JavaScript is disabled in your browser. Please enable JavaScript to view this website.
AB255962

Anti-Cytokeratin 3/CK-3 antibody [AE5] - BSA and Azide free

Be the first to review this product! Submit a review

|

(1 Publication)

Mouse Recombinant Monoclonal K2C3 antibody. Carrier free. Suitable for IHC-P and reacts with Human samples. Cited in 1 publication.

View Alternative Names

Cytokeratin-3, Keratin-3, Type-II keratin Kb3, CK-3, K3, KRT3

3 Images
Immunohistochemistry (Formalin/PFA-fixed paraffin-embedded sections) - Anti-Cytokeratin 3/CK-3 antibody [AE5] - BSA and Azide free (AB255962)
  • IHC-P

Supplier Data

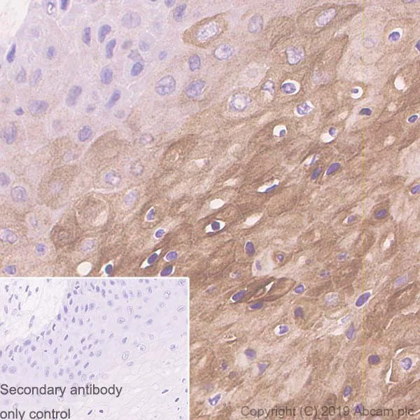
Immunohistochemistry (Formalin/PFA-fixed paraffin-embedded sections) - Anti-Cytokeratin 3/CK-3 antibody [AE5] - BSA and Azide free (AB255962)

This image was produced using the same antibody clone but in a different formulation containing PBS, sodium azide, glycerol and BSA (ab68260).

Immunohistochemical analysis of paraffin-embedded human squamous papilloma of cornea tissue labeling Cytokeratin 3/CK-3 with ab68260 at 1/500 dilution, followed by ready to use secondary. Positive staining on human squamous papilloma of cornea tissue is observed. The section was incubated with ab68260 for 30 mins at RT. The immunostaining staining was performed on a Leica Biosystems BOND® RX instrument. Counterstained with hematoxylin.
Secondary antibody only control : Used PBS instead of primary antibody, followed by ready to use secondary.

Heat mediated antigen retrieval with Tris-EDTA buffer (pH 9.0, epitope retrieval solution 2) for 20 mins.

Flow Cytometry - Anti-Cytokeratin 3/CK-3 antibody [AE5] - BSA and Azide free (AB255962)
  • Flow Cyt

Supplier Data

Flow Cytometry - Anti-Cytokeratin 3/CK-3 antibody [AE5] - BSA and Azide free (AB255962)

This image was produced using the same antibody clone but in a different formulation containing PBS, sodium azide, glycerol and BSA (ab68260).

Flow cytometric analysis of 4% paraformaldehyde-fixed, 90% methanol permeabilized A431 (Human epidermoid carcinoma epithelial cell) cell line labeling Cytokeratin 3/CK-3 with ab68260 at 1/500 dilution (red) compared with a Mouse IgG, monoclonal Isotype Control (black) and an unlabeled control (cells without incubation with primary antibody and secondary antibody) (blue). Goat Anti-Mouse IgG ab150113 (Alexa Fluor® 488) at 1/2000 dilution was used as the secondary antibody.

Western blot - Anti-Cytokeratin 3/CK-3 antibody [AE5] - BSA and Azide free (AB255962)
  • WB

Lab

Western blot - Anti-Cytokeratin 3/CK-3 antibody [AE5] - BSA and Azide free (AB255962)

This image was produced using the same antibody clone but in a different formulation containing PBS, sodium azide, glycerol and BSA (ab68260). Blocking and diluting buffer and concentration : 5% NFDM/TBST. ab181602 was used as GAPDH loading control.

