JavaScript is disabled in your browser. Please enable JavaScript to view this website.
AB214586

Anti-Cytokeratin 5 antibody [EP1601Y] - BSA and Azide free

5

(2 Reviews)

|

(12 Publications)

Anti-Cytokeratin 5 antibody [EP1601Y] - BSA and Azide free (ab214586) is a rabbit recombinant monoclonal antibody provided in a PBS only buffer for easy conjugation. Suitable for Western Blot, Flow Cytometry (Intra), IHC-P, ICC/IF in Human, Mouse, Rat.

- Clone EP1601Y is the most cited clone to Cytokeratin 5
- BSA, sodium azide, and glycerol-free for easy conjugation
- Biophysical QC for unrivalled batch-batch consistency
- Over 10 publications

View Alternative Names

58 kDa cytokeratin, Cytokeratin-5, Keratin-5, Type-II keratin Kb5, CK-5, K5, KRT5

20 Images
Immunocytochemistry/ Immunofluorescence - Anti-Cytokeratin 5 antibody [EP1601Y] - BSA and Azide free (AB214586)
  • ICC/IF

PubMed

Immunocytochemistry/ Immunofluorescence - Anti-Cytokeratin 5 antibody [EP1601Y] - BSA and Azide free (AB214586)

Colocalization of KRT5, KRT6 and KRT17 in HSC3 cells

Immunocytochemistry in HSC3 (human oral squamous carcinoma cell line) cells. Scale bar, 10 μm.

(Taken from Figure S3 of Khanom et al)

This data was developed using the same antibody clone in a different buffer formulation containing PBS, BSA, glycerol, and sodium azide (ab52635).

Image from Khanom R. et al PLoS One. 2016 Aug 11;11(8):e0161163. doi: 10.1371/journal.pone.0161163. eCollection 2016.

Immunocytochemistry/ Immunofluorescence - Anti-Cytokeratin 5 antibody [EP1601Y] - BSA and Azide free (AB214586)
  • ICC/IF

Unknown

Immunocytochemistry/ Immunofluorescence - Anti-Cytokeratin 5 antibody [EP1601Y] - BSA and Azide free (AB214586)

Immunocytochemistry/ Immunofluorescence analysis of A431 (Human epidermoid carcinoma epithelial cell) cells labeling Cytokeratin 6 with Purified ab52635 at 1 : 100 dilution. Cells were fixed in 4% Paraformaldehyde and permeabilized with 0.1% tritonX-100. Cells were counterstained with ab195889 Anti-alpha Tubulin antibody [DM1A] - Microtubule Marker (Alexa Fluor ® 594) 1 : 200 (2.5 µg/ml). ab150077 Goat anti rabbit IgG(Alexa Fluor ® 488) was used as the secondary antibody at 1 : 1000 dilution. DAPI nuclear counterstain. PBS instead of the primary antibody was used as the secondary antibody only control.This data was developed using the same antibody clone in a different buffer formulation containing PBS, BSA, glycerol, and sodium azide (ab52635).

Immunohistochemistry (Formalin/PFA-fixed paraffin-embedded sections) - Anti-Cytokeratin 5 antibody [EP1601Y] - BSA and Azide free (AB214586)
  • IHC-P

Unknown

Immunohistochemistry (Formalin/PFA-fixed paraffin-embedded sections) - Anti-Cytokeratin 5 antibody [EP1601Y] - BSA and Azide free (AB214586)

Unpurified ab52635 showing positive staining in normal tonsil squamous cells tissue.

This data was developed using the same antibody clone in a different buffer formulation containing PBS, BSA, glycerol, and sodium azide (ab52635).

Immunohistochemistry (Formalin/PFA-fixed paraffin-embedded sections) - Anti-Cytokeratin 5 antibody [EP1601Y] - BSA and Azide free (AB214586)
  • IHC-P

Unknown

Immunohistochemistry (Formalin/PFA-fixed paraffin-embedded sections) - Anti-Cytokeratin 5 antibody [EP1601Y] - BSA and Azide free (AB214586)

This IHC data was generated using the same anti-Cytokeratin 5 antibody clone, EP1601Y, in a different buffer formulation (cat# ab52635).

ab52635 showing positive staining in squamous cell cervical carcinoma tissue.

