JavaScript is disabled in your browser. Please enable JavaScript to view this website.
AB254186

Anti-Cytokeratin 19 antibody [LP2K]

Be the first to review this product! Submit a review

|

(8 Publications)

Mouse Recombinant Monoclonal Cytokeratin 19 antibody. Suitable for IHC-P, ICC/IF, Flow Cyt, WB and reacts with Human samples. Cited in 8 publications.

View Alternative Names

Cytokeratin-19, Keratin-19, CK-19, K19, KRT19, ck19, ck 19

7 Images
Immunohistochemistry (Formalin/PFA-fixed paraffin-embedded sections) - Anti-Cytokeratin 19 antibody [LP2K] (AB254186)
  • IHC-P

Supplier Data

Immunohistochemistry (Formalin/PFA-fixed paraffin-embedded sections) - Anti-Cytokeratin 19 antibody [LP2K] (AB254186)

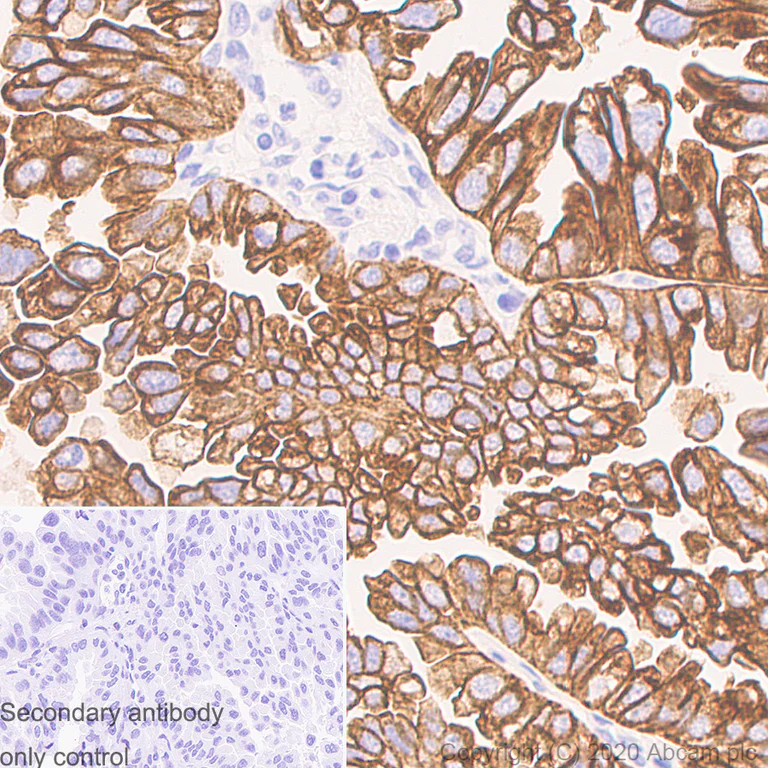
Immunohistochemical analysis of paraffin-embedded human lung carcinoma tissue labeling Cytokeratin 19 with ab254186 at 1/10000 (0.105 μg/ml) dilution followed by ready to use LeicaDS9800 (Bond™ Polymer Refine Detection). Membranous staining on human lung carcinoma is observed. The section was incubated with ab254186 for 30 mins at room temperature and followed by specific mouse IgG antibody (ab190482) for 8mins. The immunostaining was performed on a Leica Biosystems BOND® RX instrument. Counterstained with Hematoxylin.

Secondary antibody only control : Secondary antibody is ready to use LeicaDS9800 (Bond™ Polymer Refine Detection).

Heat mediated antigen retrieval with Citrate buffer (pH 6.0, epitope retrieval solution 1) for 20 mins.

Immunocytochemistry/ Immunofluorescence - Anti-Cytokeratin 19 antibody [LP2K] (AB254186)
  • ICC/IF

Supplier Data

Immunocytochemistry/ Immunofluorescence - Anti-Cytokeratin 19 antibody [LP2K] (AB254186)

Immunofluorescent analysis of 4% Paraformaldehyde-fixed, 100% Methanol permeabilized MCF7 (human breast adenocarcinoma epithelial cell) cells labelling Cytokeratin 19 with ab254186 at 1/500 (2.096 μg/ml) dilution, followed by ab150113 Goat Anti-Mouse IgG H&L (Alexa Fluor® 488) antibody at 1/1000 dilution (Green). Confocal image showing cytoplasmic staining in MCF7 cells.

ab179513 Anti-beta Tubulin rabbit monoclonal antibody was used to counterstain tubulin at 1/200 dilution followed by ab150080 Goat Anti-Rabbit IgG H&L (Alexa Fluor® 594) at a 1/1000 dilution (Red). The nuclear counterstain was DAPI (Blue).