All lanes:

Western blot - Anti-Cytokeratin 3/CK-3 antibody [AE5] (<a href='/en-us/products/primary-antibodies/cytokeratin-3-ck-3-antibody-ae5-ab68260'>ab68260</a>) at 1/5000 dilution

Lane 1:

293T (Human embryonic kidney epithelial cell) transfected with an empty vector containing a His tag®, whole cell lysate at 15 µg

Lane 2:

293T (Human embryonic kidney epithelial cell) transfected with Cytokeratin full length expression vector containing a His tag®, whole cell lysate at 15 µg

Secondary

All lanes:

Peroxidase-Conjugated Goat anti-Mouse IgG (H+L) at 1/10000 dilution

Predicted band size: 64 kDa

Observed band size: 65 kDa

false

Exposure time: 3s

Key facts

Host species

Mouse

Clonality

Monoclonal

Clone number

AE5

Isotype

IgG1

Carrier free

Yes

Reacts with

Human

Applications

IHC-P

applications

Immunogen

The exact immunogen used to generate this antibody is proprietary information.

Specificity

This antibody recognizes the 64kD polypeptide (cytokeratin 3 / CK-3) and 55 kDa polypeptide (cytokeratin 12) of rabbit corneal epithelium. It also recognizes bovine snout and lip epithelium, as well as a rabbit corneal cell line. The clone number has been updated from (2Q1040) to (AE5) both clone numbers name the same antibody clone.

Reactivity data

{ "title": "Reactivity Data", "filters": { "stats": ["", "Species", "Dilution Info", "Notes"], "tabs": { "all-applications": {"fullname" : "All Applications", "shortname": "All Applications"}, "IP" : {"fullname" : "Immunoprecipitation", "shortname":"IP"}, "FlowCytIntra" : {"fullname" : "Flow Cytometry (Intracellular)", "shortname":"Flow Cyt (Intra)"}, "WB" : {"fullname" : "Western blot", "shortname":"WB"}, "ICCIF" : {"fullname" : "Immunocytochemistry/ Immunofluorescence", "shortname":"ICC/IF"}, "IHCP" : {"fullname" : "Immunohistochemistry (Formalin/PFA-fixed paraffin-embedded sections)", "shortname":"IHC-P"} }, "product-promise": { "all": "all", "testedAndGuaranteed": "tested", "guaranteed": "expected", "predicted": "predicted", "notRecommended": "not-recommended" } }, "values": { "Human": { "IP-species-checked": "notRecommended", "IP-species-dilution-info": "", "IP-species-notes": "<p></p>", "FlowCytIntra-species-checked": "notRecommended", "FlowCytIntra-species-dilution-info": "", "FlowCytIntra-species-notes": "<p></p>", "WB-species-checked": "notRecommended", "WB-species-dilution-info": "", "WB-species-notes": "<p></p>", "ICCIF-species-checked": "notRecommended", "ICCIF-species-dilution-info": "", "ICCIF-species-notes": "<p></p>", "IHCP-species-checked": "testedAndGuaranteed", "IHCP-species-dilution-info": "", "IHCP-species-notes": "<p></p>" }, "Mouse": { "IP-species-checked": "notRecommended", "IP-species-dilution-info": "", "IP-species-notes": "", "FlowCytIntra-species-checked": "notRecommended", "FlowCytIntra-species-dilution-info": "", "FlowCytIntra-species-notes": "", "WB-species-checked": "notRecommended", "WB-species-dilution-info": "", "WB-species-notes": "<p></p>", "ICCIF-species-checked": "notRecommended", "ICCIF-species-dilution-info": "", "ICCIF-species-notes": "", "IHCP-species-checked": "notRecommended", "IHCP-species-dilution-info": "", "IHCP-species-notes": "" }, "Rat": { "IP-species-checked": "notRecommended", "IP-species-dilution-info": "", "IP-species-notes": "", "FlowCytIntra-species-checked": "notRecommended", "FlowCytIntra-species-dilution-info": "", "FlowCytIntra-species-notes": "", "WB-species-checked": "notRecommended", "WB-species-dilution-info": "", "WB-species-notes": "<p></p>", "ICCIF-species-checked": "notRecommended", "ICCIF-species-dilution-info": "", "ICCIF-species-notes": "", "IHCP-species-checked": "notRecommended", "IHCP-species-dilution-info": "", "IHCP-species-notes": "" } } }

Product details

ab255962 is the carrier-free version of ab68260.

