JavaScript is disabled in your browser. Please enable JavaScript to view this website.
AB313831

Anti-Cytokeratin 19 antibody [HL1165] - BSA and Azide free

Be the first to review this product! Submit a review

|

(0 Publication)

Rabbit Recombinant Monoclonal Cytokeratin 19 antibody. Carrier free. Suitable for WB, ICC/IF, IHC-P and reacts with Human, Rat samples. Immunogen corresponding to Synthetic Peptide within Human KRT19 conjugated to Keyhole Limpet Haemocyanin.

View Alternative Names

Cytokeratin-19, Keratin-19, CK-19, K19, KRT19, ck19, ck 19, Ka19, Krt1-19, Krt19, Cytokeratin-19, Keratin-19, Type I keratin Ka19, CK-19, K19

2 Images
Immunocytochemistry/ Immunofluorescence - Anti-Cytokeratin 19 antibody [HL1165] - BSA and Azide free (AB313831)
  • ICC/IF

Supplier Data

Immunocytochemistry/ Immunofluorescence - Anti-Cytokeratin 19 antibody [HL1165] - BSA and Azide free (AB313831)

Immunofluorescent analysis of MCF7 (Human breast adenocarcinoma cell line) cells labeling Cytokeratin 19 using ab313831 at a 1/500 dilution (green). Blue : Fluoroshield with DAPI. Red : alpha Tubulin, a cytoskeleton marker, stained by alpha Tubulin antibody [GT114] diluted at 1/1000. Cells were fixed in ice-cold MeOH for 10 mins.

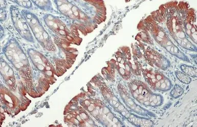
Immunohistochemistry (Formalin/PFA-fixed paraffin-embedded sections) - Anti-Cytokeratin 19 antibody [HL1165] - BSA and Azide free (AB313831)
  • IHC-P

Supplier Data

Immunohistochemistry (Formalin/PFA-fixed paraffin-embedded sections) - Anti-Cytokeratin 19 antibody [HL1165] - BSA and Azide free (AB313831)

Key facts

Host species

Rabbit

Clonality

Monoclonal

Clone number

HL1165

Isotype

IgG

Carrier free

Yes

Reacts with

Human, Rat

Applications

IHC-P, WB, ICC/IF

applications

Immunogen

Synthetic Peptide within Human KRT19 conjugated to Keyhole Limpet Haemocyanin.

P08727

Reactivity data

{ "title": "Reactivity Data", "filters": { "stats": ["", "Species", "Dilution Info", "Notes"], "tabs": { "all-applications": {"fullname" : "All Applications", "shortname": "All Applications"}, "WB" : {"fullname" : "Western blot", "shortname":"WB"}, "ICCIF" : {"fullname" : "Immunocytochemistry/ Immunofluorescence", "shortname":"ICC/IF"}, "IHCP" : {"fullname" : "Immunohistochemistry (Formalin/PFA-fixed paraffin-embedded sections)", "shortname":"IHC-P"} }, "product-promise": { "all": "all", "testedAndGuaranteed": "tested", "guaranteed": "expected", "predicted": "predicted", "notRecommended": "not-recommended" } }, "values": { "Human": { "WB-species-checked": "guaranteed", "WB-species-dilution-info": "1/500 - 1/3000", "WB-species-notes": "<p></p>", "ICCIF-species-checked": "testedAndGuaranteed", "ICCIF-species-dilution-info": "1/1000", "ICCIF-species-notes": "<p></p>", "IHCP-species-checked": "guaranteed", "IHCP-species-dilution-info": "", "IHCP-species-notes": "" }, "Rat": { "WB-species-checked": "predicted", "WB-species-dilution-info": "", "WB-species-notes": "", "ICCIF-species-checked": "guaranteed", "ICCIF-species-dilution-info": "", "ICCIF-species-notes": "", "IHCP-species-checked": "testedAndGuaranteed", "IHCP-species-dilution-info": "1/100 - 1/1000", "IHCP-species-notes": "<p></p> Perform heat-mediated antigen retrieval with citrate buffer pH 6 before commencing with IHC staining protocol." } } }

Product details

What are the advantages of a recombinant monoclonal antibody?
This product is a recombinant monoclonal antibody, which offers several advantages including:

  • - High batch-to-batch consistency and reproducibility
  • - Improved sensitivity and specificity
  • - Long-term security of supply
  • - Animal-free batch production

For more information, read more on recombinant antibodies.

Conjugation ready
Our carrier-free antibodies are typically supplied in a PBS-only formulation, purified and free of BSA, sodium azide and glycerol. This conjugation-ready format is designed for use with fluorochromes, metal isotopes, oligonucleotides, and enzymes, which makes them ideal for antibody labelling, functional and cell-based assays, flow-based assays (e.g. mass cytometry) and Multiplex Imaging applications.

Use our conjugation kits for antibody conjugates that are ready-to-use in as little as 20 minutes with 1 minute hands-on-time and 100% antibody recovery: available for fluorescent dyes, HRP, biotin and gold.

Properties and storage information

Form
Liquid
Purification technique
Affinity purification Protein A
Storage buffer
pH: 7.4 Constituents: PBS
Shipped at conditions
Blue Ice
Appropriate short-term storage conditions
+4°C
Appropriate long-term storage conditions
+4°C
Aliquoting information
Upon delivery aliquot

Supplementary information

This supplementary information is collated from multiple sources and compiled automatically.

Cytokeratin 19 (CK19) also known as cytokera­tine 19 keratin 19 (KRT19) or CK19 is a type of intermediate filament found in epithelial cells. It serves as an essential component of the cytoskeleton. CK19 weighs approximately 40 kDa and is broadly expressed in simple epithelial tissues including liver intestine and various glandular epithelial cells. As a cytokeratin marker it often appears in combination with others like cytokeratin 17 in certain tissue types helping to maintain the structural integrity of cells.
Biological function summary

CK19 plays a role in maintaining the cytoskeletal framework that provides mechanical support and helps control cell size and shape. It is not part of a large protein complex but works closely with other cytokeratins to ensure the stability and resilience of epithelial tissues. The A53-B/A22.26 positive staining is often used to confirm its presence in clinical histopathology.

Pathways

CK19 connects to cellular processes especially involving the keratinization and epithelial cell differentiation pathways. It interacts with other cytokeratins including BA16 and KR17 to facilitate these processes. This interaction aids in modulating the dynamics of cytoskeletal rearrangement during cell movement division and differentiation.

CK19 overexpression is linked with certain cancers notably hepatocellular carcinoma and breast cancer. It can serve as a prognostic marker in these diseases often in conjunction with other markers like CK17. The involvement of CK19 in the epithelial-mesenchymal transition (EMT) process connects it to the progression and aggressiveness of tumors facilitated by interactions with proteins involved in EMT pathways.

Product protocols

For this product, it's our understanding that no specific protocols are required. You can visit:

Target data

Involved in the organization of myofibers. Together with KRT8, helps to link the contractile apparatus to dystrophin at the costameres of striated muscle.
See full target information KRT19

Additional targets

Krt19

Product promise

We are committed to supporting your work with high-quality reagents, and we're here for you every step of the way. In the unlikely event that one of our products does not perform as expected, you're protected by our Product Promise.
For full details, please see our Terms & Conditions

Please note: All products are 'FOR RESEARCH USE ONLY. NOT FOR USE IN DIAGNOSTIC OR THERAPEUTIC PROCEDURES'.

For licensing inquiries, please contact partnerships@abcam.com