™ Polymer Refine Detection).

Heat mediated antigen retrieval was performed with Tris-EDTA buffer (pH 9.0, Epitope Retrieval Solution2) for 20 mins

Immunohistochemistry (Formalin/PFA-fixed paraffin-embedded sections) - Anti-Cytokeratin 19 antibody [EP1580Y] - Rat IgG2a (Chimeric) (AB323561)
  • IHC-P

Supplier Data

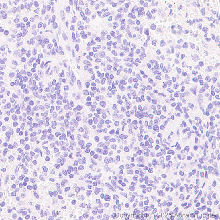
Immunohistochemistry (Formalin/PFA-fixed paraffin-embedded sections) - Anti-Cytokeratin 19 antibody [EP1580Y] - Rat IgG2a (Chimeric) (AB323561)

Immunohistochemical analysis of paraffin-embedded Human spleen tissue labeling Cytokeration 19 with ab323561 at 1/5000 (0.2 ug/ml) dilution, followed by LeicaDS9800 (Bond™ Polymer Refine Detection).

Negative control : no staining on human spleen.
The section was incubated with ab323561 for 30 mins at room temperature, followed by anti-rat IgG antibody (ab102248) for 8 mins during the LeicaDS9800 kit staining procedure.
The immunostaining was performed on a Leica Biosystems BOND® RX instrument

Counterstained with Hematoxylin.

Secondary antibody only control : Secondary antibody is LeicaDS9800 (Bond™ Polymer Refine Detection).

Heat mediated antigen retrieval was performed with Tris-EDTA buffer (pH 9.0, Epitope Retrieval Solution2) for 20 mins

Flow Cytometry (Intracellular) - Anti-Cytokeratin 19 antibody [EP1580Y] - Rat IgG2a (Chimeric) (AB323561)
  • Flow Cyt (Intra)

Supplier Data

Flow Cytometry (Intracellular) - Anti-Cytokeratin 19 antibody [EP1580Y] - Rat IgG2a (Chimeric) (AB323561)

Flow cytometric analysis of 4% paraformaldehyde fixed 90% methanol permeabilized SH-SY5Y(human neuroblastoma epithelial cell, Left) / MCF7(human breast adenocarcinoma epithelial cell, Right) cells labelling Cytokeration 19 with ab323561 at 1/1000 dilution (0.1 ug) (Red) compared with a Rat monoclonal IgG (Black) isotype control and an unlabelled control (cells without incubation with primary antibody and secondary antibody).

Goat F(ab)2 Anti-Rat IgG Fc (Alexa Fluor® 488, ab150161) at 1/5000 dilution was used as the secondary antibody.

Negative control : SH-SY5Y.

Immunohistochemistry (Formalin/PFA-fixed paraffin-embedded sections) - Anti-Cytokeratin 19 antibody [EP1580Y] - Rat IgG2a (Chimeric) (AB323561)
  • IHC-P

Supplier Data

Immunohistochemistry (Formalin/PFA-fixed paraffin-embedded sections) - Anti-Cytokeratin 19 antibody [EP1580Y] - Rat IgG2a (Chimeric) (AB323561)

Immunohistochemical analysis of paraffin-embedded Human thyroid cancer tissue labeling Cytokeration 19 with ab323561 at 1/5000 (0.2 ug/ml) dilution, followed by LeicaDS9800 (Bond™ Polymer Refine Detection).

Positive staining on human thyroid cancer.
The section was incubated with ab323561 for 30 mins at room temperature, followed by anti-rat IgG antibody (ab102248) for 8 mins during the LeicaDS9800 kit staining procedure.
The immunostaining was performed on a Leica Biosystems BOND® RX instrument

Counterstained with Hematoxylin.

Secondary antibody only control : Secondary antibody is LeicaDS9800 (Bond™ Polymer Refine Detection).