Immunohistochemistry (Formalin/PFA-fixed paraffin-embedded sections) - Anti-Cytokeratin 5 antibody [EP1601Y] - BSA and Azide free (AB214586)
  • IHC-P

Unknown

Immunohistochemistry (Formalin/PFA-fixed paraffin-embedded sections) - Anti-Cytokeratin 5 antibody [EP1601Y] - BSA and Azide free (AB214586)

Unpurified ab52635 showing negative staining in ductal breast carcinoma tissue.

This data was developed using the same antibody clone in a different buffer formulation containing PBS, BSA, glycerol, and sodium azide (ab52635).

Immunohistochemistry (Formalin/PFA-fixed paraffin-embedded sections) - Anti-Cytokeratin 5 antibody [EP1601Y] - BSA and Azide free (AB214586)
  • IHC-P

Unknown

Immunohistochemistry (Formalin/PFA-fixed paraffin-embedded sections) - Anti-Cytokeratin 5 antibody [EP1601Y] - BSA and Azide free (AB214586)

Immunohistochemistry (Formalin/PFA-fixed paraffin-embedded sections) analysis of human cervical carcinoma tissue sections labeling Cytokeratin 5 with Purified ab52635 at 1 : 200 dilution. Heat mediated antigen retrieval was performed using ab93684 (Tris/EDTA buffer, pH 9.0). Tissue was counterstained with Hematoxylin. ImmunoHistoProbe one step HRP Polymer (ready to use) secondary antibody was used. PBS instead of the primary antibody was used as the negative control.

This data was developed using the same antibody clone in a different buffer formulation containing PBS, BSA, glycerol, and sodium azide (ab52635).

Immunohistochemistry (Formalin/PFA-fixed paraffin-embedded sections) - Anti-Cytokeratin 5 antibody [EP1601Y] - BSA and Azide free (AB214586)
  • IHC-P

Lab

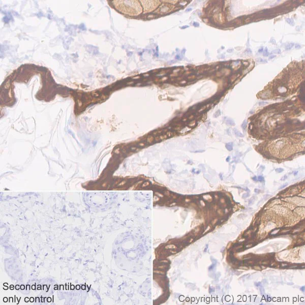
Immunohistochemistry (Formalin/PFA-fixed paraffin-embedded sections) - Anti-Cytokeratin 5 antibody [EP1601Y] - BSA and Azide free (AB214586)

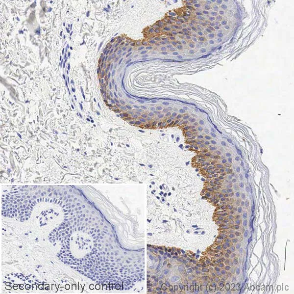
This data was developed using the same antibody clone in a different buffer formulation containing PBS, BSA, glycerol, and sodium azide (ab52635). IHC image of Cytokeratin 5 staining in a section of formalin-fixed paraffin-embedded normal human skin* performed on a Leica Biosystems BOND® RX instrument. The section was pre-treated using heat mediated antigen retrieval with sodium citrate buffer (pH6, epitope retrieval solution 1) for 20mins. The section was then incubated with ab52635, 0.1ug/ml, for 15 mins at room temperature and detected using an HRP conjugated compact polymer system. DAB was used as the chromogen. The section was then counterstained with haematoxylin and mounted with DPX. The inset secondary-only control image is taken from an identical assay without primary antibody. For other IHC staining systems (automated and non-automated) customers should optimize variable parameters such as antigen retrieval conditions, primary antibody concentration and antibody incubation times. *Tissue obtained from the Human Research Tissue Bank, supported by the NIHR Cambridge Biomedical Research Centre

Flow Cytometry (Intracellular) - Anti-Cytokeratin 5 antibody [EP1601Y] - BSA and Azide free (AB214586)
  • Flow Cyt (Intra)

Unknown

Flow Cytometry (Intracellular) - Anti-Cytokeratin 5 antibody [EP1601Y] - BSA and Azide free (AB214586)

Clone EP1601Y (ab214586) has been successfully conjugated by Abcam. This image was generated using Anti-Cytokeratin 5 antibody [EP1601Y] (PE). Please refer to ab224985 for protocol details.

Overlay histogram showing A431 cells stained with ab224985 (red line). The cells were fixed with 4% formaldehyde (10 min) and then permeabilized with 0.1% PBS-Triton X-100 for 15 min. The cells were then incubated in 1x PBS / 10% normal goat serum to block non-specific protein-protein interactions followed by the antibody (ab224985, 1/5000 dilution) for 30 min at 22°C.

