JavaScript is disabled in your browser. Please enable JavaScript to view this website.
AB40

Anti-Cytokeratin 5 + 6 + 18 antibody [LP34]

Be the first to review this product! Submit a review

|

(14 Publications)

Mouse Recombinant Monoclonal Cytokeratin 5 antibody. Suitable for WB, IHC-P and reacts with Human samples. Cited in 14 publications.

View Alternative Names

58 kDa cytokeratin, Cytokeratin-5, Keratin-5, Type-II keratin Kb5, CK-5, K5, KRT5, K6A, KRT6D, KRT6A, Cytokeratin-6A, Cytokeratin-6D, Keratin-6A, Type-II keratin Kb6, CK-6A, CK-6D, 58 kDa cytokeratin, Cytokeratin-5, Keratin-5, Type-II keratin Kb5, CK-5, K5, KRT5

6 Images
Immunohistochemistry (Formalin/PFA-fixed paraffin-embedded sections) - Anti-Cytokeratin 5 + 6 + 18 antibody [LP34] (AB40)
  • IHC-P

Lab

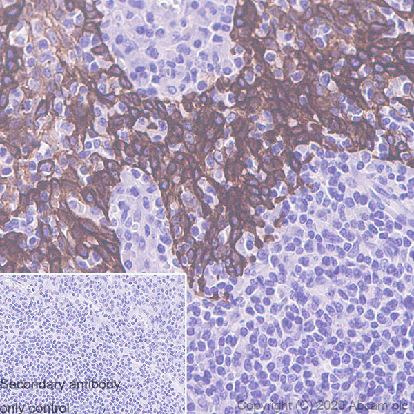
Immunohistochemistry (Formalin/PFA-fixed paraffin-embedded sections) - Anti-Cytokeratin 5 + 6 + 18 antibody [LP34] (AB40)

Immunohistochemical analysis of paraffin-embedded human bladder carcinoma tissue labeling Cytokeratin 5 + 6 + 18 with ab40 at 0.085μg/ml, followed by a ready to use secondary. Positive staining on human bladder carcinoma tissue is observed. The section was incubated with ab40 for 30 mins at RT. The immunostaining staining was performed on a Leica Biosystems BOND® RX instrument. Counterstained with hematoxylin.
Secondary antibody only control : Used PBS instead of primary antibody, followed by a ready to use secondary. Heat mediated antigen retrieval with Tris-EDTA buffer (pH 9.0, epitope retrieval solution 2) for 20 mins.

Immunohistochemistry (Formalin/PFA-fixed paraffin-embedded sections) - Anti-Cytokeratin 5 + 6 + 18 antibody [LP34] (AB40)
  • IHC-P

Lab

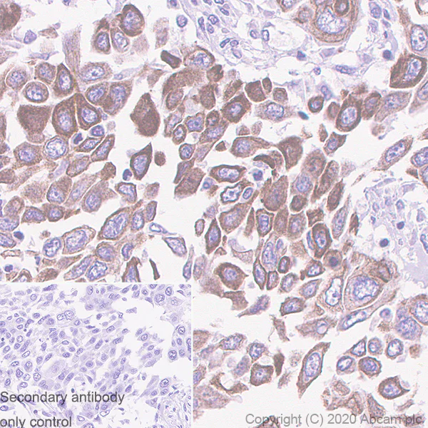
Immunohistochemistry (Formalin/PFA-fixed paraffin-embedded sections) - Anti-Cytokeratin 5 + 6 + 18 antibody [LP34] (AB40)

Immunohistochemical analysis of paraffin-embedded human pancreatic carcinoma tissue labeling Cytokeratin 5 + 6 + 18 with ab40 at 0.085μg/ml, followed by a ready to use secondary. Positive staining on human pancreatic carcinoma tissue is observed. The section was incubated with ab40 for 30 mins at RT. The immunostaining staining was performed on a Leica Biosystems BOND® RX instrument. Counterstained with hematoxylin.
Secondary antibody only control : Used PBS instead of primary antibody, followed by a ready to use secondary. Heat mediated antigen retrieval with Tris-EDTA buffer (pH 9.0, epitope retrieval solution 2) for 20 mins.