Want a custom formulation?
This antibody clone is manufactured by Abcam. If you require a custom buffer formulation or conjugation for your experiments, please contact orders@abcam.com

Conjugation ready
Our carrier-free antibodies are typically supplied in a PBS-only formulation, purified and free of BSA, sodium azide and glycerol. This conjugation-ready format is designed for use with fluorochromes, metal isotopes, oligonucleotides, and enzymes, which makes them ideal for antibody labelling, functional and cell-based assays, flow-based assays (e.g. mass cytometry) and Multiplex Imaging applications.

Use our conjugation kits for antibody conjugates that are ready-to-use in as little as 20 minutes with 1 minute hands-on-time and 100% antibody recovery: available for fluorescent dyes, HRP, biotin and gold.

Compatibility
This product is compatible with the Maxpar® Antibody Labeling Kit from Fluidigm, without the need for antibody preparation. Maxpar® is a trademark of Fluidigm Canada Inc.

Properties and storage information

Form
Liquid
Purification technique
Affinity purification Protein A
Storage buffer
pH: 7.2 - 7.4 Constituents: PBS
Shipped at conditions
Blue Ice
Appropriate short-term storage conditions
+4°C
Appropriate long-term storage conditions
+4°C
Storage information
Do Not Freeze

Supplementary information

This supplementary information is collated from multiple sources and compiled automatically.

Cytokeratin 3 also known as CK-3 or CK3 is a type II cytokeratin protein with a molecular weight of approximately 64 kDa. This protein often coexists with Cytokeratin 12 and together they form the epithelial keratins. CK-3 is expressed predominantly in corneal epithelial cells. The presence of CK-3 in these cells helps maintain structural integrity and resilience against mechanical stress through its network of intermediate filaments. Various forms like CK-3 IgG and IGG CK3 have been studied to understand the unique and important role of cytokeratins in epithelial tissues.
Biological function summary

CK-3 plays an important role in the structural framework inside corneal epithelial cells. It participates in forming a complex of intermediate filaments providing necessary strength and stability to the cells. Such a framework is important for protecting the epithelium under physical stressors while also supporting the dynamic processes of cell proliferation and differentiation. These cytokeratin complexes contribute to the cellular process by supporting the resilience of epithelial cells.

Pathways

The involvement of CK-3 in cytoskeletal organization highlights its connection to certain critical signaling pathways such as the epithelial-to-mesenchymal transition (EMT) and cell differentiation pathways. The interaction of CK-3 with proteins like Cytokeratin 12 regulates these pathways and contributes to maintaining corneal epithelial homeostasis and integrity. Such interactions enable CK-3 to help maintain the proper functioning and regeneration of epithelial barriers.

CK-3's alteration or dysfunction may contribute to corneal-related diseases such as keratitis and corneal dystrophies. Abnormalities or mutations in CK-3 affect corneal integrity leading to compromised vision and disease symptoms. In these disorders its interaction with proteins like AE5 which participates in corneal structural pathways can be disrupted leading to pathophysiological conditions affecting the corneal epithelium. Understanding CK-3's role in these diseases may help guide therapeutic strategies.

Product protocols

For this product, it's our understanding that no specific protocols are required. You can visit:

Publications (1)

Recent publications for all applications. Explore the full list and refine your search

The journal of gene medicine 24:e3455 PubMed36194517

2022

Characterization of the evolution trajectory and immune profiling of new histologic patterns in lung adenocarcinoma.

Applications

Unspecified application

Species

Unspecified reactive species

Minfang Song,Huikang Xie,Wei Liu,Mengmeng Zhao,Ziqing Deng,Liye Zhang,Haipeng Liu,Yanfang Huang,Hanjie Li,Yijiu Ren,Chang Chen
View all publications

Product promise

We are committed to supporting your work with high-quality reagents, and we're here for you every step of the way. In the unlikely event that one of our products does not perform as expected, you're protected by our Product Promise.
For full details, please see our Terms & Conditions

Please note: All products are 'FOR RESEARCH USE ONLY. NOT FOR USE IN DIAGNOSTIC OR THERAPEUTIC PROCEDURES'.

For licensing inquiries, please contact partnerships@abcam.com