Negative control 1 : ab254186 at a 1/50 dilution followed by ab150080 at a 1/1000 dilution.

Negative control 2 : ab179513 at a 1/200 dilution followed by ab150113 at a 1/1000 dilution.

Immunohistochemistry (Formalin/PFA-fixed paraffin-embedded sections) - Anti-Cytokeratin 19 antibody [LP2K] (AB254186)
  • IHC-P

Supplier Data

Immunohistochemistry (Formalin/PFA-fixed paraffin-embedded sections) - Anti-Cytokeratin 19 antibody [LP2K] (AB254186)

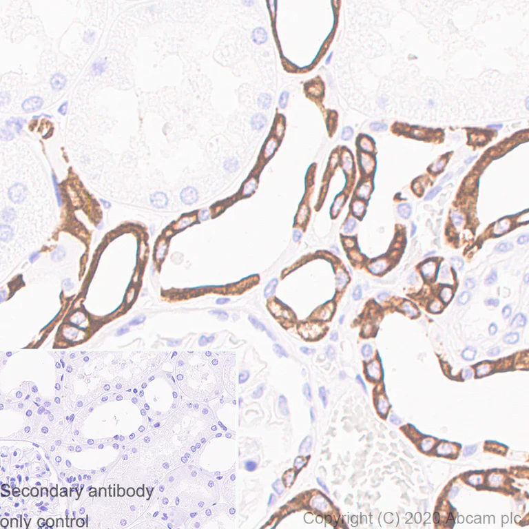
Immunohistochemical analysis of paraffin-embedded human kidney tissue labeling Cytokeratin 19 with ab254186 at 1/10000 (0.105 μg/ml) dilution followed by ready to use LeicaDS9800 (Bond™ Polymer Refine Detection). Positive staining on human kidney is observed. The section was incubated with ab254186 for 30 mins at room temperature and followed by specific mouse IgG antibody (ab190482) for 8mins. The immunostaining was performed on a Leica Biosystems BOND® RX instrument. Counterstained with Hematoxylin.

Secondary antibody only control : Secondary antibody is ready to use LeicaDS9800 (Bond™ Polymer Refine Detection).

Heat mediated antigen retrieval with Citrate buffer (pH 6.0, epitope retrieval solution 1) for 20 mins.

Immunohistochemistry (Formalin/PFA-fixed paraffin-embedded sections) - Anti-Cytokeratin 19 antibody [LP2K] (AB254186)
  • IHC-P

Supplier Data

Immunohistochemistry (Formalin/PFA-fixed paraffin-embedded sections) - Anti-Cytokeratin 19 antibody [LP2K] (AB254186)

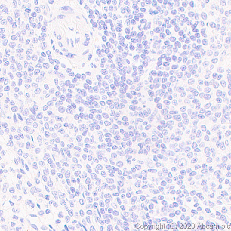
Immunohistochemical analysis of paraffin-embedded human spleen tissue labeling Cytokeratin 19 with ab254186 at 1/10000 (0.105 μg/ml) dilution followed by ready to use LeicaDS9800 (Bond™ Polymer Refine Detection). The section was incubated with ab254186 for 30 mins at room temperature and followed by specific mouse IgG antibody (ab190482) for 8mins. The immunostaining was performed on a Leica Biosystems BOND® RX instrument. Counterstained with Hematoxylin.

Negative control : no staining on human spleen.

Heat mediated antigen retrieval with Citrate buffer (pH 6.0, epitope retrieval solution 1) for 20 mins.