Heat mediated antigen retrieval was performed with Tris-EDTA buffer (pH 9.0, Epitope Retrieval Solution2) for 20 mins

Immunohistochemistry (Formalin/PFA-fixed paraffin-embedded sections) - Anti-Cytokeratin 19 antibody [EP1580Y] - Rat IgG2a (Chimeric) (AB323561)
  • IHC-P

Supplier Data

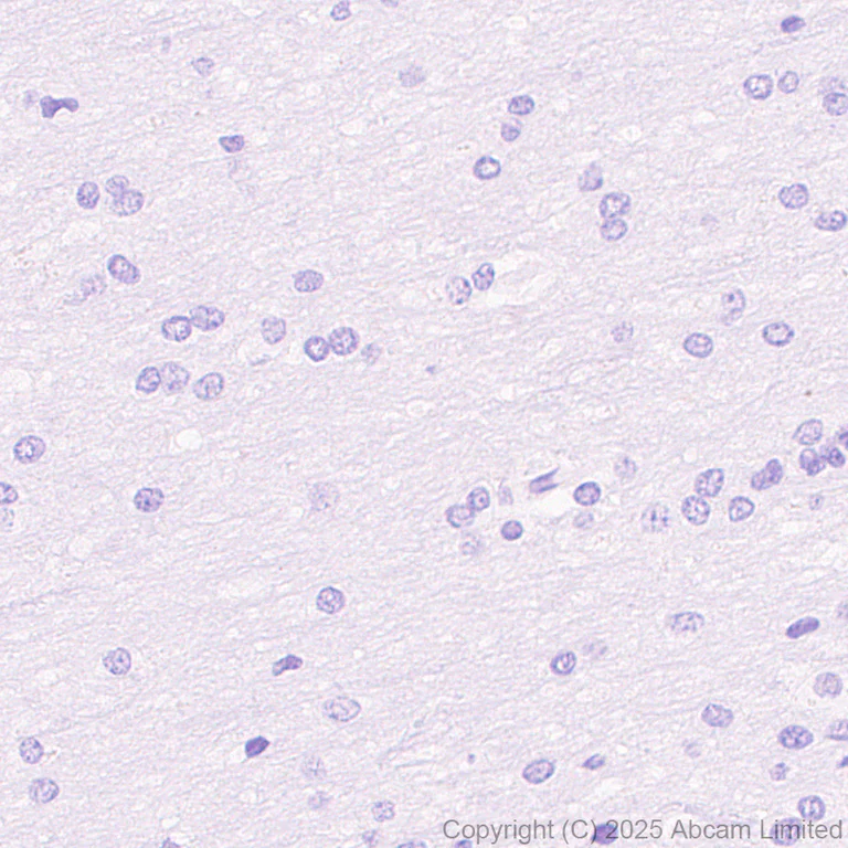
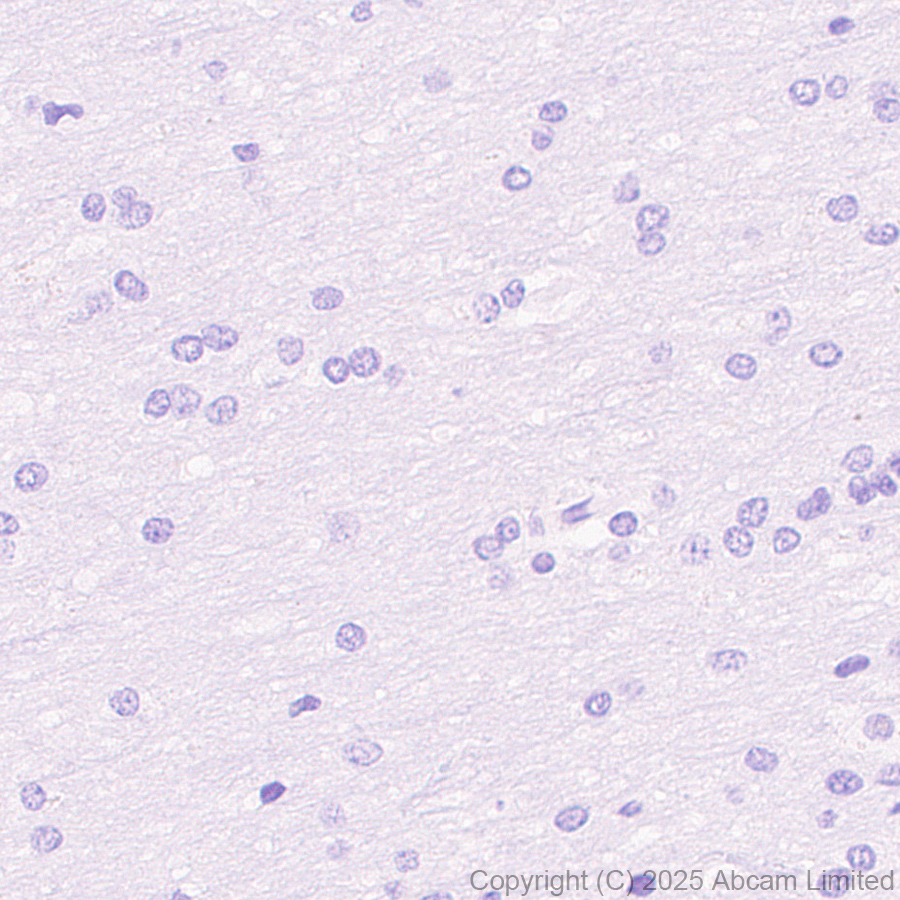
Immunohistochemistry (Formalin/PFA-fixed paraffin-embedded sections) - Anti-Cytokeratin 19 antibody [EP1580Y] - Rat IgG2a (Chimeric) (AB323561)

