JavaScript is disabled in your browser. Please enable JavaScript to view this website.
AB97511

Anti-Cytokeratin 20 antibody - Cytoskeleton Marker

Be the first to review this product! Submit a review

|

(8 Publications)

Rabbit Polyclonal Cytokeratin 20 antibody. Cytoskeleton marker. Suitable for WB, IHC-P, ICC/IF and reacts with Human, Mouse samples. Cited in 8 publications. Immunogen corresponding to Recombinant Fragment Protein within Human KRT20 aa 50-300.

View Alternative Names

Cytokeratin-20, Keratin-20, Protein IT, CK-20, K20, KRT20

5 Images
Immunohistochemistry (Formalin/PFA-fixed paraffin-embedded sections) - Anti-Cytokeratin 20 antibody - Cytoskeleton Marker (AB97511)
  • IHC-P

Supplier Data

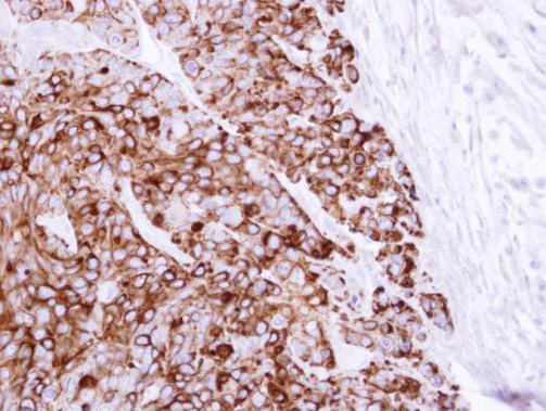
Immunohistochemistry (Formalin/PFA-fixed paraffin-embedded sections) - Anti-Cytokeratin 20 antibody - Cytoskeleton Marker (AB97511)

ab97511 staining Cytokeratin 20 in HT29 xenograft by Immunohistochemistry (IHC-P - paraformaldehyde - fixed, paraffin embedded sections). Samples were incubated with primary antibody at 1 : 100 dilution.

Immunocytochemistry/ Immunofluorescence - Anti-Cytokeratin 20 antibody - Cytoskeleton Marker (AB97511)
  • ICC/IF

Unknown

Immunocytochemistry/ Immunofluorescence - Anti-Cytokeratin 20 antibody - Cytoskeleton Marker (AB97511)

Immunofluorescence analysis of Cytokeratin 20 in paraformaldehyde fixed HeLa, using ab97511 at a 1/200 dilution.
Lower image (2) : merged with DNA probe.

Immunohistochemistry (Formalin/PFA-fixed paraffin-embedded sections) - Anti-Cytokeratin 20 antibody - Cytoskeleton Marker (AB97511)
  • IHC-P

Unknown

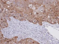
Immunohistochemistry (Formalin/PFA-fixed paraffin-embedded sections) - Anti-Cytokeratin 20 antibody - Cytoskeleton Marker (AB97511)

Immunohistochemical analysis of paraffin-embedded HT29 xenograft, using ab97511 at 1/100 dilution.

Immunohistochemistry (Formalin/PFA-fixed paraffin-embedded sections) - Anti-Cytokeratin 20 antibody - Cytoskeleton Marker (AB97511)
  • IHC-P

Supplier Data

Immunohistochemistry (Formalin/PFA-fixed paraffin-embedded sections) - Anti-Cytokeratin 20 antibody - Cytoskeleton Marker (AB97511)

ab97511 staining Cytokeratin 20 in Mouse urinary bladder by Immunohistochemistry (IHC-P-paraformaldehyde-fixed, paraffin embedded sections). Sample was incubated with primary antibody at a 1 : 500 dilution.

Western blot - Anti-Cytokeratin 20 antibody - Cytoskeleton Marker (AB97511)
  • WB

Unknown

Western blot - Anti-Cytokeratin 20 antibody - Cytoskeleton Marker (AB97511)

10% SDS PAGE

All lanes:

Western blot - Anti-Cytokeratin 20 antibody - Cytoskeleton Marker (ab97511) at 1/3000 dilution

All lanes:

HeLa whole cell lysate at 30 µg

Predicted band size: 48 kDa

false

Key facts

Host species

Rabbit

Clonality

Polyclonal

Isotype

IgG

Carrier free

No

Reacts with

Mouse, Human

Applications

ICC/IF, WB, IHC-P

applications

Immunogen

Recombinant Fragment Protein within Human KRT20 aa 50-300. The exact immunogen used to generate this antibody is proprietary information.