Isotype control antibody (black line) was Rabbit IgG (monoclonal) Phycoerythrin (ab209478) used at the same concentration and conditions as the primary antibody. Unlabelled sample (blue line) was also used as a control.

Acquisition of >5,000 events were collected using a 50 mW Yellow/Green laser (561nm) and 586/15 bandpass filter.

This antibody gave a positive signal in A431 cells fixed with 80% methanol (5 min)/permeabilized with 0.1% PBS-Triton X-100 for 15 min used under the same conditions.

Immunocytochemistry/ Immunofluorescence - Anti-Cytokeratin 5 antibody [EP1601Y] - BSA and Azide free (AB214586)
  • ICC/IF

Lab

Immunocytochemistry/ Immunofluorescence - Anti-Cytokeratin 5 antibody [EP1601Y] - BSA and Azide free (AB214586)

Clone EP1601Y (ab214586) has been successfully conjugated by Abcam. This image was generated using Anti-Cytokeratin 5 antibody [EP1601Y] (Alexa Fluor® 488). Please refer to ab193894 for protocol details.

ab193894 staining Cytokeratin 5 in HACAT cells. The cells were fixed with 4% formaldehyde (10 min), permeabilized with 0.1% Triton X-100 for 5 minutes and then blocked with 10% normal goat serum in 0.1% PBS-Tween for 1h. The cells were then incubated overnight at +4°C with ab193894 at 1/200 dilution (shown in green) and ab195889, Mouse monoclonal to alpha Tubulin (Alexa Fluor® 594), at 1/200 dilution (shown in red). Nuclear DNA was labelled with DAPI (shown in blue).
Image was taken with a confocal microscope (Leica-Microsystems, TCS SP8).

Immunocytochemistry/ Immunofluorescence - Anti-Cytokeratin 5 antibody [EP1601Y] - BSA and Azide free (AB214586)
  • ICC/IF

Lab

Immunocytochemistry/ Immunofluorescence - Anti-Cytokeratin 5 antibody [EP1601Y] - BSA and Azide free (AB214586)

Clone EP1601Y (ab214586) has been successfully conjugated by Abcam. This image was generated using Anti-Cytokeratin 5 antibody [EP1601Y] (Alexa Fluor® 647). Please refer to ab193895 for protocol details.

ab193895 staining Cytokeratin 5 in A431 cells. The cells were fixed with 4% formaldehyde (10 min), permeabilized with 0.1% Triton X-100 for 5 minutes and then blocked with 1% BSA/10% normal goat serum/0.3M glycine in 0.1% PBS-Tween for 1h. The cells were then incubated overnight at +4°C with ab193895 at 1/100 dilution (shown in red) and ab195887, Mouse monoclonal to alpha Tubulin (Alexa Fluor® 488), at 1/250 dilution (shown in green). Nuclear DNA was labelled with DAPI (shown in blue). Image was taken with a confocal microscope (Leica-Microsystems, TCS SP8).

This product also gave a positive signal under the same testing conditions in A431 cells fixed with 100% methanol (5min).

Flow Cytometry (Intracellular) - Anti-Cytokeratin 5 antibody [EP1601Y] - BSA and Azide free (AB214586)
  • Flow Cyt (Intra)

Unknown

Flow Cytometry (Intracellular) - Anti-Cytokeratin 5 antibody [EP1601Y] - BSA and Azide free (AB214586)

Intracellular Flow Cytometry analysis of A431 (human epidermoid carcinoma) cells labelling Cytokeratin 5 with purified ab52635 at 1/20 (red). Cells were fixed with 4% paraformaldehyde and permeabilised with 90% methanol. An Alexa Fluor®488-conjugated goat anti-rabbit IgG (1/2000) was used as the secondary antibody. Black - Isotype control, rabbit monoclonal IgG. Blue - Unlabelled control, cells without incubation with primary and secondary antibodies.

This data was developed using the same antibody clone in a different buffer formulation containing PBS, BSA, glycerol, and sodium azide (ab52635).

Immunohistochemistry (Formalin/PFA-fixed paraffin-embedded sections) - Anti-Cytokeratin 5 antibody [EP1601Y] - BSA and Azide free (AB214586)
  • IHC-P

Unknown

Immunohistochemistry (Formalin/PFA-fixed paraffin-embedded sections) - Anti-Cytokeratin 5 antibody [EP1601Y] - BSA and Azide free (AB214586)

Human transitional urinary bladder carcinoma stained with unpurified ab52635 at 1/100 - 1/250 dilution.