Flow Cytometry - Anti-Cytokeratin 19 antibody [LP2K] (AB254186)
  • Flow Cyt

Supplier Data

Flow Cytometry - Anti-Cytokeratin 19 antibody [LP2K] (AB254186)

Flow cytometric analysis of 4% paraformaldehyde fixed 90% methanol permeabilized MCF7 (Human breast adenocarcinoma epithelial cell) cells labelling Cytokeratin 19 with ab254186 at 1/1000 dilution (0.1μg) (Red) compared with a Mouse monoclonal IgG (Black) isotype control and an unlabelled control (cells without incubation with primary antibody and secondary antibody) (Blue).

Goat anti mouse IgG (Alexa Fluor® 488, ab150113) at 1/2000 dilution was used as the secondary antibody.

Western blot - Anti-Cytokeratin 19 antibody [LP2K] (AB254186)
  • WB

Supplier Data

Western blot - Anti-Cytokeratin 19 antibody [LP2K] (AB254186)

Blocking/Dilution buffer : 5% NFDM/TBST.

Exposure times : Lanes 1-3 : 3 secs; Lane 4 : 48 secs.

All lanes:

Western blot - Anti-Cytokeratin 19 antibody [LP2K] (ab254186) at 1/2000 dilution

Lane 1:

HepG2 (human hepatocellular carcinoma epithelial cell) whole cell lysate at 20 µg

Lane 2:

MCF7 (human breast adenocarcinoma epithelial cell) whole cell lysate at 20 µg

Lane 3:

HT-29 (human colorectal adenocarcinoma epithelial cell) whole cell lysate at 20 µg

Lane 4:

Human skin tissue lysate at 20 µg

Secondary

All lanes:

Peroxidase-Conjugated Goat anti-Mouse IgG (H+L) at 1/10000 dilution

Predicted band size: 44 kDa

Observed band size: 40 kDa

false

Western blot - Anti-Cytokeratin 19 antibody [LP2K] (AB254186)
  • WB

Supplier Data

Western blot - Anti-Cytokeratin 19 antibody [LP2K] (AB254186)

The expression profile observed is consistent with what has been described in the literature (PMID : 24309898).
Negative control : human spleen (PMID : 24309898).

Blocking/Dilution buffer : 5% NFDM/TBST.

All lanes:

Western blot - Anti-Cytokeratin 19 antibody [LP2K] (ab254186) at 1/2000 dilution

Lane 1:

Human kidney tissue lysate at 20 µg

Lane 2:

Human colon tissue lysate at 20 µg

Lane 3:

Human stomach tissue lysate at 20 µg

Lane 4:

Human spleen tissue lysate at 20 µg

Secondary

All lanes:

