JavaScript is disabled in your browser. Please enable JavaScript to view this website.
AB183329

Anti-Cytokeratin 4 antibody [SP210] - N-terminal

0

(2 Reviews)

|

(2 Publications)

Rabbit Recombinant Monoclonal K2C4 antibody. N-terminal. Suitable for IHC-P and reacts with Human samples. Cited in 2 publications.

View Alternative Names

CYK4, KRT4, Cytokeratin-4, Keratin-4, Type-II keratin Kb4, CK-4, K4

3 Images
Immunohistochemistry (Formalin/PFA-fixed paraffin-embedded sections) - Anti-Cytokeratin 4 antibody [SP210] - N-terminal (AB183329)
  • IHC-P

Supplier Data

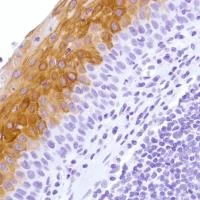
Immunohistochemistry (Formalin/PFA-fixed paraffin-embedded sections) - Anti-Cytokeratin 4 antibody [SP210] - N-terminal (AB183329)

Immunohistochemical analysis of paraffin embedded human tonsil tissue labeling Cytokeratin 4 with ab183329 at 1/100.

Immunohistochemistry (Formalin/PFA-fixed paraffin-embedded sections) - Anti-Cytokeratin 4 antibody [SP210] - N-terminal (AB183329)
  • IHC-P

Unknown

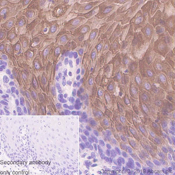
Immunohistochemistry (Formalin/PFA-fixed paraffin-embedded sections) - Anti-Cytokeratin 4 antibody [SP210] - N-terminal (AB183329)

Immunohistochemistry (Formalin/PFA-fixed paraffin-embedded sections) analysis of Human esophagus tissue sections labeling Cytokeratin 4 with ab183329 at 1/100 dilution (0.94 µg/ml). Heat mediated antigen retrieval was performed Heat mediated antigen retrieval with Tris-EDTA buffer (pH 9.0, epitope retrieval solution 2) for 20 mins. Rabbit specific IHC polymer detection kit HRP/DAB (ab209101) was used as the secondary antibody. Negative control : PBS instead of the primary antibody. Hematoxylin was used as a counterstain.

Immunohistochemistry (Formalin/PFA-fixed paraffin-embedded sections) - Anti-Cytokeratin 4 antibody [SP210] - N-terminal (AB183329)
  • IHC-P

Supplier Data

Immunohistochemistry (Formalin/PFA-fixed paraffin-embedded sections) - Anti-Cytokeratin 4 antibody [SP210] - N-terminal (AB183329)

Immunohistochemical analysis of paraffin embedded human esophagus tissue labeling Cytokeratin 4 with ab183329 at 1/100.

Key facts

Host species

Rabbit

Clonality

Monoclonal

Clone number

SP210

Isotype

IgG

Carrier free

No

Reacts with

Human

Applications

IHC-P

applications

Immunogen

The exact immunogen used to generate this antibody is proprietary information.

Reactivity data

{ "title": "Reactivity Data", "filters": { "stats": ["", "Species", "Dilution Info", "Notes"], "tabs": { "all-applications": {"fullname" : "All Applications", "shortname": "All Applications"}, "IHCP" : {"fullname" : "Immunohistochemistry (Formalin/PFA-fixed paraffin-embedded sections)", "shortname":"IHC-P"} }, "product-promise": { "all": "all", "testedAndGuaranteed": "tested", "guaranteed": "expected", "predicted": "predicted", "notRecommended": "not-recommended" } }, "values": { "Human": { "IHCP-species-checked": "testedAndGuaranteed", "IHCP-species-dilution-info": "1/100", "IHCP-species-notes": "<p>Antigen Retrieval: Boil tissue section in EDTA buffer, pH 8.0 for 10 min followed by cooling at room temperature for 20 min.</p>" }, "Mouse": { "IHCP-species-checked": "predicted", "IHCP-species-dilution-info": "", "IHCP-species-notes": "" } } }

Product details

What are the advantages of a recombinant monoclonal antibody?
This product is a recombinant monoclonal antibody, which offers several advantages including:

  • - High batch-to-batch consistency and reproducibility
  • - Improved sensitivity and specificity
  • - Long-term security of supply
  • - Animal-free batch production

For more information, read more on recombinant antibodies.

Properties and storage information

Form
Liquid
Purification technique
Affinity purification Protein A/G
Purification notes
Purified from TCS by protein A/G.
Storage buffer
pH: 7.6 Preservative: 0.1% Sodium azide Constituents: PBS, 1% BSA
Shipped at conditions
Blue Ice
Appropriate short-term storage duration
1-2 weeks
Appropriate short-term storage conditions
+4°C
Appropriate long-term storage conditions
-20°C
Aliquoting information
Upon delivery aliquot
Storage information
Avoid freeze / thaw cycle

Product protocols

For this product, it's our understanding that no specific protocols are required. You can visit:

Publications (2)

Recent publications for all applications. Explore the full list and refine your search

Cell stem cell 28:1248-1261.e8 PubMed33984282

2021

Discrete limbal epithelial stem cell populations mediate corneal homeostasis and wound healing.

Applications

Unspecified application

Species

Unspecified reactive species

Anna Altshuler,Aya Amitai-Lange,Noam Tarazi,Sunanda Dey,Lior Strinkovsky,Shira Hadad-Porat,Swarnabh Bhattacharya,Waseem Nasser,Jusuf Imeri,Gil Ben-David,Ghada Abboud-Jarrous,Beatrice Tiosano,Eran Berkowitz,Nathan Karin,Yonatan Savir,Ruby Shalom-Feuerstein

Experimental and therapeutic medicine 14:4141-4147 PubMed29104630

2017

Electrospun collagen/poly(L-lactic acid-co-ε-caprolactone) scaffolds for conjunctival tissue engineering.

Applications

Unspecified application

Species

Unspecified reactive species

Qinke Yao,Weijie Zhang,Yang Hu,Junzhao Chen,Chunyi Shao,Xianqun Fan,Yao Fu
View all publications

Product promise

We are committed to supporting your work with high-quality reagents, and we're here for you every step of the way. In the unlikely event that one of our products does not perform as expected, you're protected by our Product Promise.
For full details, please see our Terms & Conditions

Please note: All products are 'FOR RESEARCH USE ONLY. NOT FOR USE IN DIAGNOSTIC OR THERAPEUTIC PROCEDURES'.

For licensing inquiries, please contact partnerships@abcam.com