This data was developed using the same antibody clone in a different buffer formulation containing PBS, BSA, glycerol, and sodium azide (ab52635).

Immunocytochemistry/ Immunofluorescence - Anti-Cytokeratin 5 antibody [EP1601Y] - BSA and Azide free (AB214586)
  • ICC/IF

Unknown

Immunocytochemistry/ Immunofluorescence - Anti-Cytokeratin 5 antibody [EP1601Y] - BSA and Azide free (AB214586)

A431 cells stained with unpurified ab52635 at 1/100 - 1/250

This data was developed using the same antibody clone in a different buffer formulation containing PBS, BSA, glycerol, and sodium azide (ab52635).

Immunohistochemistry (Formalin/PFA-fixed paraffin-embedded sections) - Anti-Cytokeratin 5 antibody [EP1601Y] - BSA and Azide free (AB214586)
  • IHC-P

Unknown

Immunohistochemistry (Formalin/PFA-fixed paraffin-embedded sections) - Anti-Cytokeratin 5 antibody [EP1601Y] - BSA and Azide free (AB214586)

Immunohistochemistry (Formalin/PFA-fixed paraffin-embedded sections) analysis of rat skin tissue sections labeling Cytokeratin 5 with Purified ab52635 at 1 : 200 dilution. Heat mediated antigen retrieval was performed using ab93684 (Tris/EDTA buffer, pH 9.0). Tissue was counterstained with Hematoxylin. ImmunoHistoProbe one step HRP Polymer (ready to use) secondary antibody was used. PBS instead of the primary antibody was used as the negative control.

This data was developed using the same antibody clone in a different buffer formulation containing PBS, BSA, glycerol, and sodium azide (ab52635).

Immunohistochemistry (Formalin/PFA-fixed paraffin-embedded sections) - Anti-Cytokeratin 5 antibody [EP1601Y] - BSA and Azide free (AB214586)
  • IHC-P

Unknown

Immunohistochemistry (Formalin/PFA-fixed paraffin-embedded sections) - Anti-Cytokeratin 5 antibody [EP1601Y] - BSA and Azide free (AB214586)

Immunohistochemistry (Formalin/PFA-fixed paraffin-embedded sections) analysis of mouse skin tissue sections labeling Cytokeratin 5 with Purified ab52635 at 1 : 200 dilution. Heat mediated antigen retrieval was performed using ab93684 (Tris/EDTA buffer, pH 9.0). Tissue was counterstained with Hematoxylin. ImmunoHistoProbe one step HRP Polymer (ready to use) secondary antibody was used. PBS instead of the primary antibody was used as the negative control.

This data was developed using the same antibody clone in a different buffer formulation containing PBS, BSA, glycerol, and sodium azide (ab52635).

Western blot - Anti-Cytokeratin 5 antibody [EP1601Y] - BSA and Azide free (AB214586)
  • WB

Lab

Western blot - Anti-Cytokeratin 5 antibody [EP1601Y] - BSA and Azide free (AB214586)

Blocking buffer : 5% NFDM /TBST.

All lanes:

Western blot - Anti-Cytokeratin 5 antibody [EP1601Y] - Cytoskeleton Marker (<a href='/en-us/products/primary-antibodies/cytokeratin-5-antibody-ep1601y-cytoskeleton-marker-ab52635'>ab52635</a>) at 1/1000 dilution

Lane 1:

N-GST tagged full-length recombinant human Cytokeratin 6A protein at 10 ng

Lane 2:

N-GST tagged full-length recombinant human Cytokeratin 5 protein at 10 ng

Secondary

All lanes:

Western blot - Goat Anti-Rabbit IgG H&L (HRP) (<a href='/en-us/products/secondary-antibodies/goat-rabbit-igg-h-l-hrp-ab97051'>ab97051</a>) at 1/20000 dilution

Observed band size: 87 kDa

false

Exposure time: 10s

Western blot - Anti-Cytokeratin 5 antibody [EP1601Y] - BSA and Azide free (AB214586)
  • WB

Lab

Western blot - Anti-Cytokeratin 5 antibody [EP1601Y] - BSA and Azide free (AB214586)

This data was developed using ab52635, the same antibody clone in a different buffer formulation. Different batches of ab52635 were tested on Rat skin lysate at 1.0 µg/ml. 15 µg of lysate was loaded in each lane. Bands observed at 62 kDa.