Immunohistochemical analysis of paraffin-embedded Human cerebrum tissue labeling Cytokeration 19 with ab323561 at 1/5000 (0.2 ug/ml) dilution, followed by LeicaDS9800 (Bond™ Polymer Refine Detection).

Negative control : no staining on human cerebrum.
The section was incubated with ab323561 for 30 mins at room temperature, followed by anti-rat IgG antibody (ab102248) for 8 mins during the LeicaDS9800 kit staining procedure.
The immunostaining was performed on a Leica Biosystems BOND® RX instrument

Counterstained with Hematoxylin.

Secondary antibody only control : Secondary antibody is LeicaDS9800 (Bond™ Polymer Refine Detection).

Heat mediated antigen retrieval was performed with Tris-EDTA buffer (pH 9.0, Epitope Retrieval Solution2) for 20 mins

Immunocytochemistry/ Immunofluorescence - Anti-Cytokeratin 19 antibody [EP1580Y] - Rat IgG2a (Chimeric) (AB323561)
  • ICC/IF

Supplier Data

Immunocytochemistry/ Immunofluorescence - Anti-Cytokeratin 19 antibody [EP1580Y] - Rat IgG2a (Chimeric) (AB323561)

Immunofluorescent analysis of 100% methanol-fixed, 0.1% TritonX-100 permeabilized MCF7 (human breast adenocarcinoma epithelial cell) cells labelling Cytokeration 19 with ab323561 at 1/4000 ( 0.2495 ug/ml) dilution, followed by ab150157 Goat Anti-Rat IgG H&L (Alexa Fluor® 488) antibody at 1/1000 2ug/ml dilution (Green).

Confocal image showing cytoplasmic staining in MCF7 cell line (shown in green). The counterstain was observed in magenta. Nuclear DNA was labelled with DAPI (shown in blue).
Negative control : SH-SY5Y.
Image was taken with a confocal microscope (Leica-Microsystems, TCS SP8).

ab202272 Recombinant Alexa Fluor® 594 Anti-alpha Tubulin antibody [EP1332Y] - Microtubule Marker (ab202272) was used to counterstain tubulin at 1/200 10ug/ml dilution (Magenta). The Nuclear counterstain was DAPI (Blue).

Secondary antibody only control : Secondary antibody is ab150157 Goat Anti-Rat IgG H&L (Alexa Fluor® 488) at 1/1000 2ug/ml dilution.

Western blot - Anti-Cytokeratin 19 antibody [EP1580Y] - Rat IgG2a (Chimeric) (AB323561)
  • WB

Supplier Data

Western blot - Anti-Cytokeratin 19 antibody [EP1580Y] - Rat IgG2a (Chimeric) (AB323561)

Blocking and diluting buffer and concentration : 5% NFDM/TBST.

