JavaScript is disabled in your browser. Please enable JavaScript to view this website.
AB74526

Anti-Cytokeratin 5 antibody

Be the first to review this product! Submit a review

|

(1 Publication)

Rabbit Polyclonal Cytokeratin 5 antibody. Suitable for IHC-P and reacts with Human samples. Cited in 1 publication.

View Alternative Names

58 kDa cytokeratin, Cytokeratin-5, Keratin-5, Type-II keratin Kb5, CK-5, K5, KRT5

1 Images
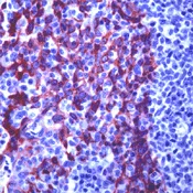
Immunohistochemistry (Formalin/PFA-fixed paraffin-embedded sections) - Anti-Cytokeratin 5 antibody (AB74526)
  • IHC-P

Unknown

Immunohistochemistry (Formalin/PFA-fixed paraffin-embedded sections) - Anti-Cytokeratin 5 antibody (AB74526)

ab74526 at 1/100 dilution staining Cytokeratin 5 in Human mesothelioma by Immunohistochemistry, Formalin-fixed, Paraffin-embedded tissue.

Key facts

Host species

Rabbit

Clonality

Polyclonal

Isotype

IgG

Carrier free

No

Reacts with

Human

Applications

IHC-P

applications

Immunogen

The exact immunogen used to generate this antibody is proprietary information.

Reactivity data

{ "title": "Reactivity Data", "filters": { "stats": ["", "Species", "Dilution Info", "Notes"], "tabs": { "all-applications": {"fullname" : "All Applications", "shortname": "All Applications"}, "IHCP" : {"fullname" : "Immunohistochemistry (Formalin/PFA-fixed paraffin-embedded sections)", "shortname":"IHC-P"} }, "product-promise": { "all": "all", "testedAndGuaranteed": "tested", "guaranteed": "expected", "predicted": "predicted", "notRecommended": "not-recommended" } }, "values": { "Human": { "IHCP-species-checked": "testedAndGuaranteed", "IHCP-species-dilution-info": "1/100", "IHCP-species-notes": "<p><div>1/100 for 30 min at RT. Staining of formalin-fixed tissues requires boiling tissue sections in 10mM citrate buffer, pH 6.0 for 10 min followed by cooling at RT for 20 min.</div>" } } }

Properties and storage information

Form
Liquid
Purification technique
Affinity purification Immunogen
Storage buffer
pH: 7.6 Preservative: 0.1% Sodium azide Constituents: PBS, 1% BSA
Shipped at conditions
Blue Ice
Appropriate short-term storage conditions
+4°C
Appropriate long-term storage conditions
-20°C
Aliquoting information
Upon delivery aliquot
Storage information
Avoid freeze / thaw cycle

Product protocols

For this product, it's our understanding that no specific protocols are required. You can visit:

Target data

Required for the formation of keratin intermediate filaments in the basal epidermis and maintenance of the skin barrier in response to mechanical stress (By similarity). Regulates the recruitment of Langerhans cells to the epidermis, potentially by modulation of the abundance of macrophage chemotactic cytokines, macrophage inflammatory cytokines and CTNND1 localization in keratinocytes (By similarity).
See full target information Keratin, type II cytoskeletal 5

Publications (1)

Recent publications for all applications. Explore the full list and refine your search

European journal of histochemistry : EJH 58:2265 PubMed24704995

2014

TGF-β1 expression in chromophobe renal cell carcinoma and renal oncocytoma.

Applications

Unspecified application

Species

Unspecified reactive species

A Demirović,S Cesarec,Z Marušić,D Tomas,M Milošević,T Hudolin,B Krušlin
View all publications

Product promise

We are committed to supporting your work with high-quality reagents, and we're here for you every step of the way. In the unlikely event that one of our products does not perform as expected, you're protected by our Product Promise.
For full details, please see our Terms & Conditions

Please note: All products are 'FOR RESEARCH USE ONLY. NOT FOR USE IN DIAGNOSTIC OR THERAPEUTIC PROCEDURES'.

For licensing inquiries, please contact partnerships@abcam.com