All lanes:

Western blot - Anti-Cytokeratin 5 antibody [EP1601Y] - Cytoskeleton Marker (<a href='/en-us/products/primary-antibodies/cytokeratin-5-antibody-ep1601y-cytoskeleton-marker-ab52635'>ab52635</a>)

Predicted band size: 62 kDa

false

Immunohistochemistry (Formalin/PFA-fixed paraffin-embedded sections) - Anti-Cytokeratin 5 antibody [EP1601Y] - BSA and Azide free (AB214586)
  • IHC-P

Unknown

Immunohistochemistry (Formalin/PFA-fixed paraffin-embedded sections) - Anti-Cytokeratin 5 antibody [EP1601Y] - BSA and Azide free (AB214586)

Unpurified ab52635 showing negative staining in stomach adenocarcinoma tissue.

This data was developed using the same antibody clone in a different buffer formulation containing PBS, BSA, glycerol, and sodium azide (ab52635).

Immunohistochemistry (Formalin/PFA-fixed paraffin-embedded sections) - Anti-Cytokeratin 5 antibody [EP1601Y] - BSA and Azide free (AB214586)
  • IHC-P

Unknown

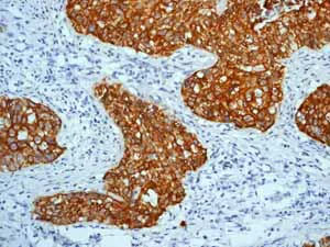
Immunohistochemistry (Formalin/PFA-fixed paraffin-embedded sections) - Anti-Cytokeratin 5 antibody [EP1601Y] - BSA and Azide free (AB214586)

Unpurified ab52635 showing positive staining in squamous cell lung carcinoma tissue.

This data was developed using the same antibody clone in a different buffer formulation containing PBS, BSA, glycerol, and sodium azide (ab52635).

Immunohistochemistry (Formalin/PFA-fixed paraffin-embedded sections) - Anti-Cytokeratin 5 antibody [EP1601Y] - BSA and Azide free (AB214586)
  • IHC-P

Unknown

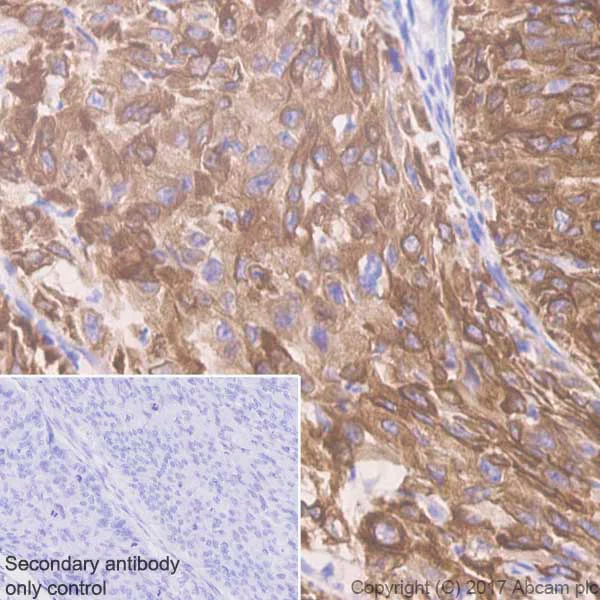
Immunohistochemistry (Formalin/PFA-fixed paraffin-embedded sections) - Anti-Cytokeratin 5 antibody [EP1601Y] - BSA and Azide free (AB214586)

This IHC data was generated using the same anti-Cytokeratin 5 antibody clone, EP1601Y, in a different buffer formulation (cat# ab52635).

ab52635 showing positive staining in basal cell breast carcinoma tissue.