All lanes:

Western blot - Anti-Cytokeratin 19 antibody [EP1580Y] - Rat IgG2a (Chimeric) (ab323561) at 1/1000 dilution

Lane 1:

SK-BR-3 (human breast adenocarcinoma epithelial cell) whole cell lysate at 20 µg

Lane 2:

HT-29 (human colorectal adenocarcinoma epithelial cell) whole cell lysate at 20 µg

Lane 3:

Human stomach tissue lysate at 20 µg

Secondary

All lanes:

Western blot - Goat Anti-Rat IgG Fc (HRP) preadsorbed (<a href='/en-us/products/secondary-antibodies/goat-rat-igg-fc-hrp-preadsorbed-ab97090'>ab97090</a>) at 1/20000 dilution

Observed band size: 44 kDa

false

Exposure time: 26s

Western blot - Anti-Cytokeratin 19 antibody [EP1580Y] - Rat IgG2a (Chimeric) (AB323561)
  • WB

Supplier Data

Western blot - Anti-Cytokeratin 19 antibody [EP1580Y] - Rat IgG2a (Chimeric) (AB323561)

Blocking and diluting buffer and concentration : 5% NFDM/TBST.

Negative control : SH-SY5Y (PMID : 30650643 and PMID : 27345400). Spleen (PMID : 24309898).

In Western blot, Anti-GAPDH antibody [EPR16891] - Loading Control (ab181602) staining at 1/200000 dilution.

Exposure time : Lanes 1-2 : 4 seconds; Lanes 3-4 : 37 seconds

All lanes:

Western blot - Anti-Cytokeratin 19 antibody [EP1580Y] - Rat IgG2a (Chimeric) (ab323561) at 1/1000 dilution

Lane 1:

MCF7 (human breast adenocarcinoma epithelial cell) whole cell lysate at 20 µg

Lane 2:

SH-SY5Y (human neuroblastoma epithelial cell) whole cell lysate at 40 µg

Lane 3:

Human colon tissue lysate at 20 µg

Lane 4:

Human spleen tissue lysate at 20 µg

Secondary

All lanes:

Western blot - Goat Anti-Rat IgG Fc (HRP) preadsorbed (<a href='/en-us/products/secondary-antibodies/goat-rat-igg-fc-hrp-preadsorbed-ab97090'>ab97090</a>) at 1/20000 dilution

Observed band size: 44 kDa,36 kDa

false

Western blot - Anti-Cytokeratin 19 antibody [EP1580Y] - Rat IgG2a (Chimeric) (AB323561)
  • WB

Supplier Data

Western blot - Anti-Cytokeratin 19 antibody [EP1580Y] - Rat IgG2a (Chimeric) (AB323561)

Blocking and diluting buffer and concentration : 5% NFDM/TBST.

Negative control : Spleen (PMID : 24309898)

In Western blot, Anti-GAPDH antibody [EPR16891] - Loading Control (ab181602) staining at 1/200000 dilution.

All lanes:

Western blot - Anti-Cytokeratin 19 antibody [EP1580Y] - Rat IgG2a (Chimeric) (ab323561) at 1/1000 dilution

Lane 1:

Mouse colon tissue lysate at 20 µg

Lane 2:

Mouse spleen tissue lysate at 20 µg

Lane 3:

Rat colon tissue lysate at 20 µg

Lane 4:

Rat spleen tissue lysate at 20 µg

Secondary

All lanes:

Western blot - Goat Anti-Rat IgG Fc (HRP) preadsorbed (<a href='/en-us/products/secondary-antibodies/goat-rat-igg-fc-hrp-preadsorbed-ab97090'>ab97090</a>) at 1/20000 dilution

Observed band size: 44 kDa,36 kDa

false

Exposure time: 26s

Key facts

Host species

Rat

Clonality

Monoclonal

Clone number

EP1580Y

Isotype

IgG2a

Carrier free

No

Reacts with

Human, Mouse, Rat

Applications

ICC/IF, Flow Cyt (Intra), WB, IHC-P

applications

Immunogen

The exact immunogen used to generate this antibody is proprietary information.

