JavaScript is disabled in your browser. Please enable JavaScript to view this website.
AB249533

Anti-Cytokeratin 2e antibody [EPR10911] - BSA and Azide free

Be the first to review this product! Submit a review

|

(1 Publication)

Rabbit Recombinant Monoclonal K22E antibody. Carrier free. Suitable for IHC-P, WB and reacts with Human samples. Cited in 1 publication.

View Alternative Names

KRT2A, KRT2E, KRT2, Cytokeratin-2e, Epithelial keratin-2e, Keratin-2 epidermis, Keratin-2e, Type-II keratin Kb2, CK-2e, K2e

2 Images
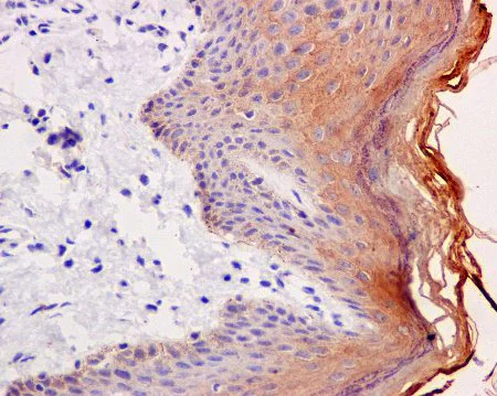
Immunohistochemistry (Formalin/PFA-fixed paraffin-embedded sections) - Anti-Cytokeratin 2e antibody [EPR10911] - BSA and Azide free (AB249533)
  • IHC-P

Unknown

Immunohistochemistry (Formalin/PFA-fixed paraffin-embedded sections) - Anti-Cytokeratin 2e antibody [EPR10911] - BSA and Azide free (AB249533)

This data was developed using ab170106, the same antibody clone in a different buffer formulation.

Immunohistochemical analysis of paraffin embedded Human skin tissue labeling Cytokeratin 2e with ab170106 at a 1/100 dilution.

Perform heat mediated antigen retrieval before commencing with IHC staining protocol.

Western blot - Anti-Cytokeratin 2e antibody [EPR10911] - BSA and Azide free (AB249533)
  • WB

Unknown

Western blot - Anti-Cytokeratin 2e antibody [EPR10911] - BSA and Azide free (AB249533)

This data was developed using ab170106, the same antibody clone in a different buffer formulation.

All lanes:

Western blot - Anti-Cytokeratin 2e antibody [EPR10911] (<a href='/en-us/products/primary-antibodies/cytokeratin-2e-antibody-epr10911-ab170106'>ab170106</a>) at 1/1000 dilution

Lane 1:

A431 cell lysate at 10 µg

Lane 2:

HACAT cell lysate at 10 µg

Secondary

All lanes:

Goat anti-rabbit HRP at 1/2000 dilution

Predicted band size: 65 kDa

false

Key facts

Host species

Rabbit

Clonality

Monoclonal

Clone number

EPR10911

Isotype

IgG

Carrier free

Yes

Reacts with

Human

Applications

WB, IHC-P

applications

Immunogen

The exact immunogen used to generate this antibody is proprietary information.

Reactivity data

{ "title": "Reactivity Data", "filters": { "stats": ["", "Species", "Dilution Info", "Notes"], "tabs": { "all-applications": {"fullname" : "All Applications", "shortname": "All Applications"}, "IHCP" : {"fullname" : "Immunohistochemistry (Formalin/PFA-fixed paraffin-embedded sections)", "shortname":"IHC-P"}, "IP" : {"fullname" : "Immunoprecipitation", "shortname":"IP"}, "FlowCyt" : {"fullname" : "Flow Cytometry", "shortname":"Flow Cyt"}, "WB" : {"fullname" : "Western blot", "shortname":"WB"}, "ICCIF" : {"fullname" : "Immunocytochemistry/ Immunofluorescence", "shortname":"ICC/IF"} }, "product-promise": { "all": "all", "testedAndGuaranteed": "tested", "guaranteed": "expected", "predicted": "predicted", "notRecommended": "not-recommended" } }, "values": { "Human": { "IHCP-species-checked": "testedAndGuaranteed", "IHCP-species-dilution-info": "", "IHCP-species-notes": "<p></p> Perform heat-mediated antigen retrieval before commencing with IHC staining protocol.", "IP-species-checked": "notRecommended", "IP-species-dilution-info": "", "IP-species-notes": "<p></p>", "FlowCyt-species-checked": "notRecommended", "FlowCyt-species-dilution-info": "", "FlowCyt-species-notes": "<p></p>", "WB-species-checked": "testedAndGuaranteed", "WB-species-dilution-info": "", "WB-species-notes": "<p></p>", "ICCIF-species-checked": "notRecommended", "ICCIF-species-dilution-info": "", "ICCIF-species-notes": "<p></p>" } } }

Product details

ab249533 is the carrier-free version of ab170106.