  • Unconjugated

    Anti-Cytokeratin 5 antibody [EP1601Y] - Cytoskeleton Marker

  • 660 APC

    APC Anti-Cytokeratin 5 antibody [EP1601Y]

  • 578 PE

    PE Anti-Cytokeratin 5 antibody [EP1601Y]

  • 519 Alexa Fluor® 488

    Alexa Fluor® 488 Anti-Cytokeratin 5 antibody [EP1601Y]

  • 665 Alexa Fluor® 647

    Alexa Fluor® 647 Anti-Cytokeratin 5 antibody [EP1601Y]

Key facts

Host species

Rabbit

Clonality

Monoclonal

Clone number

EP1601Y

Isotype

IgG

Carrier free

Yes

Reacts with

Mouse, Rat, Human

Applications

IHC-P, WB, Flow Cyt (Intra), ICC/IF

applications

Immunogen

The exact immunogen used to generate this antibody is proprietary information.

Specificity

Mouse reactivity is based on IHC (positive tissues: Liver, lung, brain and skin). However, WB was negative for Mouse brain, heart, kidney and spleen. There is background staining in mouse and rat islet.

Reactivity data

{ "title": "Reactivity Data", "filters": { "stats": ["", "Species", "Dilution Info", "Notes"], "tabs": { "all-applications": {"fullname" : "All Applications", "shortname": "All Applications"}, "WB" : {"fullname" : "Western blot", "shortname":"WB"}, "FlowCytIntra" : {"fullname" : "Flow Cytometry (Intracellular)", "shortname":"Flow Cyt (Intra)"}, "ICCIF" : {"fullname" : "Immunocytochemistry/ Immunofluorescence", "shortname":"ICC/IF"}, "IHCP" : {"fullname" : "Immunohistochemistry (Formalin/PFA-fixed paraffin-embedded sections)", "shortname":"IHC-P"} }, "product-promise": { "all": "all", "testedAndGuaranteed": "tested", "guaranteed": "expected", "predicted": "predicted", "notRecommended": "not-recommended" } }, "values": { "Human": { "WB-species-checked": "testedAndGuaranteed", "WB-species-dilution-info": "", "WB-species-notes": "<p></p>", "FlowCytIntra-species-checked": "testedAndGuaranteed", "FlowCytIntra-species-dilution-info": "", "FlowCytIntra-species-notes": "<p><a href='/en-us/products/primary-antibodies/rabbit-igg-monoclonal-epr25a-isotype-control-low-endotoxin-azide-free-ab199376'>ab199376</a> - Rabbit monoclonal IgG, is suitable for use as an isotype control with this antibody.</p>", "ICCIF-species-checked": "testedAndGuaranteed", "ICCIF-species-dilution-info": "", "ICCIF-species-notes": "<p></p>", "IHCP-species-checked": "testedAndGuaranteed", "IHCP-species-dilution-info": "", "IHCP-species-notes": "<p></p> Perform heat-mediated antigen retrieval with Tris/EDTA buffer pH 9.0 before commencing with IHC staining protocol." }, "Mouse": { "WB-species-checked": "testedAndGuaranteed", "WB-species-dilution-info": "", "WB-species-notes": "<p></p>", "FlowCytIntra-species-checked": "guaranteed", "FlowCytIntra-species-dilution-info": "", "FlowCytIntra-species-notes": "", "ICCIF-species-checked": "guaranteed", "ICCIF-species-dilution-info": "", "ICCIF-species-notes": "", "IHCP-species-checked": "testedAndGuaranteed", "IHCP-species-dilution-info": "", "IHCP-species-notes": "<p></p> Perform heat-mediated antigen retrieval with Tris/EDTA buffer pH 9.0 before commencing with IHC staining protocol." }, "Rat": { "WB-species-checked": "testedAndGuaranteed", "WB-species-dilution-info": "", "WB-species-notes": "<p></p>", "FlowCytIntra-species-checked": "guaranteed", "FlowCytIntra-species-dilution-info": "", "FlowCytIntra-species-notes": "", "ICCIF-species-checked": "guaranteed", "ICCIF-species-dilution-info": "", "ICCIF-species-notes": "", "IHCP-species-checked": "testedAndGuaranteed", "IHCP-species-dilution-info": "", "IHCP-species-notes": "<p></p> Perform heat-mediated antigen retrieval with Tris/EDTA buffer pH 9.0 before commencing with IHC staining protocol." } } }

Product details

What is this antibody validated in?
Anti-Cytokeratin 5 antibody [EP1601Y] - BSA and Azide free (ab214586) is a rabbit recombinant monoclonal antibody and is validated for use in Western Blot (WB), Flow Cytometry (Intra), Flow Cytometry (Flow Cyt), Immunohistochemistry (IHC-P), Immunocytochemistry/immunofluorescence (ICC/IF) in Human, Mouse, Rat samples.