Reactivity data

{ "title": "Reactivity Data", "filters": { "stats": ["", "Species", "Dilution Info", "Notes"], "tabs": { "all-applications": {"fullname" : "All Applications", "shortname": "All Applications"}, "ICCIF" : {"fullname" : "Immunocytochemistry/ Immunofluorescence", "shortname":"ICC/IF"}, "WB" : {"fullname" : "Western blot", "shortname":"WB"}, "IHCP" : {"fullname" : "Immunohistochemistry (Formalin/PFA-fixed paraffin-embedded sections)", "shortname":"IHC-P"}, "FlowCytIntra" : {"fullname" : "Flow Cytometry (Intracellular)", "shortname":"Flow Cyt (Intra)"} }, "product-promise": { "all": "all", "testedAndGuaranteed": "tested", "guaranteed": "expected", "predicted": "predicted", "notRecommended": "not-recommended" } }, "values": { "Human": { "ICCIF-species-checked": "testedAndGuaranteed", "ICCIF-species-dilution-info": "1/4000", "ICCIF-species-notes": "<p></p>", "WB-species-checked": "testedAndGuaranteed", "WB-species-dilution-info": "1/1000", "WB-species-notes": "<p></p>", "IHCP-species-checked": "testedAndGuaranteed", "IHCP-species-dilution-info": "1/5000", "IHCP-species-notes": "<p></p> Perform heat-mediated antigen retrieval with Tris/EDTA buffer pH 9.0 before commencing with IHC staining protocol.", "FlowCytIntra-species-checked": "testedAndGuaranteed", "FlowCytIntra-species-dilution-info": "1/1000", "FlowCytIntra-species-notes": "<p></p>" }, "Mouse": { "ICCIF-species-checked": "guaranteed", "ICCIF-species-dilution-info": "", "ICCIF-species-notes": "", "WB-species-checked": "testedAndGuaranteed", "WB-species-dilution-info": "1/1000", "WB-species-notes": "<p></p>", "IHCP-species-checked": "guaranteed", "IHCP-species-dilution-info": "", "IHCP-species-notes": "", "FlowCytIntra-species-checked": "guaranteed", "FlowCytIntra-species-dilution-info": "", "FlowCytIntra-species-notes": "" }, "Rat": { "ICCIF-species-checked": "guaranteed", "ICCIF-species-dilution-info": "", "ICCIF-species-notes": "", "WB-species-checked": "testedAndGuaranteed", "WB-species-dilution-info": "1/1000", "WB-species-notes": "<p></p>", "IHCP-species-checked": "guaranteed", "IHCP-species-dilution-info": "", "IHCP-species-notes": "", "FlowCytIntra-species-checked": "guaranteed", "FlowCytIntra-species-dilution-info": "", "FlowCytIntra-species-notes": "" } } }

Product details

This rat antibody has been engineered from a RabMAb parent antibody (ab52625). By necessity, some rabbit sequence is retained as part of the variable domain. When multiplexing with other rabbit-derived antibodies, using cross absorbed Fc-reactive secondary antibodies are recommended.

What are the advantages of a recombinant monoclonal antibody?
This product is a recombinant monoclonal antibody, which offers several advantages including:

  • - High batch-to-batch consistency and reproducibility
  • - Improved sensitivity and specificity
  • - Long-term security of supply
  • - Animal-free batch production

For more information, read more on recombinant antibodies.

Want a custom formulation?
This antibody clone is manufactured by Abcam. If you require a custom buffer formulation or conjugation for your experiments, please contact orders@abcam.com

Properties and storage information

Form
Liquid
Purification technique
Ion exchange chromatography
Storage buffer
pH: 7.2 - 7.4 Preservative: 0.01% Sodium azide Constituents: PBS, 40% Glycerol (glycerin, glycerine), 0.05% BSA
Shipped at conditions
Blue Ice
Appropriate short-term storage duration
1-2 weeks
Appropriate short-term storage conditions
+4°C
Appropriate long-term storage conditions
-20°C
Aliquoting information
Upon delivery aliquot
Storage information
Avoid freeze / thaw cycle

Product protocols

For this product, it's our understanding that no specific protocols are required. You can visit:

Target data

Involved in the organization of myofibers. Together with KRT8, helps to link the contractile apparatus to dystrophin at the costameres of striated muscle.
See full target information KRT19

Product promise

We are committed to supporting your work with high-quality reagents, and we're here for you every step of the way. In the unlikely event that one of our products does not perform as expected, you're protected by our Product Promise.
For full details, please see our Terms & Conditions

Please note: All products are 'FOR RESEARCH USE ONLY. NOT FOR USE IN DIAGNOSTIC OR THERAPEUTIC PROCEDURES'.

For licensing inquiries, please contact partnerships@abcam.com