Immunohistochemistry (Formalin/PFA-fixed paraffin-embedded sections) - Anti-Cytokeratin 5 + 6 + 18 antibody [LP34] (AB40)
  • IHC-P

Lab

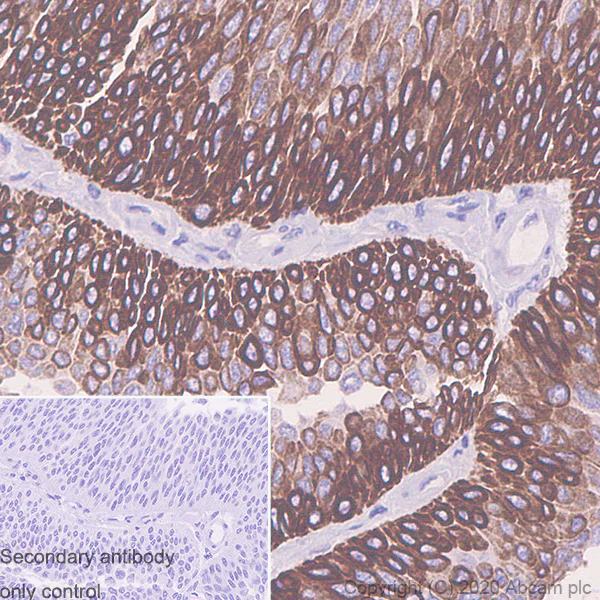
Immunohistochemistry (Formalin/PFA-fixed paraffin-embedded sections) - Anti-Cytokeratin 5 + 6 + 18 antibody [LP34] (AB40)

Immunohistochemical analysis of paraffin-embedded human skin labeling Cytokeratin 5 + 6 + 18 with ab40 at 1/1000 dilution, followed by a ready to use secondary. Positive staining on human skin is observed. The section was incubated with ab40 for 30 mins at RT. The immunostaining staining was performed on a Leica Biosystems BOND® RX instrument. Counterstained with hematoxylin.
Secondary antibody only control : Used PBS instead of primary antibody, followed by a ready to use secondary. Heat mediated antigen retrieval with Tris-EDTA buffer (pH 9.0, epitope retrieval solution 2) for 20 mins.

Immunohistochemistry (Formalin/PFA-fixed paraffin-embedded sections) - Anti-Cytokeratin 5 + 6 + 18 antibody [LP34] (AB40)
  • IHC-P

Lab

Immunohistochemistry (Formalin/PFA-fixed paraffin-embedded sections) - Anti-Cytokeratin 5 + 6 + 18 antibody [LP34] (AB40)

Immunohistochemical analysis of paraffin-embedded human tonsil tissue labeling Cytokeratin 5 + 6 + 18 with ab40 at 0.085μg/ml, followed by a ready to use secondary. Positive staining on the epithelial cells of human tonsil tissue is observed. The section was incubated with ab40 for 30 mins at RT. The immunostaining staining was performed on a Leica Biosystems BOND® RX instrument. Counterstained with hematoxylin.
Secondary antibody only control : Used PBS instead of primary antibody, followed by a ready to use secondary. Heat mediated antigen retrieval with Tris-EDTA buffer (pH 9.0, epitope retrieval solution 2) for 20 mins.

Western blot - Anti-Cytokeratin 5 + 6 + 18 antibody [LP34] (AB40)
  • WB

Lab

Western blot - Anti-Cytokeratin 5 + 6 + 18 antibody [LP34] (AB40)

Blocking/Dilution buffer : 5% NFDM/TBST.

Exposure times : Lane 1 : 15 secs; Lane 2-3 : 3 secs.

All lanes:

Western blot - Anti-Cytokeratin 5 + 6 + 18 antibody [LP34] (ab40) at 0.424 µg/mL

Lane 1:

HeLa (human cervix adenocarcinoma epithelial cell), whole cell lysate at 20 µg

Lane 2:

MCF7 (human breast adenocarcinoma epithelial cell), whole cell lysate at 20 µg

Lane 3:

HepG2 (human hepatocellular carcinoma epithelial cell), whole cell lysate at 20 µg

Secondary

All lanes:

Peroxidase-Conjugated Goat anti-Mouse IgG (H+L) at 1/10000 dilution

Observed band size: 45 kDa

false

Western blot - Anti-Cytokeratin 5 + 6 + 18 antibody [LP34] (AB40)
  • WB

Lab

Western blot - Anti-Cytokeratin 5 + 6 + 18 antibody [LP34] (AB40)

Blocking/Dilution buffer : 5% NFDM/TBST.

All lanes:

Western blot - Anti-Cytokeratin 5 + 6 + 18 antibody [LP34] (ab40) at 1/1000 dilution

All lanes:

Human skin lysate at 20 µg

Secondary

All lanes:

Western blot - Anti-mouse IgG for IP (HRP) (<a href='/en-us/products/secondary-antibodies/mouse-igg-for-ip-hrp-ab131368'>ab131368</a>) at 1/1000 dilution

Observed band size: 58 kDa

false

Exposure time: 114s

  • Carrier free

    Anti-Cytokeratin 5 + 6 + 18 antibody [LP34] - BSA and Azide free

Key facts

Host species

Mouse

Clonality

Monoclonal

Clone number

LP34

Isotype

IgG1

Carrier free

No

Reacts with

Human

Applications

IHC-P, WB

applications

Immunogen

The exact immunogen used to generate this antibody is proprietary information.