P35900

Reactivity data

{ "title": "Reactivity Data", "filters": { "stats": ["", "Species", "Dilution Info", "Notes"], "tabs": { "all-applications": {"fullname" : "All Applications", "shortname": "All Applications"}, "WB" : {"fullname" : "Western blot", "shortname":"WB"}, "IHCP" : {"fullname" : "Immunohistochemistry (Formalin/PFA-fixed paraffin-embedded sections)", "shortname":"IHC-P"}, "ICCIF" : {"fullname" : "Immunocytochemistry/ Immunofluorescence", "shortname":"ICC/IF"} }, "product-promise": { "all": "all", "testedAndGuaranteed": "tested", "guaranteed": "expected", "predicted": "predicted", "notRecommended": "not-recommended" } }, "values": { "Human": { "WB-species-checked": "testedAndGuaranteed", "WB-species-dilution-info": "1/500 - 1/3000", "WB-species-notes": "<p></p>", "IHCP-species-checked": "testedAndGuaranteed", "IHCP-species-dilution-info": "1/100 - 1/500", "IHCP-species-notes": "<p></p>", "ICCIF-species-checked": "testedAndGuaranteed", "ICCIF-species-dilution-info": "1/100 - 1/200", "ICCIF-species-notes": "<p></p>" }, "Mouse": { "WB-species-checked": "guaranteed", "WB-species-dilution-info": "", "WB-species-notes": "", "IHCP-species-checked": "testedAndGuaranteed", "IHCP-species-dilution-info": "1/100 - 1/500", "IHCP-species-notes": "<p></p>", "ICCIF-species-checked": "guaranteed", "ICCIF-species-dilution-info": "", "ICCIF-species-notes": "" } } }

Properties and storage information

Form
Liquid
Purification technique
Affinity purification Immunogen
Storage buffer
pH: 7 Preservative: 0.025% Proclin 300 Constituents: PBS, 20% Glycerol (glycerin, glycerine)
Shipped at conditions
Blue Ice
Appropriate short-term storage conditions
+4°C
Appropriate long-term storage conditions
-20°C
Aliquoting information
Upon delivery aliquot
Storage information
Avoid freeze / thaw cycle

Supplementary information

This supplementary information is collated from multiple sources and compiled automatically.

Cytokeratin 20 often known as CK20 KRT20 or keratin 20 is a type of intermediate filament protein that is highly specific to epithelial cells. This cytoskeletal protein has a molecular weight of approximately 46.5 kDa. Cytokeratin 20 is primarily found in the gastric and intestinal epithelium urothelium and Merkel cells. Its function as part of the cytoskeleton provides structural integrity and strength to cells maintaining their shape and resilience against mechanical stress.
Biological function summary

Cytokeratin 20 is essential in cellular differentiation and maintenance within epithelial tissues. It plays an important role in the structural framework of epithelial cells by integrating into the cytoskeletal network which includes other keratins. Typically cytokeratin 20 forms heterodimers with keratin 8 contributing to the assembly of intermediate filaments. These interactions maintain cell stability and are involved in cellular processes such as migration and proliferation.

Pathways

Cytokeratin 20 participates in the framework of intermediate filament signaling influencing cell motility and secretion in epithelial tissues. It contributes mainly to the keratinization pathway which is critical in forming a protective barrier in epithelial cells. Additionally it is related to cell adhesion and signalling pathways that are important for tissue integrity. Connections with keratin 8 and other cytoskeletal proteins facilitate signal transduction processes necessary for epithelial homeostasis and response to injury.

Cytokeratin 20 serves as a valuable marker for identifying specific cancer types particularly colorectal adenocarcinomas and Merkel cell carcinoma. The presence of cytokeratin 20 is often used in immunohistochemistry for cancer diagnosis and prognosis. Its expression pattern is notably distinct helping differentiate between various adenocarcinomas. In colorectal cancer it shows a unique interaction with proteins like keratin 8 supporting the tumor's structural environment and influencing tumorigenesis and metastasis processes.

Product protocols

For this product, it's our understanding that no specific protocols are required. You can visit:

Target data

Plays a significant role in maintaining keratin filament organization in intestinal epithelia. When phosphorylated, plays a role in the secretion of mucin in the small intestine (By similarity).
See full target information KRT20

Publications (8)

Recent publications for all applications. Explore the full list and refine your search

American journal of physiology. Renal physiology 328:F152-F163 PubMed39653371

2024

Activation of branched chain amino acid catabolism protects against nephrotoxic acute kidney injury.