What is the molecular weight of Cytokeratin 5?
Anti-Cytokeratin 5 [EP1601Y] - BSA and Azide free (ab214586) specifically detects a band for Cytokeratin 5 (UniProt: P13647) at a molecular weight of 62kDa.

Trusted by the scientific community
Anti-Cytokeratin 5 [EP1601Y] - BSA and Azide free (ab214586) was first used in a scientific publication in 2016 and has been cited over 10 times in peer-reviewed journals.

Trial sizes available!
Test your antibody or perform pre-screening before committing to a larger quantity. Sold in 10µl. Discover our selection of trial-size antibodies.

Other related products
We have a range of other formats of antibody clone [EP1601Y] also available for your convenience: ab52635, Alexa Fluor® 488 - ab193894, Alexa Fluor® 647 - ab193895, HRP - ab193896, Carrier free - ab214586, APC - ab224984, PE - ab224985, ab321868

Patented technology
Our RabMAb® technology is a patented hybridoma-based technology for making rabbit monoclonal antibodies. For details on our patents, please refer to RabMAb® patents.

What are the advantages of a recombinant monoclonal antibody?
This product is a recombinant monoclonal antibody, which offers several advantages including:

  • - High batch-to-batch consistency and reproducibility
  • - Improved sensitivity and specificity
  • - Long-term security of supply
  • - Animal-free batch production

For more information, read more on recombinant antibodies.

Species reactivity
Rat: We have preliminary internal testing data to indicate this antibody may not react with this species.
Please contact us for more information.

Conjugation ready
Our carrier-free antibodies are typically supplied in a PBS-only formulation, purified and free of BSA, sodium azide and glycerol. This conjugation-ready format is designed for use with fluorochromes, metal isotopes, oligonucleotides, and enzymes, which makes them ideal for antibody labelling, functional and cell-based assays, flow-based assays (e.g. mass cytometry) and Multiplex Imaging applications.

Use our conjugation kits for antibody conjugates that are ready-to-use in as little as 20 minutes with 1 minute hands-on-time and 100% antibody recovery: available for fluorescent dyes, HRP, biotin and gold.

Compatibility
This product is compatible with the Maxpar® Antibody Labeling Kit from Fluidigm, without the need for antibody preparation. Maxpar® is a trademark of Fluidigm Canada Inc.

Properties and storage information

Form
Liquid
Purification technique
Affinity purification Protein A
Storage buffer
pH: 7.2 - 7.4 Constituents: PBS
Shipped at conditions
Blue Ice
Appropriate short-term storage conditions
+4°C
Appropriate long-term storage conditions
+4°C
Storage information
Do Not Freeze

Product protocols

For this product, it's our understanding that no specific protocols are required. You can visit:

Target data

Required for the formation of keratin intermediate filaments in the basal epidermis and maintenance of the skin barrier in response to mechanical stress (By similarity). Regulates the recruitment of Langerhans cells to the epidermis, potentially by modulation of the abundance of macrophage chemotactic cytokines, macrophage inflammatory cytokines and CTNND1 localization in keratinocytes (By similarity).
See full target information Keratin, type II cytoskeletal 5

Publications (12)

Recent publications for all applications. Explore the full list and refine your search

Cell reports. Medicine 4:100977 PubMed36921599

2023

Multiplex imaging of breast cancer lymph node metastases identifies prognostic single-cell populations independent of clinical classifiers.

Applications

Unspecified application

Species

Unspecified reactive species

Jana Raja Fischer,Hartland Warren Jackson,Natalie de Souza,Zsuzsanna Varga,Peter Schraml,Holger Moch,Bernd Bodenmiller

Cancers 15: PubMed36765785

2023

Flexible Cyclic Immunofluorescence (cyCIF) Using Oligonucleotide Barcoded Antibodies.

Applications

Unspecified application

Species

Unspecified reactive species

Nathan P McMahon,Jocelyn A Jones,Ashley N Anderson,Matthew S Dietz,Melissa H Wong,Summer L Gibbs

Cancer discovery 12:2930-2953 PubMed36108220

2022

Loss of Epigenetic Regulation Disrupts Lineage Integrity, Induces Aberrant Alveogenesis, and Promotes Breast Cancer.