Patented technology
Our RabMAb® technology is a patented hybridoma-based technology for making rabbit monoclonal antibodies. For details on our patents, please refer to RabMAb® patents.

What are the advantages of a recombinant monoclonal antibody?
This product is a recombinant monoclonal antibody, which offers several advantages including:

  • - High batch-to-batch consistency and reproducibility
  • - Improved sensitivity and specificity
  • - Long-term security of supply
  • - Animal-free batch production

For more information, read more on recombinant antibodies.

Conjugation ready
Our carrier-free antibodies are typically supplied in a PBS-only formulation, purified and free of BSA, sodium azide and glycerol. This conjugation-ready format is designed for use with fluorochromes, metal isotopes, oligonucleotides, and enzymes, which makes them ideal for antibody labelling, functional and cell-based assays, flow-based assays (e.g. mass cytometry) and Multiplex Imaging applications.

Use our conjugation kits for antibody conjugates that are ready-to-use in as little as 20 minutes with 1 minute hands-on-time and 100% antibody recovery: available for fluorescent dyes, HRP, biotin and gold.

Compatibility
This product is compatible with the Maxpar® Antibody Labeling Kit from Fluidigm, without the need for antibody preparation. Maxpar® is a trademark of Fluidigm Canada Inc.

Properties and storage information

Form
Liquid
Purification technique
Affinity purification Protein A
Storage buffer
pH: 7.2 - 7.4 Constituents: PBS
Shipped at conditions
Blue Ice
Appropriate short-term storage conditions
+4°C
Appropriate long-term storage conditions
+4°C
Storage information
Do Not Freeze

Supplementary information

This supplementary information is collated from multiple sources and compiled automatically.

Cytokeratin 2e also known as keratin 2 or KRT2 is a type of intermediate filament protein with a mass of approximately 65 kDa. It functions mechanically to form and maintain structural integrity in epithelial cells. Cytokeratin 2e forms part of the keratin cytoskeleton which gives cells shape support and resilience against mechanical stress. This protein is expressed mainly in the upper spinous layer of the epidermis where it contributes to the specialized cytokeratin network.
Biological function summary

Cytokeratin 2e participates in cell differentiation and maturation within the epidermis. It does not operate in isolation but is integrated into a complex network of filaments comprising various keratin isoforms. This structured network assists in the development of the skin barrier which is essential for protecting the body from environmental damage. By facilitating the cohesion between keratinocytes Cytokeratin 2e plays a role in maintaining proper epidermal function.

Pathways

Cytokeratin 2e involves the epidermal differentiation pathway. It interacts primarily with other keratin proteins like keratin 1 (KRT1) to enhance the formation of a robust keratinocyte cytoskeleton. This association ensures proper skin cell function and epidermis homeostasis. The protein is also involved in the cornification pathway helping the process whereby keratinocytes become corneocytes the cells that make up the skin's outermost layer.

Cytokeratin 2e has links to ichthyosis bullosa of Siemens a keratinization disorder. Mutations affecting Cytokeratin 2e disrupt the structural stability of keratin filaments leading to skin fragility and blistering. Additionally its aberrant expression has associations with psoriasis where it may interact with immune-modulatory proteins like interleukin-17 (IL-17) aggravating the inflammatory environment. Understanding these connections helps in exploring therapeutic targets for managing these skin conditions.

Product protocols

For this product, it's our understanding that no specific protocols are required. You can visit:

Target data

Probably contributes to terminal cornification (PubMed : 1380918). Associated with keratinocyte activation, proliferation and keratinization (PubMed : 12598329). Required for maintenance of corneocytes and keratin filaments in suprabasal keratinocytes in the epidermis of the ear, potentially via moderation of expression and localization of keratins and their partner proteins (By similarity). Plays a role in the establishment of the epidermal barrier on plantar skin (By similarity).
See full target information KRT2

Publications (1)

Recent publications for all applications. Explore the full list and refine your search

Oncotarget 7:78242-78254 PubMed27793041

2016

CPI-17 drives oncogenic Ras signaling in human melanomas via Ezrin-Radixin-Moesin family proteins.

Applications

Unspecified application

Species

Unspecified reactive species

Lars Björn Riecken,Ansgar Zoch,Ulrike Wiehl,Sabine Reichert,Ingmar Scholl,Yan Cui,Mirjana Ziemer,Ulf Anderegg,Christian Hagel,Helen Morrison
View all publications

Product promise

We are committed to supporting your work with high-quality reagents, and we're here for you every step of the way. In the unlikely event that one of our products does not perform as expected, you're protected by our Product Promise.
For full details, please see our Terms & Conditions

Please note: All products are 'FOR RESEARCH USE ONLY. NOT FOR USE IN DIAGNOSTIC OR THERAPEUTIC PROCEDURES'.

For licensing inquiries, please contact partnerships@abcam.com