Peroxidase-Conjugated Goat anti-Mouse IgG (H+L) at 1/10000 dilution

Predicted band size: 44 kDa

Observed band size: 40 kDa

false

  • Carrier free

    Anti-Cytokeratin 19 antibody [LP2K] - BSA and Azide free

Key facts

Host species

Mouse

Clonality

Monoclonal

Clone number

LP2K

Isotype

IgG2b

Carrier free

No

Reacts with

Human

Applications

WB, ICC/IF, Flow Cyt, IHC-P

applications

Reactivity data

{ "title": "Reactivity Data", "filters": { "stats": ["", "Species", "Dilution Info", "Notes"], "tabs": { "all-applications": {"fullname" : "All Applications", "shortname": "All Applications"}, "IHCP" : {"fullname" : "Immunohistochemistry (Formalin/PFA-fixed paraffin-embedded sections)", "shortname":"IHC-P"}, "ICCIF" : {"fullname" : "Immunocytochemistry/ Immunofluorescence", "shortname":"ICC/IF"}, "FlowCyt" : {"fullname" : "Flow Cytometry", "shortname":"Flow Cyt"}, "WB" : {"fullname" : "Western blot", "shortname":"WB"} }, "product-promise": { "all": "all", "testedAndGuaranteed": "tested", "guaranteed": "expected", "predicted": "predicted", "notRecommended": "not-recommended" } }, "values": { "Human": { "IHCP-species-checked": "testedAndGuaranteed", "IHCP-species-dilution-info": "1/10000", "IHCP-species-notes": "<p></p> Perform heat-mediated antigen retrieval with citrate buffer pH 6 before commencing with IHC staining protocol.", "ICCIF-species-checked": "testedAndGuaranteed", "ICCIF-species-dilution-info": "1/500", "ICCIF-species-notes": "<p></p>", "FlowCyt-species-checked": "testedAndGuaranteed", "FlowCyt-species-dilution-info": "1/1000", "FlowCyt-species-notes": "<p></p>", "WB-species-checked": "testedAndGuaranteed", "WB-species-dilution-info": "1/2000", "WB-species-notes": "<p></p>" }, "Mouse": { "IHCP-species-checked": "notRecommended", "IHCP-species-dilution-info": "1/10000", "IHCP-species-notes": "<p></p> Perform heat-mediated antigen retrieval with citrate buffer pH 6 before commencing with IHC staining protocol.", "ICCIF-species-checked": "notRecommended", "ICCIF-species-dilution-info": "1/500", "ICCIF-species-notes": "<p></p>", "FlowCyt-species-checked": "notRecommended", "FlowCyt-species-dilution-info": "1/1000", "FlowCyt-species-notes": "<p></p>", "WB-species-checked": "notRecommended", "WB-species-dilution-info": "1/2000", "WB-species-notes": "<p></p>" }, "Rat": { "IHCP-species-checked": "notRecommended", "IHCP-species-dilution-info": "1/10000", "IHCP-species-notes": "<p></p> Perform heat-mediated antigen retrieval with citrate buffer pH 6 before commencing with IHC staining protocol.", "ICCIF-species-checked": "notRecommended", "ICCIF-species-dilution-info": "", "ICCIF-species-notes": "", "FlowCyt-species-checked": "notRecommended", "FlowCyt-species-dilution-info": "", "FlowCyt-species-notes": "", "WB-species-checked": "notRecommended", "WB-species-dilution-info": "1/2000", "WB-species-notes": "<p></p>" } } }

Product details

What are the advantages of a recombinant monoclonal antibody?
This product is a recombinant monoclonal antibody, which offers several advantages including:

  • - High batch-to-batch consistency and reproducibility
  • - Improved sensitivity and specificity
  • - Long-term security of supply
  • - Animal-free batch production

For more information, read more on recombinant antibodies.

Want a custom formulation?
This antibody clone is manufactured by Abcam. If you require a custom buffer formulation or conjugation for your experiments, please contact orders@abcam.com

Properties and storage information

Form
Liquid
Purification technique
Affinity purification Protein A
Storage buffer
Preservative: 0.01% Sodium azide Constituents: PBS, 40% Glycerol (glycerin, glycerine), 0.05% BSA
Shipped at conditions
Blue Ice
Appropriate short-term storage duration
1-2 weeks
Appropriate short-term storage conditions
+4°C
Appropriate long-term storage conditions
-20°C
Aliquoting information
Upon delivery aliquot
Storage information
Avoid freeze / thaw cycle

Supplementary information

This supplementary information is collated from multiple sources and compiled automatically.

Cytokeratin 19 (CK19) also known as cytokera­tine 19 keratin 19 (KRT19) or CK19 is a type of intermediate filament found in epithelial cells. It serves as an essential component of the cytoskeleton. CK19 weighs approximately 40 kDa and is broadly expressed in simple epithelial tissues including liver intestine and various glandular epithelial cells. As a cytokeratin marker it often appears in combination with others like cytokeratin 17 in certain tissue types helping to maintain the structural integrity of cells.
Biological function summary

CK19 plays a role in maintaining the cytoskeletal framework that provides mechanical support and helps control cell size and shape. It is not part of a large protein complex but works closely with other cytokeratins to ensure the stability and resilience of epithelial tissues. The A53-B/A22.26 positive staining is often used to confirm its presence in clinical histopathology.

Pathways

CK19 connects to cellular processes especially involving the keratinization and epithelial cell differentiation pathways. It interacts with other cytokeratins including BA16 and KR17 to facilitate these processes. This interaction aids in modulating the dynamics of cytoskeletal rearrangement during cell movement division and differentiation.

CK19 overexpression is linked with certain cancers notably hepatocellular carcinoma and breast cancer. It can serve as a prognostic marker in these diseases often in conjunction with other markers like CK17. The involvement of CK19 in the epithelial-mesenchymal transition (EMT) process connects it to the progression and aggressiveness of tumors facilitated by interactions with proteins involved in EMT pathways.