Applications

Unspecified application

Species

Unspecified reactive species

Samaneh DiMartino,Monica P Revelo,Sandeep K Mallipattu,Sian E Piret

Cell death & disease 14:318 PubMed37169762

2023

Single-cell sequencing reveals homogeneity and heterogeneity of the cytopathological mechanisms in different etiology-induced AKI.

Applications

Unspecified application

Species

Unspecified reactive species

Zhimin Chen,Yinshuang Li,Ying Yuan,Kunmei Lai,Keng Ye,Yujiao Lin,Ruilong Lan,Hong Chen,Yanfang Xu

Communications biology 5:1326 PubMed36463319

2022

An integrated map of fibroblastic populations in human colon mucosa and cancer tissues.

Applications

Unspecified application

Species

Unspecified reactive species

Siying Li,Ran Lu,Linjuan Shu,Yulin Chen,Jin Zhao,Junlong Dai,Qiaorong Huang,Xue Li,Wentong Meng,Feiwu Long,Yuan Li,Chuanwen Fan,Zongguang Zhou,Xianming Mo

Nature genetics 54:1827-1838 PubMed36175792

2022

The NALCN channel regulates metastasis and nonmalignant cell dissemination.

Applications

Unspecified application

Species

Unspecified reactive species

Eric P Rahrmann,David Shorthouse,Amir Jassim,Linda P Hu,Mariaestela Ortiz,Betania Mahler-Araujo,Peter Vogel,Marta Paez-Ribes,Atefeh Fatemi,Gregory J Hannon,Radhika Iyer,Jay A Blundon,Filipe C Lourenço,Jonathan Kay,Rosalynn M Nazarian,Benjamin A Hall,Stanislav S Zakharenko,Douglas J Winton,Liqin Zhu,Richard J Gilbertson

American journal of clinical and experimental urology 9:416-434 PubMed34993263

2021

Patient derived models of bladder cancer enrich the signal of the tumor cell transcriptome facilitating the analysis of the tumor cell compartment.

Applications

Unspecified application

Species

Unspecified reactive species

Michalis Mastri,Swathi Ramakrishnan,Shruti D Shah,Ellen Karasik,Bryan M Gillard,Michael T Moser,Bailey K Farmer,Gissou Azabdaftari,Gurkamal S Chatta,Anna Woloszynska,Kevin H Eng,Barbara A Foster,Wendy J Huss

Gastroenterology 157:1599-1614.e2 PubMed31585123

2019

Mouse Models of Human Gastric Cancer Subtypes With Stomach-Specific CreERT2-Mediated Pathway Alterations.

Applications

Unspecified application

Species

Unspecified reactive species

Therese Seidlitz,Yi-Ting Chen,Heike Uhlemann,Sebastian Schölch,Susan Kochall,Sebastian R Merker,Anna Klimova,Alexander Hennig,Christine Schweitzer,Kristin Pape,Gustavo B Baretton,Thilo Welsch,Daniela E Aust,Jürgen Weitz,Bon-Kyoung Koo,Daniel E Stange

Oncology letters 12:4505-4509 PubMed28105159

2016

Small bowel metastasis from pancreatic cancer in a long-term survival patient with synchronous advanced malignant pleural mesothelioma: A case report and literature review.

Applications

IHC-P

Species

Human

Morena Fasano,Carminia Maria Della Corte,Giovanni Vicidomini,Valerio Scotti,Pier Francesco Rambaldi,Alfonso Fiorelli,Marina Accardo,Ferdinando De Vita,Mario Santini,Fortunato Ciardiello,Floriana Morgillo

Cell death & disease 4:e857 PubMed24136221

2013

Single-cell clones of liver cancer stem cells have the potential of differentiating into different types of tumor cells.

Applications

IHC-P

Species

Human

H Liu,W Zhang,Y Jia,Q Yu,G E Grau,L Peng,Y Ran,Z Yang,H Deng,J Lou
View all publications

Product promise

We are committed to supporting your work with high-quality reagents, and we're here for you every step of the way. In the unlikely event that one of our products does not perform as expected, you're protected by our Product Promise.
For full details, please see our Terms & Conditions

Please note: All products are 'FOR RESEARCH USE ONLY. NOT FOR USE IN DIAGNOSTIC OR THERAPEUTIC PROCEDURES'.

For licensing inquiries, please contact partnerships@abcam.com