JavaScript is disabled in your browser. Please enable JavaScript to view this website.
AB854

Anti-Cytokeratin 20 antibody [Ks20.8]

4

(4 Reviews)

|

(13 Publications)

Mouse Monoclonal Cytokeratin 20 antibody. Suitable for Flow Cyt, ICC/IF, IHC-P and reacts with Human samples. Cited in 13 publications.

View Alternative Names

Cytokeratin-20, Keratin-20, Protein IT, CK-20, K20, KRT20

4 Images
Immunocytochemistry/ Immunofluorescence - Anti-Cytokeratin 20 antibody [Ks20.8] (AB854)
  • ICC/IF

Unknown

Immunocytochemistry/ Immunofluorescence - Anti-Cytokeratin 20 antibody [Ks20.8] (AB854)

ICC/IF image of ab854 stained Jeg3 cells. The cells were 4% formaldehyde fixed (10 min) and then incubated in 1%BSA / 10% normal goat serum / 0.3M glycine in 0.1% PBS-Tween for 1h to permeabilise the cells and block non-specific protein-protein interactions. The cells were then incubated with the antibody (ab854, 1/200 dilution) overnight at +4°C. The secondary antibody (green) was ab96879, DyLight® 488 goat anti-mouse IgG (H+L) used at a 1/250 dilution for 1h. Alexa Fluor® 594 WGA was used to label plasma membranes (red) at a 1/200 dilution for 1h. DAPI was used to stain the cell nuclei (blue) at a concentration of 1.43μM

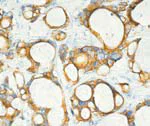
Immunohistochemistry (Formalin/PFA-fixed paraffin-embedded sections) - Anti-Cytokeratin 20 antibody [Ks20.8] (AB854)
  • IHC-P

Unknown

Immunohistochemistry (Formalin/PFA-fixed paraffin-embedded sections) - Anti-Cytokeratin 20 antibody [Ks20.8] (AB854)

ab854 staining cytokeratin in human colon cancer tissue section by Immunohistochemistry (Formalin/ PFA fixed paraffin embedded tissue sections).

Flow Cytometry - Anti-Cytokeratin 20 antibody [Ks20.8] (AB854)
  • Flow Cyt

Unknown

Flow Cytometry - Anti-Cytokeratin 20 antibody [Ks20.8] (AB854)

Overlay histogram showing LoVo cells stained with ab854 (red line). The cells were fixed with 80% methanol (5 min) and then permeabilized with 0.1% PBS-Tween for 20 min. The cells were then incubated in 1x PBS / 10% normal goat serum / 0.3M glycine to block non-specific protein-protein interactions followed by the antibody (ab854, 1/50 dilution) for 30 min at 22°C. The secondary antibody used was DyLight® 488 goat anti-mouse IgG (H+L) (ab96879) at 1/500 dilution for 30 min at 22°C. Isotype control antibody (black line) was mouse IgG2a [ICIGG2A] (ab91361, 2μg/1x106 cells) used under the same conditions. Acquisition of >5,000 events was performed.

Immunocytochemistry/ Immunofluorescence - Anti-Cytokeratin 20 antibody [Ks20.8] (AB854)
  • ICC/IF

Supplier Data

Immunocytochemistry/ Immunofluorescence - Anti-Cytokeratin 20 antibody [Ks20.8] (AB854)

Immunofluorescent analysis of human colon epithelium, staining Cytokeratin 20 with ab854.

Key facts

Host species

Mouse

Clonality

Monoclonal

Clone number

Ks20.8

Isotype

IgG2a

Light chain type

unknown

Carrier free

No

Reacts with

Human

Applications

IHC-P, Flow Cyt, ICC/IF

applications

Specificity

This antibody is highly specific to cytokeratin 20 and shows no cross-reaction with other intermediate filament proteins. It is essentially non-reactive in squamous cell carcinomas and adenocarcinomas of the breast, lung, and endometrium, non-mucinous tumors of the ovary and small cell carcinomas.