Reactivity data

{ "title": "Reactivity Data", "filters": { "stats": ["", "Species", "Dilution Info", "Notes"], "tabs": { "all-applications": {"fullname" : "All Applications", "shortname": "All Applications"}, "WB" : {"fullname" : "Western blot", "shortname":"WB"}, "IHCP" : {"fullname" : "Immunohistochemistry (Formalin/PFA-fixed paraffin-embedded sections)", "shortname":"IHC-P"}, "ICCIF" : {"fullname" : "Immunocytochemistry/ Immunofluorescence", "shortname":"ICC/IF"} }, "product-promise": { "all": "all", "testedAndGuaranteed": "tested", "guaranteed": "expected", "predicted": "predicted", "notRecommended": "not-recommended" } }, "values": { "Human": { "WB-species-checked": "testedAndGuaranteed", "WB-species-dilution-info": "0.424 µg/mL", "WB-species-notes": "<p></p>", "IHCP-species-checked": "testedAndGuaranteed", "IHCP-species-dilution-info": "0.085 µg/mL", "IHCP-species-notes": "<p></p> Perform heat-mediated antigen retrieval with Tris/EDTA buffer pH 9.0 before commencing with IHC staining protocol.", "ICCIF-species-checked": "notRecommended", "ICCIF-species-dilution-info": "", "ICCIF-species-notes": "<p></p>" }, "Mouse": { "WB-species-checked": "notRecommended", "WB-species-dilution-info": "0.424 µg/mL", "WB-species-notes": "<p></p>", "IHCP-species-checked": "notRecommended", "IHCP-species-dilution-info": "0.085 µg/mL", "IHCP-species-notes": "<p></p> Perform heat-mediated antigen retrieval with Tris/EDTA buffer pH 9.0 before commencing with IHC staining protocol.", "ICCIF-species-checked": "notRecommended", "ICCIF-species-dilution-info": "", "ICCIF-species-notes": "" }, "Rat": { "WB-species-checked": "notRecommended", "WB-species-dilution-info": "0.424 µg/mL", "WB-species-notes": "<p></p>", "IHCP-species-checked": "notRecommended", "IHCP-species-dilution-info": "0.085 µg/mL", "IHCP-species-notes": "<p></p> Perform heat-mediated antigen retrieval with Tris/EDTA buffer pH 9.0 before commencing with IHC staining protocol.", "ICCIF-species-checked": "notRecommended", "ICCIF-species-dilution-info": "", "ICCIF-species-notes": "" } } }

Product details

What are the advantages of a recombinant monoclonal antibody?
This product is a recombinant monoclonal antibody, which offers several advantages including:

  • - High batch-to-batch consistency and reproducibility
  • - Improved sensitivity and specificity
  • - Long-term security of supply
  • - Animal-free batch production

For more information, read more on recombinant antibodies.

Want a custom formulation?
This antibody clone is manufactured by Abcam. If you require a custom buffer formulation or conjugation for your experiments, please contact orders@abcam.com

Properties and storage information

Form
Liquid
Purification technique
Affinity purification Protein A
Storage buffer
pH: 7.2 - 7.4 Preservative: 0.01% Sodium azide Constituents: PBS, 40% Glycerol (glycerin, glycerine), 0.05% BSA
Shipped at conditions
Blue Ice
Appropriate short-term storage duration
1-2 weeks
Appropriate short-term storage conditions
+4°C
Appropriate long-term storage conditions
-20°C
Aliquoting information
Upon delivery aliquot
Storage information
Avoid freeze / thaw cycle

Product protocols

For this product, it's our understanding that no specific protocols are required. You can visit:

Target data

Required for the formation of keratin intermediate filaments in the basal epidermis and maintenance of the skin barrier in response to mechanical stress (By similarity). Regulates the recruitment of Langerhans cells to the epidermis, potentially by modulation of the abundance of macrophage chemotactic cytokines, macrophage inflammatory cytokines and CTNND1 localization in keratinocytes (By similarity).
See full target information Keratin, type II cytoskeletal 5

Additional targets

Keratin, type II cytoskeletal 5,KRT6A

Publications (14)

Recent publications for all applications. Explore the full list and refine your search

International journal of molecular sciences 25: PubMed38791563

2024

Exacerbated Activation of the NLRP3 Inflammasome in the Placentas from Women Who Developed Chronic Venous Disease during Pregnancy.

