JavaScript is disabled in your browser. Please enable JavaScript to view this website.
AB242402

Anti-Cytokeratin 4 antibody [SP210] - BSA and Azide free

Be the first to review this product! Submit a review

|

(1 Publication)

Rabbit Recombinant Monoclonal K2C4 antibody. Carrier free. Suitable for IHC-P and reacts with Human samples. Cited in 1 publication.

View Alternative Names

CYK4, KRT4, Cytokeratin-4, Keratin-4, Type-II keratin Kb4, CK-4, K4

3 Images
Immunohistochemistry (Formalin/PFA-fixed paraffin-embedded sections) - Anti-Cytokeratin 4 antibody [SP210] - BSA and Azide free (AB242402)
  • IHC-P

Supplier Data

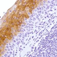
Immunohistochemistry (Formalin/PFA-fixed paraffin-embedded sections) - Anti-Cytokeratin 4 antibody [SP210] - BSA and Azide free (AB242402)

Immunohistochemical analysis of paraffin embedded human tonsil tissue labeling Cytokeratin 4 with ab183329 at 1/100.

This data was developed using the same antibody clone in a different buffer formulation containing PBS, BSA and sodium azide (ab183329)

Immunohistochemistry (Formalin/PFA-fixed paraffin-embedded sections) - Anti-Cytokeratin 4 antibody [SP210] - BSA and Azide free (AB242402)
  • IHC-P

Unknown

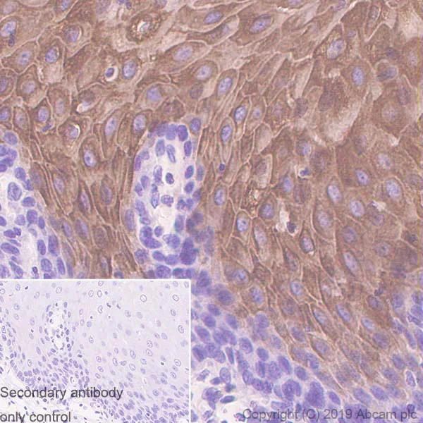
Immunohistochemistry (Formalin/PFA-fixed paraffin-embedded sections) - Anti-Cytokeratin 4 antibody [SP210] - BSA and Azide free (AB242402)

Immunohistochemistry (Formalin/PFA-fixed paraffin-embedded sections) analysis of Human esophagus tissue sections labeling Cytokeratin 4 with ab183329 at 1/100 dilution (0.94 µg/ml). Heat mediated antigen retrieval was performed Heat mediated antigen retrieval with Tris-EDTA buffer (pH 9.0, epitope retrieval solution 2) for 20 mins. Rabbit specific IHC polymer detection kit HRP/DAB (ab209101) was used as the secondary antibody. Negative control : PBS instead of the primary antibody. Hematoxylin was used as a counterstain.
This data was developed using the same antibody clone in a different buffer formulation containing PBS, BSA, glycerol, and sodium azide (ab183329)

Immunohistochemistry (Formalin/PFA-fixed paraffin-embedded sections) - Anti-Cytokeratin 4 antibody [SP210] - BSA and Azide free (AB242402)
  • IHC-P

Supplier Data

Immunohistochemistry (Formalin/PFA-fixed paraffin-embedded sections) - Anti-Cytokeratin 4 antibody [SP210] - BSA and Azide free (AB242402)

Immunohistochemical analysis of paraffin embedded human esophagus tissue labeling Cytokeratin 4 with ab183329 at 1/100.

This data was developed using the same antibody clone in a different buffer formulation containing PBS, BSA and sodium azide (ab183329)

Key facts

Host species

Rabbit

Clonality

Monoclonal

Clone number

SP210

Isotype

IgG

Carrier free

Yes

Reacts with

Human

Applications

IHC-P

applications

Immunogen

The exact immunogen used to generate this antibody is proprietary information.

Reactivity data

{ "title": "Reactivity Data", "filters": { "stats": ["", "Species", "Dilution Info", "Notes"], "tabs": { "all-applications": {"fullname" : "All Applications", "shortname": "All Applications"}, "IHCP" : {"fullname" : "Immunohistochemistry (Formalin/PFA-fixed paraffin-embedded sections)", "shortname":"IHC-P"} }, "product-promise": { "all": "all", "testedAndGuaranteed": "tested", "guaranteed": "expected", "predicted": "predicted", "notRecommended": "not-recommended" } }, "values": { "Human": { "IHCP-species-checked": "testedAndGuaranteed", "IHCP-species-dilution-info": "", "IHCP-species-notes": "<p>Antigen Retrieval: Boil tissue section in EDTA buffer, pH 8.0 for 10 min followed by cooling at room temperature for 20 min.</p>" }, "Mouse": { "IHCP-species-checked": "predicted", "IHCP-species-dilution-info": "", "IHCP-species-notes": "" } } }

Product details

ab242402 is the carrier-free version of ab183329.

What are the advantages of a recombinant monoclonal antibody?
This product is a recombinant monoclonal antibody, which offers several advantages including:

  • - High batch-to-batch consistency and reproducibility
  • - Improved sensitivity and specificity
  • - Long-term security of supply
  • - Animal-free batch production

For more information, read more on recombinant antibodies.

Conjugation ready
Our carrier-free antibodies are typically supplied in a PBS-only formulation, purified and free of BSA, sodium azide and glycerol. This conjugation-ready format is designed for use with fluorochromes, metal isotopes, oligonucleotides, and enzymes, which makes them ideal for antibody labelling, functional and cell-based assays, flow-based assays (e.g. mass cytometry) and Multiplex Imaging applications.

Use our conjugation kits for antibody conjugates that are ready-to-use in as little as 20 minutes with 1 minute hands-on-time and 100% antibody recovery: available for fluorescent dyes, HRP, biotin and gold.

Compatibility
This product is compatible with the Maxpar® Antibody Labeling Kit from Fluidigm, without the need for antibody preparation. Maxpar® is a trademark of Fluidigm Canada Inc.

Properties and storage information

Form
Liquid
Purification technique
Affinity purification Protein A/G
Purification notes
Purified from TCS by protein A/G.
Storage buffer
pH: 7.2 - 7.4 Constituents: PBS
Shipped at conditions
Blue Ice
Appropriate short-term storage conditions
+4°C
Appropriate long-term storage conditions
+4°C
Storage information
Do Not Freeze

Product protocols

For this product, it's our understanding that no specific protocols are required. You can visit:

Publications (1)

Recent publications for all applications. Explore the full list and refine your search

Molecular neurodegeneration 19:97 PubMed39696466

2024

The UFMylation pathway is impaired in Alzheimer's disease.

Applications

Unspecified application

Species

Unspecified reactive species

Tingxiang Yan,Michael G Heckman,Emily C Craver,Chia-Chen Liu,Bailey D Rawlinson,Xue Wang,Melissa E Murray,Dennis W Dickson,Nilufer Ertekin-Taner,Zhenkun Lou,Guojun Bu,Wolfdieter Springer,Fabienne C Fiesel
View all publications

Product promise

We are committed to supporting your work with high-quality reagents, and we're here for you every step of the way. In the unlikely event that one of our products does not perform as expected, you're protected by our Product Promise.
For full details, please see our Terms & Conditions

Please note: All products are 'FOR RESEARCH USE ONLY. NOT FOR USE IN DIAGNOSTIC OR THERAPEUTIC PROCEDURES'.

For licensing inquiries, please contact partnerships@abcam.com