Reactivity data

{ "title": "Reactivity Data", "filters": { "stats": ["", "Species", "Dilution Info", "Notes"], "tabs": { "all-applications": {"fullname" : "All Applications", "shortname": "All Applications"}, "FlowCyt" : {"fullname" : "Flow Cytometry", "shortname":"Flow Cyt"}, "ICCIF" : {"fullname" : "Immunocytochemistry/ Immunofluorescence", "shortname":"ICC/IF"}, "IHCP" : {"fullname" : "Immunohistochemistry (Formalin/PFA-fixed paraffin-embedded sections)", "shortname":"IHC-P"} }, "product-promise": { "all": "all", "testedAndGuaranteed": "tested", "guaranteed": "expected", "predicted": "predicted", "notRecommended": "not-recommended" } }, "values": { "Human": { "FlowCyt-species-checked": "testedAndGuaranteed", "FlowCyt-species-dilution-info": "1/50", "FlowCyt-species-notes": "<p>(Also see PMID: 20332776) <a href='/en-us/products/primary-antibodies/mouse-igg2c-kappa-monoclonal-18c8bc7ad10-isotype-control-ab170191'>ab170191</a> - Mouse monoclonal IgG2a, is suitable for use as an isotype control with this antibody.</p>", "ICCIF-species-checked": "testedAndGuaranteed", "ICCIF-species-dilution-info": "1/200", "ICCIF-species-notes": "<p></p>", "IHCP-species-checked": "testedAndGuaranteed", "IHCP-species-dilution-info": "", "IHCP-species-notes": "<p>This antibody may be diluted to a titer of 1:50-1:100 in an ABC method.We suggest an incubation period of 30-60 minutes at room temperature.</p>" } } }

Properties and storage information

Form
Liquid
Purity
Tissue culture supernatant
Storage buffer
pH: 7.3 Preservative: 0.1% Sodium azide Constituents: Carrier protein, PBS
Shipped at conditions
Blue Ice
Appropriate short-term storage conditions
+4°C
Appropriate long-term storage conditions
-20°C
Aliquoting information
Upon delivery aliquot
Storage information
Avoid freeze / thaw cycle

Supplementary information

This supplementary information is collated from multiple sources and compiled automatically.

Cytokeratin 20 often known as CK20 KRT20 or keratin 20 is a type of intermediate filament protein that is highly specific to epithelial cells. This cytoskeletal protein has a molecular weight of approximately 46.5 kDa. Cytokeratin 20 is primarily found in the gastric and intestinal epithelium urothelium and Merkel cells. Its function as part of the cytoskeleton provides structural integrity and strength to cells maintaining their shape and resilience against mechanical stress.
Biological function summary

Cytokeratin 20 is essential in cellular differentiation and maintenance within epithelial tissues. It plays an important role in the structural framework of epithelial cells by integrating into the cytoskeletal network which includes other keratins. Typically cytokeratin 20 forms heterodimers with keratin 8 contributing to the assembly of intermediate filaments. These interactions maintain cell stability and are involved in cellular processes such as migration and proliferation.

Pathways

Cytokeratin 20 participates in the framework of intermediate filament signaling influencing cell motility and secretion in epithelial tissues. It contributes mainly to the keratinization pathway which is critical in forming a protective barrier in epithelial cells. Additionally it is related to cell adhesion and signalling pathways that are important for tissue integrity. Connections with keratin 8 and other cytoskeletal proteins facilitate signal transduction processes necessary for epithelial homeostasis and response to injury.

Cytokeratin 20 serves as a valuable marker for identifying specific cancer types particularly colorectal adenocarcinomas and Merkel cell carcinoma. The presence of cytokeratin 20 is often used in immunohistochemistry for cancer diagnosis and prognosis. Its expression pattern is notably distinct helping differentiate between various adenocarcinomas. In colorectal cancer it shows a unique interaction with proteins like keratin 8 supporting the tumor's structural environment and influencing tumorigenesis and metastasis processes.

Product protocols

For this product, it's our understanding that no specific protocols are required. You can visit:

Target data

Plays a significant role in maintaining keratin filament organization in intestinal epithelia. When phosphorylated, plays a role in the secretion of mucin in the small intestine (By similarity).
See full target information KRT20

Publications (13)

Recent publications for all applications. Explore the full list and refine your search

Oncogene 44:3924-3938 PubMed40851030

2025

GABAergic signaling contributes to tumor cell invasion and poor overall survival in colorectal cancer.

Applications

Unspecified application

Species

Unspecified reactive species

Carly Strelez,Francesca Battaglin,Rachel Perez,Yan Yang,Christopher Cherry,Joshua Millstein,Ah Young Yoon,John S Chlystek,Ethan Canfield,Bethany Haliday,Curran Shah,Kimya Ghaffarian,Shivani Soni,Hannah Jiang,Roy Lau,Aaron Schatz,Yuyuan Zhou,Daniel Mulkerin,Fang-Shu Ou,Alan P Venook,Federico Innocenti,Josh Neman,Jonathan E Katz,Heinz-Josef Lenz,Shannon M Mumenthaler

Annals of surgical oncology 32:7333-7343 PubMed40745121

2025

Inhibition of ACVR1 in Cancer-Associated Fibroblasts Suppresses Colorectal Cancer Cell Growth.