Applications

Unspecified application

Species

Unspecified reactive species

María Asunción Sánchez-Gil,Oscar Fraile-Martinez,Cielo García-Montero,Diego De Leon-Oliva,Diego Liviu Boaru,Patricia De Castro-Martinez,Adrían Camacho-Alcázar,Juan A De León-Luis,Coral Bravo,Raúl Díaz-Pedrero,Laura López-Gonzalez,Julia Bujan,María J Cancelo,Melchor Álvarez-Mon,Natalio García-Honduvilla,Miguel A Saez,Miguel A Ortega

Journal of clinical laboratory analysis 36:e24697 PubMed36161346

2022

Hsa_circ_0002082 up-regulates Centromere Protein F via abolishing miR-508-3p to promote breast cancer progression.

Applications

Unspecified application

Species

Unspecified reactive species

Yu Liu,Yun Liu,Jinyong Luo,Wen Zhao,Chunhui Hu,Gongquan Chen

EMBO reports 21:e48530 PubMed32003148

2020

Interleukin-12/23 deficiency differentially affects pathology in male and female Alzheimer's disease-like mice.

Applications

Unspecified application

Species

Unspecified reactive species

Pascale Eede,Juliane Obst,Eileen Benke,Genevieve Yvon-Durocher,Bernhard C Richard,Niclas Gimber,Jan Schmoranzer,Annett Böddrich,Erich E Wanker,Stefan Prokop,Frank L Heppner

Environment international 136:105510 PubMed32004873

2020

Toxicity of urban air pollution particulate matter in developing and adult mouse brain: Comparison of total and filter-eluted nanoparticles.

Applications

Unspecified application

Species

Unspecified reactive species

Amin Haghani,Richard Johnson,Nikoo Safi,Hongqiao Zhang,Max Thorwald,Amirhosein Mousavi,Nicholas C Woodward,Farimah Shirmohammadi,Valerio Coussa,John P Wise,Henry Jay Forman,Constantinos Sioutas,Hooman Allayee,Todd E Morgan,Caleb E Finch

FEBS open bio 10:338-350 PubMed31823504

2020

Mapping pathogenic processes contributing to neurodegeneration in Drosophila models of Alzheimer's disease.

Applications

Unspecified application

Species

Unspecified reactive species

Liza Bergkvist,Zhen Du,Greta Elovsson,Hanna Appelqvist,Laura S Itzhaki,Janet R Kumita,Katarina Kågedal,Ann-Christin Brorsson

Neurology and therapy 8:95-111 PubMed31833027

2019

Advance in Plasma AD Core Biomarker Development: Current Findings from Immunomagnetic Reduction-Based SQUID Technology.

Applications

Unspecified application

Species

Unspecified reactive species

Lih-Fen Lue,Yu-Min Kuo,Marwan Sabbagh

The EMBO journal 38:e102345 PubMed31701556

2019

Tau deletion reduces plaque-associated BACE1 accumulation and decelerates plaque formation in a mouse model of Alzheimer's disease.

Applications

Unspecified application

Species

Unspecified reactive species

Finn Peters,Hazal Salihoglu,Katrin Pratsch,Etienne Herzog,Martina Pigoni,Carmelo Sgobio,Stefan F Lichtenthaler,Ulf Neumann,Jochen Herms

Oxidative medicine and cellular longevity 2019:7536803 PubMed31781348

2019

The 5-Lipoxygenase Inhibitor Zileuton Protects Pressure Overload-Induced Cardiac Remodeling via Activating PPAR.

Applications

Unspecified application

Species

Unspecified reactive species

Qing-Qing Wu,Wei Deng,Yang Xiao,Jiao-Jiao Chen,Chen Liu,Juan Wang,Yankai Guo,Mingxia Duan,Zhulan Cai,Saiyang Xie,Yuan Yuan,Qizhu Tang

The EMBO journal 38:e101064 PubMed31359456

2019

Systemic inflammation impairs microglial Aβ clearance through NLRP3 inflammasome.

Applications

Unspecified application

Species

Unspecified reactive species

Dario Tejera,Dilek Mercan,Juan M Sanchez-Caro,Mor Hanan,David Greenberg,Hermona Soreq,Eicke Latz,Douglas Golenbock,Michael T Heneka

OncoTargets and therapy 12:5687-5699 PubMed31410016

2019

miR-937 regulates the proliferation and apoptosis via targeting APAF1 in breast cancer.

Applications

Unspecified application

Species

Unspecified reactive species

Huiying Fang,Wei Jiang,Zhouhong Jing,Xiaosong Mu,Zhongxun Xiong
View all publications

Product promise

We are committed to supporting your work with high-quality reagents, and we're here for you every step of the way. In the unlikely event that one of our products does not perform as expected, you're protected by our Product Promise.
For full details, please see our Terms & Conditions

Please note: All products are 'FOR RESEARCH USE ONLY. NOT FOR USE IN DIAGNOSTIC OR THERAPEUTIC PROCEDURES'.

For licensing inquiries, please contact partnerships@abcam.com