Applications

Unspecified application

Species

Unspecified reactive species

Ellen Langille,Khalid N Al-Zahrani,Zhibo Ma,Minggao Liang,Liis Uuskula-Reimand,Roderic Espin,Katie Teng,Ahmad Malik,Helga Bergholtz,Samah El Ghamrasni,Somaieh Afiuni-Zadeh,Ricky Tsai,Sana Alvi,Andrew Elia,YiQing Lü,Robin H Oh,Katelyn J Kozma,Daniel Trcka,Masahiro Narimatsu,Jeff C Liu,Thomas Nguyen,Seda Barutcu,Sampath K Loganathan,Rod Bremner,Gary D Bader,Sean E Egan,David W Cescon,Therese Sørlie,Jeffrey L Wrana,Hartland W Jackson,Michael D Wilson,Agnieszka K Witkiewicz,Erik S Knudsen,Miguel Angel Pujana,Geoffrey M Wahl,Daniel Schramek

Nature communications 12:5024 PubMed34408137

2021

Single-cell evaluation reveals shifts in the tumor-immune niches that shape and maintain aggressive lesions in the breast.

Applications

Unspecified application

Species

Unspecified reactive species

Vidya C Sinha,Amanda L Rinkenbaugh,Mingchu Xu,Xinhui Zhou,Xiaomei Zhang,Sabrina Jeter-Jones,Jiansu Shao,Yuan Qi,John A Zebala,Dean Y Maeda,Florencia McAllister,Helen Piwnica-Worms

Nature communications 5:4758 PubMed25163637

2014

Symmetrical and asymmetrical division analysis provides evidence for a hierarchy of prostate epithelial cell lineages.

Applications

Unspecified application

Species

Unspecified reactive species

Jia Wang,Helen He Zhu,Mingliang Chu,Yunying Liu,Chenxi Zhang,Geng Liu,Xiaohang Yang,Ru Yang,Wei-Qiang Gao

Developmental dynamics : an official publication o 243:988-98 PubMed24796293

2014

A population of progenitor cells in the basal and intermediate layers of the murine bladder urothelium contributes to urothelial development and regeneration.

Applications

IHC-P

Species

Mouse

Sara A Colopy,Dale E Bjorling,William A Mulligan,Wade Bushman

Journal of cellular physiology 228:1391-6 PubMed23254778

2012

Characterization of WWOX inactivation in murine mammary gland development.

Applications

Unspecified application

Species

Unspecified reactive species

Suhaib K Abdeen,Zaidoun Salah,Saleh Khawaled,Rami I Aqeilan

Proceedings of the National Academy of Sciences of 109:2078-83 PubMed22308455

2012

Three differentiation states risk-stratify bladder cancer into distinct subtypes.

Applications

IHC-P

Species

Human

Jens-Peter Volkmer,Debashis Sahoo,Robert K Chin,Philip Levy Ho,Chad Tang,Antonina V Kurtova,Stephen B Willingham,Senthil K Pazhanisamy,Humberto Contreras-Trujillo,Theresa A Storm,Yair Lotan,Andrew H Beck,Benjamin I Chung,Ash A Alizadeh,Guilherme Godoy,Seth P Lerner,Matt van de Rijn,Linda D Shortliffe,Irving L Weissman,Keith S Chan

Journal of the National Cancer Institute 102:638-49 PubMed20339138

2010

Arsenic-specific stem cell selection during malignant transformation.

Applications

ICC/IF

Species

Human

Erik J Tokar,Wei Qu,Jie Liu,Wei Liu,Mukta M Webber,James M Phang,Michael P Waalkes

Oral surgery, oral medicine, oral pathology, oral radiology, and endodontics 109:e34-9 PubMed20303044

2010

A case of primary combined neuroendocrine carcinoma with squamous cell carcinoma in the upper gingiva.

Applications

Unspecified application

Species

Unspecified reactive species

Yumi Mochizuki,Ken Omura,Kei Sakamoto,Shoichi Nakanishi,Kiyoshi Satoh,Eriko Marukawa,Akira Yamaguchi
View all publications

Product promise

We are committed to supporting your work with high-quality reagents, and we're here for you every step of the way. In the unlikely event that one of our products does not perform as expected, you're protected by our Product Promise.
For full details, please see our Terms & Conditions

Please note: All products are 'FOR RESEARCH USE ONLY. NOT FOR USE IN DIAGNOSTIC OR THERAPEUTIC PROCEDURES'.

For licensing inquiries, please contact partnerships@abcam.com