Applications

Unspecified application

Species

Unspecified reactive species

Shinya Kato,Norikatsu Miyoshi,Shiki Fujino,Masafumi Horie,Shinichi Yachida,Mitsunobu Takeda,Yuki Sekido,Tsuyoshi Hata,Atsushi Hamabe,Takayuki Ogino,Mamoru Uemura,Hirofumi Yamamoto,Masayoshi Yasui,Masayuki Ohue,Yuichiro Doki,Hidetoshi Eguchi

Cell death & disease 16:420 PubMed40436833

2025

miR-181a-5p mediates the effects of BMP4 on intestinal cell proliferation and differentiation.

Applications

Unspecified application

Species

Unspecified reactive species

Chang Li,Yuning Zhou,Zhijie Yin,Yinping Jiang,Jinpeng Liu,Heidi L Weiss,Qingding Wang,B Mark Evers

NPJ systems biology and applications 11:12 PubMed39875420

2025

Merging metabolic modeling and imaging for screening therapeutic targets in colorectal cancer.

Applications

Unspecified application

Species

Unspecified reactive species

Niki Tavakoli,Emma J Fong,Abigail Coleman,Yu-Kai Huang,Mathias Bigger,Michael E Doche,Seungil Kim,Heinz-Josef Lenz,Nicholas A Graham,Paul Macklin,Stacey D Finley,Shannon M Mumenthaler

Cell death & disease 15:878 PubMed39632825

2024

Colorectal cancer patients-derived immunity-organoid platform unveils cancer-specific tissue markers associated with immunotherapy resistance.

Applications

Unspecified application

Species

Unspecified reactive species

A Esposito,A Agostini,G Quero,G Piro,L Priori,A Caggiano,G Scaglione,A Battaglia,M A Calegari,L Salvatore,M Bensi,M G Maratta,A Ceccarelli,G Trovato,G Genovese,E Gurreri,S Ascrizzi,M Martini,C Fiorillo,A Fattorossi,F De Sanctis,S Ugel,V Corbo,S Alfieri,G Tortora,C Carbone

Cell proliferation 58:e13757 PubMed39329245

2024

miR-27a-3p regulates intestinal cell proliferation and differentiation through Wnt/β-catenin signalling.

Applications

Unspecified application

Species

Unspecified reactive species

Chang Li,Yuning Zhou,Yinping Jiang,Zhijie Yin,Heidi L Weiss,Qingding Wang,B Mark Evers

Nature microbiology 8:875-888 PubMed37037942

2023

Uropathogenic Escherichia coli infection-induced epithelial trained immunity impacts urinary tract disease outcome.

Applications

Unspecified application

Species

Unspecified reactive species

Seongmi K Russell,Jessica K Harrison,Benjamin S Olson,Hyung Joo Lee,Valerie P O'Brien,Xiaoyun Xing,Jonathan Livny,Lu Yu,Elisha D O Roberson,Rajdeep Bomjan,Changxu Fan,Marina Sha,Shady Estfanous,Amal O Amer,Marco Colonna,Thaddeus S Stappenbeck,Ting Wang,Thomas J Hannan,Scott J Hultgren

eNeuro 9: PubMed36635242

2022

Localization of TRP Channels in Healthy Oral Mucosa from Human Donors.

Applications

Unspecified application

Species

Unspecified reactive species

Yalda Moayedi,Stephanie Michlig,Mark Park,Alia Koch,Ellen A Lumpkin

Oncology letters 23:9 PubMed34820008

2021

Role of Lamin A and emerin in maintaining nuclear morphology in different subtypes of ovarian epithelial cancer.

Applications

Unspecified application

Species

Unspecified reactive species

Shiori Watabe,Sayaka Kobayashi,Mizuho Hatori,Yoshimi Nishijima,Naoki Inoue,Hayato Ikota,Akira Iwase,Hideaki Yokoo,Masanao Saio

The Journal of comparative neurology 529:3046-3061 PubMed33786834

2021

Somatosensory innervation of healthy human oral tissues.

Applications

Unspecified application

Species

Unspecified reactive species

Yalda Moayedi,Stéphanie Michlig,Mark Park,Alia Koch,Ellen A Lumpkin
View all publications

Product promise

We are committed to supporting your work with high-quality reagents, and we're here for you every step of the way. In the unlikely event that one of our products does not perform as expected, you're protected by our Product Promise.
For full details, please see our Terms & Conditions

Please note: All products are 'FOR RESEARCH USE ONLY. NOT FOR USE IN DIAGNOSTIC OR THERAPEUTIC PROCEDURES'.

For licensing inquiries, please contact partnerships@abcam.com