Product protocols

For this product, it's our understanding that no specific protocols are required. You can visit:

Target data

Involved in the organization of myofibers. Together with KRT8, helps to link the contractile apparatus to dystrophin at the costameres of striated muscle.
See full target information KRT19

Publications (8)

Recent publications for all applications. Explore the full list and refine your search

Molecular medicine reports 32: PubMed41070609

2025

Ginsenoside Rh1 inhibits tumor growth in mice with colorectal cancer and depressive symptoms via modulation of the gut microbiota and tumor microenvironment.

Applications

Unspecified application

Species

Unspecified reactive species

Tingting Dai,Lingchang Li,Jiaxin Li,Xiaobin Tan,Yi Luo,Xuedong Wang,Jie Song,Sujuan Li,Songshan Shi

Theranostics 14:7219-7240 PubMed39629129

2024

Gut microbiota depletion and FXR inhibition exacerbates zonal hepatotoxicity of sunitinib.

Applications

Unspecified application

Species

Unspecified reactive species

Qi Zhao,Yingmei Lu,Jingyi Duan,Dan Du,Qianlun Pu,Fei Li

EMBO reports 25:1055-1074 PubMed38351372

2024

XIAP-mediated degradation of IFT88 disrupts HSC cilia to stimulate HSC activation and liver fibrosis.

Applications

Unspecified application

Species

Unspecified reactive species

Renjie Hong,Yanjie Tan,Xiaoyu Tian,Zhenzhou Huang,Jiaying Wang,Hua Ni,Jia Yang,Weiwen Bu,Song Yang,Te Li,Fan Yu,Weilong Zhong,Tao Sun,Xiaohong Wang,Dengwen Li,Min Liu,Yunfan Yang,Jun Zhou

Journal of cellular physiology 238:2600-2611 PubMed37683035

2023

Primary cilium-mediated signaling cascade suppresses age-related biliary fibrosis.

Applications

Unspecified application

Species

Unspecified reactive species

Renjie Hong,Xiaoyu Tian,Hongbo Ma,Hua Ni,Jia Yang,Weiwen Bu,Te Li,Song Yang,Dengwen Li,Min Liu,Yanjie Tan

Nature communications 14:1829 PubMed37005411

2023

Parabacteroides distasonis ameliorates hepatic fibrosis potentially via modulating intestinal bile acid metabolism and hepatocyte pyroptosis in male mice.

Applications

Unspecified application

Species

Unspecified reactive species

Qi Zhao,Man-Yun Dai,Ruo-Yue Huang,Jing-Yi Duan,Ting Zhang,Wei-Min Bao,Jing-Yi Zhang,Shao-Qiang Gui,Shu-Min Xia,Cong-Ting Dai,Ying-Mei Tang,Frank J Gonzalez,Fei Li

European journal of biochemistry 231:475-85 PubMed7543411

1995

Epitope mapping of monoclonal antibodies to keratin 19 using keratin fragments, synthetic peptides and phage peptide libraries.

Applications

Unspecified application

Species

Unspecified reactive species

V Böttger,P C Stasiak,D L Harrison,D M Mellerick,E B Lane

Development (Cambridge, England) 115:503-17 PubMed1385062

1992

Differential expression of acidic cytokeratins 18 and 19 during sexual differentiation of the rat gonad.

Applications

Unspecified application

Species

Unspecified reactive species

V Fridmacher,O Locquet,S Magre

The Journal of investigative dermatology 92:707-16 PubMed2469734

1989

Keratin 19: predicted amino acid sequence and broad tissue distribution suggest it evolved from keratinocyte keratins.

Applications

Unspecified application

Species

Unspecified reactive species

P C Stasiak,P E Purkis,I M Leigh,E B Lane
View all publications

Product promise

We are committed to supporting your work with high-quality reagents, and we're here for you every step of the way. In the unlikely event that one of our products does not perform as expected, you're protected by our Product Promise.
For full details, please see our Terms & Conditions

Please note: All products are 'FOR RESEARCH USE ONLY. NOT FOR USE IN DIAGNOSTIC OR THERAPEUTIC PROCEDURES'.

For licensing inquiries, please contact partnerships@abcam.com